在三个西班牙中心使用本地右风出口气管的PULSTA假体的初步经验

IF 1.1 Q3 CARDIAC & CARDIOVASCULAR SYSTEMS
REC Interventional Cardiology Pub Date : 2023-09-04 eCollection Date: 2024-04-01 DOI:10.24875/RECIC.M23000405
Diana Salas-Mera, César Abelleira Pardeiro, Enrique José Balbacid Domingo, Adolfo Sobrino Baladrón, José Luis Zunzunegui Martínez, Fernando Sarnago Cebada, Federico Gutiérrez-Larraya Aguado
{"title":"在三个西班牙中心使用本地右风出口气管的PULSTA假体的初步经验","authors":"Diana Salas-Mera, César Abelleira Pardeiro, Enrique José Balbacid Domingo, Adolfo Sobrino Baladrón, José Luis Zunzunegui Martínez, Fernando Sarnago Cebada, Federico Gutiérrez-Larraya Aguado","doi":"10.24875/RECIC.M23000405","DOIUrl":null,"url":null,"abstract":"<p><strong>Introduction and objectives: </strong>Surgery for congenital heart defects with right ventricular outflow tract (RVOT) stenosis often results in significant pulmonary regurgitation, requiring pulmonary valve replacement in the long term. Despite the development of balloon-expandable prostheses, the native RVOT frequently dilates beyond the maximum diameters allowed for these valves. To allow percutaneous pulmonary valve implantation (PPVI) in these patients, clinical trials have been initiated with self-expanding prostheses, including the PULSTA valve. The aim of this study was to report the initial experience with this valve at three Spanish hospitals.</p><p><strong>Methods: </strong>Descriptive study presenting the results of PPVI with the PULSTA prosthesis in patients with native RVOT and pulmonary regurgitation.</p><p><strong>Results: </strong>We included 10 patients with a mean age of 15 ± 2.8 years. The implantation was successful in all patients, with no major complications occurring during the procedure. The mean length of follow-up was 18 [range, 2-35] months. In 8 patients, cardiac magnetic resonance was performed at 6 months, revealing a reduction in mean end-diastolic volume (131.7 ± 31.7 mL/m<sup>2</sup> vs 100.3 ± 28.9 mL/m<sup>2</sup>) and end-systolic volume (68 ± 20.8 mL/m<sup>2</sup> vs 57 ± 18.5 mL/m<sup>2</sup>).</p><p><strong>Conclusions: </strong>The PULSTA prosthesis offers a safe, feasible, and effective alternative for PPVI in patients with native dilated RVOT. Due to the limited available follow-up data, further studies are needed to assess its long-term safety and durability.</p>","PeriodicalId":34295,"journal":{"name":"REC Interventional Cardiology","volume":" ","pages":"89-96"},"PeriodicalIF":1.1000,"publicationDate":"2023-09-04","publicationTypes":"Journal Article","fieldsOfStudy":null,"isOpenAccess":false,"openAccessPdf":"https://www.ncbi.nlm.nih.gov/pmc/articles/PMC12097347/pdf/","citationCount":"0","resultStr":"{\"title\":\"[The PULSTA valve in native right ventricular outflow tract: initial experience in 3 Spanish hospitals].\",\"authors\":\"Diana Salas-Mera, César Abelleira Pardeiro, Enrique José Balbacid Domingo, Adolfo Sobrino Baladrón, José Luis Zunzunegui Martínez, Fernando Sarnago Cebada, Federico Gutiérrez-Larraya Aguado\",\"doi\":\"10.24875/RECIC.M23000405\",\"DOIUrl\":null,\"url\":null,\"abstract\":\"<p><strong>Introduction and objectives: </strong>Surgery for congenital heart defects with right ventricular outflow tract (RVOT) stenosis often results in significant pulmonary regurgitation, requiring pulmonary valve replacement in the long term. Despite the development of balloon-expandable prostheses, the native RVOT frequently dilates beyond the maximum diameters allowed for these valves. To allow percutaneous pulmonary valve implantation (PPVI) in these patients, clinical trials have been initiated with self-expanding prostheses, including the PULSTA valve. The aim of this study was to report the initial experience with this valve at three Spanish hospitals.</p><p><strong>Methods: </strong>Descriptive study presenting the results of PPVI with the PULSTA prosthesis in patients with native RVOT and pulmonary regurgitation.</p><p><strong>Results: </strong>We included 10 patients with a mean age of 15 ± 2.8 years. The implantation was successful in all patients, with no major complications occurring during the procedure. The mean length of follow-up was 18 [range, 2-35] months. In 8 patients, cardiac magnetic resonance was performed at 6 months, revealing a reduction in mean end-diastolic volume (131.7 ± 31.7 mL/m<sup>2</sup> vs 100.3 ± 28.9 mL/m<sup>2</sup>) and end-systolic volume (68 ± 20.8 mL/m<sup>2</sup> vs 57 ± 18.5 mL/m<sup>2</sup>).</p><p><strong>Conclusions: </strong>The PULSTA prosthesis offers a safe, feasible, and effective alternative for PPVI in patients with native dilated RVOT. Due to the limited available follow-up data, further studies are needed to assess its long-term safety and durability.</p>\",\"PeriodicalId\":34295,\"journal\":{\"name\":\"REC Interventional Cardiology\",\"volume\":\" \",\"pages\":\"89-96\"},\"PeriodicalIF\":1.1000,\"publicationDate\":\"2023-09-04\",\"publicationTypes\":\"Journal Article\",\"fieldsOfStudy\":null,\"isOpenAccess\":false,\"openAccessPdf\":\"https://www.ncbi.nlm.nih.gov/pmc/articles/PMC12097347/pdf/\",\"citationCount\":\"0\",\"resultStr\":null,\"platform\":\"Semanticscholar\",\"paperid\":null,\"PeriodicalName\":\"REC Interventional Cardiology\",\"FirstCategoryId\":\"1085\",\"ListUrlMain\":\"https://doi.org/10.24875/RECIC.M23000405\",\"RegionNum\":0,\"RegionCategory\":null,\"ArticlePicture\":[],\"TitleCN\":null,\"AbstractTextCN\":null,\"PMCID\":null,\"EPubDate\":\"2024/4/1 0:00:00\",\"PubModel\":\"eCollection\",\"JCR\":\"Q3\",\"JCRName\":\"CARDIAC & CARDIOVASCULAR SYSTEMS\",\"Score\":null,\"Total\":0}","platform":"Semanticscholar","paperid":null,"PeriodicalName":"REC Interventional Cardiology","FirstCategoryId":"1085","ListUrlMain":"https://doi.org/10.24875/RECIC.M23000405","RegionNum":0,"RegionCategory":null,"ArticlePicture":[],"TitleCN":null,"AbstractTextCN":null,"PMCID":null,"EPubDate":"2024/4/1 0:00:00","PubModel":"eCollection","JCR":"Q3","JCRName":"CARDIAC & CARDIOVASCULAR SYSTEMS","Score":null,"Total":0}
引用次数: 0

摘要

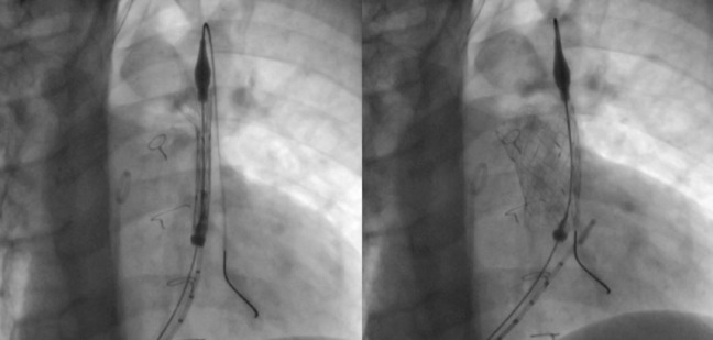
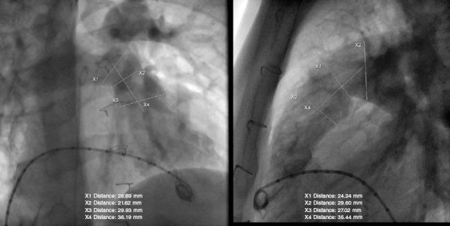
前言和目的:先天性心脏缺陷合并右心室流出道狭窄的手术常导致明显的肺返流,长期需要肺动脉瓣置换术。尽管发展了球囊式可膨胀假体,但原生RVOT经常扩张超过这些瓣膜允许的最大直径。为了允许经皮肺动脉瓣植入术(PPVI)在这些患者中,临床试验已经开始使用自膨胀假体,包括PULSTA瓣膜。本研究的目的是报告在三家西班牙医院使用该瓣膜的初步经验。方法:描述性研究采用PPVI配合PULSTA假体治疗先天性RVOT合并肺返流患者的效果。结果:纳入10例患者,平均年龄15±2.8岁。所有患者的植入都很成功,在手术过程中没有发生重大并发症。平均随访时间18个月[范围,2-35个月]。8例患者在6个月时进行心脏磁共振检查,发现舒张末期平均容积(131.7±31.7 mL/m2 vs 100.3±28.9 mL/m2)和收缩末期平均容积(68±20.8 mL/m2 vs 57±18.5 mL/m2)减少。结论:PULSTA假体是一种安全、可行、有效的替代方案,可用于原发性扩张性RVOT患者的PPVI。由于可用的随访数据有限,需要进一步的研究来评估其长期安全性和耐久性。
本文章由计算机程序翻译,如有差异,请以英文原文为准。

[The PULSTA valve in native right ventricular outflow tract: initial experience in 3 Spanish hospitals].

[The PULSTA valve in native right ventricular outflow tract: initial experience in 3 Spanish hospitals].

[The PULSTA valve in native right ventricular outflow tract: initial experience in 3 Spanish hospitals].

[The PULSTA valve in native right ventricular outflow tract: initial experience in 3 Spanish hospitals].

Introduction and objectives: Surgery for congenital heart defects with right ventricular outflow tract (RVOT) stenosis often results in significant pulmonary regurgitation, requiring pulmonary valve replacement in the long term. Despite the development of balloon-expandable prostheses, the native RVOT frequently dilates beyond the maximum diameters allowed for these valves. To allow percutaneous pulmonary valve implantation (PPVI) in these patients, clinical trials have been initiated with self-expanding prostheses, including the PULSTA valve. The aim of this study was to report the initial experience with this valve at three Spanish hospitals.

Methods: Descriptive study presenting the results of PPVI with the PULSTA prosthesis in patients with native RVOT and pulmonary regurgitation.

Results: We included 10 patients with a mean age of 15 ± 2.8 years. The implantation was successful in all patients, with no major complications occurring during the procedure. The mean length of follow-up was 18 [range, 2-35] months. In 8 patients, cardiac magnetic resonance was performed at 6 months, revealing a reduction in mean end-diastolic volume (131.7 ± 31.7 mL/m2 vs 100.3 ± 28.9 mL/m2) and end-systolic volume (68 ± 20.8 mL/m2 vs 57 ± 18.5 mL/m2).

Conclusions: The PULSTA prosthesis offers a safe, feasible, and effective alternative for PPVI in patients with native dilated RVOT. Due to the limited available follow-up data, further studies are needed to assess its long-term safety and durability.

求助全文
通过发布文献求助,成功后即可免费获取论文全文。 去求助
来源期刊
REC Interventional Cardiology
REC Interventional Cardiology Medicine-Cardiology and Cardiovascular Medicine
CiteScore
3.10
自引率
28.60%
发文量
87
审稿时长
15 weeks
×
引用
GB/T 7714-2015
复制
MLA
复制
APA
复制
导出至
BibTeX EndNote RefMan NoteFirst NoteExpress
×
提示
您的信息不完整,为了账户安全,请先补充。
现在去补充
×
提示
您因"违规操作"
具体请查看互助需知
我知道了
×
提示
确定
请完成安全验证×
copy
已复制链接
快去分享给好友吧!
我知道了
右上角分享
点击右上角分享
0
联系我们:info@booksci.cn Book学术提供免费学术资源搜索服务,方便国内外学者检索中英文文献。致力于提供最便捷和优质的服务体验。 Copyright © 2023 布克学术 All rights reserved.
京ICP备2023020795号-1
ghs 京公网安备 11010802042870号
Book学术文献互助
Book学术文献互助群
群 号:604180095
Book学术官方微信