涎石症的诊断挑战。

Q3 Medicine
Journal of Microscopy and Ultrastructure Pub Date : 2023-02-07 eCollection Date: 2024-10-01 DOI:10.4103/jmau.jmau_92_22
Sahar M N Bukhary
{"title":"涎石症的诊断挑战。","authors":"Sahar M N Bukhary","doi":"10.4103/jmau.jmau_92_22","DOIUrl":null,"url":null,"abstract":"<p><p>The major salivary glands (parotid, submandibular, and sublingual) are most frequently obstructed by calculi within the salivary gland, or more uncommonly, by ranulas. Despite the well-defined clinical and radiographic diagnostic features, sialolithiasis may sometimes be confused with sialadenitis and ranulas, especially when encountered in general dental practice. We, therefore, present a case that illustrates this diagnostic dilemma to highlight the salient features of all three conditions. A 28-year-old female presented with a history of a submandibular swelling for 8 months. On intraoral examination, a bluish sublingual swelling was identified at the left side of the lingual frenum, causing a slight elevation of the tongue. The preliminary diagnosis was of a ranula; however, the clinical history suggested sialolithiasis. A hard structure was palpated in the submandibular gland, and a mandibular occlusal film revealed a large ductal sialolith. Sialolithotomy was performed under local anesthesia, and a single 7.2 mm stone was retrieved. The postoperative follow-up period was uneventful, with good healing and restored normal salivary flow. Despite the fairly clear clinical and radiographic diagnostic criteria suggestive of sialolithiasis, the bluish-tinged swelling of the floor of the mouth prompted the examining dentist to provisionally diagnose a ranula. Sialolithiasis is a common obstructive condition of the salivary gland encountered in the dental setting. Despite the clinical and radiographic features usually guiding the correct diagnosis, it can be a challenging diagnosis for less experienced dentists, who must always carefully consider the history, clinical, and radiographic findings.</p>","PeriodicalId":16340,"journal":{"name":"Journal of Microscopy and Ultrastructure","volume":"1 1","pages":"221-224"},"PeriodicalIF":0.0000,"publicationDate":"2023-02-07","publicationTypes":"Journal Article","fieldsOfStudy":null,"isOpenAccess":false,"openAccessPdf":"https://www.ncbi.nlm.nih.gov/pmc/articles/PMC11729025/pdf/","citationCount":"0","resultStr":"{\"title\":\"The Diagnostic Challenge of Sialolithiasis.\",\"authors\":\"Sahar M N Bukhary\",\"doi\":\"10.4103/jmau.jmau_92_22\",\"DOIUrl\":null,\"url\":null,\"abstract\":\"<p><p>The major salivary glands (parotid, submandibular, and sublingual) are most frequently obstructed by calculi within the salivary gland, or more uncommonly, by ranulas. Despite the well-defined clinical and radiographic diagnostic features, sialolithiasis may sometimes be confused with sialadenitis and ranulas, especially when encountered in general dental practice. We, therefore, present a case that illustrates this diagnostic dilemma to highlight the salient features of all three conditions. A 28-year-old female presented with a history of a submandibular swelling for 8 months. On intraoral examination, a bluish sublingual swelling was identified at the left side of the lingual frenum, causing a slight elevation of the tongue. The preliminary diagnosis was of a ranula; however, the clinical history suggested sialolithiasis. A hard structure was palpated in the submandibular gland, and a mandibular occlusal film revealed a large ductal sialolith. Sialolithotomy was performed under local anesthesia, and a single 7.2 mm stone was retrieved. The postoperative follow-up period was uneventful, with good healing and restored normal salivary flow. Despite the fairly clear clinical and radiographic diagnostic criteria suggestive of sialolithiasis, the bluish-tinged swelling of the floor of the mouth prompted the examining dentist to provisionally diagnose a ranula. Sialolithiasis is a common obstructive condition of the salivary gland encountered in the dental setting. Despite the clinical and radiographic features usually guiding the correct diagnosis, it can be a challenging diagnosis for less experienced dentists, who must always carefully consider the history, clinical, and radiographic findings.</p>\",\"PeriodicalId\":16340,\"journal\":{\"name\":\"Journal of Microscopy and Ultrastructure\",\"volume\":\"1 1\",\"pages\":\"221-224\"},\"PeriodicalIF\":0.0000,\"publicationDate\":\"2023-02-07\",\"publicationTypes\":\"Journal Article\",\"fieldsOfStudy\":null,\"isOpenAccess\":false,\"openAccessPdf\":\"https://www.ncbi.nlm.nih.gov/pmc/articles/PMC11729025/pdf/\",\"citationCount\":\"0\",\"resultStr\":null,\"platform\":\"Semanticscholar\",\"paperid\":null,\"PeriodicalName\":\"Journal of Microscopy and Ultrastructure\",\"FirstCategoryId\":\"1085\",\"ListUrlMain\":\"https://doi.org/10.4103/jmau.jmau_92_22\",\"RegionNum\":0,\"RegionCategory\":null,\"ArticlePicture\":[],\"TitleCN\":null,\"AbstractTextCN\":null,\"PMCID\":null,\"EPubDate\":\"2024/10/1 0:00:00\",\"PubModel\":\"eCollection\",\"JCR\":\"Q3\",\"JCRName\":\"Medicine\",\"Score\":null,\"Total\":0}","platform":"Semanticscholar","paperid":null,"PeriodicalName":"Journal of Microscopy and Ultrastructure","FirstCategoryId":"1085","ListUrlMain":"https://doi.org/10.4103/jmau.jmau_92_22","RegionNum":0,"RegionCategory":null,"ArticlePicture":[],"TitleCN":null,"AbstractTextCN":null,"PMCID":null,"EPubDate":"2024/10/1 0:00:00","PubModel":"eCollection","JCR":"Q3","JCRName":"Medicine","Score":null,"Total":0}
引用次数: 0

摘要

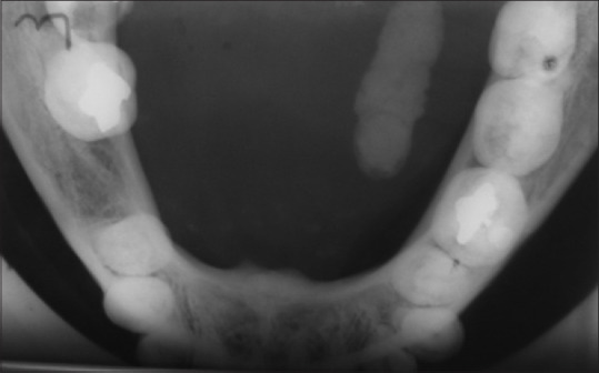
主要的唾液腺(腮腺、下颌骨和舌下)最常被唾液腺内的结石阻塞,或者更罕见的是被毛囊阻塞。尽管有明确的临床和影像学诊断特征,但涎石症有时可能与涎腺炎和小脓疱混淆,特别是在一般牙科实践中遇到时。因此,我们提出了一个案例来说明这一诊断困境,以突出这三种情况的显著特征。28岁女性,下颌下肿大8个月。口内检查发现舌系带左侧有蓝色舌下肿胀,引起舌部轻微抬高。初步诊断为瘘管;然而,临床病史提示涎石症。在颌下腺触诊到坚硬的结构,下颌咬合片显示一个大的导管唾液石。在局部麻醉下行唾液取石术,取出一颗7.2 mm的结石。术后随访顺利,患者愈合良好,唾液流量恢复正常。尽管有相当明确的临床和影像学诊断标准提示唾液石症,但口腔底部的淡蓝色肿胀促使检查的牙医暂时诊断为小瘘管。涎石症是一种常见的涎腺梗阻性疾病。尽管临床和放射学特征通常指导正确的诊断,但对于经验不足的牙医来说,这可能是一个具有挑战性的诊断,他们必须始终仔细考虑病史,临床和放射学结果。
本文章由计算机程序翻译,如有差异,请以英文原文为准。

The Diagnostic Challenge of Sialolithiasis.

The Diagnostic Challenge of Sialolithiasis.

The Diagnostic Challenge of Sialolithiasis.

The Diagnostic Challenge of Sialolithiasis.

The major salivary glands (parotid, submandibular, and sublingual) are most frequently obstructed by calculi within the salivary gland, or more uncommonly, by ranulas. Despite the well-defined clinical and radiographic diagnostic features, sialolithiasis may sometimes be confused with sialadenitis and ranulas, especially when encountered in general dental practice. We, therefore, present a case that illustrates this diagnostic dilemma to highlight the salient features of all three conditions. A 28-year-old female presented with a history of a submandibular swelling for 8 months. On intraoral examination, a bluish sublingual swelling was identified at the left side of the lingual frenum, causing a slight elevation of the tongue. The preliminary diagnosis was of a ranula; however, the clinical history suggested sialolithiasis. A hard structure was palpated in the submandibular gland, and a mandibular occlusal film revealed a large ductal sialolith. Sialolithotomy was performed under local anesthesia, and a single 7.2 mm stone was retrieved. The postoperative follow-up period was uneventful, with good healing and restored normal salivary flow. Despite the fairly clear clinical and radiographic diagnostic criteria suggestive of sialolithiasis, the bluish-tinged swelling of the floor of the mouth prompted the examining dentist to provisionally diagnose a ranula. Sialolithiasis is a common obstructive condition of the salivary gland encountered in the dental setting. Despite the clinical and radiographic features usually guiding the correct diagnosis, it can be a challenging diagnosis for less experienced dentists, who must always carefully consider the history, clinical, and radiographic findings.

求助全文
通过发布文献求助,成功后即可免费获取论文全文。 去求助
来源期刊
CiteScore
1.90
自引率
0.00%
发文量
46
×
引用
GB/T 7714-2015
复制
MLA
复制
APA
复制
导出至
BibTeX EndNote RefMan NoteFirst NoteExpress
×
提示
您的信息不完整,为了账户安全,请先补充。
现在去补充
×
提示
您因"违规操作"
具体请查看互助需知
我知道了
×
提示
确定
请完成安全验证×
copy
已复制链接
快去分享给好友吧!
我知道了
右上角分享
点击右上角分享
0
联系我们:info@booksci.cn Book学术提供免费学术资源搜索服务,方便国内外学者检索中英文文献。致力于提供最便捷和优质的服务体验。 Copyright © 2023 布克学术 All rights reserved.
京ICP备2023020795号-1
ghs 京公网安备 11010802042870号
Book学术文献互助
Book学术文献互助群
群 号:604180095
Book学术官方微信