发霉榛子壳及壳相关的过敏性肺炎:一种可能的新型职业性病原体。

IF 2 4区 医学 Q2 PUBLIC, ENVIRONMENTAL & OCCUPATIONAL HEALTH
Medicina Del Lavoro Pub Date : 2023-10-24
Ozlem Kar Kurt, Neslihan Akanil Fener, Erdogan Cetinkaya
{"title":"发霉榛子壳及壳相关的过敏性肺炎:一种可能的新型职业性病原体。","authors":"Ozlem Kar Kurt, Neslihan Akanil Fener, Erdogan Cetinkaya","doi":"","DOIUrl":null,"url":null,"abstract":"<p><p>Hypersensitivity pneumonitis (HP) is a complex immune-mediated interstitial lung disease (ILD) triggered by inhalation exposure to environmental or occupational antigens in genetically susceptible individuals. Novel exposure sources and antigens are frequently identified. However, the causative agent remains unidentified in nearly half of HP cases. Early diagnosis for nonfibrotic-HP and quitting the exposure may prevent the disease progression to fibrotic forms and related complications. Here, we present two cases of HP associated with mold exposure in hazelnut husks, leaves, and shells in hazelnut agriculture.</p>","PeriodicalId":49833,"journal":{"name":"Medicina Del Lavoro","volume":"114 5","pages":"e2023041"},"PeriodicalIF":2.0000,"publicationDate":"2023-10-24","publicationTypes":"Journal Article","fieldsOfStudy":null,"isOpenAccess":false,"openAccessPdf":"https://www.ncbi.nlm.nih.gov/pmc/articles/PMC10627098/pdf/","citationCount":"0","resultStr":"{\"title\":\"Moldy Hazelnut Husk and Shell Related Hypersensitivity Pneumonitis: A Possible Novel Occupational Causative Agent.\",\"authors\":\"Ozlem Kar Kurt, Neslihan Akanil Fener, Erdogan Cetinkaya\",\"doi\":\"\",\"DOIUrl\":null,\"url\":null,\"abstract\":\"<p><p>Hypersensitivity pneumonitis (HP) is a complex immune-mediated interstitial lung disease (ILD) triggered by inhalation exposure to environmental or occupational antigens in genetically susceptible individuals. Novel exposure sources and antigens are frequently identified. However, the causative agent remains unidentified in nearly half of HP cases. Early diagnosis for nonfibrotic-HP and quitting the exposure may prevent the disease progression to fibrotic forms and related complications. Here, we present two cases of HP associated with mold exposure in hazelnut husks, leaves, and shells in hazelnut agriculture.</p>\",\"PeriodicalId\":49833,\"journal\":{\"name\":\"Medicina Del Lavoro\",\"volume\":\"114 5\",\"pages\":\"e2023041\"},\"PeriodicalIF\":2.0000,\"publicationDate\":\"2023-10-24\",\"publicationTypes\":\"Journal Article\",\"fieldsOfStudy\":null,\"isOpenAccess\":false,\"openAccessPdf\":\"https://www.ncbi.nlm.nih.gov/pmc/articles/PMC10627098/pdf/\",\"citationCount\":\"0\",\"resultStr\":null,\"platform\":\"Semanticscholar\",\"paperid\":null,\"PeriodicalName\":\"Medicina Del Lavoro\",\"FirstCategoryId\":\"3\",\"ListUrlMain\":\"\",\"RegionNum\":4,\"RegionCategory\":\"医学\",\"ArticlePicture\":[],\"TitleCN\":null,\"AbstractTextCN\":null,\"PMCID\":null,\"EPubDate\":\"\",\"PubModel\":\"\",\"JCR\":\"Q2\",\"JCRName\":\"PUBLIC, ENVIRONMENTAL & OCCUPATIONAL HEALTH\",\"Score\":null,\"Total\":0}","platform":"Semanticscholar","paperid":null,"PeriodicalName":"Medicina Del Lavoro","FirstCategoryId":"3","ListUrlMain":"","RegionNum":4,"RegionCategory":"医学","ArticlePicture":[],"TitleCN":null,"AbstractTextCN":null,"PMCID":null,"EPubDate":"","PubModel":"","JCR":"Q2","JCRName":"PUBLIC, ENVIRONMENTAL & OCCUPATIONAL HEALTH","Score":null,"Total":0}
引用次数: 0

摘要

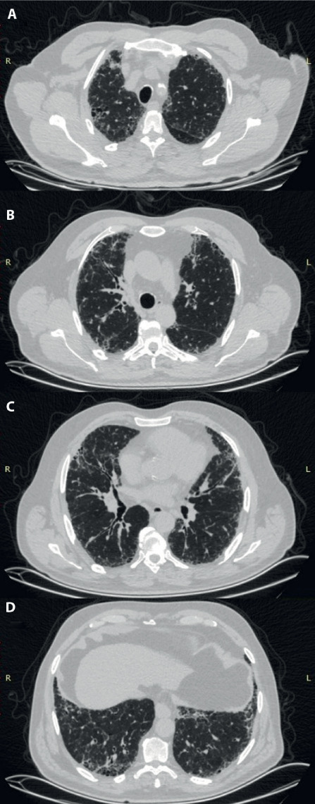
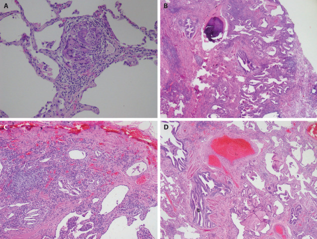
超敏性肺炎(HP)是一种复杂的免疫介导的间质性肺病(ILD),由遗传易感个体吸入环境或职业抗原引发。经常发现新的暴露源和抗原。然而,在近一半的HP病例中,病原体仍未确定。早期诊断为非纤维化HP并停止接触可能会防止疾病发展为纤维化形式和相关并发症。在这里,我们介绍了两例与榛子农业中榛子壳、叶和壳中霉菌暴露相关的HP病例。
本文章由计算机程序翻译,如有差异,请以英文原文为准。

Moldy Hazelnut Husk and Shell Related Hypersensitivity Pneumonitis: A Possible Novel Occupational Causative Agent.

Moldy Hazelnut Husk and Shell Related Hypersensitivity Pneumonitis: A Possible Novel Occupational Causative Agent.

Moldy Hazelnut Husk and Shell Related Hypersensitivity Pneumonitis: A Possible Novel Occupational Causative Agent.

Hypersensitivity pneumonitis (HP) is a complex immune-mediated interstitial lung disease (ILD) triggered by inhalation exposure to environmental or occupational antigens in genetically susceptible individuals. Novel exposure sources and antigens are frequently identified. However, the causative agent remains unidentified in nearly half of HP cases. Early diagnosis for nonfibrotic-HP and quitting the exposure may prevent the disease progression to fibrotic forms and related complications. Here, we present two cases of HP associated with mold exposure in hazelnut husks, leaves, and shells in hazelnut agriculture.

求助全文
通过发布文献求助,成功后即可免费获取论文全文。 去求助
来源期刊
Medicina Del Lavoro
Medicina Del Lavoro 医学-公共卫生、环境卫生与职业卫生
CiteScore
4.70
自引率
7.40%
发文量
42
审稿时长
>12 weeks
期刊介绍: La Medicina del Lavoro is a bimonthly magazine founded in 1901 by L. Devoto, and then directed by L. Prieti, E. Vigliani, V. Foà, P.A. Bertazzi (Milan). Now directed by A. Mutti (Parma), the magazine is the official Journal of the Italian Society of Occupational Medicine (SIML), aimed at training and updating all professionals involved in prevention and cure of occupational diseases.
×
引用
GB/T 7714-2015
复制
MLA
复制
APA
复制
导出至
BibTeX EndNote RefMan NoteFirst NoteExpress
×
提示
您的信息不完整,为了账户安全,请先补充。
现在去补充
×
提示
您因"违规操作"
具体请查看互助需知
我知道了
×
提示
确定
请完成安全验证×
copy
已复制链接
快去分享给好友吧!
我知道了
右上角分享
点击右上角分享
0
联系我们:info@booksci.cn Book学术提供免费学术资源搜索服务,方便国内外学者检索中英文文献。致力于提供最便捷和优质的服务体验。 Copyright © 2023 布克学术 All rights reserved.
京ICP备2023020795号-1
ghs 京公网安备 11010802042870号
Book学术文献互助
Book学术文献互助群
群 号:604180095
Book学术官方微信