金纳米颗粒下调美洛昔康肝毒性诱导成年雄性白化大鼠α胎儿蛋白表达的组织学和免疫组织化学研究。

Q3 Medicine
Journal of Microscopy and Ultrastructure Pub Date : 2023-03-22 eCollection Date: 2025-01-01 DOI:10.4103/jmau.jmau_109_22
Hekmat Osman Abdel Aziz, Mai Nashat, Aziz Awaad, Sherine Ahmed Mohammed
{"title":"金纳米颗粒下调美洛昔康肝毒性诱导成年雄性白化大鼠α胎儿蛋白表达的组织学和免疫组织化学研究。","authors":"Hekmat Osman Abdel Aziz, Mai Nashat, Aziz Awaad, Sherine Ahmed Mohammed","doi":"10.4103/jmau.jmau_109_22","DOIUrl":null,"url":null,"abstract":"<p><strong>Background: </strong>Meloxicam is a non-steroidal anti-inflammatory drug most commonly used for the treatment of arthritis. Meloxicam decreases prostaglandin E2 resulting in an increase in free radical concentration within the cell. Alpha-fetoprotein (AFP) is a protein produced normally by the fetal liver in hepatoblasts. In inflammatory conditions, the adult liver synthesizes AFP by regenerating cells. Gold nanoparticles (AuNPs) in the medical field, represent one of the most commonly studied metal nanoparticles which have antioxidant properties.</p><p><strong>Objective: </strong>This study was conducted to evaluate the possible therapeutic effects of AuNPs on Meloxicam induced degenerative changes in rat liver.</p><p><strong>Materials and methods: </strong>fifty adult male albino rats were divided into 8 groups: The first group (control); the AuNPs group was treated with AuNPs daily for 2 weeks. The MEL 2w& MEL 2m groups were treated with meloxicam daily for 2 weeks and 2 months respectively. The MEL2w+AuNPs & MEL2m+AuNPs groups received AuNPs for 2 weeks after meloxicam injection daily for 2 weeks and 2 months respectively. The MEL2w+SAL & MEL2m+SAL groups were given meloxicam for 2 weeks and 2 months respectively followed by saline injection for 2 weeks. Histological changes, AuNPs localization in the liver by silver nitrate stain, and AFP immunoexpression were studied.</p><p><strong>Results: </strong>Time dependent Degenerative changes and increased AFP expression were observed in the liver after meloxicam injection. However, AuNPs ameliorated these changes and decreased AFP expression. AuNPs were detected in Kupffer cells.</p><p><strong>Conclusion: </strong>AuNPs could ameliorate meloxicam-induced toxicity in the liver and decrease AFP expression because AuNPs act as free radical scavengers which accumulate in Kupffer cells.</p>","PeriodicalId":16340,"journal":{"name":"Journal of Microscopy and Ultrastructure","volume":"114 1","pages":"8-15"},"PeriodicalIF":0.0000,"publicationDate":"2023-03-22","publicationTypes":"Journal Article","fieldsOfStudy":null,"isOpenAccess":false,"openAccessPdf":"https://www.ncbi.nlm.nih.gov/pmc/articles/PMC12063928/pdf/","citationCount":"0","resultStr":"{\"title\":\"Gold Nanoparticles Down-Regulate Alpha Fetoprotein Expression Induced by Meloxicam Hepatotoxicity in Adult Male Albino Rats: Histological and Immunohistochemical Study.\",\"authors\":\"Hekmat Osman Abdel Aziz, Mai Nashat, Aziz Awaad, Sherine Ahmed Mohammed\",\"doi\":\"10.4103/jmau.jmau_109_22\",\"DOIUrl\":null,\"url\":null,\"abstract\":\"<p><strong>Background: </strong>Meloxicam is a non-steroidal anti-inflammatory drug most commonly used for the treatment of arthritis. Meloxicam decreases prostaglandin E2 resulting in an increase in free radical concentration within the cell. Alpha-fetoprotein (AFP) is a protein produced normally by the fetal liver in hepatoblasts. In inflammatory conditions, the adult liver synthesizes AFP by regenerating cells. Gold nanoparticles (AuNPs) in the medical field, represent one of the most commonly studied metal nanoparticles which have antioxidant properties.</p><p><strong>Objective: </strong>This study was conducted to evaluate the possible therapeutic effects of AuNPs on Meloxicam induced degenerative changes in rat liver.</p><p><strong>Materials and methods: </strong>fifty adult male albino rats were divided into 8 groups: The first group (control); the AuNPs group was treated with AuNPs daily for 2 weeks. The MEL 2w& MEL 2m groups were treated with meloxicam daily for 2 weeks and 2 months respectively. The MEL2w+AuNPs & MEL2m+AuNPs groups received AuNPs for 2 weeks after meloxicam injection daily for 2 weeks and 2 months respectively. The MEL2w+SAL & MEL2m+SAL groups were given meloxicam for 2 weeks and 2 months respectively followed by saline injection for 2 weeks. Histological changes, AuNPs localization in the liver by silver nitrate stain, and AFP immunoexpression were studied.</p><p><strong>Results: </strong>Time dependent Degenerative changes and increased AFP expression were observed in the liver after meloxicam injection. However, AuNPs ameliorated these changes and decreased AFP expression. AuNPs were detected in Kupffer cells.</p><p><strong>Conclusion: </strong>AuNPs could ameliorate meloxicam-induced toxicity in the liver and decrease AFP expression because AuNPs act as free radical scavengers which accumulate in Kupffer cells.</p>\",\"PeriodicalId\":16340,\"journal\":{\"name\":\"Journal of Microscopy and Ultrastructure\",\"volume\":\"114 1\",\"pages\":\"8-15\"},\"PeriodicalIF\":0.0000,\"publicationDate\":\"2023-03-22\",\"publicationTypes\":\"Journal Article\",\"fieldsOfStudy\":null,\"isOpenAccess\":false,\"openAccessPdf\":\"https://www.ncbi.nlm.nih.gov/pmc/articles/PMC12063928/pdf/\",\"citationCount\":\"0\",\"resultStr\":null,\"platform\":\"Semanticscholar\",\"paperid\":null,\"PeriodicalName\":\"Journal of Microscopy and Ultrastructure\",\"FirstCategoryId\":\"1085\",\"ListUrlMain\":\"https://doi.org/10.4103/jmau.jmau_109_22\",\"RegionNum\":0,\"RegionCategory\":null,\"ArticlePicture\":[],\"TitleCN\":null,\"AbstractTextCN\":null,\"PMCID\":null,\"EPubDate\":\"2025/1/1 0:00:00\",\"PubModel\":\"eCollection\",\"JCR\":\"Q3\",\"JCRName\":\"Medicine\",\"Score\":null,\"Total\":0}","platform":"Semanticscholar","paperid":null,"PeriodicalName":"Journal of Microscopy and Ultrastructure","FirstCategoryId":"1085","ListUrlMain":"https://doi.org/10.4103/jmau.jmau_109_22","RegionNum":0,"RegionCategory":null,"ArticlePicture":[],"TitleCN":null,"AbstractTextCN":null,"PMCID":null,"EPubDate":"2025/1/1 0:00:00","PubModel":"eCollection","JCR":"Q3","JCRName":"Medicine","Score":null,"Total":0}
引用次数: 0

摘要

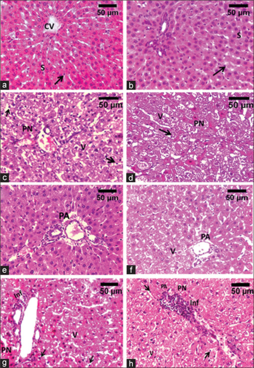
背景:美洛昔康是一种非甾体抗炎药,最常用于治疗关节炎。美洛昔康降低前列腺素E2,导致细胞内自由基浓度增加。甲胎蛋白(AFP)是一种由胎儿肝脏在肝母细胞中正常产生的蛋白。在炎症条件下,成人肝脏通过再生细胞合成甲胎蛋白。金纳米粒子是医学领域研究最多的具有抗氧化性能的金属纳米粒子之一。目的:探讨AuNPs对美洛昔康致大鼠肝脏退行性改变的可能治疗作用。材料与方法:将50只成年雄性白化大鼠分为8组:第一组(对照组);AuNPs组每日给予AuNPs治疗,连续2周。MEL 2w和MEL 2m组每日给予美洛昔康治疗,疗程分别为2周和2个月。MEL2w+AuNPs组和MEL2m+AuNPs组注射美洛昔康后,每天给予AuNPs治疗2周,疗程分别为2周和2个月。MEL2w+SAL组和MEL2m+SAL组分别给予美洛昔康治疗2周和2个月,然后注射生理盐水2周。观察组织学变化、硝酸银染色法检测AuNPs在肝脏中的定位及AFP免疫表达。结果:注射美洛昔康后肝脏出现时间依赖性退行性改变,AFP表达增加。然而,AuNPs改善了这些变化并降低了AFP的表达。在Kupffer细胞中检测到AuNPs。结论:AuNPs可以改善美洛昔康对肝脏的毒性,降低AFP的表达,这可能是由于AuNPs可以清除库普弗细胞中积累的自由基。
本文章由计算机程序翻译,如有差异,请以英文原文为准。

Gold Nanoparticles Down-Regulate Alpha Fetoprotein Expression Induced by Meloxicam Hepatotoxicity in Adult Male Albino Rats: Histological and Immunohistochemical Study.

Gold Nanoparticles Down-Regulate Alpha Fetoprotein Expression Induced by Meloxicam Hepatotoxicity in Adult Male Albino Rats: Histological and Immunohistochemical Study.

Gold Nanoparticles Down-Regulate Alpha Fetoprotein Expression Induced by Meloxicam Hepatotoxicity in Adult Male Albino Rats: Histological and Immunohistochemical Study.

Gold Nanoparticles Down-Regulate Alpha Fetoprotein Expression Induced by Meloxicam Hepatotoxicity in Adult Male Albino Rats: Histological and Immunohistochemical Study.

Background: Meloxicam is a non-steroidal anti-inflammatory drug most commonly used for the treatment of arthritis. Meloxicam decreases prostaglandin E2 resulting in an increase in free radical concentration within the cell. Alpha-fetoprotein (AFP) is a protein produced normally by the fetal liver in hepatoblasts. In inflammatory conditions, the adult liver synthesizes AFP by regenerating cells. Gold nanoparticles (AuNPs) in the medical field, represent one of the most commonly studied metal nanoparticles which have antioxidant properties.

Objective: This study was conducted to evaluate the possible therapeutic effects of AuNPs on Meloxicam induced degenerative changes in rat liver.

Materials and methods: fifty adult male albino rats were divided into 8 groups: The first group (control); the AuNPs group was treated with AuNPs daily for 2 weeks. The MEL 2w& MEL 2m groups were treated with meloxicam daily for 2 weeks and 2 months respectively. The MEL2w+AuNPs & MEL2m+AuNPs groups received AuNPs for 2 weeks after meloxicam injection daily for 2 weeks and 2 months respectively. The MEL2w+SAL & MEL2m+SAL groups were given meloxicam for 2 weeks and 2 months respectively followed by saline injection for 2 weeks. Histological changes, AuNPs localization in the liver by silver nitrate stain, and AFP immunoexpression were studied.

Results: Time dependent Degenerative changes and increased AFP expression were observed in the liver after meloxicam injection. However, AuNPs ameliorated these changes and decreased AFP expression. AuNPs were detected in Kupffer cells.

Conclusion: AuNPs could ameliorate meloxicam-induced toxicity in the liver and decrease AFP expression because AuNPs act as free radical scavengers which accumulate in Kupffer cells.

求助全文
通过发布文献求助,成功后即可免费获取论文全文。 去求助
来源期刊
CiteScore
1.90
自引率
0.00%
发文量
46
×
引用
GB/T 7714-2015
复制
MLA
复制
APA
复制
导出至
BibTeX EndNote RefMan NoteFirst NoteExpress
×
提示
您的信息不完整,为了账户安全,请先补充。
现在去补充
×
提示
您因"违规操作"
具体请查看互助需知
我知道了
×
提示
确定
请完成安全验证×
copy
已复制链接
快去分享给好友吧!
我知道了
右上角分享
点击右上角分享
0
联系我们:info@booksci.cn Book学术提供免费学术资源搜索服务,方便国内外学者检索中英文文献。致力于提供最便捷和优质的服务体验。 Copyright © 2023 布克学术 All rights reserved.
京ICP备2023020795号-1
ghs 京公网安备 11010802042870号
Book学术文献互助
Book学术文献互助群
群 号:604180095
Book学术官方微信