幽门螺杆菌导致梗阻性黄疸:一个儿科病例报告。

IF 0.5 3区 哲学 0 RELIGION
Journal for the Study of the Historical Jesus Pub Date : 2023-08-16 eCollection Date: 2023-11-01 DOI:10.1097/PG9.0000000000000348
Parker Giroux, Andrew Palmer, Aby Thomas, Sandra Mabel Camacho-Gomez
{"title":"幽门螺杆菌导致梗阻性黄疸:一个儿科病例报告。","authors":"Parker Giroux, Andrew Palmer, Aby Thomas, Sandra Mabel Camacho-Gomez","doi":"10.1097/PG9.0000000000000348","DOIUrl":null,"url":null,"abstract":"<p><p>Pediatric <i>Helicobacter pylori</i> infection represents a small proportion of disease that is otherwise decreasing in the developed world. Typical presentations have been well-described in the literature. We report a 15-year-old male who presented with jaundice, anemia, dark urine, and poorly characterized abdominal pain and was found to have obstructive jaundice secondary to a duodenal ulcer resulting from <i>H. pylori</i> infection. Obstructive jaundice is a seldom reported complication of duodenal ulcer, particularly in children. This report reviews <i>H. pylori</i> infection, outlines complications of peptic ulcer disease, and illustrates the rarity of obstructive jaundice as a presenting sign of duodenal ulcer in children.</p>","PeriodicalId":51987,"journal":{"name":"Journal for the Study of the Historical Jesus","volume":"15 1","pages":"e348"},"PeriodicalIF":0.5000,"publicationDate":"2023-08-16","publicationTypes":"Journal Article","fieldsOfStudy":null,"isOpenAccess":false,"openAccessPdf":"https://www.ncbi.nlm.nih.gov/pmc/articles/PMC10684119/pdf/","citationCount":"0","resultStr":"{\"title\":\"<i>Helicobacter pylori</i> Found Guilty of Obstructive Jaundice: A Pediatric Case Report.\",\"authors\":\"Parker Giroux, Andrew Palmer, Aby Thomas, Sandra Mabel Camacho-Gomez\",\"doi\":\"10.1097/PG9.0000000000000348\",\"DOIUrl\":null,\"url\":null,\"abstract\":\"<p><p>Pediatric <i>Helicobacter pylori</i> infection represents a small proportion of disease that is otherwise decreasing in the developed world. Typical presentations have been well-described in the literature. We report a 15-year-old male who presented with jaundice, anemia, dark urine, and poorly characterized abdominal pain and was found to have obstructive jaundice secondary to a duodenal ulcer resulting from <i>H. pylori</i> infection. Obstructive jaundice is a seldom reported complication of duodenal ulcer, particularly in children. This report reviews <i>H. pylori</i> infection, outlines complications of peptic ulcer disease, and illustrates the rarity of obstructive jaundice as a presenting sign of duodenal ulcer in children.</p>\",\"PeriodicalId\":51987,\"journal\":{\"name\":\"Journal for the Study of the Historical Jesus\",\"volume\":\"15 1\",\"pages\":\"e348\"},\"PeriodicalIF\":0.5000,\"publicationDate\":\"2023-08-16\",\"publicationTypes\":\"Journal Article\",\"fieldsOfStudy\":null,\"isOpenAccess\":false,\"openAccessPdf\":\"https://www.ncbi.nlm.nih.gov/pmc/articles/PMC10684119/pdf/\",\"citationCount\":\"0\",\"resultStr\":null,\"platform\":\"Semanticscholar\",\"paperid\":null,\"PeriodicalName\":\"Journal for the Study of the Historical Jesus\",\"FirstCategoryId\":\"1085\",\"ListUrlMain\":\"https://doi.org/10.1097/PG9.0000000000000348\",\"RegionNum\":3,\"RegionCategory\":\"哲学\",\"ArticlePicture\":[],\"TitleCN\":null,\"AbstractTextCN\":null,\"PMCID\":null,\"EPubDate\":\"2023/11/1 0:00:00\",\"PubModel\":\"eCollection\",\"JCR\":\"0\",\"JCRName\":\"RELIGION\",\"Score\":null,\"Total\":0}","platform":"Semanticscholar","paperid":null,"PeriodicalName":"Journal for the Study of the Historical Jesus","FirstCategoryId":"1085","ListUrlMain":"https://doi.org/10.1097/PG9.0000000000000348","RegionNum":3,"RegionCategory":"哲学","ArticlePicture":[],"TitleCN":null,"AbstractTextCN":null,"PMCID":null,"EPubDate":"2023/11/1 0:00:00","PubModel":"eCollection","JCR":"0","JCRName":"RELIGION","Score":null,"Total":0}
引用次数: 0

摘要

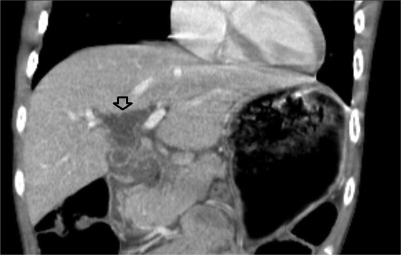
儿童幽门螺杆菌感染只占疾病的一小部分,而在发达国家,这一比例正在下降。典型的表现在文献中有很好的描述。我们报告了一位15岁的男性,他表现为黄疸、贫血、尿色深和腹痛,并被发现有幽门螺旋杆菌感染引起的十二指肠溃疡继发梗阻性黄疸。梗阻性黄疸是很少报道的十二指肠溃疡并发症,特别是在儿童。本报告回顾幽门螺杆菌感染,概述消化性溃疡疾病的并发症,并说明梗阻性黄疸作为儿童十二指肠溃疡的罕见表现。
本文章由计算机程序翻译,如有差异,请以英文原文为准。

<i>Helicobacter pylori</i> Found Guilty of Obstructive Jaundice: A Pediatric Case Report.

<i>Helicobacter pylori</i> Found Guilty of Obstructive Jaundice: A Pediatric Case Report.

<i>Helicobacter pylori</i> Found Guilty of Obstructive Jaundice: A Pediatric Case Report.

Helicobacter pylori Found Guilty of Obstructive Jaundice: A Pediatric Case Report.

Pediatric Helicobacter pylori infection represents a small proportion of disease that is otherwise decreasing in the developed world. Typical presentations have been well-described in the literature. We report a 15-year-old male who presented with jaundice, anemia, dark urine, and poorly characterized abdominal pain and was found to have obstructive jaundice secondary to a duodenal ulcer resulting from H. pylori infection. Obstructive jaundice is a seldom reported complication of duodenal ulcer, particularly in children. This report reviews H. pylori infection, outlines complications of peptic ulcer disease, and illustrates the rarity of obstructive jaundice as a presenting sign of duodenal ulcer in children.

求助全文
通过发布文献求助,成功后即可免费获取论文全文。 去求助
来源期刊
CiteScore
1.20
自引率
0.00%
发文量
6
期刊介绍: The Journal for the Study of the Historical Jesus provides an international forum for the academic discussion of Jesus within the context of first-century Palestine. The journal is accessible to all who are interested in how this complex topic has been addressed in the past and how it is approached today. The journal investigates the social, cultural and historical context in which Jesus lived, discusses methodological issues surrounding the reconstruction of the historical Jesus, examines the history of research on Jesus and explores how the life of Jesus has been portrayed in the arts and other media.
×
引用
GB/T 7714-2015
复制
MLA
复制
APA
复制
导出至
BibTeX EndNote RefMan NoteFirst NoteExpress
×
提示
您的信息不完整,为了账户安全,请先补充。
现在去补充
×
提示
您因"违规操作"
具体请查看互助需知
我知道了
×
提示
确定
请完成安全验证×
copy
已复制链接
快去分享给好友吧!
我知道了
右上角分享
点击右上角分享
0
联系我们:info@booksci.cn Book学术提供免费学术资源搜索服务,方便国内外学者检索中英文文献。致力于提供最便捷和优质的服务体验。 Copyright © 2023 布克学术 All rights reserved.
京ICP备2023020795号-1
ghs 京公网安备 11010802042870号
Book学术文献互助
Book学术文献互助群
群 号:604180095
Book学术官方微信