结肠胃肠自主神经肿瘤:儿童持续性腹痛的罕见原因。

APSP journal of case reports Pub Date : 2016-01-01
Riccardo Guanà, Elisabetta Teruzzi, Salvatore Garofalo, Isabella Morra, Riccardo Lemini, Jürgen Schleef
{"title":"结肠胃肠自主神经肿瘤:儿童持续性腹痛的罕见原因。","authors":"Riccardo Guanà, Elisabetta Teruzzi, Salvatore Garofalo, Isabella Morra, Riccardo Lemini, Jürgen Schleef","doi":"","DOIUrl":null,"url":null,"abstract":"<p><p>Gastrointestinal autonomic nerve tumor (GANT) is extremely rare and considered a variant of gastrointestinal stromal tumors (GISTs). GANT originates from the intestinal autonomic nervous system mostly of small intestine or the stomach. We report a colonic GANT diagnosed in a 5-year-old child who presented with abdominal pain and fever for a long period. Colonic resection and end to end anastomosis proved curative without the need of chemo-radiotherapy. Given the rarity of the tumor, the patient is on our long term follow-up. </p>","PeriodicalId":89657,"journal":{"name":"APSP journal of case reports","volume":"7 1","pages":"8"},"PeriodicalIF":0.0000,"publicationDate":"2016-01-01","publicationTypes":"Journal Article","fieldsOfStudy":null,"isOpenAccess":false,"openAccessPdf":"https://www.ncbi.nlm.nih.gov/pmc/articles/PMC4715890/pdf/","citationCount":"0","resultStr":"{\"title\":\"Gastrointestinal Autonomic Nerve Tumor of the Colon: A Rare Cause of Persistent Abdominal Pain in a Child.\",\"authors\":\"Riccardo Guanà, Elisabetta Teruzzi, Salvatore Garofalo, Isabella Morra, Riccardo Lemini, Jürgen Schleef\",\"doi\":\"\",\"DOIUrl\":null,\"url\":null,\"abstract\":\"<p><p>Gastrointestinal autonomic nerve tumor (GANT) is extremely rare and considered a variant of gastrointestinal stromal tumors (GISTs). GANT originates from the intestinal autonomic nervous system mostly of small intestine or the stomach. We report a colonic GANT diagnosed in a 5-year-old child who presented with abdominal pain and fever for a long period. Colonic resection and end to end anastomosis proved curative without the need of chemo-radiotherapy. Given the rarity of the tumor, the patient is on our long term follow-up. </p>\",\"PeriodicalId\":89657,\"journal\":{\"name\":\"APSP journal of case reports\",\"volume\":\"7 1\",\"pages\":\"8\"},\"PeriodicalIF\":0.0000,\"publicationDate\":\"2016-01-01\",\"publicationTypes\":\"Journal Article\",\"fieldsOfStudy\":null,\"isOpenAccess\":false,\"openAccessPdf\":\"https://www.ncbi.nlm.nih.gov/pmc/articles/PMC4715890/pdf/\",\"citationCount\":\"0\",\"resultStr\":null,\"platform\":\"Semanticscholar\",\"paperid\":null,\"PeriodicalName\":\"APSP journal of case reports\",\"FirstCategoryId\":\"1085\",\"ListUrlMain\":\"\",\"RegionNum\":0,\"RegionCategory\":null,\"ArticlePicture\":[],\"TitleCN\":null,\"AbstractTextCN\":null,\"PMCID\":null,\"EPubDate\":\"\",\"PubModel\":\"\",\"JCR\":\"\",\"JCRName\":\"\",\"Score\":null,\"Total\":0}","platform":"Semanticscholar","paperid":null,"PeriodicalName":"APSP journal of case reports","FirstCategoryId":"1085","ListUrlMain":"","RegionNum":0,"RegionCategory":null,"ArticlePicture":[],"TitleCN":null,"AbstractTextCN":null,"PMCID":null,"EPubDate":"","PubModel":"","JCR":"","JCRName":"","Score":null,"Total":0}
引用次数: 0

摘要

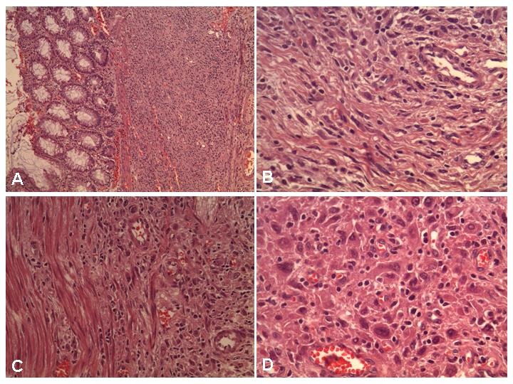
胃肠自主神经肿瘤(GANT)极为罕见,被认为是胃肠道间质瘤(GISTs)的一种变体。GANT主要来源于小肠或胃的肠道自主神经系统。我们报告了一名5岁儿童的结肠GANT诊断,该儿童长期腹痛和发烧。结肠切除和端对端吻合在不需要放化疗的情况下被证明是有效的。鉴于肿瘤的罕见性,该患者正在接受我们的长期随访。
本文章由计算机程序翻译,如有差异,请以英文原文为准。

Gastrointestinal Autonomic Nerve Tumor of the Colon: A Rare Cause of Persistent Abdominal Pain in a Child.

Gastrointestinal Autonomic Nerve Tumor of the Colon: A Rare Cause of Persistent Abdominal Pain in a Child.

Gastrointestinal Autonomic Nerve Tumor of the Colon: A Rare Cause of Persistent Abdominal Pain in a Child.

Gastrointestinal autonomic nerve tumor (GANT) is extremely rare and considered a variant of gastrointestinal stromal tumors (GISTs). GANT originates from the intestinal autonomic nervous system mostly of small intestine or the stomach. We report a colonic GANT diagnosed in a 5-year-old child who presented with abdominal pain and fever for a long period. Colonic resection and end to end anastomosis proved curative without the need of chemo-radiotherapy. Given the rarity of the tumor, the patient is on our long term follow-up.

求助全文
通过发布文献求助,成功后即可免费获取论文全文。 去求助
来源期刊
自引率
0.00%
发文量
0
×
引用
GB/T 7714-2015
复制
MLA
复制
APA
复制
导出至
BibTeX EndNote RefMan NoteFirst NoteExpress
×
提示
您的信息不完整,为了账户安全,请先补充。
现在去补充
×
提示
您因"违规操作"
具体请查看互助需知
我知道了
×
提示
确定
请完成安全验证×
copy
已复制链接
快去分享给好友吧!
我知道了
右上角分享
点击右上角分享
0
联系我们:info@booksci.cn Book学术提供免费学术资源搜索服务,方便国内外学者检索中英文文献。致力于提供最便捷和优质的服务体验。 Copyright © 2023 布克学术 All rights reserved.
京ICP备2023020795号-1
ghs 京公网安备 11010802042870号
Book学术文献互助
Book学术文献互助群
群 号:604180095
Book学术官方微信