儿童炎性肌纤维母细胞瘤:两个病例的报告和文献综述。

P P Sreepriya, Md Mokarram Ali, Rashi Rashi, Amit Kumar, Amit Kumar Sinha, Surabhi Raj, Bindey Kumar
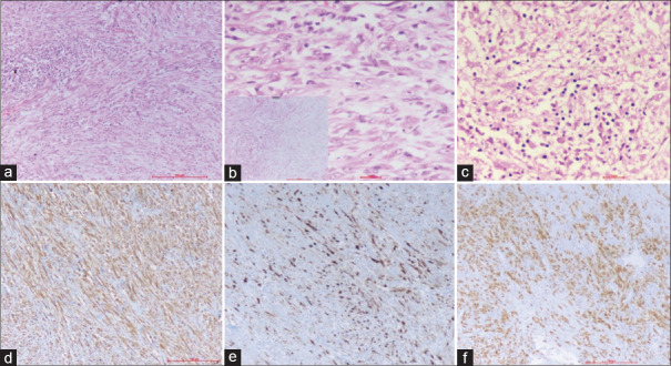
{"title":"儿童炎性肌纤维母细胞瘤:两个病例的报告和文献综述。","authors":"P P Sreepriya, Md Mokarram Ali, Rashi Rashi, Amit Kumar, Amit Kumar Sinha, Surabhi Raj, Bindey Kumar","doi":"10.4103/ajps.ajps_106_22","DOIUrl":null,"url":null,"abstract":"<p><strong>Abstract: </strong>Inflammatory myofibroblastic tumour in paediatric patients present with a diagnostic dilemma because of its clinical, radiological and histopathological features overlapping with other mesenchymal tumours common in this age. Because of its rarity, the exact features are still unclear. Here, we are reporting clinical, radiological and histopathological appearances of two such cases. In both cases, the exact diagnosis was confirmed only after immunohistochemistry. There is a need for further detailed study to exactly determine the natural course and prognosis of these tumours.</p>","PeriodicalId":72123,"journal":{"name":"African journal of paediatric surgery : AJPS","volume":"1 1","pages":"134-137"},"PeriodicalIF":0.0000,"publicationDate":"2024-04-01","publicationTypes":"Journal Article","fieldsOfStudy":null,"isOpenAccess":false,"openAccessPdf":"https://www.ncbi.nlm.nih.gov/pmc/articles/PMC11003571/pdf/","citationCount":"0","resultStr":"{\"title\":\"Inflammatory Myofibroblastic Tumour in Children: A Report of Two Cases and Review of Literature.\",\"authors\":\"P P Sreepriya, Md Mokarram Ali, Rashi Rashi, Amit Kumar, Amit Kumar Sinha, Surabhi Raj, Bindey Kumar\",\"doi\":\"10.4103/ajps.ajps_106_22\",\"DOIUrl\":null,\"url\":null,\"abstract\":\"<p><strong>Abstract: </strong>Inflammatory myofibroblastic tumour in paediatric patients present with a diagnostic dilemma because of its clinical, radiological and histopathological features overlapping with other mesenchymal tumours common in this age. Because of its rarity, the exact features are still unclear. Here, we are reporting clinical, radiological and histopathological appearances of two such cases. In both cases, the exact diagnosis was confirmed only after immunohistochemistry. There is a need for further detailed study to exactly determine the natural course and prognosis of these tumours.</p>\",\"PeriodicalId\":72123,\"journal\":{\"name\":\"African journal of paediatric surgery : AJPS\",\"volume\":\"1 1\",\"pages\":\"134-137\"},\"PeriodicalIF\":0.0000,\"publicationDate\":\"2024-04-01\",\"publicationTypes\":\"Journal Article\",\"fieldsOfStudy\":null,\"isOpenAccess\":false,\"openAccessPdf\":\"https://www.ncbi.nlm.nih.gov/pmc/articles/PMC11003571/pdf/\",\"citationCount\":\"0\",\"resultStr\":null,\"platform\":\"Semanticscholar\",\"paperid\":null,\"PeriodicalName\":\"African journal of paediatric surgery : AJPS\",\"FirstCategoryId\":\"1085\",\"ListUrlMain\":\"https://doi.org/10.4103/ajps.ajps_106_22\",\"RegionNum\":0,\"RegionCategory\":null,\"ArticlePicture\":[],\"TitleCN\":null,\"AbstractTextCN\":null,\"PMCID\":null,\"EPubDate\":\"2023/2/14 0:00:00\",\"PubModel\":\"Epub\",\"JCR\":\"\",\"JCRName\":\"\",\"Score\":null,\"Total\":0}","platform":"Semanticscholar","paperid":null,"PeriodicalName":"African journal of paediatric surgery : AJPS","FirstCategoryId":"1085","ListUrlMain":"https://doi.org/10.4103/ajps.ajps_106_22","RegionNum":0,"RegionCategory":null,"ArticlePicture":[],"TitleCN":null,"AbstractTextCN":null,"PMCID":null,"EPubDate":"2023/2/14 0:00:00","PubModel":"Epub","JCR":"","JCRName":"","Score":null,"Total":0}
引用次数: 0

摘要

摘要:儿科炎性肌纤维母细胞瘤的临床、放射学和组织病理学特征与该年龄段常见的其他间叶肿瘤重叠,因此给诊断带来了难题。由于其罕见性,确切的特征仍不清楚。在此,我们报告两例此类病例的临床、放射学和组织病理学表现。在这两例病例中,只有在免疫组化后才能确诊。有必要进行进一步的详细研究,以准确确定这些肿瘤的自然病程和预后。
本文章由计算机程序翻译,如有差异,请以英文原文为准。

Inflammatory Myofibroblastic Tumour in Children: A Report of Two Cases and Review of Literature.

Inflammatory Myofibroblastic Tumour in Children: A Report of Two Cases and Review of Literature.

Inflammatory Myofibroblastic Tumour in Children: A Report of Two Cases and Review of Literature.

Inflammatory Myofibroblastic Tumour in Children: A Report of Two Cases and Review of Literature.

Abstract: Inflammatory myofibroblastic tumour in paediatric patients present with a diagnostic dilemma because of its clinical, radiological and histopathological features overlapping with other mesenchymal tumours common in this age. Because of its rarity, the exact features are still unclear. Here, we are reporting clinical, radiological and histopathological appearances of two such cases. In both cases, the exact diagnosis was confirmed only after immunohistochemistry. There is a need for further detailed study to exactly determine the natural course and prognosis of these tumours.

求助全文
通过发布文献求助,成功后即可免费获取论文全文。 去求助
来源期刊
自引率
0.00%
发文量
0
×
引用
GB/T 7714-2015
复制
MLA
复制
APA
复制
导出至
BibTeX EndNote RefMan NoteFirst NoteExpress
×
提示
您的信息不完整,为了账户安全,请先补充。
现在去补充
×
提示
您因"违规操作"
具体请查看互助需知
我知道了
×
提示
确定
请完成安全验证×
copy
已复制链接
快去分享给好友吧!
我知道了
右上角分享
点击右上角分享
0
联系我们:info@booksci.cn Book学术提供免费学术资源搜索服务,方便国内外学者检索中英文文献。致力于提供最便捷和优质的服务体验。 Copyright © 2023 布克学术 All rights reserved.
京ICP备2023020795号-1
ghs 京公网安备 11010802042870号
Book学术文献互助
Book学术文献互助群
群 号:604180095
Book学术官方微信