作为角蛋白特殊染色剂的 "Ayoub-Shklar":组织病理学研究。

Q3 Medicine
Journal of Microscopy and Ultrastructure Pub Date : 2023-09-06 eCollection Date: 2024-07-01 DOI:10.4103/jmau.jmau_34_23
Raman Dineja, Harikrishnan Prasad, KenniyanKumar Sri Chinthu, Muthusamy Rajmohan
{"title":"作为角蛋白特殊染色剂的 \"Ayoub-Shklar\":组织病理学研究。","authors":"Raman Dineja, Harikrishnan Prasad, KenniyanKumar Sri Chinthu, Muthusamy Rajmohan","doi":"10.4103/jmau.jmau_34_23","DOIUrl":null,"url":null,"abstract":"<p><strong>Background: </strong>Special stains in histopathological studies are used to identify the structures with different dyes apart from the routine stain hematoxylin and Eosin (H and E). The component which is present in the special stains will have a specific bond and affinity for particular tissue components in the histological specimen. Structures like keratin takes up an eosinophilic stain in routine (H and E) staining. Most of the potentially malignant disorders and carcinomas arise due to the keratinization defect, which makes keratin an important diagnostic tool. There are different stains such as Ayoub-Shklar (A-S), Dane-Herman (D-H), and rapid Papanicolaou (PAP) which is used to identify keratin. In A-S stain, keratins can be stained in magenta-red and orange colors.</p><p><strong>Aim: </strong>we compared A-S special stain and routine stain in terms of staining intensity or quality, the pattern of staining, and specificity for staining keratin.</p><p><strong>Materials and methods: </strong>Thirty cases from the department archives that included 10 well-differentiated squamous cell carcinoma, 10 verrucous carcinoma, and 10 epithelial dysplasia were taken and each case was stained with both A-S and H and E stain.</p><p><strong>Results: </strong>A-S showed an almost equal distribution of uniform and patchy staining patterns, but H and E showed more patchy staining patterns in the three groups. H and E stain shows good staining quality than A-S. A-S shows almost 90% of satisfactory staining specificity.</p><p><strong>Conclusion: </strong>Special stain like A-S stain can be used to stain keratin in different color, but H and E always remain gold standard stain.</p>","PeriodicalId":16340,"journal":{"name":"Journal of Microscopy and Ultrastructure","volume":"1 1","pages":"109-113"},"PeriodicalIF":0.0000,"publicationDate":"2023-09-06","publicationTypes":"Journal Article","fieldsOfStudy":null,"isOpenAccess":false,"openAccessPdf":"https://www.ncbi.nlm.nih.gov/pmc/articles/PMC11537365/pdf/","citationCount":"0","resultStr":"{\"title\":\"\\\"Ayoub-Shklar\\\" as a Special Stain for Keratin: A Histopathological Study.\",\"authors\":\"Raman Dineja, Harikrishnan Prasad, KenniyanKumar Sri Chinthu, Muthusamy Rajmohan\",\"doi\":\"10.4103/jmau.jmau_34_23\",\"DOIUrl\":null,\"url\":null,\"abstract\":\"<p><strong>Background: </strong>Special stains in histopathological studies are used to identify the structures with different dyes apart from the routine stain hematoxylin and Eosin (H and E). The component which is present in the special stains will have a specific bond and affinity for particular tissue components in the histological specimen. Structures like keratin takes up an eosinophilic stain in routine (H and E) staining. Most of the potentially malignant disorders and carcinomas arise due to the keratinization defect, which makes keratin an important diagnostic tool. There are different stains such as Ayoub-Shklar (A-S), Dane-Herman (D-H), and rapid Papanicolaou (PAP) which is used to identify keratin. In A-S stain, keratins can be stained in magenta-red and orange colors.</p><p><strong>Aim: </strong>we compared A-S special stain and routine stain in terms of staining intensity or quality, the pattern of staining, and specificity for staining keratin.</p><p><strong>Materials and methods: </strong>Thirty cases from the department archives that included 10 well-differentiated squamous cell carcinoma, 10 verrucous carcinoma, and 10 epithelial dysplasia were taken and each case was stained with both A-S and H and E stain.</p><p><strong>Results: </strong>A-S showed an almost equal distribution of uniform and patchy staining patterns, but H and E showed more patchy staining patterns in the three groups. H and E stain shows good staining quality than A-S. A-S shows almost 90% of satisfactory staining specificity.</p><p><strong>Conclusion: </strong>Special stain like A-S stain can be used to stain keratin in different color, but H and E always remain gold standard stain.</p>\",\"PeriodicalId\":16340,\"journal\":{\"name\":\"Journal of Microscopy and Ultrastructure\",\"volume\":\"1 1\",\"pages\":\"109-113\"},\"PeriodicalIF\":0.0000,\"publicationDate\":\"2023-09-06\",\"publicationTypes\":\"Journal Article\",\"fieldsOfStudy\":null,\"isOpenAccess\":false,\"openAccessPdf\":\"https://www.ncbi.nlm.nih.gov/pmc/articles/PMC11537365/pdf/\",\"citationCount\":\"0\",\"resultStr\":null,\"platform\":\"Semanticscholar\",\"paperid\":null,\"PeriodicalName\":\"Journal of Microscopy and Ultrastructure\",\"FirstCategoryId\":\"1085\",\"ListUrlMain\":\"https://doi.org/10.4103/jmau.jmau_34_23\",\"RegionNum\":0,\"RegionCategory\":null,\"ArticlePicture\":[],\"TitleCN\":null,\"AbstractTextCN\":null,\"PMCID\":null,\"EPubDate\":\"2024/7/1 0:00:00\",\"PubModel\":\"eCollection\",\"JCR\":\"Q3\",\"JCRName\":\"Medicine\",\"Score\":null,\"Total\":0}","platform":"Semanticscholar","paperid":null,"PeriodicalName":"Journal of Microscopy and Ultrastructure","FirstCategoryId":"1085","ListUrlMain":"https://doi.org/10.4103/jmau.jmau_34_23","RegionNum":0,"RegionCategory":null,"ArticlePicture":[],"TitleCN":null,"AbstractTextCN":null,"PMCID":null,"EPubDate":"2024/7/1 0:00:00","PubModel":"eCollection","JCR":"Q3","JCRName":"Medicine","Score":null,"Total":0}
引用次数: 0

摘要

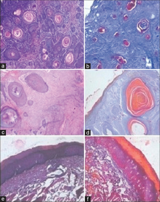
背景:在组织病理学研究中,除了常规的苏木精和伊红(H 和 E)染色外,还使用特殊染色来识别结构。特殊染色剂中的成分与组织学标本中的特定组织成分具有特定的结合力和亲和力。在常规(H 和 E)染色中,角蛋白等结构会被嗜酸性染色剂染色。大多数潜在的恶性疾病和癌症都是由于角质化缺陷引起的,因此角蛋白是一种重要的诊断工具。有不同的染色法,如 Ayoub-Shklar 染色法(A-S)、Dane-Herman 染色法(D-H)和快速巴氏染色法(PAP),可用于鉴别角蛋白。在 A-S 染色法中,角蛋白可被染成品红色和橙色。目的:我们比较了 A-S 特殊染色法和常规染色法在染色强度或质量、染色模式以及对角蛋白染色的特异性方面的差异:从科室档案中抽取30个病例,包括10个分化良好的鳞状细胞癌、10个疣状癌和10个上皮发育不良,每个病例都用A-S和H、E染色:结果:A-S染色显示出均匀和斑片状染色模式的几乎均等分布,但H和E染色在三组中显示出更多的斑片状染色模式。与 A-S 相比,H 和 E 染色显示出良好的染色质量。结论:结论:A-S 染色法等特殊染色法可用于对不同颜色的角蛋白进行染色,但 H 和 E 染色法始终是金标准染色法。
本文章由计算机程序翻译,如有差异,请以英文原文为准。

"Ayoub-Shklar" as a Special Stain for Keratin: A Histopathological Study.

"Ayoub-Shklar" as a Special Stain for Keratin: A Histopathological Study.

"Ayoub-Shklar" as a Special Stain for Keratin: A Histopathological Study.

"Ayoub-Shklar" as a Special Stain for Keratin: A Histopathological Study.

Background: Special stains in histopathological studies are used to identify the structures with different dyes apart from the routine stain hematoxylin and Eosin (H and E). The component which is present in the special stains will have a specific bond and affinity for particular tissue components in the histological specimen. Structures like keratin takes up an eosinophilic stain in routine (H and E) staining. Most of the potentially malignant disorders and carcinomas arise due to the keratinization defect, which makes keratin an important diagnostic tool. There are different stains such as Ayoub-Shklar (A-S), Dane-Herman (D-H), and rapid Papanicolaou (PAP) which is used to identify keratin. In A-S stain, keratins can be stained in magenta-red and orange colors.

Aim: we compared A-S special stain and routine stain in terms of staining intensity or quality, the pattern of staining, and specificity for staining keratin.

Materials and methods: Thirty cases from the department archives that included 10 well-differentiated squamous cell carcinoma, 10 verrucous carcinoma, and 10 epithelial dysplasia were taken and each case was stained with both A-S and H and E stain.

Results: A-S showed an almost equal distribution of uniform and patchy staining patterns, but H and E showed more patchy staining patterns in the three groups. H and E stain shows good staining quality than A-S. A-S shows almost 90% of satisfactory staining specificity.

Conclusion: Special stain like A-S stain can be used to stain keratin in different color, but H and E always remain gold standard stain.

求助全文
通过发布文献求助,成功后即可免费获取论文全文。 去求助
来源期刊
CiteScore
1.90
自引率
0.00%
发文量
46
×
引用
GB/T 7714-2015
复制
MLA
复制
APA
复制
导出至
BibTeX EndNote RefMan NoteFirst NoteExpress
×
提示
您的信息不完整,为了账户安全,请先补充。
现在去补充
×
提示
您因"违规操作"
具体请查看互助需知
我知道了
×
提示
确定
请完成安全验证×
copy
已复制链接
快去分享给好友吧!
我知道了
右上角分享
点击右上角分享
0
联系我们:info@booksci.cn Book学术提供免费学术资源搜索服务,方便国内外学者检索中英文文献。致力于提供最便捷和优质的服务体验。 Copyright © 2023 布克学术 All rights reserved.
京ICP备2023020795号-1
ghs 京公网安备 11010802042870号
Book学术文献互助
Book学术文献互助群
群 号:604180095
Book学术官方微信