A型主动脉夹层手术的“自然”病史。

Q3 Medicine
AORTA Pub Date : 2023-08-01 Epub Date: 2023-11-10 DOI:10.1055/s-0043-1774415
Gian B Danzi, Alberto Carrozza, Silvia Frattini
{"title":"A型主动脉夹层手术的“自然”病史。","authors":"Gian B Danzi, Alberto Carrozza, Silvia Frattini","doi":"10.1055/s-0043-1774415","DOIUrl":null,"url":null,"abstract":"<p><p>We describe the case of a 66-year-old gentleman with a previous replacement of the ascending aorta for an acute Type A aortic dissection who did not attend any scheduled follow-up visit. Seventeen years later, he presented to our institution with severe aortic regurgitation and with a giant aneurysmal dilation of the abdominal aorta.</p>","PeriodicalId":52392,"journal":{"name":"AORTA","volume":" ","pages":"162-163"},"PeriodicalIF":0.0000,"publicationDate":"2023-08-01","publicationTypes":"Journal Article","fieldsOfStudy":null,"isOpenAccess":false,"openAccessPdf":"https://www.ncbi.nlm.nih.gov/pmc/articles/PMC11038715/pdf/","citationCount":"0","resultStr":"{\"title\":\"\\\"Natural\\\" History of Operated Type A Aortic Dissection.\",\"authors\":\"Gian B Danzi, Alberto Carrozza, Silvia Frattini\",\"doi\":\"10.1055/s-0043-1774415\",\"DOIUrl\":null,\"url\":null,\"abstract\":\"<p><p>We describe the case of a 66-year-old gentleman with a previous replacement of the ascending aorta for an acute Type A aortic dissection who did not attend any scheduled follow-up visit. Seventeen years later, he presented to our institution with severe aortic regurgitation and with a giant aneurysmal dilation of the abdominal aorta.</p>\",\"PeriodicalId\":52392,\"journal\":{\"name\":\"AORTA\",\"volume\":\" \",\"pages\":\"162-163\"},\"PeriodicalIF\":0.0000,\"publicationDate\":\"2023-08-01\",\"publicationTypes\":\"Journal Article\",\"fieldsOfStudy\":null,\"isOpenAccess\":false,\"openAccessPdf\":\"https://www.ncbi.nlm.nih.gov/pmc/articles/PMC11038715/pdf/\",\"citationCount\":\"0\",\"resultStr\":null,\"platform\":\"Semanticscholar\",\"paperid\":null,\"PeriodicalName\":\"AORTA\",\"FirstCategoryId\":\"1085\",\"ListUrlMain\":\"https://doi.org/10.1055/s-0043-1774415\",\"RegionNum\":0,\"RegionCategory\":null,\"ArticlePicture\":[],\"TitleCN\":null,\"AbstractTextCN\":null,\"PMCID\":null,\"EPubDate\":\"2023/11/10 0:00:00\",\"PubModel\":\"Epub\",\"JCR\":\"Q3\",\"JCRName\":\"Medicine\",\"Score\":null,\"Total\":0}","platform":"Semanticscholar","paperid":null,"PeriodicalName":"AORTA","FirstCategoryId":"1085","ListUrlMain":"https://doi.org/10.1055/s-0043-1774415","RegionNum":0,"RegionCategory":null,"ArticlePicture":[],"TitleCN":null,"AbstractTextCN":null,"PMCID":null,"EPubDate":"2023/11/10 0:00:00","PubModel":"Epub","JCR":"Q3","JCRName":"Medicine","Score":null,"Total":0}
引用次数: 0

摘要

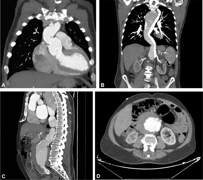
我们描述了一位66岁的男性患者的病例,他曾因急性a型主动脉夹层接受升主动脉置换术,但没有参加任何预定的随访。17年后,他因严重的主动脉反流和腹主动脉巨大的动脉瘤样扩张来到我们的机构。
本文章由计算机程序翻译,如有差异,请以英文原文为准。

"Natural" History of Operated Type A Aortic Dissection.

"Natural" History of Operated Type A Aortic Dissection.

We describe the case of a 66-year-old gentleman with a previous replacement of the ascending aorta for an acute Type A aortic dissection who did not attend any scheduled follow-up visit. Seventeen years later, he presented to our institution with severe aortic regurgitation and with a giant aneurysmal dilation of the abdominal aorta.

求助全文
通过发布文献求助,成功后即可免费获取论文全文。 去求助
来源期刊
AORTA
AORTA Medicine-Surgery
CiteScore
1.00
自引率
0.00%
发文量
119
×
引用
GB/T 7714-2015
复制
MLA
复制
APA
复制
导出至
BibTeX EndNote RefMan NoteFirst NoteExpress
×
提示
您的信息不完整,为了账户安全,请先补充。
现在去补充
×
提示
您因"违规操作"
具体请查看互助需知
我知道了
×
提示
确定
请完成安全验证×
copy
已复制链接
快去分享给好友吧!
我知道了
右上角分享
点击右上角分享
0
联系我们:info@booksci.cn Book学术提供免费学术资源搜索服务,方便国内外学者检索中英文文献。致力于提供最便捷和优质的服务体验。 Copyright © 2023 布克学术 All rights reserved.
京ICP备2023020795号-1
ghs 京公网安备 11010802042870号
Book学术文献互助
Book学术文献互助群
群 号:604180095
Book学术官方微信