妊娠期自发性胸椎硬膜外血肿

IF 1.7
Ioanna Papadimitriou, Artemis Apostolou, Antonios Vakis, Christos Tsitsipanis
{"title":"妊娠期自发性胸椎硬膜外血肿","authors":"Ioanna Papadimitriou, Artemis Apostolou, Antonios Vakis, Christos Tsitsipanis","doi":"10.1097/FM9.0000000000000165","DOIUrl":null,"url":null,"abstract":"","PeriodicalId":74121,"journal":{"name":"Maternal-fetal medicine (Wolters Kluwer Health, Inc.)","volume":"5 1","pages":"54-57"},"PeriodicalIF":1.7000,"publicationDate":"2022-09-26","publicationTypes":"Journal Article","fieldsOfStudy":null,"isOpenAccess":false,"openAccessPdf":"https://www.ncbi.nlm.nih.gov/pmc/articles/PMC12094423/pdf/","citationCount":"0","resultStr":"{\"title\":\"Spontaneous Thoracic Spinal Epidural Hematoma During Pregnancy.\",\"authors\":\"Ioanna Papadimitriou, Artemis Apostolou, Antonios Vakis, Christos Tsitsipanis\",\"doi\":\"10.1097/FM9.0000000000000165\",\"DOIUrl\":null,\"url\":null,\"abstract\":\"\",\"PeriodicalId\":74121,\"journal\":{\"name\":\"Maternal-fetal medicine (Wolters Kluwer Health, Inc.)\",\"volume\":\"5 1\",\"pages\":\"54-57\"},\"PeriodicalIF\":1.7000,\"publicationDate\":\"2022-09-26\",\"publicationTypes\":\"Journal Article\",\"fieldsOfStudy\":null,\"isOpenAccess\":false,\"openAccessPdf\":\"https://www.ncbi.nlm.nih.gov/pmc/articles/PMC12094423/pdf/\",\"citationCount\":\"0\",\"resultStr\":null,\"platform\":\"Semanticscholar\",\"paperid\":null,\"PeriodicalName\":\"Maternal-fetal medicine (Wolters Kluwer Health, Inc.)\",\"FirstCategoryId\":\"1085\",\"ListUrlMain\":\"https://doi.org/10.1097/FM9.0000000000000165\",\"RegionNum\":0,\"RegionCategory\":null,\"ArticlePicture\":[],\"TitleCN\":null,\"AbstractTextCN\":null,\"PMCID\":null,\"EPubDate\":\"2023/1/1 0:00:00\",\"PubModel\":\"eCollection\",\"JCR\":\"\",\"JCRName\":\"\",\"Score\":null,\"Total\":0}","platform":"Semanticscholar","paperid":null,"PeriodicalName":"Maternal-fetal medicine (Wolters Kluwer Health, Inc.)","FirstCategoryId":"1085","ListUrlMain":"https://doi.org/10.1097/FM9.0000000000000165","RegionNum":0,"RegionCategory":null,"ArticlePicture":[],"TitleCN":null,"AbstractTextCN":null,"PMCID":null,"EPubDate":"2023/1/1 0:00:00","PubModel":"eCollection","JCR":"","JCRName":"","Score":null,"Total":0}
引用次数: 0

摘要

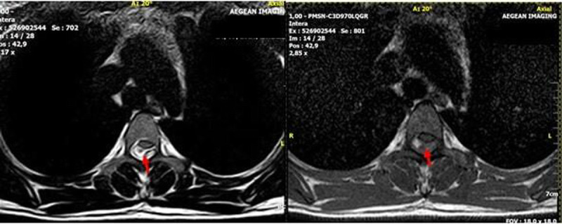
自发性脊髓硬膜外血肿(SSEH)是罕见的,特别是在怀孕期间。然而,SSEH是一种严重的紧急情况,必须立即处理,以防止母亲的永久性神经缺陷和死产。SEEH的病因和发病机制尚不清楚,尽管文献中描述了多种理论和诱发因素。在这个报告中,我们描述了一个怀孕的女性谁发展SSEH的情况。患者提供书面和知情同意发表她的临床信息和相关图像。在这里,我们报告了一例24岁的女性,孕龄31周,已知因子S缺乏和狼疮抗凝剂阳性,正在接受低分子肝素(LMWH)治疗。这种治疗有可能导致出血。此外,患者报告有10天的背部、乳房和下肢麻木和疼痛史。无外伤史报道。患者表现为急性(12小时)截瘫,立即在当地医院进行了磁共振成像(MRI)扫描,发现T1-T3位背侧硬膜外间隙急性出血(图1,2)。给予皮质类固醇,并通过直升机将患者转移到我们的急诊科,神经学评估显示双下肢力量受损(右:3/5,左:1/5),以及轻触丧失。心脏摄影和腹部超声显示心动过缓,脉搏中位数约为每分钟98次
本文章由计算机程序翻译,如有差异,请以英文原文为准。

Spontaneous Thoracic Spinal Epidural Hematoma During Pregnancy.

Spontaneous Thoracic Spinal Epidural Hematoma During Pregnancy.

Spontaneous Thoracic Spinal Epidural Hematoma During Pregnancy.

Spontaneous Thoracic Spinal Epidural Hematoma During Pregnancy.
求助全文
通过发布文献求助,成功后即可免费获取论文全文。 去求助
来源期刊
自引率
0.00%
发文量
0
×
引用
GB/T 7714-2015
复制
MLA
复制
APA
复制
导出至
BibTeX EndNote RefMan NoteFirst NoteExpress
×
提示
您的信息不完整,为了账户安全,请先补充。
现在去补充
×
提示
您因"违规操作"
具体请查看互助需知
我知道了
×
提示
确定
请完成安全验证×
copy
已复制链接
快去分享给好友吧!
我知道了
右上角分享
点击右上角分享
0
联系我们:info@booksci.cn Book学术提供免费学术资源搜索服务,方便国内外学者检索中英文文献。致力于提供最便捷和优质的服务体验。 Copyright © 2023 布克学术 All rights reserved.
京ICP备2023020795号-1
ghs 京公网安备 11010802042870号
Book学术文献互助
Book学术文献互助群
群 号:604180095
Book学术官方微信