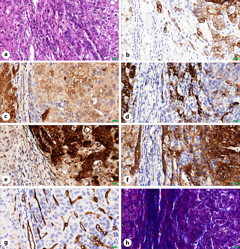
肝细胞胆管癌合并症:生物学、诊断和管理》(Combined Hepatocellular-Cholangiocarcinoma: Biology, Diagnosis, and Management)。

Q1 Social Sciences
Journal of Accounting Education Pub Date : 2023-04-24 eCollection Date: 2024-02-01 DOI:10.1159/000530700
Liangtao Ye, Julia S Schneider, Najib Ben Khaled, Peter Schirmacher, Carolin Seifert, Lea Frey, Yulong He, Andreas Geier, Enrico N De Toni, Changhua Zhang, Florian P Reiter
{"title":"肝细胞胆管癌合并症:生物学、诊断和管理》(Combined Hepatocellular-Cholangiocarcinoma: Biology, Diagnosis, and Management)。","authors":"Liangtao Ye, Julia S Schneider, Najib Ben Khaled, Peter Schirmacher, Carolin Seifert, Lea Frey, Yulong He, Andreas Geier, Enrico N De Toni, Changhua Zhang, Florian P Reiter","doi":"10.1159/000530700","DOIUrl":null,"url":null,"abstract":"<p><strong>Background: </strong>Combined hepatocellular-cholangiocarcinoma (cHCC-iCCA) is a rare type of primary liver cancer displaying characteristics of both hepatocytic and cholangiocytic differentiation.</p><p><strong>Summary: </strong>Because of its aggressive nature, patients with cHCC-iCCA exhibit a poorer prognosis than those with HCC. Surgical resection and liver transplantation may be considered curative treatment approaches; however, only a minority of patients are eligible at the time of diagnosis, and postoperative recurrence rates are high. For cases that are not eligible for surgery, locoregional and systemic therapy are often administered based on treatment protocols applied for HCC or iCCA. Owing to the rarity of this cancer, there are still no established standard treatment protocols; therefore, the choice of therapy is often personalized and guided by the suspected predominant component. Further, the genomic and molecular heterogeneity of cHCC-iCCA can severely compromise the efficacy of the available therapies.</p><p><strong>Key messages: </strong>In the present review, we summarize the latest advances in cHCC-iCCA and attempt to clarify its terminology and molecular biology. We provide an overview of the etiology of cHCC-iCCA and present new insights into the molecular pathology of this disease that could contribute to further studies aiming to improve the patient outcomes through new systemic therapies.</p>","PeriodicalId":35578,"journal":{"name":"Journal of Accounting Education","volume":"38 1","pages":"6-28"},"PeriodicalIF":0.0000,"publicationDate":"2023-04-24","publicationTypes":"Journal Article","fieldsOfStudy":null,"isOpenAccess":false,"openAccessPdf":"https://www.ncbi.nlm.nih.gov/pmc/articles/PMC10857821/pdf/","citationCount":"0","resultStr":"{\"title\":\"Combined Hepatocellular-Cholangiocarcinoma: Biology, Diagnosis, and Management.\",\"authors\":\"Liangtao Ye, Julia S Schneider, Najib Ben Khaled, Peter Schirmacher, Carolin Seifert, Lea Frey, Yulong He, Andreas Geier, Enrico N De Toni, Changhua Zhang, Florian P Reiter\",\"doi\":\"10.1159/000530700\",\"DOIUrl\":null,\"url\":null,\"abstract\":\"<p><strong>Background: </strong>Combined hepatocellular-cholangiocarcinoma (cHCC-iCCA) is a rare type of primary liver cancer displaying characteristics of both hepatocytic and cholangiocytic differentiation.</p><p><strong>Summary: </strong>Because of its aggressive nature, patients with cHCC-iCCA exhibit a poorer prognosis than those with HCC. Surgical resection and liver transplantation may be considered curative treatment approaches; however, only a minority of patients are eligible at the time of diagnosis, and postoperative recurrence rates are high. For cases that are not eligible for surgery, locoregional and systemic therapy are often administered based on treatment protocols applied for HCC or iCCA. Owing to the rarity of this cancer, there are still no established standard treatment protocols; therefore, the choice of therapy is often personalized and guided by the suspected predominant component. Further, the genomic and molecular heterogeneity of cHCC-iCCA can severely compromise the efficacy of the available therapies.</p><p><strong>Key messages: </strong>In the present review, we summarize the latest advances in cHCC-iCCA and attempt to clarify its terminology and molecular biology. We provide an overview of the etiology of cHCC-iCCA and present new insights into the molecular pathology of this disease that could contribute to further studies aiming to improve the patient outcomes through new systemic therapies.</p>\",\"PeriodicalId\":35578,\"journal\":{\"name\":\"Journal of Accounting Education\",\"volume\":\"38 1\",\"pages\":\"6-28\"},\"PeriodicalIF\":0.0000,\"publicationDate\":\"2023-04-24\",\"publicationTypes\":\"Journal Article\",\"fieldsOfStudy\":null,\"isOpenAccess\":false,\"openAccessPdf\":\"https://www.ncbi.nlm.nih.gov/pmc/articles/PMC10857821/pdf/\",\"citationCount\":\"0\",\"resultStr\":null,\"platform\":\"Semanticscholar\",\"paperid\":null,\"PeriodicalName\":\"Journal of Accounting Education\",\"FirstCategoryId\":\"3\",\"ListUrlMain\":\"https://doi.org/10.1159/000530700\",\"RegionNum\":0,\"RegionCategory\":null,\"ArticlePicture\":[],\"TitleCN\":null,\"AbstractTextCN\":null,\"PMCID\":null,\"EPubDate\":\"2024/2/1 0:00:00\",\"PubModel\":\"eCollection\",\"JCR\":\"Q1\",\"JCRName\":\"Social Sciences\",\"Score\":null,\"Total\":0}","platform":"Semanticscholar","paperid":null,"PeriodicalName":"Journal of Accounting Education","FirstCategoryId":"3","ListUrlMain":"https://doi.org/10.1159/000530700","RegionNum":0,"RegionCategory":null,"ArticlePicture":[],"TitleCN":null,"AbstractTextCN":null,"PMCID":null,"EPubDate":"2024/2/1 0:00:00","PubModel":"eCollection","JCR":"Q1","JCRName":"Social Sciences","Score":null,"Total":0}
引用次数: 0

摘要

背景:摘要:由于具有侵袭性,cHCC-iCCA 患者的预后比 HCC 患者差。手术切除和肝移植可视为根治性治疗方法,但只有少数患者在确诊时符合条件,而且术后复发率很高。对于不符合手术条件的病例,通常会根据 HCC 或 iCCA 的治疗方案进行局部和全身治疗。由于这种癌症的罕见性,目前还没有既定的标准治疗方案;因此,治疗方法的选择往往是个性化的,并以怀疑的主要成分为指导。此外,cHCC-iCCA 的基因组和分子异质性会严重影响现有疗法的疗效:在本综述中,我们总结了 cHCC-iCCA 的最新进展,并试图澄清其术语和分子生物学。我们概述了 cHCC-iCCA 的病因,并提出了对该疾病分子病理学的新见解,这些见解有助于开展进一步研究,从而通过新的系统疗法改善患者的预后。
本文章由计算机程序翻译,如有差异,请以英文原文为准。

Combined Hepatocellular-Cholangiocarcinoma: Biology, Diagnosis, and Management.

Combined Hepatocellular-Cholangiocarcinoma: Biology, Diagnosis, and Management.

Combined Hepatocellular-Cholangiocarcinoma: Biology, Diagnosis, and Management.

Combined Hepatocellular-Cholangiocarcinoma: Biology, Diagnosis, and Management.

Background: Combined hepatocellular-cholangiocarcinoma (cHCC-iCCA) is a rare type of primary liver cancer displaying characteristics of both hepatocytic and cholangiocytic differentiation.

Summary: Because of its aggressive nature, patients with cHCC-iCCA exhibit a poorer prognosis than those with HCC. Surgical resection and liver transplantation may be considered curative treatment approaches; however, only a minority of patients are eligible at the time of diagnosis, and postoperative recurrence rates are high. For cases that are not eligible for surgery, locoregional and systemic therapy are often administered based on treatment protocols applied for HCC or iCCA. Owing to the rarity of this cancer, there are still no established standard treatment protocols; therefore, the choice of therapy is often personalized and guided by the suspected predominant component. Further, the genomic and molecular heterogeneity of cHCC-iCCA can severely compromise the efficacy of the available therapies.

Key messages: In the present review, we summarize the latest advances in cHCC-iCCA and attempt to clarify its terminology and molecular biology. We provide an overview of the etiology of cHCC-iCCA and present new insights into the molecular pathology of this disease that could contribute to further studies aiming to improve the patient outcomes through new systemic therapies.

求助全文
通过发布文献求助,成功后即可免费获取论文全文。 去求助
来源期刊
Journal of Accounting Education
Journal of Accounting Education Social Sciences-Education
CiteScore
4.20
自引率
0.00%
发文量
27
期刊介绍: The Journal of Accounting Education (JAEd) is a refereed journal dedicated to promoting and publishing research on accounting education issues and to improving the quality of accounting education worldwide. The Journal provides a vehicle for making results of empirical studies available to educators and for exchanging ideas, instructional resources, and best practices that help improve accounting education. The Journal includes four sections: a Main Articles Section, a Teaching and Educational Notes Section, an Educational Case Section, and a Best Practices Section. Manuscripts published in the Main Articles Section generally present results of empirical studies, although non-empirical papers (such as policy-related or essay papers) are sometimes published in this section. Papers published in the Teaching and Educational Notes Section include short empirical pieces (e.g., replications) as well as instructional resources that are not properly categorized as cases, which are published in a separate Case Section. Note: as part of the Teaching Note accompany educational cases, authors must include implementation guidance (based on actual case usage) and evidence regarding the efficacy of the case vis-a-vis a listing of educational objectives associated with the case. To meet the efficacy requirement, authors must include direct assessment (e.g grades by case requirement/objective or pre-post tests). Although interesting and encouraged, student perceptions (surveys) are considered indirect assessment and do not meet the efficacy requirement. The case must have been used more than once in a course to avoid potential anomalies and to vet the case before submission. Authors may be asked to collect additional data, depending on course size/circumstances.
×
引用
GB/T 7714-2015
复制
MLA
复制
APA
复制
导出至
BibTeX EndNote RefMan NoteFirst NoteExpress
×
提示
您的信息不完整,为了账户安全,请先补充。
现在去补充
×
提示
您因"违规操作"
具体请查看互助需知
我知道了
×
提示
确定
请完成安全验证×
copy
已复制链接
快去分享给好友吧!
我知道了
右上角分享
点击右上角分享
0
联系我们:info@booksci.cn Book学术提供免费学术资源搜索服务,方便国内外学者检索中英文文献。致力于提供最便捷和优质的服务体验。 Copyright © 2023 布克学术 All rights reserved.
京ICP备2023020795号-1
ghs 京公网安备 11010802042870号
Book学术文献互助
Book学术文献互助群
群 号:604180095
Book学术官方微信