人工结石相关加速性矽肺肺移植成功一例报告。

IF 1.6 4区 医学 Q3 ENVIRONMENTAL SCIENCES
Industrial Health Pub Date : 2024-06-01 Epub Date: 2023-10-20 DOI:10.2486/indhealth.2023-0093
Shou-Chien Hsu, Yun-Ju Chen, Hao-Yi Fan, Chih-Wei Wang, Han-Jui Lee, Yu-Chung Tsao
{"title":"人工结石相关加速性矽肺肺移植成功一例报告。","authors":"Shou-Chien Hsu, Yun-Ju Chen, Hao-Yi Fan, Chih-Wei Wang, Han-Jui Lee, Yu-Chung Tsao","doi":"10.2486/indhealth.2023-0093","DOIUrl":null,"url":null,"abstract":"<p><p>This report focuses on the occupational health risks associated with the use of artificial stones containing high levels of crystalline silica in the production of kitchen countertops. It presents the case of a 43-yr-old man who developed severe silicosis due to his occupation involving cutting and polishing quartz stone raw materials. A retrospective analysis of the patient's medical records and occupational history was conducted. The diagnosis of severe silicosis, moderate restrictive lung disease, and bilateral pneumothorax was based on clinical manifestations, pulmonary function test, radiological findings, and histological reports. The patient underwent lung transplantation, and his pulmonary function improved post-surgery. The study highlights the significant health risks associated with procedures involving artificial stones and emphasizes the importance of awareness and protective measures for employees and workers. Clinicians should be cautious when diagnosing respiratory symptoms in patients with a history of occupational exposure to artificial stones containing high levels of crystalline silica.</p>","PeriodicalId":13531,"journal":{"name":"Industrial Health","volume":" ","pages":"209-214"},"PeriodicalIF":1.6000,"publicationDate":"2024-06-01","publicationTypes":"Journal Article","fieldsOfStudy":null,"isOpenAccess":false,"openAccessPdf":"https://www.ncbi.nlm.nih.gov/pmc/articles/PMC11170085/pdf/","citationCount":"0","resultStr":"{\"title\":\"Successful lung transplantation for artificial stone-associated accelerated silicosis: a case report.\",\"authors\":\"Shou-Chien Hsu, Yun-Ju Chen, Hao-Yi Fan, Chih-Wei Wang, Han-Jui Lee, Yu-Chung Tsao\",\"doi\":\"10.2486/indhealth.2023-0093\",\"DOIUrl\":null,\"url\":null,\"abstract\":\"<p><p>This report focuses on the occupational health risks associated with the use of artificial stones containing high levels of crystalline silica in the production of kitchen countertops. It presents the case of a 43-yr-old man who developed severe silicosis due to his occupation involving cutting and polishing quartz stone raw materials. A retrospective analysis of the patient's medical records and occupational history was conducted. The diagnosis of severe silicosis, moderate restrictive lung disease, and bilateral pneumothorax was based on clinical manifestations, pulmonary function test, radiological findings, and histological reports. The patient underwent lung transplantation, and his pulmonary function improved post-surgery. The study highlights the significant health risks associated with procedures involving artificial stones and emphasizes the importance of awareness and protective measures for employees and workers. Clinicians should be cautious when diagnosing respiratory symptoms in patients with a history of occupational exposure to artificial stones containing high levels of crystalline silica.</p>\",\"PeriodicalId\":13531,\"journal\":{\"name\":\"Industrial Health\",\"volume\":\" \",\"pages\":\"209-214\"},\"PeriodicalIF\":1.6000,\"publicationDate\":\"2024-06-01\",\"publicationTypes\":\"Journal Article\",\"fieldsOfStudy\":null,\"isOpenAccess\":false,\"openAccessPdf\":\"https://www.ncbi.nlm.nih.gov/pmc/articles/PMC11170085/pdf/\",\"citationCount\":\"0\",\"resultStr\":null,\"platform\":\"Semanticscholar\",\"paperid\":null,\"PeriodicalName\":\"Industrial Health\",\"FirstCategoryId\":\"3\",\"ListUrlMain\":\"https://doi.org/10.2486/indhealth.2023-0093\",\"RegionNum\":4,\"RegionCategory\":\"医学\",\"ArticlePicture\":[],\"TitleCN\":null,\"AbstractTextCN\":null,\"PMCID\":null,\"EPubDate\":\"2023/10/20 0:00:00\",\"PubModel\":\"Epub\",\"JCR\":\"Q3\",\"JCRName\":\"ENVIRONMENTAL SCIENCES\",\"Score\":null,\"Total\":0}","platform":"Semanticscholar","paperid":null,"PeriodicalName":"Industrial Health","FirstCategoryId":"3","ListUrlMain":"https://doi.org/10.2486/indhealth.2023-0093","RegionNum":4,"RegionCategory":"医学","ArticlePicture":[],"TitleCN":null,"AbstractTextCN":null,"PMCID":null,"EPubDate":"2023/10/20 0:00:00","PubModel":"Epub","JCR":"Q3","JCRName":"ENVIRONMENTAL SCIENCES","Score":null,"Total":0}
引用次数: 0

摘要

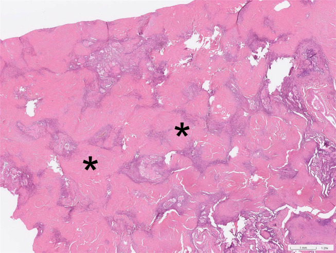
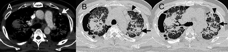
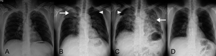
本报告重点关注在厨房台面生产中使用含有高结晶二氧化硅的人造石所带来的职业健康风险。报告一名43岁男子因从事切割和抛光石英石原料的工作而患上严重矽肺。对患者的医疗记录和职业史进行了回顾性分析。根据临床表现、肺功能检查、放射学表现和组织学报告,诊断为严重矽肺、中度限制性肺病和双侧肺气肿。患者接受了肺移植,术后肺功能有所改善。该研究强调了与人造石相关的重大健康风险,并强调了员工和工人意识和保护措施的重要性。临床医生在诊断有职业接触过含有高结晶二氧化硅的人造结石史的患者的呼吸道症状时应谨慎。
本文章由计算机程序翻译,如有差异,请以英文原文为准。

Successful lung transplantation for artificial stone-associated accelerated silicosis: a case report.

Successful lung transplantation for artificial stone-associated accelerated silicosis: a case report.

Successful lung transplantation for artificial stone-associated accelerated silicosis: a case report.

Successful lung transplantation for artificial stone-associated accelerated silicosis: a case report.

This report focuses on the occupational health risks associated with the use of artificial stones containing high levels of crystalline silica in the production of kitchen countertops. It presents the case of a 43-yr-old man who developed severe silicosis due to his occupation involving cutting and polishing quartz stone raw materials. A retrospective analysis of the patient's medical records and occupational history was conducted. The diagnosis of severe silicosis, moderate restrictive lung disease, and bilateral pneumothorax was based on clinical manifestations, pulmonary function test, radiological findings, and histological reports. The patient underwent lung transplantation, and his pulmonary function improved post-surgery. The study highlights the significant health risks associated with procedures involving artificial stones and emphasizes the importance of awareness and protective measures for employees and workers. Clinicians should be cautious when diagnosing respiratory symptoms in patients with a history of occupational exposure to artificial stones containing high levels of crystalline silica.

求助全文
通过发布文献求助,成功后即可免费获取论文全文。 去求助
来源期刊
Industrial Health
Industrial Health 医学-毒理学
CiteScore
3.40
自引率
5.00%
发文量
64
审稿时长
6-12 weeks
期刊介绍: INDUSTRIAL HEALTH covers all aspects of occupational medicine, ergonomics, industrial hygiene, engineering, safety and policy sciences. The journal helps promote solutions for the control and improvement of working conditions, and for the application of valuable research findings to the actual working environment.
×
引用
GB/T 7714-2015
复制
MLA
复制
APA
复制
导出至
BibTeX EndNote RefMan NoteFirst NoteExpress
×
提示
您的信息不完整,为了账户安全,请先补充。
现在去补充
×
提示
您因"违规操作"
具体请查看互助需知
我知道了
×
提示
确定
请完成安全验证×
copy
已复制链接
快去分享给好友吧!
我知道了
右上角分享
点击右上角分享
0
联系我们:info@booksci.cn Book学术提供免费学术资源搜索服务,方便国内外学者检索中英文文献。致力于提供最便捷和优质的服务体验。 Copyright © 2023 布克学术 All rights reserved.
京ICP备2023020795号-1
ghs 京公网安备 11010802042870号
Book学术文献互助
Book学术文献互助群
群 号:604180095
Book学术官方微信