长时间发热和严重高钙血症显示系统性肺外结节病:一个教训要吸取。

Q2 Medicine
Oman Medical Journal Pub Date : 2025-03-31 eCollection Date: 2025-03-01 DOI:10.5001/omj.2025.10
Ines Kechaou, Rym Abida, Hamdi Mohamed Salah, Eya Cherif, Lamia Ben Hassine
{"title":"长时间发热和严重高钙血症显示系统性肺外结节病:一个教训要吸取。","authors":"Ines Kechaou, Rym Abida, Hamdi Mohamed Salah, Eya Cherif, Lamia Ben Hassine","doi":"10.5001/omj.2025.10","DOIUrl":null,"url":null,"abstract":"<p><p>Sarcoidosis often manifests with pulmonary involvement, making isolated extrapulmonary presentations rare and diagnostically challenging. We present the case of a 43-year-old woman who presented with prolonged fever, deep lymphadenopathy, massive splenomegaly, hepatomegaly, and severe hypercalcemia, mimicking malignancy. The diagnosis of sarcoidosis was established after the failure of anti-tubercular therapy, exclusion of differential diagnosis, and the subsequent development of cutaneous sarcoids. This case highlights the importance of recognizing isolated extrapulmonary pseudo-tumoral presentations of sarcoidosis, which can lead to delayed diagnosis.</p>","PeriodicalId":19667,"journal":{"name":"Oman Medical Journal","volume":"1 1","pages":"e741"},"PeriodicalIF":0.0000,"publicationDate":"2025-03-31","publicationTypes":"Journal Article","fieldsOfStudy":null,"isOpenAccess":false,"openAccessPdf":"https://www.ncbi.nlm.nih.gov/pmc/articles/PMC12414097/pdf/","citationCount":"0","resultStr":"{\"title\":\"Prolonged Fever and Severe Hypercalcemia Revealing Systemic Extrapulmonary Sarcoidosis: A Lesson to be Learned.\",\"authors\":\"Ines Kechaou, Rym Abida, Hamdi Mohamed Salah, Eya Cherif, Lamia Ben Hassine\",\"doi\":\"10.5001/omj.2025.10\",\"DOIUrl\":null,\"url\":null,\"abstract\":\"<p><p>Sarcoidosis often manifests with pulmonary involvement, making isolated extrapulmonary presentations rare and diagnostically challenging. We present the case of a 43-year-old woman who presented with prolonged fever, deep lymphadenopathy, massive splenomegaly, hepatomegaly, and severe hypercalcemia, mimicking malignancy. The diagnosis of sarcoidosis was established after the failure of anti-tubercular therapy, exclusion of differential diagnosis, and the subsequent development of cutaneous sarcoids. This case highlights the importance of recognizing isolated extrapulmonary pseudo-tumoral presentations of sarcoidosis, which can lead to delayed diagnosis.</p>\",\"PeriodicalId\":19667,\"journal\":{\"name\":\"Oman Medical Journal\",\"volume\":\"1 1\",\"pages\":\"e741\"},\"PeriodicalIF\":0.0000,\"publicationDate\":\"2025-03-31\",\"publicationTypes\":\"Journal Article\",\"fieldsOfStudy\":null,\"isOpenAccess\":false,\"openAccessPdf\":\"https://www.ncbi.nlm.nih.gov/pmc/articles/PMC12414097/pdf/\",\"citationCount\":\"0\",\"resultStr\":null,\"platform\":\"Semanticscholar\",\"paperid\":null,\"PeriodicalName\":\"Oman Medical Journal\",\"FirstCategoryId\":\"1085\",\"ListUrlMain\":\"https://doi.org/10.5001/omj.2025.10\",\"RegionNum\":0,\"RegionCategory\":null,\"ArticlePicture\":[],\"TitleCN\":null,\"AbstractTextCN\":null,\"PMCID\":null,\"EPubDate\":\"2025/3/1 0:00:00\",\"PubModel\":\"eCollection\",\"JCR\":\"Q2\",\"JCRName\":\"Medicine\",\"Score\":null,\"Total\":0}","platform":"Semanticscholar","paperid":null,"PeriodicalName":"Oman Medical Journal","FirstCategoryId":"1085","ListUrlMain":"https://doi.org/10.5001/omj.2025.10","RegionNum":0,"RegionCategory":null,"ArticlePicture":[],"TitleCN":null,"AbstractTextCN":null,"PMCID":null,"EPubDate":"2025/3/1 0:00:00","PubModel":"eCollection","JCR":"Q2","JCRName":"Medicine","Score":null,"Total":0}
引用次数: 0

摘要

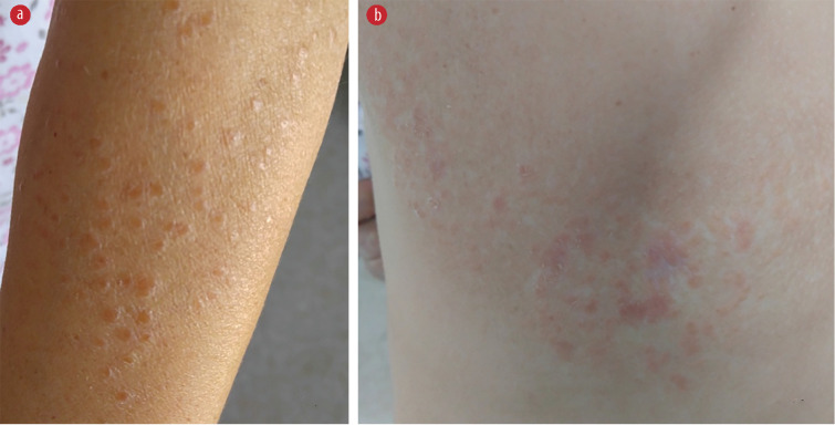
结节病通常表现为肺部受累,使孤立的肺外表现罕见,诊断具有挑战性。我们提出的情况下,43岁的妇女谁提出了长期发烧,深淋巴结病,脾肿大,肝肿大,和严重的高钙血症,模拟恶性肿瘤。结节病的诊断是在抗结核治疗失败,排除鉴别诊断和随后皮肤结节的发展后建立的。本病例强调了识别结节病的孤立肺外假性肿瘤表现的重要性,这可能导致诊断延迟。
本文章由计算机程序翻译,如有差异,请以英文原文为准。

Prolonged Fever and Severe Hypercalcemia Revealing Systemic Extrapulmonary Sarcoidosis: A Lesson to be Learned.

Prolonged Fever and Severe Hypercalcemia Revealing Systemic Extrapulmonary Sarcoidosis: A Lesson to be Learned.

Sarcoidosis often manifests with pulmonary involvement, making isolated extrapulmonary presentations rare and diagnostically challenging. We present the case of a 43-year-old woman who presented with prolonged fever, deep lymphadenopathy, massive splenomegaly, hepatomegaly, and severe hypercalcemia, mimicking malignancy. The diagnosis of sarcoidosis was established after the failure of anti-tubercular therapy, exclusion of differential diagnosis, and the subsequent development of cutaneous sarcoids. This case highlights the importance of recognizing isolated extrapulmonary pseudo-tumoral presentations of sarcoidosis, which can lead to delayed diagnosis.

求助全文
通过发布文献求助,成功后即可免费获取论文全文。 去求助
来源期刊
Oman Medical Journal
Oman Medical Journal Medicine-Medicine (all)
CiteScore
3.10
自引率
0.00%
发文量
119
审稿时长
12 weeks
×
引用
GB/T 7714-2015
复制
MLA
复制
APA
复制
导出至
BibTeX EndNote RefMan NoteFirst NoteExpress
×
提示
您的信息不完整,为了账户安全,请先补充。
现在去补充
×
提示
您因"违规操作"
具体请查看互助需知
我知道了
×
提示
确定
请完成安全验证×
copy
已复制链接
快去分享给好友吧!
我知道了
右上角分享
点击右上角分享
0
联系我们:info@booksci.cn Book学术提供免费学术资源搜索服务,方便国内外学者检索中英文文献。致力于提供最便捷和优质的服务体验。 Copyright © 2023 布克学术 All rights reserved.
京ICP备2023020795号-1
ghs 京公网安备 11010802042870号
Book学术文献互助
Book学术文献互助群
群 号:604180095
Book学术官方微信