纤维肌发育不良患者应用分流器治疗后迟发性致命性椎动脉破裂:一例报告并文献复习。

Min-Woo Kim, Eun-Sung Park, Eun Suk Park, Dae-Won Kim
{"title":"纤维肌发育不良患者应用分流器治疗后迟发性致命性椎动脉破裂:一例报告并文献复习。","authors":"Min-Woo Kim, Eun-Sung Park, Eun Suk Park, Dae-Won Kim","doi":"10.7461/jcen.2023.E2023.10.002","DOIUrl":null,"url":null,"abstract":"<p><p>Fibromuscular dysplasia (FMD) is a noninflammatory arterial diseases that affects predominantly women. Multiple studies have demonstrated an increased prevalence of FMD in patients who experience carotid or vertebral artery dissection (VAD). This case report presents a 57-year-old female who presented with a headache and was diagnosed with partially thrombosed giant aneurysm of vertebral artery. This aneurysm was successfully treated with flow-diverter and coil, but new onset rupture of vertebral artery was detected two weeks later, leading to internal trapping. This case report underscores the need for awareness and understanding of treatment of dissection and aneurysm in patient who is suspected FMD.</p>","PeriodicalId":94072,"journal":{"name":"Journal of cerebrovascular and endovascular neurosurgery","volume":" ","pages":"204-209"},"PeriodicalIF":0.0000,"publicationDate":"2024-06-01","publicationTypes":"Journal Article","fieldsOfStudy":null,"isOpenAccess":false,"openAccessPdf":"https://www.ncbi.nlm.nih.gov/pmc/articles/PMC11220298/pdf/","citationCount":"0","resultStr":"{\"title\":\"Delayed fatal rupture of vertebral artery after treated with flow-diverter in fibromuscular dysplasia patient: A case report and review of the literature.\",\"authors\":\"Min-Woo Kim, Eun-Sung Park, Eun Suk Park, Dae-Won Kim\",\"doi\":\"10.7461/jcen.2023.E2023.10.002\",\"DOIUrl\":null,\"url\":null,\"abstract\":\"<p><p>Fibromuscular dysplasia (FMD) is a noninflammatory arterial diseases that affects predominantly women. Multiple studies have demonstrated an increased prevalence of FMD in patients who experience carotid or vertebral artery dissection (VAD). This case report presents a 57-year-old female who presented with a headache and was diagnosed with partially thrombosed giant aneurysm of vertebral artery. This aneurysm was successfully treated with flow-diverter and coil, but new onset rupture of vertebral artery was detected two weeks later, leading to internal trapping. This case report underscores the need for awareness and understanding of treatment of dissection and aneurysm in patient who is suspected FMD.</p>\",\"PeriodicalId\":94072,\"journal\":{\"name\":\"Journal of cerebrovascular and endovascular neurosurgery\",\"volume\":\" \",\"pages\":\"204-209\"},\"PeriodicalIF\":0.0000,\"publicationDate\":\"2024-06-01\",\"publicationTypes\":\"Journal Article\",\"fieldsOfStudy\":null,\"isOpenAccess\":false,\"openAccessPdf\":\"https://www.ncbi.nlm.nih.gov/pmc/articles/PMC11220298/pdf/\",\"citationCount\":\"0\",\"resultStr\":null,\"platform\":\"Semanticscholar\",\"paperid\":null,\"PeriodicalName\":\"Journal of cerebrovascular and endovascular neurosurgery\",\"FirstCategoryId\":\"1085\",\"ListUrlMain\":\"https://doi.org/10.7461/jcen.2023.E2023.10.002\",\"RegionNum\":0,\"RegionCategory\":null,\"ArticlePicture\":[],\"TitleCN\":null,\"AbstractTextCN\":null,\"PMCID\":null,\"EPubDate\":\"2023/10/31 0:00:00\",\"PubModel\":\"Epub\",\"JCR\":\"\",\"JCRName\":\"\",\"Score\":null,\"Total\":0}","platform":"Semanticscholar","paperid":null,"PeriodicalName":"Journal of cerebrovascular and endovascular neurosurgery","FirstCategoryId":"1085","ListUrlMain":"https://doi.org/10.7461/jcen.2023.E2023.10.002","RegionNum":0,"RegionCategory":null,"ArticlePicture":[],"TitleCN":null,"AbstractTextCN":null,"PMCID":null,"EPubDate":"2023/10/31 0:00:00","PubModel":"Epub","JCR":"","JCRName":"","Score":null,"Total":0}
引用次数: 0

摘要

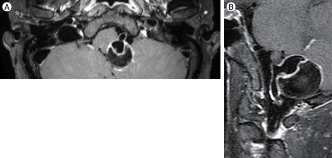
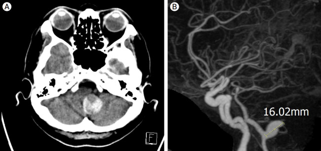
纤维肌发育不良(FMD)是一种主要影响女性的非炎症性动脉疾病。多项研究表明,在经历颈动脉或椎动脉夹层(VAD)的患者中,FMD的患病率增加。本病例报告介绍了一名57岁的女性,她表现出头痛,并被诊断为部分血栓形成的椎动脉巨大动脉瘤。该动脉瘤用分流器和线圈成功治疗,但两周后发现新发的椎动脉破裂,导致内陷。本病例报告强调了对疑似FMD患者的夹层和动脉瘤治疗的认识和理解的必要性。
本文章由计算机程序翻译,如有差异,请以英文原文为准。

Delayed fatal rupture of vertebral artery after treated with flow-diverter in fibromuscular dysplasia patient: A case report and review of the literature.

Delayed fatal rupture of vertebral artery after treated with flow-diverter in fibromuscular dysplasia patient: A case report and review of the literature.

Delayed fatal rupture of vertebral artery after treated with flow-diverter in fibromuscular dysplasia patient: A case report and review of the literature.

Delayed fatal rupture of vertebral artery after treated with flow-diverter in fibromuscular dysplasia patient: A case report and review of the literature.

Fibromuscular dysplasia (FMD) is a noninflammatory arterial diseases that affects predominantly women. Multiple studies have demonstrated an increased prevalence of FMD in patients who experience carotid or vertebral artery dissection (VAD). This case report presents a 57-year-old female who presented with a headache and was diagnosed with partially thrombosed giant aneurysm of vertebral artery. This aneurysm was successfully treated with flow-diverter and coil, but new onset rupture of vertebral artery was detected two weeks later, leading to internal trapping. This case report underscores the need for awareness and understanding of treatment of dissection and aneurysm in patient who is suspected FMD.

求助全文
通过发布文献求助,成功后即可免费获取论文全文。 去求助
来源期刊
CiteScore
1.10
自引率
0.00%
发文量
0
×
引用
GB/T 7714-2015
复制
MLA
复制
APA
复制
导出至
BibTeX EndNote RefMan NoteFirst NoteExpress
×
提示
您的信息不完整,为了账户安全,请先补充。
现在去补充
×
提示
您因"违规操作"
具体请查看互助需知
我知道了
×
提示
确定
请完成安全验证×
copy
已复制链接
快去分享给好友吧!
我知道了
右上角分享
点击右上角分享
0
联系我们:info@booksci.cn Book学术提供免费学术资源搜索服务,方便国内外学者检索中英文文献。致力于提供最便捷和优质的服务体验。 Copyright © 2023 布克学术 All rights reserved.
京ICP备2023020795号-1
ghs 京公网安备 11010802042870号
Book学术文献互助
Book学术文献互助群
群 号:604180095
Book学术官方微信