子宫碰撞肿瘤。病例报告和文献回顾。

Franco Rafael Ruiz-Echeverría, María Islena Beltrán-Salazar, Lina María Caicedo-Páez, Maribel Palencia-Palacios, Catherin Salazar-Silva, David Viveros-Carreño
{"title":"子宫碰撞肿瘤。病例报告和文献回顾。","authors":"Franco Rafael Ruiz-Echeverría, María Islena Beltrán-Salazar, Lina María Caicedo-Páez, Maribel Palencia-Palacios, Catherin Salazar-Silva, David Viveros-Carreño","doi":"10.18597/rcog.4011","DOIUrl":null,"url":null,"abstract":"<p><strong>Objectives: </strong>To report the case of a patient with a uterine collision tumor and to conduct a review of the literature.</p><p><strong>Material and methods: </strong>A 76-year-old patient who presented to the national cancer referral center in Bogota (Colombia), where she was diagnosed with a uterine collision tumor consisting of a seroustype endometrial adenocarcinoma and a cervical adenosarcoma. The patient underwent surgical treatment followed by chemotherapy and supplemental radiotherapy, and died 16 months later. A search was conducted in the Medline via PubMed and Embase databases, including reports and case series of women with a diagnosis of uterine collision tumor, with retrieval of information regarding diagnosis, treatment and prognosis. A narrative summary of the findings was made.</p><p><strong>Results: </strong>The search identified 36 titles, of which 14 studies with 17 patients were included. The most frequent histopathological diagnosis was endometrial adenocarcinoma and high and low grade endometrial sarcoma (47 %). Primary treatment was surgery and adjuvant treatment with chemotherapy and radiotherapy (15 %) was performed in close to 50 % of cases. One-year survival was 75 %.</p><p><strong>Conclusions: </strong>No cases of uterine collision tumors with the histopathology or in the location of the reported case were found in the literature. If this reported case is taken into account, 2-year mortality is 28 %. Further studies to describe the immunohistochemistry, treatment and prognosis of this condition are needed.</p>","PeriodicalId":101422,"journal":{"name":"Revista colombiana de obstetricia y ginecologia","volume":"74 3","pages":"225-236"},"PeriodicalIF":0.0000,"publicationDate":"2023-09-30","publicationTypes":"Journal Article","fieldsOfStudy":null,"isOpenAccess":false,"openAccessPdf":"https://www.ncbi.nlm.nih.gov/pmc/articles/PMC10652777/pdf/","citationCount":"0","resultStr":"{\"title\":\"Uterine collision tumor. Case report and review of the literature\",\"authors\":\"Franco Rafael Ruiz-Echeverría, María Islena Beltrán-Salazar, Lina María Caicedo-Páez, Maribel Palencia-Palacios, Catherin Salazar-Silva, David Viveros-Carreño\",\"doi\":\"10.18597/rcog.4011\",\"DOIUrl\":null,\"url\":null,\"abstract\":\"<p><strong>Objectives: </strong>To report the case of a patient with a uterine collision tumor and to conduct a review of the literature.</p><p><strong>Material and methods: </strong>A 76-year-old patient who presented to the national cancer referral center in Bogota (Colombia), where she was diagnosed with a uterine collision tumor consisting of a seroustype endometrial adenocarcinoma and a cervical adenosarcoma. The patient underwent surgical treatment followed by chemotherapy and supplemental radiotherapy, and died 16 months later. A search was conducted in the Medline via PubMed and Embase databases, including reports and case series of women with a diagnosis of uterine collision tumor, with retrieval of information regarding diagnosis, treatment and prognosis. A narrative summary of the findings was made.</p><p><strong>Results: </strong>The search identified 36 titles, of which 14 studies with 17 patients were included. The most frequent histopathological diagnosis was endometrial adenocarcinoma and high and low grade endometrial sarcoma (47 %). Primary treatment was surgery and adjuvant treatment with chemotherapy and radiotherapy (15 %) was performed in close to 50 % of cases. One-year survival was 75 %.</p><p><strong>Conclusions: </strong>No cases of uterine collision tumors with the histopathology or in the location of the reported case were found in the literature. If this reported case is taken into account, 2-year mortality is 28 %. Further studies to describe the immunohistochemistry, treatment and prognosis of this condition are needed.</p>\",\"PeriodicalId\":101422,\"journal\":{\"name\":\"Revista colombiana de obstetricia y ginecologia\",\"volume\":\"74 3\",\"pages\":\"225-236\"},\"PeriodicalIF\":0.0000,\"publicationDate\":\"2023-09-30\",\"publicationTypes\":\"Journal Article\",\"fieldsOfStudy\":null,\"isOpenAccess\":false,\"openAccessPdf\":\"https://www.ncbi.nlm.nih.gov/pmc/articles/PMC10652777/pdf/\",\"citationCount\":\"0\",\"resultStr\":null,\"platform\":\"Semanticscholar\",\"paperid\":null,\"PeriodicalName\":\"Revista colombiana de obstetricia y ginecologia\",\"FirstCategoryId\":\"1085\",\"ListUrlMain\":\"https://doi.org/10.18597/rcog.4011\",\"RegionNum\":0,\"RegionCategory\":null,\"ArticlePicture\":[],\"TitleCN\":null,\"AbstractTextCN\":null,\"PMCID\":null,\"EPubDate\":\"\",\"PubModel\":\"\",\"JCR\":\"\",\"JCRName\":\"\",\"Score\":null,\"Total\":0}","platform":"Semanticscholar","paperid":null,"PeriodicalName":"Revista colombiana de obstetricia y ginecologia","FirstCategoryId":"1085","ListUrlMain":"https://doi.org/10.18597/rcog.4011","RegionNum":0,"RegionCategory":null,"ArticlePicture":[],"TitleCN":null,"AbstractTextCN":null,"PMCID":null,"EPubDate":"","PubModel":"","JCR":"","JCRName":"","Score":null,"Total":0}
引用次数: 0

摘要

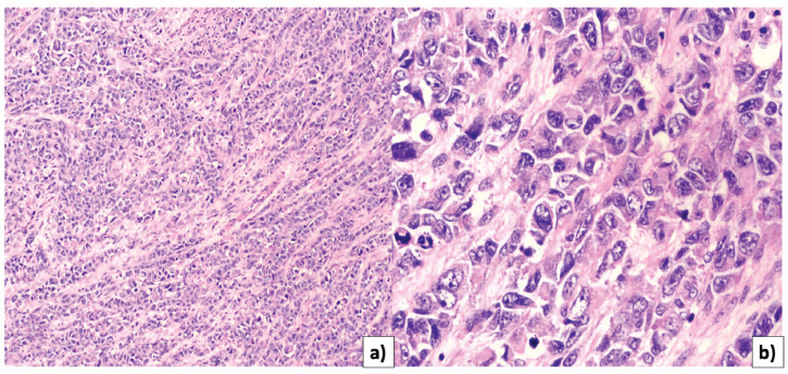
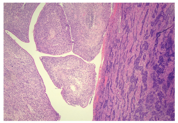
目的:报告一名子宫碰撞肿瘤患者的病例,并回顾有关该疾病的组织病理诊断、治疗和预后的文献。材料和方法:一名76岁的妇女咨询了哥伦比亚波哥大的国家癌症参考中心,在那里诊断出子宫碰撞肿瘤,由浆液性子宫内膜腺癌和宫颈腺肉瘤组成。他接受了手术治疗加上化疗和补充放疗,16个月后去世。通过PubMed和Embase在Medline数据库中搜索了文献,其中包括诊断为子宫碰撞肿瘤的妇女的报告和病例系列,并提取了有关诊断、治疗和预后的信息。对发现进行了叙述性总结。结果:搜索确定了36个标题,其中包括14项研究,其中包括17名患者。最常见的组织病理诊断是子宫内膜样腺癌和高低级别子宫内膜肉瘤(47%)。基本治疗是外科手术。近50%的人接受了化疗和放疗的辅助治疗(15%)。1年生存率为75%。结论:在文献中,没有发现子宫碰撞肿瘤的病例与组织病理学和出现病例的位置有关。如果考虑到报告的病例,两年死亡率接近28%。需要进行更多的研究来描述这种情况的免疫组化、治疗和预后。
本文章由计算机程序翻译,如有差异,请以英文原文为准。

Uterine collision tumor. Case report and review of the literature

Uterine collision tumor. Case report and review of the literature

Uterine collision tumor. Case report and review of the literature

Uterine collision tumor. Case report and review of the literature

Objectives: To report the case of a patient with a uterine collision tumor and to conduct a review of the literature.

Material and methods: A 76-year-old patient who presented to the national cancer referral center in Bogota (Colombia), where she was diagnosed with a uterine collision tumor consisting of a seroustype endometrial adenocarcinoma and a cervical adenosarcoma. The patient underwent surgical treatment followed by chemotherapy and supplemental radiotherapy, and died 16 months later. A search was conducted in the Medline via PubMed and Embase databases, including reports and case series of women with a diagnosis of uterine collision tumor, with retrieval of information regarding diagnosis, treatment and prognosis. A narrative summary of the findings was made.

Results: The search identified 36 titles, of which 14 studies with 17 patients were included. The most frequent histopathological diagnosis was endometrial adenocarcinoma and high and low grade endometrial sarcoma (47 %). Primary treatment was surgery and adjuvant treatment with chemotherapy and radiotherapy (15 %) was performed in close to 50 % of cases. One-year survival was 75 %.

Conclusions: No cases of uterine collision tumors with the histopathology or in the location of the reported case were found in the literature. If this reported case is taken into account, 2-year mortality is 28 %. Further studies to describe the immunohistochemistry, treatment and prognosis of this condition are needed.

求助全文
通过发布文献求助,成功后即可免费获取论文全文。 去求助
来源期刊
自引率
0.00%
发文量
0
×
引用
GB/T 7714-2015
复制
MLA
复制
APA
复制
导出至
BibTeX EndNote RefMan NoteFirst NoteExpress
×
提示
您的信息不完整,为了账户安全,请先补充。
现在去补充
×
提示
您因"违规操作"
具体请查看互助需知
我知道了
×
提示
确定
请完成安全验证×
copy
已复制链接
快去分享给好友吧!
我知道了
右上角分享
点击右上角分享
0
联系我们:info@booksci.cn Book学术提供免费学术资源搜索服务,方便国内外学者检索中英文文献。致力于提供最便捷和优质的服务体验。 Copyright © 2023 布克学术 All rights reserved.
京ICP备2023020795号-1
ghs 京公网安备 11010802042870号
Book学术文献互助
Book学术文献互助群
群 号:604180095
Book学术官方微信