燕麦茎提取物对Helicoverpa armigera Hübner四龄幼虫食性和中肠上皮组织组织学结构的影响

International journal of insect science Pub Date : 2015-10-18 eCollection Date: 2015-01-01 DOI:10.4137/IJIS.S29127
Monika Mishra, Kamal Kumar Gupta, Sarita Kumar
{"title":"燕麦茎提取物对Helicoverpa armigera Hübner四龄幼虫食性和中肠上皮组织组织学结构的影响","authors":"Monika Mishra, Kamal Kumar Gupta, Sarita Kumar","doi":"10.4137/IJIS.S29127","DOIUrl":null,"url":null,"abstract":"<p><p>Helicoverpa armigera Hübner is one of the most important agricultural crop pests in the world causing heavy crop yield losses. The continued and indiscriminate use of synthetic insecticides in agriculture for their control has received wide public apprehension because of multifarious problems, including insecticide resistance, resurgence of pest species, environmental pollution, and toxic hazards to humans and nontarget organisms. These problems have necessitated the need to explore and develop alternative strategies using eco-friendly and biodegradable plant products. In view of this, the efficacy of Thevetia neriifolia methanol stem extract was evaluated against the early fourth instars of H. armigera as an antifeedant and stomach poison agent. Feeding of larvae with the diet containing 0.005%-5.0% extract resulted in 2.06%-37.35% antifeedant index; the diet with 5.0% extract caused 54.3% reduced consumption. The negative impact of extract on larval feeding resulted in 37.5%-77.7% starvation, causing adverse effects on the larval weight. Choice between control and experimental diet resulted in feeding preference of larvae for the control diet, leading to 7.3%-42.9% reduced consumption of extract-containing diet. The only exception was the diet with 0.005% extract, which could not cause any deterrence. The midgut histological architecture of H. armigera larvae fed with 0.005%-0.05% extract-containing diet with negligible antifeedant potential showed significant damage, shrinkage, and distortion and vacuolization of gut tissues and peritrophic membrane, causing the disintegration of epithelial, goblet, and regenerative cells; the damage increased with the increase in concentration. These changes in the gut caused negative impact on the digestion and absorption of food and thus nutritional deficiency in the larvae, which could probably affect their growth and development. This study reveal the appreciable stomach poison potential of T. neriifolia stem methanol extract against H. armigera larvae, which can be explored as an eco-friendly pest control strategy. </p>","PeriodicalId":73456,"journal":{"name":"International journal of insect science","volume":"7 1","pages":"53-60"},"PeriodicalIF":0.0000,"publicationDate":"2015-10-18","publicationTypes":"Journal Article","fieldsOfStudy":null,"isOpenAccess":false,"openAccessPdf":"https://www.ncbi.nlm.nih.gov/pmc/articles/PMC4722878/pdf/","citationCount":"0","resultStr":"{\"title\":\"Impact of the Stem Extract of Thevetia neriifolia on the Feeding Potential and Histological Architecture of the Midgut Epithelial Tissue of Early Fourth Instars of Helicoverpa armigera Hübner.\",\"authors\":\"Monika Mishra, Kamal Kumar Gupta, Sarita Kumar\",\"doi\":\"10.4137/IJIS.S29127\",\"DOIUrl\":null,\"url\":null,\"abstract\":\"<p><p>Helicoverpa armigera Hübner is one of the most important agricultural crop pests in the world causing heavy crop yield losses. The continued and indiscriminate use of synthetic insecticides in agriculture for their control has received wide public apprehension because of multifarious problems, including insecticide resistance, resurgence of pest species, environmental pollution, and toxic hazards to humans and nontarget organisms. These problems have necessitated the need to explore and develop alternative strategies using eco-friendly and biodegradable plant products. In view of this, the efficacy of Thevetia neriifolia methanol stem extract was evaluated against the early fourth instars of H. armigera as an antifeedant and stomach poison agent. Feeding of larvae with the diet containing 0.005%-5.0% extract resulted in 2.06%-37.35% antifeedant index; the diet with 5.0% extract caused 54.3% reduced consumption. The negative impact of extract on larval feeding resulted in 37.5%-77.7% starvation, causing adverse effects on the larval weight. Choice between control and experimental diet resulted in feeding preference of larvae for the control diet, leading to 7.3%-42.9% reduced consumption of extract-containing diet. The only exception was the diet with 0.005% extract, which could not cause any deterrence. The midgut histological architecture of H. armigera larvae fed with 0.005%-0.05% extract-containing diet with negligible antifeedant potential showed significant damage, shrinkage, and distortion and vacuolization of gut tissues and peritrophic membrane, causing the disintegration of epithelial, goblet, and regenerative cells; the damage increased with the increase in concentration. These changes in the gut caused negative impact on the digestion and absorption of food and thus nutritional deficiency in the larvae, which could probably affect their growth and development. This study reveal the appreciable stomach poison potential of T. neriifolia stem methanol extract against H. armigera larvae, which can be explored as an eco-friendly pest control strategy. </p>\",\"PeriodicalId\":73456,\"journal\":{\"name\":\"International journal of insect science\",\"volume\":\"7 1\",\"pages\":\"53-60\"},\"PeriodicalIF\":0.0000,\"publicationDate\":\"2015-10-18\",\"publicationTypes\":\"Journal Article\",\"fieldsOfStudy\":null,\"isOpenAccess\":false,\"openAccessPdf\":\"https://www.ncbi.nlm.nih.gov/pmc/articles/PMC4722878/pdf/\",\"citationCount\":\"0\",\"resultStr\":null,\"platform\":\"Semanticscholar\",\"paperid\":null,\"PeriodicalName\":\"International journal of insect science\",\"FirstCategoryId\":\"1085\",\"ListUrlMain\":\"https://doi.org/10.4137/IJIS.S29127\",\"RegionNum\":0,\"RegionCategory\":null,\"ArticlePicture\":[],\"TitleCN\":null,\"AbstractTextCN\":null,\"PMCID\":null,\"EPubDate\":\"2015/1/1 0:00:00\",\"PubModel\":\"eCollection\",\"JCR\":\"\",\"JCRName\":\"\",\"Score\":null,\"Total\":0}","platform":"Semanticscholar","paperid":null,"PeriodicalName":"International journal of insect science","FirstCategoryId":"1085","ListUrlMain":"https://doi.org/10.4137/IJIS.S29127","RegionNum":0,"RegionCategory":null,"ArticlePicture":[],"TitleCN":null,"AbstractTextCN":null,"PMCID":null,"EPubDate":"2015/1/1 0:00:00","PubModel":"eCollection","JCR":"","JCRName":"","Score":null,"Total":0}
引用次数: 0

摘要

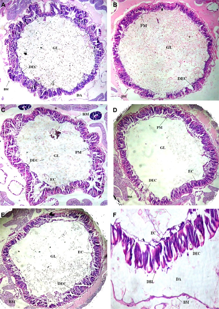
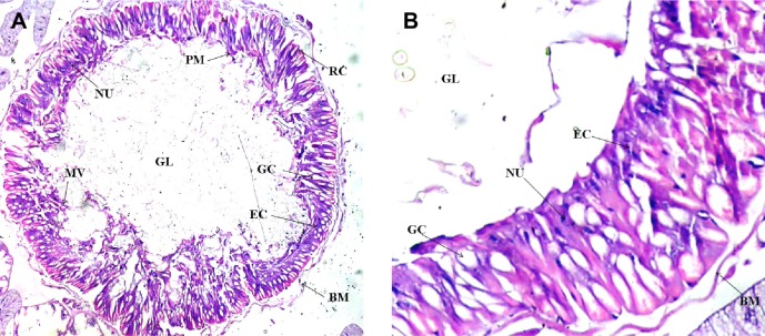
Helicoverpa armigera Hübner 是世界上最重要的农作物害虫之一,给农作物产量造成严重损失。由于杀虫剂的抗药性、害虫种类的死灰复燃、环境污染以及对人类和非目标生物的毒性危害等多种问题,农业中持续滥用合成杀虫剂来控制害虫的做法受到了公众的广泛关注。由于这些问题,有必要探索和开发使用生态友好和可生物降解植物产品的替代策略。有鉴于此,本研究评估了 Thevetia neriifolia 甲醇茎提取物作为反食性和胃毒剂对 H. armigera 第四龄幼虫的功效。用含0.005%-5.0%提取物的饲料喂养幼虫,抗食性指数为2.06%-37.35%;含5.0%提取物的饲料可减少54.3%的食量。提取物对幼虫摄食的负面影响导致37.5%-77.7%的幼虫饥饿,对幼虫体重造成不利影响。在对照日粮和试验日粮之间进行选择时,幼虫偏好对照日粮,导致含提取物日粮的摄食量减少了 7.3%-42.9%。唯一的例外是含有 0.005%提取物的日粮,它不会造成任何阻碍。用含 0.005%-0.05%萃取物的日粮饲喂抗食性微弱的 H. armigera 幼虫,其中肠道组织学结构显示肠道组织和营养周膜明显损伤、萎缩、变形和空泡化,导致上皮细胞、鹅口疮细胞和再生细胞解体;随着浓度的增加,损伤加剧。肠道的这些变化对食物的消化和吸收造成了负面影响,从而导致幼虫营养缺乏,可能会影响其生长发育。这项研究揭示了T. neriifolia茎甲醇提取物对H. armigera幼虫的胃毒潜力,可作为一种生态友好型害虫控制策略加以开发。
本文章由计算机程序翻译,如有差异,请以英文原文为准。

Impact of the Stem Extract of Thevetia neriifolia on the Feeding Potential and Histological Architecture of the Midgut Epithelial Tissue of Early Fourth Instars of Helicoverpa armigera Hübner.

Impact of the Stem Extract of Thevetia neriifolia on the Feeding Potential and Histological Architecture of the Midgut Epithelial Tissue of Early Fourth Instars of Helicoverpa armigera Hübner.

Impact of the Stem Extract of Thevetia neriifolia on the Feeding Potential and Histological Architecture of the Midgut Epithelial Tissue of Early Fourth Instars of Helicoverpa armigera Hübner.

Helicoverpa armigera Hübner is one of the most important agricultural crop pests in the world causing heavy crop yield losses. The continued and indiscriminate use of synthetic insecticides in agriculture for their control has received wide public apprehension because of multifarious problems, including insecticide resistance, resurgence of pest species, environmental pollution, and toxic hazards to humans and nontarget organisms. These problems have necessitated the need to explore and develop alternative strategies using eco-friendly and biodegradable plant products. In view of this, the efficacy of Thevetia neriifolia methanol stem extract was evaluated against the early fourth instars of H. armigera as an antifeedant and stomach poison agent. Feeding of larvae with the diet containing 0.005%-5.0% extract resulted in 2.06%-37.35% antifeedant index; the diet with 5.0% extract caused 54.3% reduced consumption. The negative impact of extract on larval feeding resulted in 37.5%-77.7% starvation, causing adverse effects on the larval weight. Choice between control and experimental diet resulted in feeding preference of larvae for the control diet, leading to 7.3%-42.9% reduced consumption of extract-containing diet. The only exception was the diet with 0.005% extract, which could not cause any deterrence. The midgut histological architecture of H. armigera larvae fed with 0.005%-0.05% extract-containing diet with negligible antifeedant potential showed significant damage, shrinkage, and distortion and vacuolization of gut tissues and peritrophic membrane, causing the disintegration of epithelial, goblet, and regenerative cells; the damage increased with the increase in concentration. These changes in the gut caused negative impact on the digestion and absorption of food and thus nutritional deficiency in the larvae, which could probably affect their growth and development. This study reveal the appreciable stomach poison potential of T. neriifolia stem methanol extract against H. armigera larvae, which can be explored as an eco-friendly pest control strategy.

求助全文
通过发布文献求助,成功后即可免费获取论文全文。 去求助
来源期刊
自引率
0.00%
发文量
0
×
引用
GB/T 7714-2015
复制
MLA
复制
APA
复制
导出至
BibTeX EndNote RefMan NoteFirst NoteExpress
×
提示
您的信息不完整,为了账户安全,请先补充。
现在去补充
×
提示
您因"违规操作"
具体请查看互助需知
我知道了
×
提示
确定
请完成安全验证×
copy
已复制链接
快去分享给好友吧!
我知道了
右上角分享
点击右上角分享
0
联系我们:info@booksci.cn Book学术提供免费学术资源搜索服务,方便国内外学者检索中英文文献。致力于提供最便捷和优质的服务体验。 Copyright © 2023 布克学术 All rights reserved.
京ICP备2023020795号-1
ghs 京公网安备 11010802042870号
Book学术文献互助
Book学术文献互助群
群 号:604180095
Book学术官方微信