婴儿自发性卵巢囊肿的腹腔镜手术治疗

T K Jayakumar, Rahul Saxena, Taruna Yadav, Neha Satyaprakash Mathur, Arvind Sinha
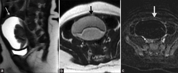
{"title":"婴儿自发性卵巢囊肿的腹腔镜手术治疗","authors":"T K Jayakumar, Rahul Saxena, Taruna Yadav, Neha Satyaprakash Mathur, Arvind Sinha","doi":"10.4103/ajps.ajps_30_22","DOIUrl":null,"url":null,"abstract":"<p><strong>Abstract: </strong>The routine schedule of antenatal ultrasound scans has led to an increased frequency of detection of foetal ovarian cysts. Although most of them regress spontaneously, some may grow into large cysts and undergo torsion followed by auto-amputation. However, pre- and post-natal scans may fail to identify this event. We report a case of a prenatally diagnosed ovarian cyst that failed to resolve conservatively and was increasing in size in post-natal ultrasounds. Pre-operative ultrasound and magnetic resonance imaging failed to detect the auto-amputation. The diagnosis was confirmed on laparoscopy which offers a safe and effective method for the removal of ovarian cysts in neonates and infants.</p>","PeriodicalId":72123,"journal":{"name":"African journal of paediatric surgery : AJPS","volume":"1 1","pages":"58-60"},"PeriodicalIF":0.0000,"publicationDate":"2024-01-01","publicationTypes":"Journal Article","fieldsOfStudy":null,"isOpenAccess":false,"openAccessPdf":"https://www.ncbi.nlm.nih.gov/pmc/articles/PMC10903727/pdf/","citationCount":"0","resultStr":"{\"title\":\"Laparoscopic Management of Auto-Amputated Ovarian Cyst in an Infant.\",\"authors\":\"T K Jayakumar, Rahul Saxena, Taruna Yadav, Neha Satyaprakash Mathur, Arvind Sinha\",\"doi\":\"10.4103/ajps.ajps_30_22\",\"DOIUrl\":null,\"url\":null,\"abstract\":\"<p><strong>Abstract: </strong>The routine schedule of antenatal ultrasound scans has led to an increased frequency of detection of foetal ovarian cysts. Although most of them regress spontaneously, some may grow into large cysts and undergo torsion followed by auto-amputation. However, pre- and post-natal scans may fail to identify this event. We report a case of a prenatally diagnosed ovarian cyst that failed to resolve conservatively and was increasing in size in post-natal ultrasounds. Pre-operative ultrasound and magnetic resonance imaging failed to detect the auto-amputation. The diagnosis was confirmed on laparoscopy which offers a safe and effective method for the removal of ovarian cysts in neonates and infants.</p>\",\"PeriodicalId\":72123,\"journal\":{\"name\":\"African journal of paediatric surgery : AJPS\",\"volume\":\"1 1\",\"pages\":\"58-60\"},\"PeriodicalIF\":0.0000,\"publicationDate\":\"2024-01-01\",\"publicationTypes\":\"Journal Article\",\"fieldsOfStudy\":null,\"isOpenAccess\":false,\"openAccessPdf\":\"https://www.ncbi.nlm.nih.gov/pmc/articles/PMC10903727/pdf/\",\"citationCount\":\"0\",\"resultStr\":null,\"platform\":\"Semanticscholar\",\"paperid\":null,\"PeriodicalName\":\"African journal of paediatric surgery : AJPS\",\"FirstCategoryId\":\"1085\",\"ListUrlMain\":\"https://doi.org/10.4103/ajps.ajps_30_22\",\"RegionNum\":0,\"RegionCategory\":null,\"ArticlePicture\":[],\"TitleCN\":null,\"AbstractTextCN\":null,\"PMCID\":null,\"EPubDate\":\"2023/1/19 0:00:00\",\"PubModel\":\"Epub\",\"JCR\":\"\",\"JCRName\":\"\",\"Score\":null,\"Total\":0}","platform":"Semanticscholar","paperid":null,"PeriodicalName":"African journal of paediatric surgery : AJPS","FirstCategoryId":"1085","ListUrlMain":"https://doi.org/10.4103/ajps.ajps_30_22","RegionNum":0,"RegionCategory":null,"ArticlePicture":[],"TitleCN":null,"AbstractTextCN":null,"PMCID":null,"EPubDate":"2023/1/19 0:00:00","PubModel":"Epub","JCR":"","JCRName":"","Score":null,"Total":0}
引用次数: 0

摘要

摘要:产前超声波扫描的常规安排导致胎儿卵巢囊肿的检测频率增加。虽然大多数卵巢囊肿会自然消退,但有些囊肿可能会长成大的囊肿,并发生扭转,继而自动切除。然而,产前和产后扫描可能无法发现这种情况。我们报告了一例产前诊断为卵巢囊肿的病例,该囊肿保守治疗无效,且在产后超声检查中不断增大。术前超声波和磁共振成像未能检测到自体囊肿。腹腔镜手术为新生儿和婴儿卵巢囊肿的切除提供了一种安全有效的方法。
本文章由计算机程序翻译,如有差异,请以英文原文为准。

Laparoscopic Management of Auto-Amputated Ovarian Cyst in an Infant.

Laparoscopic Management of Auto-Amputated Ovarian Cyst in an Infant.

Laparoscopic Management of Auto-Amputated Ovarian Cyst in an Infant.

Abstract: The routine schedule of antenatal ultrasound scans has led to an increased frequency of detection of foetal ovarian cysts. Although most of them regress spontaneously, some may grow into large cysts and undergo torsion followed by auto-amputation. However, pre- and post-natal scans may fail to identify this event. We report a case of a prenatally diagnosed ovarian cyst that failed to resolve conservatively and was increasing in size in post-natal ultrasounds. Pre-operative ultrasound and magnetic resonance imaging failed to detect the auto-amputation. The diagnosis was confirmed on laparoscopy which offers a safe and effective method for the removal of ovarian cysts in neonates and infants.

求助全文
通过发布文献求助,成功后即可免费获取论文全文。 去求助
来源期刊
自引率
0.00%
发文量
0
×
引用
GB/T 7714-2015
复制
MLA
复制
APA
复制
导出至
BibTeX EndNote RefMan NoteFirst NoteExpress
×
提示
您的信息不完整,为了账户安全,请先补充。
现在去补充
×
提示
您因"违规操作"
具体请查看互助需知
我知道了
×
提示
确定
请完成安全验证×
copy
已复制链接
快去分享给好友吧!
我知道了
右上角分享
点击右上角分享
0
联系我们:info@booksci.cn Book学术提供免费学术资源搜索服务,方便国内外学者检索中英文文献。致力于提供最便捷和优质的服务体验。 Copyright © 2023 布克学术 All rights reserved.
京ICP备2023020795号-1
ghs 京公网安备 11010802042870号
Book学术文献互助
Book学术文献互助群
群 号:604180095
Book学术官方微信