儿童中枢神经系统肿瘤血脑屏障的特征。

Christopher S Hong, Winson Ho, Martin G Piazza, Abhik Ray-Chaudhury, Zhengping Zhuang, John D Heiss
{"title":"儿童中枢神经系统肿瘤血脑屏障的特征。","authors":"Christopher S Hong, Winson Ho, Martin G Piazza, Abhik Ray-Chaudhury, Zhengping Zhuang, John D Heiss","doi":"10.5455/jihp.20160623053540","DOIUrl":null,"url":null,"abstract":"<p><strong>Objective: </strong>The normal blood-brain barrier (BBB) is composed of tight junctions between endothelial cells and surrounding astrocyte foot processes. Breakdown of the physiological astrocyte-endothelial cell relationship occurs in adult metastatic and primary brain tumors. However, the astrocyte-endothelial cell relationship has not been studied in pediatric tumors.</p><p><strong>Materials and methods: </strong>Utilizing specimens from cases of pilocytic astrocytoma (n = 5), medulloblastoma (n = 5), and low-grade diffuse astrocytoma (n = 1), immunofluorescence were performed using primary antibodies against CD31, glial fibrillary acidic protein (GFAP), and aquaporin 4 (AQ4). Clinical, magnetic resonance imaging, operative, and histopathological findings were analyzed.</p><p><strong>Results: </strong>Strongly-enhancing areas of medulloblastoma exhibited complete BBB breakdown with sparse GFAP and AQ4 staining around CD31-positive vessels. Moderately enhancing regions of pilocytic astrocytomas exhibited regions of intact BBB and vasculature surrounded by dense GFAP staining but reduced and disorganized AQ4 staining, suggesting tumor cells could not fulfill physiological BBB support. Non-enhancing low-grade diffuse astrocytoma demonstrated intact BBB with intense peri-microvasculature GFAP and AQ4 staining. AQ4 stained so strongly that AQ4 visualization alone delineated CD31-positive vessels.</p><p><strong>Conclusion: </strong>Taken together, BBB breakdown in pediatric tumors corresponds to a loss of normal endothelial cell-astrocyte foot process relationships. Further development of pharmaceutical agents capitalizing on this disrupted BBB is warranted in medulloblastoma and pilocytic astrocytoma. However, BBB integrity remains a challenge in treating low-grade diffuse astrocytoma before progression toward secondary glioblastoma.</p>","PeriodicalId":91320,"journal":{"name":"Journal of interdisciplinary histopathology","volume":"4 1","pages":"29-33"},"PeriodicalIF":0.0000,"publicationDate":"2016-01-01","publicationTypes":"Journal Article","fieldsOfStudy":null,"isOpenAccess":false,"openAccessPdf":"https://www.ncbi.nlm.nih.gov/pmc/articles/PMC5132180/pdf/","citationCount":"0","resultStr":"{\"title\":\"Characterization of the blood brain barrier in pediatric central nervous system neoplasms.\",\"authors\":\"Christopher S Hong, Winson Ho, Martin G Piazza, Abhik Ray-Chaudhury, Zhengping Zhuang, John D Heiss\",\"doi\":\"10.5455/jihp.20160623053540\",\"DOIUrl\":null,\"url\":null,\"abstract\":\"<p><strong>Objective: </strong>The normal blood-brain barrier (BBB) is composed of tight junctions between endothelial cells and surrounding astrocyte foot processes. Breakdown of the physiological astrocyte-endothelial cell relationship occurs in adult metastatic and primary brain tumors. However, the astrocyte-endothelial cell relationship has not been studied in pediatric tumors.</p><p><strong>Materials and methods: </strong>Utilizing specimens from cases of pilocytic astrocytoma (n = 5), medulloblastoma (n = 5), and low-grade diffuse astrocytoma (n = 1), immunofluorescence were performed using primary antibodies against CD31, glial fibrillary acidic protein (GFAP), and aquaporin 4 (AQ4). Clinical, magnetic resonance imaging, operative, and histopathological findings were analyzed.</p><p><strong>Results: </strong>Strongly-enhancing areas of medulloblastoma exhibited complete BBB breakdown with sparse GFAP and AQ4 staining around CD31-positive vessels. Moderately enhancing regions of pilocytic astrocytomas exhibited regions of intact BBB and vasculature surrounded by dense GFAP staining but reduced and disorganized AQ4 staining, suggesting tumor cells could not fulfill physiological BBB support. Non-enhancing low-grade diffuse astrocytoma demonstrated intact BBB with intense peri-microvasculature GFAP and AQ4 staining. AQ4 stained so strongly that AQ4 visualization alone delineated CD31-positive vessels.</p><p><strong>Conclusion: </strong>Taken together, BBB breakdown in pediatric tumors corresponds to a loss of normal endothelial cell-astrocyte foot process relationships. Further development of pharmaceutical agents capitalizing on this disrupted BBB is warranted in medulloblastoma and pilocytic astrocytoma. However, BBB integrity remains a challenge in treating low-grade diffuse astrocytoma before progression toward secondary glioblastoma.</p>\",\"PeriodicalId\":91320,\"journal\":{\"name\":\"Journal of interdisciplinary histopathology\",\"volume\":\"4 1\",\"pages\":\"29-33\"},\"PeriodicalIF\":0.0000,\"publicationDate\":\"2016-01-01\",\"publicationTypes\":\"Journal Article\",\"fieldsOfStudy\":null,\"isOpenAccess\":false,\"openAccessPdf\":\"https://www.ncbi.nlm.nih.gov/pmc/articles/PMC5132180/pdf/\",\"citationCount\":\"0\",\"resultStr\":null,\"platform\":\"Semanticscholar\",\"paperid\":null,\"PeriodicalName\":\"Journal of interdisciplinary histopathology\",\"FirstCategoryId\":\"1085\",\"ListUrlMain\":\"https://doi.org/10.5455/jihp.20160623053540\",\"RegionNum\":0,\"RegionCategory\":null,\"ArticlePicture\":[],\"TitleCN\":null,\"AbstractTextCN\":null,\"PMCID\":null,\"EPubDate\":\"\",\"PubModel\":\"\",\"JCR\":\"\",\"JCRName\":\"\",\"Score\":null,\"Total\":0}","platform":"Semanticscholar","paperid":null,"PeriodicalName":"Journal of interdisciplinary histopathology","FirstCategoryId":"1085","ListUrlMain":"https://doi.org/10.5455/jihp.20160623053540","RegionNum":0,"RegionCategory":null,"ArticlePicture":[],"TitleCN":null,"AbstractTextCN":null,"PMCID":null,"EPubDate":"","PubModel":"","JCR":"","JCRName":"","Score":null,"Total":0}
引用次数: 0

摘要

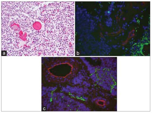
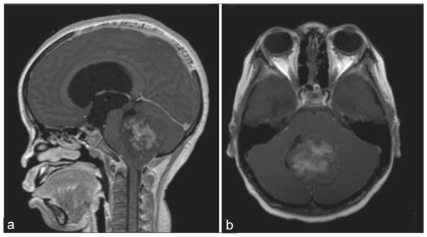
目的:正常血脑屏障(BBB)由内皮细胞与周围星形胶质足突紧密连接组成。星形胶质细胞与内皮细胞之间的生理关系在成人转移性和原发性脑肿瘤中发生破坏。然而,星形胶质细胞与内皮细胞的关系尚未在儿童肿瘤中得到研究。材料和方法:利用毛细胞性星形细胞瘤(n = 5)、成神经管细胞瘤(n = 5)和低级别弥漫性星形细胞瘤(n = 1)的标本,采用CD31、胶质纤维酸性蛋白(GFAP)和水通道蛋白4 (AQ4)的一抗进行免疫荧光检测。对临床、磁共振成像、手术和组织病理学结果进行分析。结果:髓母细胞瘤强增强区显示血脑屏障完全破坏,cd31阳性血管周围有稀疏的GFAP和AQ4染色。毛细胞星形细胞瘤的中度增强区显示完整的血脑屏障和血管区域被密集的GFAP染色包围,但AQ4染色减少和混乱,表明肿瘤细胞不能实现生理血脑屏障支持。未增强的低级别弥漫性星形细胞瘤显示血脑屏障完整,微血管周围GFAP和AQ4染色强烈。AQ4染色如此强烈,以至于仅AQ4可视化就能描绘出cd31阳性血管。结论:综上所述,儿童肿瘤血脑屏障的破坏对应于正常内皮细胞-星形胶质细胞足突关系的丧失。在髓母细胞瘤和毛细胞星形细胞瘤中,有必要进一步开发利用这种受损血脑屏障的药物。然而,在发展为继发性胶质母细胞瘤之前治疗低级别弥漫性星形细胞瘤时,血脑屏障完整性仍然是一个挑战。
本文章由计算机程序翻译,如有差异,请以英文原文为准。

Characterization of the blood brain barrier in pediatric central nervous system neoplasms.

Characterization of the blood brain barrier in pediatric central nervous system neoplasms.

Characterization of the blood brain barrier in pediatric central nervous system neoplasms.

Characterization of the blood brain barrier in pediatric central nervous system neoplasms.

Objective: The normal blood-brain barrier (BBB) is composed of tight junctions between endothelial cells and surrounding astrocyte foot processes. Breakdown of the physiological astrocyte-endothelial cell relationship occurs in adult metastatic and primary brain tumors. However, the astrocyte-endothelial cell relationship has not been studied in pediatric tumors.

Materials and methods: Utilizing specimens from cases of pilocytic astrocytoma (n = 5), medulloblastoma (n = 5), and low-grade diffuse astrocytoma (n = 1), immunofluorescence were performed using primary antibodies against CD31, glial fibrillary acidic protein (GFAP), and aquaporin 4 (AQ4). Clinical, magnetic resonance imaging, operative, and histopathological findings were analyzed.

Results: Strongly-enhancing areas of medulloblastoma exhibited complete BBB breakdown with sparse GFAP and AQ4 staining around CD31-positive vessels. Moderately enhancing regions of pilocytic astrocytomas exhibited regions of intact BBB and vasculature surrounded by dense GFAP staining but reduced and disorganized AQ4 staining, suggesting tumor cells could not fulfill physiological BBB support. Non-enhancing low-grade diffuse astrocytoma demonstrated intact BBB with intense peri-microvasculature GFAP and AQ4 staining. AQ4 stained so strongly that AQ4 visualization alone delineated CD31-positive vessels.

Conclusion: Taken together, BBB breakdown in pediatric tumors corresponds to a loss of normal endothelial cell-astrocyte foot process relationships. Further development of pharmaceutical agents capitalizing on this disrupted BBB is warranted in medulloblastoma and pilocytic astrocytoma. However, BBB integrity remains a challenge in treating low-grade diffuse astrocytoma before progression toward secondary glioblastoma.

求助全文
通过发布文献求助,成功后即可免费获取论文全文。 去求助
来源期刊
自引率
0.00%
发文量
0
×
引用
GB/T 7714-2015
复制
MLA
复制
APA
复制
导出至
BibTeX EndNote RefMan NoteFirst NoteExpress
×
提示
您的信息不完整,为了账户安全,请先补充。
现在去补充
×
提示
您因"违规操作"
具体请查看互助需知
我知道了
×
提示
确定
请完成安全验证×
copy
已复制链接
快去分享给好友吧!
我知道了
右上角分享
点击右上角分享
0
联系我们:info@booksci.cn Book学术提供免费学术资源搜索服务,方便国内外学者检索中英文文献。致力于提供最便捷和优质的服务体验。 Copyright © 2023 布克学术 All rights reserved.
京ICP备2023020795号-1
ghs 京公网安备 11010802042870号
Book学术文献互助
Book学术文献互助群
群 号:604180095
Book学术官方微信