超极化 13C 磁共振成像:侵袭性乳腺癌无创诊断的新视野。

4区 医学 Q1 Medicine
Atherosclerosis. Supplements Pub Date : 2019-05-15 eCollection Date: 2019-09-01 DOI:10.1259/bjrcr.20190026
Oshaani Abeyakoon, Arash Latifoltojar, Fiona Gong, Marianthi-Vasiliki Papoutsaki, Rafat Chowdhury, Matthias Glaser, Hassan Jeraj, Ramla Awais, Christopher Holt, Frazer Twyman, Erik Arstad, David G Gadian, David Atkinson, Arnaud Comment, James O'Callaghan, Lorna Smith, Teresita Beeston, Joey Clemente, Neill Patani, Rob Stein, Mariia Yuneva, Gyorgi Szabadkai, Steve Halligan, Shonit Punwani
{"title":"超极化 13C 磁共振成像:侵袭性乳腺癌无创诊断的新视野。","authors":"Oshaani Abeyakoon, Arash Latifoltojar, Fiona Gong, Marianthi-Vasiliki Papoutsaki, Rafat Chowdhury, Matthias Glaser, Hassan Jeraj, Ramla Awais, Christopher Holt, Frazer Twyman, Erik Arstad, David G Gadian, David Atkinson, Arnaud Comment, James O'Callaghan, Lorna Smith, Teresita Beeston, Joey Clemente, Neill Patani, Rob Stein, Mariia Yuneva, Gyorgi Szabadkai, Steve Halligan, Shonit Punwani","doi":"10.1259/bjrcr.20190026","DOIUrl":null,"url":null,"abstract":"<p><p>Hyperpolarised <sup>13</sup>C MRI (HP-MRI) is a novel imaging technique that allows real-time analysis of metabolic pathways <i>in vivo</i>.<sup>1</sup> The technology to conduct HP-MRI in humans has recently become available and is starting to be clinically applied. As knowledge of molecular biology advances, it is increasingly apparent that cancer cell metabolism is related to disease outcomes, with lactate attracting specific attention. <sup>2</sup> Recent reviews of breast cancer screening programs have raised concerns and increased public awareness of over treatment. The scientific community needs to shift focus from improving cancer detection alone to pursuing novel methods of distinguishing aggressive breast cancers from those which will remain indolent. HP-MRI offers the opportunity to identify aggressive tumour phenotypes and help monitor/predict therapeutic response. Here we report one of the first cases of breast cancer imaged using HP-MRI alongside correlative conventional imaging, including breast MRI.</p>","PeriodicalId":8592,"journal":{"name":"Atherosclerosis. Supplements","volume":"12 1","pages":"20190026"},"PeriodicalIF":0.0000,"publicationDate":"2019-05-15","publicationTypes":"Journal Article","fieldsOfStudy":null,"isOpenAccess":false,"openAccessPdf":"https://www.ncbi.nlm.nih.gov/pmc/articles/PMC6750630/pdf/","citationCount":"0","resultStr":"{\"title\":\"Hyperpolarised <sup>13</sup>C MRI: a new horizon for non-invasive diagnosis of aggressive breast cancer.\",\"authors\":\"Oshaani Abeyakoon, Arash Latifoltojar, Fiona Gong, Marianthi-Vasiliki Papoutsaki, Rafat Chowdhury, Matthias Glaser, Hassan Jeraj, Ramla Awais, Christopher Holt, Frazer Twyman, Erik Arstad, David G Gadian, David Atkinson, Arnaud Comment, James O'Callaghan, Lorna Smith, Teresita Beeston, Joey Clemente, Neill Patani, Rob Stein, Mariia Yuneva, Gyorgi Szabadkai, Steve Halligan, Shonit Punwani\",\"doi\":\"10.1259/bjrcr.20190026\",\"DOIUrl\":null,\"url\":null,\"abstract\":\"<p><p>Hyperpolarised <sup>13</sup>C MRI (HP-MRI) is a novel imaging technique that allows real-time analysis of metabolic pathways <i>in vivo</i>.<sup>1</sup> The technology to conduct HP-MRI in humans has recently become available and is starting to be clinically applied. As knowledge of molecular biology advances, it is increasingly apparent that cancer cell metabolism is related to disease outcomes, with lactate attracting specific attention. <sup>2</sup> Recent reviews of breast cancer screening programs have raised concerns and increased public awareness of over treatment. The scientific community needs to shift focus from improving cancer detection alone to pursuing novel methods of distinguishing aggressive breast cancers from those which will remain indolent. HP-MRI offers the opportunity to identify aggressive tumour phenotypes and help monitor/predict therapeutic response. Here we report one of the first cases of breast cancer imaged using HP-MRI alongside correlative conventional imaging, including breast MRI.</p>\",\"PeriodicalId\":8592,\"journal\":{\"name\":\"Atherosclerosis. Supplements\",\"volume\":\"12 1\",\"pages\":\"20190026\"},\"PeriodicalIF\":0.0000,\"publicationDate\":\"2019-05-15\",\"publicationTypes\":\"Journal Article\",\"fieldsOfStudy\":null,\"isOpenAccess\":false,\"openAccessPdf\":\"https://www.ncbi.nlm.nih.gov/pmc/articles/PMC6750630/pdf/\",\"citationCount\":\"0\",\"resultStr\":null,\"platform\":\"Semanticscholar\",\"paperid\":null,\"PeriodicalName\":\"Atherosclerosis. Supplements\",\"FirstCategoryId\":\"3\",\"ListUrlMain\":\"https://doi.org/10.1259/bjrcr.20190026\",\"RegionNum\":4,\"RegionCategory\":\"医学\",\"ArticlePicture\":[],\"TitleCN\":null,\"AbstractTextCN\":null,\"PMCID\":null,\"EPubDate\":\"2019/9/1 0:00:00\",\"PubModel\":\"eCollection\",\"JCR\":\"Q1\",\"JCRName\":\"Medicine\",\"Score\":null,\"Total\":0}","platform":"Semanticscholar","paperid":null,"PeriodicalName":"Atherosclerosis. Supplements","FirstCategoryId":"3","ListUrlMain":"https://doi.org/10.1259/bjrcr.20190026","RegionNum":4,"RegionCategory":"医学","ArticlePicture":[],"TitleCN":null,"AbstractTextCN":null,"PMCID":null,"EPubDate":"2019/9/1 0:00:00","PubModel":"eCollection","JCR":"Q1","JCRName":"Medicine","Score":null,"Total":0}
引用次数: 0

摘要

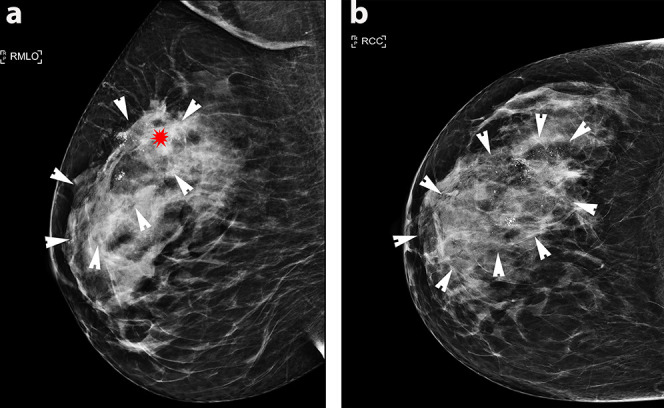
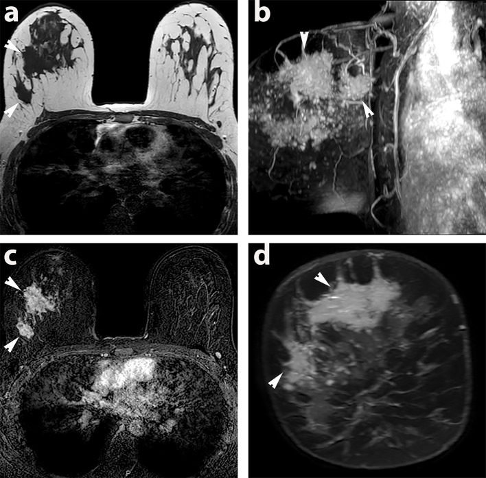
超极化 13C 磁共振成像(HP-MRI)是一种新型成像技术,可对体内代谢途径进行实时分析1 。随着分子生物学知识的发展,人们越来越清楚地认识到癌细胞代谢与疾病结果的关系,其中乳酸引起了特别关注。2 近期对乳腺癌筛查项目的审查引起了人们的关注,并提高了公众对过度治疗的认识。科学界需要将重点从单纯提高癌症检测率转移到寻求新的方法来区分侵袭性乳腺癌和仍将保持不扩散的乳腺癌。HP-MRI 为识别侵袭性肿瘤表型和帮助监测/预测治疗反应提供了机会。在此,我们报告了首例使用 HP-MRI 和包括乳腺 MRI 在内的相关传统成像技术进行成像的乳腺癌病例。
本文章由计算机程序翻译,如有差异,请以英文原文为准。

Hyperpolarised <sup>13</sup>C MRI: a new horizon for non-invasive diagnosis of aggressive breast cancer.

Hyperpolarised <sup>13</sup>C MRI: a new horizon for non-invasive diagnosis of aggressive breast cancer.

Hyperpolarised <sup>13</sup>C MRI: a new horizon for non-invasive diagnosis of aggressive breast cancer.

Hyperpolarised 13C MRI: a new horizon for non-invasive diagnosis of aggressive breast cancer.

Hyperpolarised 13C MRI (HP-MRI) is a novel imaging technique that allows real-time analysis of metabolic pathways in vivo.1 The technology to conduct HP-MRI in humans has recently become available and is starting to be clinically applied. As knowledge of molecular biology advances, it is increasingly apparent that cancer cell metabolism is related to disease outcomes, with lactate attracting specific attention. 2 Recent reviews of breast cancer screening programs have raised concerns and increased public awareness of over treatment. The scientific community needs to shift focus from improving cancer detection alone to pursuing novel methods of distinguishing aggressive breast cancers from those which will remain indolent. HP-MRI offers the opportunity to identify aggressive tumour phenotypes and help monitor/predict therapeutic response. Here we report one of the first cases of breast cancer imaged using HP-MRI alongside correlative conventional imaging, including breast MRI.

求助全文
通过发布文献求助,成功后即可免费获取论文全文。 去求助
来源期刊
Atherosclerosis. Supplements
Atherosclerosis. Supplements 医学-外周血管病
CiteScore
4.80
自引率
0.00%
发文量
0
审稿时长
>12 weeks
期刊介绍: Atherosclerosis brings together, from all sources, papers concerned with investigation on atherosclerosis, its risk factors and clinical manifestations.
×
引用
GB/T 7714-2015
复制
MLA
复制
APA
复制
导出至
BibTeX EndNote RefMan NoteFirst NoteExpress
×
提示
您的信息不完整,为了账户安全,请先补充。
现在去补充
×
提示
您因"违规操作"
具体请查看互助需知
我知道了
×
提示
确定
请完成安全验证×
copy
已复制链接
快去分享给好友吧!
我知道了
右上角分享
点击右上角分享
0
联系我们:info@booksci.cn Book学术提供免费学术资源搜索服务,方便国内外学者检索中英文文献。致力于提供最便捷和优质的服务体验。 Copyright © 2023 布克学术 All rights reserved.
京ICP备2023020795号-1
ghs 京公网安备 11010802042870号
Book学术文献互助
Book学术文献互助群
群 号:604180095
Book学术官方微信