添加阿拉伯胶对肉鸡生长性能、血液指标、免疫反应、盲肠微生物群和十二指肠形态的影响

IF 1.8 3区 农林科学 Q2 FORESTRY
Hani H Al-Baadani, Rashed A Alhotan, Abdulaziz A Al-Abdullatif, Ibrahim A Alhidary, Abdulrahman S Alharthi, Saud I Al-Mufarrej, Maged A Al-Garadi, Mohammed M Qaid, Ahmed A Al-Sagan, Khalid E Ibrahim, Mahmoud M Azzam
{"title":"添加阿拉伯胶对肉鸡生长性能、血液指标、免疫反应、盲肠微生物群和十二指肠形态的影响","authors":"Hani H Al-Baadani, Rashed A Alhotan, Abdulaziz A Al-Abdullatif, Ibrahim A Alhidary, Abdulrahman S Alharthi, Saud I Al-Mufarrej, Maged A Al-Garadi, Mohammed M Qaid, Ahmed A Al-Sagan, Khalid E Ibrahim, Mahmoud M Azzam","doi":"10.3390/ani12202809","DOIUrl":null,"url":null,"abstract":"<p><p>Gum Arabic (GA) belongs to the Fabaceae family and contains indigestible soluble fibers (80-85%) that could be fermented by commensal bacteria to enhance performance, immune response, and intestinal integrity. This study aimed to investigate the effects of GA on performance, serum biochemical indicators, microbiota, immune-related gene expression, and histological changes in chickens. Six GA levels (0.0, 0.12, 0.25, 0.5, 0.75, 1.0%) were allocated using a total of 432 1-day-old male chickens (12 replicates with 6 chickens each). Growth performance was evaluated on days 10 and 24 of age. Blood parameters, organ pH levels, and intestinal health were determined on day 10 of age. Results showed that GA at 0.12% increased weight gain and 0.12 to 1.0% decreased feed intake but was best in feed conversion ratio and production efficiency except for 1.0% on day 1-10 of age. There was an increase in the thymus weight at GA level 0.25 to 0.75%. GA decreased the pH value of the proventriculus (at 0.50 and 1.0%) as well as the duodenum and cecum (at 0.12 and 1.0%). Chickens fed GA between 0.25 to 1.0% had higher protein and HDL, but lower cholesterol, LDL, and creatinine. Globulin was increased at 0.50% GA, while glucose and triglycerides were decreased (at 0.25 and 0.75% GA, respectively). The immune-related gene expression was reduced, except for 0.25% GA, which increased IL-10. Furthermore, chickens fed GA (0.25 to 0.75%) had higher <i>Lactobacillus</i> spp. and lower <i>Salmonella</i> spp. and <i>Escherichia coli</i>. When chickens received GA, the villus length and length to crypt ratio were higher, which also improved the integrity of intestinal epithelial cells and early duodenal development. We conclude that using GA (0.25 to 0.75%) as a natural prebiotic positively affects the performance, microbiota, immune response, morphology, and gut health of post-hatched chickens. More studies are needed to determine the potential mechanism of GA on broiler chickens.</p>","PeriodicalId":48983,"journal":{"name":"Small-Scale Forestry","volume":"9 1","pages":""},"PeriodicalIF":1.8000,"publicationDate":"2022-10-17","publicationTypes":"Journal Article","fieldsOfStudy":null,"isOpenAccess":false,"openAccessPdf":"https://www.ncbi.nlm.nih.gov/pmc/articles/PMC9597837/pdf/","citationCount":"0","resultStr":"{\"title\":\"The Effect of Gum Arabic Supplementation on Growth Performance, Blood Indicators, Immune Response, Cecal Microbiota, and the Duodenal Morphology of Broiler Chickens.\",\"authors\":\"Hani H Al-Baadani, Rashed A Alhotan, Abdulaziz A Al-Abdullatif, Ibrahim A Alhidary, Abdulrahman S Alharthi, Saud I Al-Mufarrej, Maged A Al-Garadi, Mohammed M Qaid, Ahmed A Al-Sagan, Khalid E Ibrahim, Mahmoud M Azzam\",\"doi\":\"10.3390/ani12202809\",\"DOIUrl\":null,\"url\":null,\"abstract\":\"<p><p>Gum Arabic (GA) belongs to the Fabaceae family and contains indigestible soluble fibers (80-85%) that could be fermented by commensal bacteria to enhance performance, immune response, and intestinal integrity. This study aimed to investigate the effects of GA on performance, serum biochemical indicators, microbiota, immune-related gene expression, and histological changes in chickens. Six GA levels (0.0, 0.12, 0.25, 0.5, 0.75, 1.0%) were allocated using a total of 432 1-day-old male chickens (12 replicates with 6 chickens each). Growth performance was evaluated on days 10 and 24 of age. Blood parameters, organ pH levels, and intestinal health were determined on day 10 of age. Results showed that GA at 0.12% increased weight gain and 0.12 to 1.0% decreased feed intake but was best in feed conversion ratio and production efficiency except for 1.0% on day 1-10 of age. There was an increase in the thymus weight at GA level 0.25 to 0.75%. GA decreased the pH value of the proventriculus (at 0.50 and 1.0%) as well as the duodenum and cecum (at 0.12 and 1.0%). Chickens fed GA between 0.25 to 1.0% had higher protein and HDL, but lower cholesterol, LDL, and creatinine. Globulin was increased at 0.50% GA, while glucose and triglycerides were decreased (at 0.25 and 0.75% GA, respectively). The immune-related gene expression was reduced, except for 0.25% GA, which increased IL-10. Furthermore, chickens fed GA (0.25 to 0.75%) had higher <i>Lactobacillus</i> spp. and lower <i>Salmonella</i> spp. and <i>Escherichia coli</i>. When chickens received GA, the villus length and length to crypt ratio were higher, which also improved the integrity of intestinal epithelial cells and early duodenal development. We conclude that using GA (0.25 to 0.75%) as a natural prebiotic positively affects the performance, microbiota, immune response, morphology, and gut health of post-hatched chickens. More studies are needed to determine the potential mechanism of GA on broiler chickens.</p>\",\"PeriodicalId\":48983,\"journal\":{\"name\":\"Small-Scale Forestry\",\"volume\":\"9 1\",\"pages\":\"\"},\"PeriodicalIF\":1.8000,\"publicationDate\":\"2022-10-17\",\"publicationTypes\":\"Journal Article\",\"fieldsOfStudy\":null,\"isOpenAccess\":false,\"openAccessPdf\":\"https://www.ncbi.nlm.nih.gov/pmc/articles/PMC9597837/pdf/\",\"citationCount\":\"0\",\"resultStr\":null,\"platform\":\"Semanticscholar\",\"paperid\":null,\"PeriodicalName\":\"Small-Scale Forestry\",\"FirstCategoryId\":\"97\",\"ListUrlMain\":\"https://doi.org/10.3390/ani12202809\",\"RegionNum\":3,\"RegionCategory\":\"农林科学\",\"ArticlePicture\":[],\"TitleCN\":null,\"AbstractTextCN\":null,\"PMCID\":null,\"EPubDate\":\"\",\"PubModel\":\"\",\"JCR\":\"Q2\",\"JCRName\":\"FORESTRY\",\"Score\":null,\"Total\":0}","platform":"Semanticscholar","paperid":null,"PeriodicalName":"Small-Scale Forestry","FirstCategoryId":"97","ListUrlMain":"https://doi.org/10.3390/ani12202809","RegionNum":3,"RegionCategory":"农林科学","ArticlePicture":[],"TitleCN":null,"AbstractTextCN":null,"PMCID":null,"EPubDate":"","PubModel":"","JCR":"Q2","JCRName":"FORESTRY","Score":null,"Total":0}
引用次数: 0

摘要

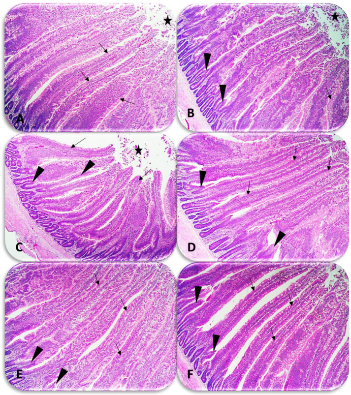
阿拉伯树胶(GA)属于豆科植物,含有难以消化的可溶性纤维(80-85%),可被共生菌发酵,从而提高鸡的生产性能、免疫反应和肠道完整性。本研究旨在探讨 GA 对鸡的生产性能、血清生化指标、微生物群、免疫相关基因表达和组织学变化的影响。本研究共使用了 432 只 1 日龄雄鸡(12 个重复,每个重复 6 只鸡),分配了六个 GA 水平(0.0%、0.12%、0.25%、0.5%、0.75%、1.0%)。第 10 天和第 24 天对生长性能进行评估。第 10 日龄测定血液参数、器官 pH 值和肠道健康状况。结果表明,0.12%的GA能提高增重,0.12%至1.0%的GA能降低采食量,但除了1.0%的GA在1-10日龄的饲料转化率和生产效率最好外,其他GA的饲料转化率和生产效率都最好。GA水平为0.25%至0.75%时,胸腺重量增加。GA 降低了胃窦(0.50% 和 1.0%)以及十二指肠和盲肠(0.12% 和 1.0%)的 pH 值。饲喂 0.25% 至 1.0% GA 的鸡蛋白质和高密度脂蛋白含量较高,但胆固醇、低密度脂蛋白和肌酐含量较低。0.50% GA 的球蛋白增加,而葡萄糖和甘油三酯降低(分别为 0.25% 和 0.75% GA)。免疫相关基因的表达量减少,只有 0.25% 的 GA 增加了 IL-10。此外,饲喂 GA(0.25% 至 0.75%)的鸡的乳酸杆菌属较高,沙门氏菌属和大肠杆菌较低。饲喂 GA 的鸡的绒毛长度和长度与隐窝的比率都较高,这也改善了肠上皮细胞的完整性和十二指肠的早期发育。我们的结论是,使用 GA(0.25% 至 0.75%)作为天然益生元对孵化后鸡的生产性能、微生物群、免疫反应、形态和肠道健康有积极影响。要确定 GA 对肉鸡的潜在作用机制,还需要进行更多的研究。
本文章由计算机程序翻译,如有差异,请以英文原文为准。

The Effect of Gum Arabic Supplementation on Growth Performance, Blood Indicators, Immune Response, Cecal Microbiota, and the Duodenal Morphology of Broiler Chickens.

The Effect of Gum Arabic Supplementation on Growth Performance, Blood Indicators, Immune Response, Cecal Microbiota, and the Duodenal Morphology of Broiler Chickens.

The Effect of Gum Arabic Supplementation on Growth Performance, Blood Indicators, Immune Response, Cecal Microbiota, and the Duodenal Morphology of Broiler Chickens.

Gum Arabic (GA) belongs to the Fabaceae family and contains indigestible soluble fibers (80-85%) that could be fermented by commensal bacteria to enhance performance, immune response, and intestinal integrity. This study aimed to investigate the effects of GA on performance, serum biochemical indicators, microbiota, immune-related gene expression, and histological changes in chickens. Six GA levels (0.0, 0.12, 0.25, 0.5, 0.75, 1.0%) were allocated using a total of 432 1-day-old male chickens (12 replicates with 6 chickens each). Growth performance was evaluated on days 10 and 24 of age. Blood parameters, organ pH levels, and intestinal health were determined on day 10 of age. Results showed that GA at 0.12% increased weight gain and 0.12 to 1.0% decreased feed intake but was best in feed conversion ratio and production efficiency except for 1.0% on day 1-10 of age. There was an increase in the thymus weight at GA level 0.25 to 0.75%. GA decreased the pH value of the proventriculus (at 0.50 and 1.0%) as well as the duodenum and cecum (at 0.12 and 1.0%). Chickens fed GA between 0.25 to 1.0% had higher protein and HDL, but lower cholesterol, LDL, and creatinine. Globulin was increased at 0.50% GA, while glucose and triglycerides were decreased (at 0.25 and 0.75% GA, respectively). The immune-related gene expression was reduced, except for 0.25% GA, which increased IL-10. Furthermore, chickens fed GA (0.25 to 0.75%) had higher Lactobacillus spp. and lower Salmonella spp. and Escherichia coli. When chickens received GA, the villus length and length to crypt ratio were higher, which also improved the integrity of intestinal epithelial cells and early duodenal development. We conclude that using GA (0.25 to 0.75%) as a natural prebiotic positively affects the performance, microbiota, immune response, morphology, and gut health of post-hatched chickens. More studies are needed to determine the potential mechanism of GA on broiler chickens.

求助全文
通过发布文献求助,成功后即可免费获取论文全文。 去求助
来源期刊
CiteScore
3.10
自引率
6.70%
发文量
39
审稿时长
>12 weeks
期刊介绍: Emerging from discussions within IUFRO’s Small-scale Forestry group, Small-scale Forestry was originally published as Small-scale Forest Economics, Management and Policy in 2002, with a view to providing an international forum for publishing high quality, peer-reviewed papers on pure and applied research into small-scale forestry. Although of particular interest to the global research community, the journal is also relevant to both policy makers and forest managers. The scope of the journal is necessarily quite broad, given the range of issues relevant to small-scale forestry. These include the social, economic and technical dimensions of farm, family, non-industrial, agro- and community forestry. Papers are accepted on the basis that they relate specifically to forestry at this scale, and that they are based on high quality research using accepted quantitative and/or qualitative methodology. Empirical, theoretical, modeling, and methodological papers are all welcome. The following research areas are particularly relevant to the journal: -the role of small-scale forestry in rural development- financial modeling and decision support systems- enhancing return from non-wood products- social impacts of small-scale forestry- marketing, forest co-operatives and growers organizations- role and effectiveness of government support and subsidies- innovative research techniques- education and extension- certification- silvicultural, wood harvesting and processing techniques and technologies- impediments to small-scale forestry development- monitoring socio-economics- forest management behaviour and timber supply
×
引用
GB/T 7714-2015
复制
MLA
复制
APA
复制
导出至
BibTeX EndNote RefMan NoteFirst NoteExpress
×
提示
您的信息不完整,为了账户安全,请先补充。
现在去补充
×
提示
您因"违规操作"
具体请查看互助需知
我知道了
×
提示
确定
请完成安全验证×
copy
已复制链接
快去分享给好友吧!
我知道了
右上角分享
点击右上角分享
0
联系我们:info@booksci.cn Book学术提供免费学术资源搜索服务,方便国内外学者检索中英文文献。致力于提供最便捷和优质的服务体验。 Copyright © 2023 布克学术 All rights reserved.
京ICP备2023020795号-1
ghs 京公网安备 11010802042870号
Book学术文献互助
Book学术文献互助群
群 号:604180095
Book学术官方微信