α地中海贫血/智力残疾综合征x连锁表达在雄激素受体阳性和雄激素受体阴性前列腺腺癌中有显著差异:与表皮生长因子受体表达和临床病理因素的关系

Q3 Medicine
Journal of Microscopy and Ultrastructure Pub Date : 2023-03-22 eCollection Date: 2025-04-01 DOI:10.4103/jmau.jmau_119_22
Marwa A Abd El-Azeem, Dina A Radi
{"title":"α地中海贫血/智力残疾综合征x连锁表达在雄激素受体阳性和雄激素受体阴性前列腺腺癌中有显著差异:与表皮生长因子受体表达和临床病理因素的关系","authors":"Marwa A Abd El-Azeem, Dina A Radi","doi":"10.4103/jmau.jmau_119_22","DOIUrl":null,"url":null,"abstract":"<p><strong>Background: </strong>Prostate cancer (PC) is the most common cancer and a leading cause of cancer-related mortality in men worldwide. It has become clear that signaling pathways that are implicated in prostatic carcinoma (PCa) initiation and propagation evolved through interactions of several factors. Alpha Thalassemia/Intellectual Disability syndrome X-linked (ATRX) is a chromatin remodeling protein that has an essential role in telomere stability. The androgen receptor (AR) and growth factors especially the epidermal growth factor receptor (EGFR) seem not to function independently in PCa proliferation. This work aimed to study the expression of ATRX in primary prostatic adenocarcinoma in relation to AR and EGFR expression and the significance of biomarkers expression to the known clinicopathological factors.</p><p><strong>Materials and methods: </strong>Eighty-two primary prostatic adenocarcinoma paraffin blocks were stained immunohistochemically with AR, ATRX, and EGFR polyclonal antibodies. PCa was divided into AR<sup>+/hi</sup> and AR<sup>-/lo</sup> depending on the percentage and intensity of stained cells regardless of AR heterogeneity. ATRX immunostaining was categorized into ATRX preserved expression or ATRX loss. EGFR expression was grouped into low and high expression according to the staining percentage and intensity.</p><p><strong>Results: </strong>AR<sup>+/hi</sup> and preserved ATRX expression significantly were linked to low pT stage, low-grade group, and absence of lymph node invasion. While significant EGFR high expression was related to the high-grade group and the presence of lymph node invasion.</p><p><strong>Conclusion: </strong>ATRX preserved expression varies significantly between AR<sup>+/hi</sup> and AR<sup>-/lo</sup> PCa which is related to favorable clinicopathological factors. However, the loss of ATRX expression correlated significantly with AR<sup>-/low</sup>, high EGFR expression, and adverse clinicopathological factors.</p>","PeriodicalId":16340,"journal":{"name":"Journal of Microscopy and Ultrastructure","volume":"1 1","pages":"57-67"},"PeriodicalIF":0.0000,"publicationDate":"2023-03-22","publicationTypes":"Journal Article","fieldsOfStudy":null,"isOpenAccess":false,"openAccessPdf":"https://www.ncbi.nlm.nih.gov/pmc/articles/PMC12236420/pdf/","citationCount":"0","resultStr":"{\"title\":\"Alpha Thalassemia/Intellectual Disability Syndrome X-Linked Expression Varies Significantly between Androgen Receptor-Positive and Androgen Receptor-Negative Prostatic Adenocarcinoma: Relation to Epidermal Growth Factor Receptor Expression and Clinicopathological Factors.\",\"authors\":\"Marwa A Abd El-Azeem, Dina A Radi\",\"doi\":\"10.4103/jmau.jmau_119_22\",\"DOIUrl\":null,\"url\":null,\"abstract\":\"<p><strong>Background: </strong>Prostate cancer (PC) is the most common cancer and a leading cause of cancer-related mortality in men worldwide. It has become clear that signaling pathways that are implicated in prostatic carcinoma (PCa) initiation and propagation evolved through interactions of several factors. Alpha Thalassemia/Intellectual Disability syndrome X-linked (ATRX) is a chromatin remodeling protein that has an essential role in telomere stability. The androgen receptor (AR) and growth factors especially the epidermal growth factor receptor (EGFR) seem not to function independently in PCa proliferation. This work aimed to study the expression of ATRX in primary prostatic adenocarcinoma in relation to AR and EGFR expression and the significance of biomarkers expression to the known clinicopathological factors.</p><p><strong>Materials and methods: </strong>Eighty-two primary prostatic adenocarcinoma paraffin blocks were stained immunohistochemically with AR, ATRX, and EGFR polyclonal antibodies. PCa was divided into AR<sup>+/hi</sup> and AR<sup>-/lo</sup> depending on the percentage and intensity of stained cells regardless of AR heterogeneity. ATRX immunostaining was categorized into ATRX preserved expression or ATRX loss. EGFR expression was grouped into low and high expression according to the staining percentage and intensity.</p><p><strong>Results: </strong>AR<sup>+/hi</sup> and preserved ATRX expression significantly were linked to low pT stage, low-grade group, and absence of lymph node invasion. While significant EGFR high expression was related to the high-grade group and the presence of lymph node invasion.</p><p><strong>Conclusion: </strong>ATRX preserved expression varies significantly between AR<sup>+/hi</sup> and AR<sup>-/lo</sup> PCa which is related to favorable clinicopathological factors. However, the loss of ATRX expression correlated significantly with AR<sup>-/low</sup>, high EGFR expression, and adverse clinicopathological factors.</p>\",\"PeriodicalId\":16340,\"journal\":{\"name\":\"Journal of Microscopy and Ultrastructure\",\"volume\":\"1 1\",\"pages\":\"57-67\"},\"PeriodicalIF\":0.0000,\"publicationDate\":\"2023-03-22\",\"publicationTypes\":\"Journal Article\",\"fieldsOfStudy\":null,\"isOpenAccess\":false,\"openAccessPdf\":\"https://www.ncbi.nlm.nih.gov/pmc/articles/PMC12236420/pdf/\",\"citationCount\":\"0\",\"resultStr\":null,\"platform\":\"Semanticscholar\",\"paperid\":null,\"PeriodicalName\":\"Journal of Microscopy and Ultrastructure\",\"FirstCategoryId\":\"1085\",\"ListUrlMain\":\"https://doi.org/10.4103/jmau.jmau_119_22\",\"RegionNum\":0,\"RegionCategory\":null,\"ArticlePicture\":[],\"TitleCN\":null,\"AbstractTextCN\":null,\"PMCID\":null,\"EPubDate\":\"2025/4/1 0:00:00\",\"PubModel\":\"eCollection\",\"JCR\":\"Q3\",\"JCRName\":\"Medicine\",\"Score\":null,\"Total\":0}","platform":"Semanticscholar","paperid":null,"PeriodicalName":"Journal of Microscopy and Ultrastructure","FirstCategoryId":"1085","ListUrlMain":"https://doi.org/10.4103/jmau.jmau_119_22","RegionNum":0,"RegionCategory":null,"ArticlePicture":[],"TitleCN":null,"AbstractTextCN":null,"PMCID":null,"EPubDate":"2025/4/1 0:00:00","PubModel":"eCollection","JCR":"Q3","JCRName":"Medicine","Score":null,"Total":0}
引用次数: 0

摘要

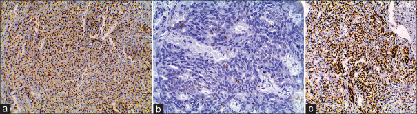
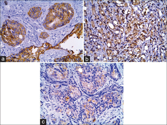
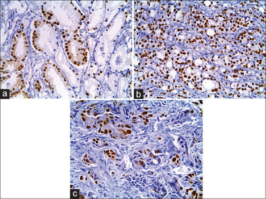
背景:前列腺癌(PC)是世界范围内最常见的癌症,也是男性癌症相关死亡的主要原因。前列腺癌(PCa)发生和传播的信号通路是多种因素相互作用的结果。α地中海贫血/智力残疾综合征x连锁(ATRX)是一种染色质重塑蛋白,在端粒稳定性中起重要作用。雄激素受体(AR)和生长因子,尤其是表皮生长因子受体(EGFR)在前列腺癌的增殖过程中似乎不是独立起作用的。本研究旨在研究ATRX在原发性前列腺腺癌中表达与AR和EGFR表达的关系,以及生物标志物表达对已知临床病理因素的意义。材料和方法:用AR、ATRX和EGFR多克隆抗体对82例原发性前列腺癌石蜡块进行免疫组织化学染色。不考虑AR异质性,根据染色细胞的百分比和强度将PCa分为AR+/hi和AR-/lo。ATRX免疫染色分为ATRX保留表达和ATRX缺失。根据染色百分率和染色强度将EGFR表达分为低表达和高表达。结果:AR+/hi和保留的ATRX表达与低pT分期、低分级组和无淋巴结浸润相关。而EGFR显著高表达与高级别组及淋巴结浸润有关。结论:ATRX保留表达在AR+/hi和AR-/lo PCa中存在显著差异,这与有利的临床病理因素有关。然而,ATRX表达的缺失与AR-/低、高EGFR表达和不良临床病理因素显著相关。
本文章由计算机程序翻译,如有差异,请以英文原文为准。

Alpha Thalassemia/Intellectual Disability Syndrome X-Linked Expression Varies Significantly between Androgen Receptor-Positive and Androgen Receptor-Negative Prostatic Adenocarcinoma: Relation to Epidermal Growth Factor Receptor Expression and Clinicopathological Factors.

Alpha Thalassemia/Intellectual Disability Syndrome X-Linked Expression Varies Significantly between Androgen Receptor-Positive and Androgen Receptor-Negative Prostatic Adenocarcinoma: Relation to Epidermal Growth Factor Receptor Expression and Clinicopathological Factors.

Alpha Thalassemia/Intellectual Disability Syndrome X-Linked Expression Varies Significantly between Androgen Receptor-Positive and Androgen Receptor-Negative Prostatic Adenocarcinoma: Relation to Epidermal Growth Factor Receptor Expression and Clinicopathological Factors.

Alpha Thalassemia/Intellectual Disability Syndrome X-Linked Expression Varies Significantly between Androgen Receptor-Positive and Androgen Receptor-Negative Prostatic Adenocarcinoma: Relation to Epidermal Growth Factor Receptor Expression and Clinicopathological Factors.

Background: Prostate cancer (PC) is the most common cancer and a leading cause of cancer-related mortality in men worldwide. It has become clear that signaling pathways that are implicated in prostatic carcinoma (PCa) initiation and propagation evolved through interactions of several factors. Alpha Thalassemia/Intellectual Disability syndrome X-linked (ATRX) is a chromatin remodeling protein that has an essential role in telomere stability. The androgen receptor (AR) and growth factors especially the epidermal growth factor receptor (EGFR) seem not to function independently in PCa proliferation. This work aimed to study the expression of ATRX in primary prostatic adenocarcinoma in relation to AR and EGFR expression and the significance of biomarkers expression to the known clinicopathological factors.

Materials and methods: Eighty-two primary prostatic adenocarcinoma paraffin blocks were stained immunohistochemically with AR, ATRX, and EGFR polyclonal antibodies. PCa was divided into AR+/hi and AR-/lo depending on the percentage and intensity of stained cells regardless of AR heterogeneity. ATRX immunostaining was categorized into ATRX preserved expression or ATRX loss. EGFR expression was grouped into low and high expression according to the staining percentage and intensity.

Results: AR+/hi and preserved ATRX expression significantly were linked to low pT stage, low-grade group, and absence of lymph node invasion. While significant EGFR high expression was related to the high-grade group and the presence of lymph node invasion.

Conclusion: ATRX preserved expression varies significantly between AR+/hi and AR-/lo PCa which is related to favorable clinicopathological factors. However, the loss of ATRX expression correlated significantly with AR-/low, high EGFR expression, and adverse clinicopathological factors.

求助全文
通过发布文献求助,成功后即可免费获取论文全文。 去求助
来源期刊
CiteScore
1.90
自引率
0.00%
发文量
46
×
引用
GB/T 7714-2015
复制
MLA
复制
APA
复制
导出至
BibTeX EndNote RefMan NoteFirst NoteExpress
×
提示
您的信息不完整,为了账户安全,请先补充。
现在去补充
×
提示
您因"违规操作"
具体请查看互助需知
我知道了
×
提示
确定
请完成安全验证×
copy
已复制链接
快去分享给好友吧!
我知道了
右上角分享
点击右上角分享
0
联系我们:info@booksci.cn Book学术提供免费学术资源搜索服务,方便国内外学者检索中英文文献。致力于提供最便捷和优质的服务体验。 Copyright © 2023 布克学术 All rights reserved.
京ICP备2023020795号-1
ghs 京公网安备 11010802042870号
Book学术文献互助
Book学术文献互助群
群 号:604180095
Book学术官方微信