癌症鳞状细胞皮肤转移1例报告

IF 2.1 Q4 Medicine
Precision Radiation Oncology Pub Date : 2023-06-12 eCollection Date: 2023-06-01 DOI:10.1002/pro6.1195
Xiujuan Zhao, Rui Chen, Qi Zhou
{"title":"癌症鳞状细胞皮肤转移1例报告","authors":"Xiujuan Zhao, Rui Chen, Qi Zhou","doi":"10.1002/pro6.1195","DOIUrl":null,"url":null,"abstract":"<p><p>Cervical cancer, the fourth most common cancer among females in the world, ranks the second in China. In advanced disease, metastases may be commonly present in the lungs, bones, liver and lymph nodes or elsewhere, but uncommon to the skin. In this report, a 63-year-old woman was diagnosed as stage IVB cervical squamous cell cancer in January 2021. The patient was scheduled for concurrent chemoradiotherapy; however, a metastatic lesion of skin was proved by biopsy during the process of treatment. She died 1 month after confirmed skin metastases. Cutaneous metastasis of cervical cancer may predict the mix of lymphatic and hematogenous metastasis and the rapid fatal termination.</p>","PeriodicalId":32406,"journal":{"name":"Precision Radiation Oncology","volume":"7 1","pages":"142-146"},"PeriodicalIF":2.1000,"publicationDate":"2023-06-12","publicationTypes":"Journal Article","fieldsOfStudy":null,"isOpenAccess":false,"openAccessPdf":"https://www.ncbi.nlm.nih.gov/pmc/articles/PMC11934991/pdf/","citationCount":"0","resultStr":"{\"title\":\"Skin metastasis in squamous cell cancer of cervix: A case report.\",\"authors\":\"Xiujuan Zhao, Rui Chen, Qi Zhou\",\"doi\":\"10.1002/pro6.1195\",\"DOIUrl\":null,\"url\":null,\"abstract\":\"<p><p>Cervical cancer, the fourth most common cancer among females in the world, ranks the second in China. In advanced disease, metastases may be commonly present in the lungs, bones, liver and lymph nodes or elsewhere, but uncommon to the skin. In this report, a 63-year-old woman was diagnosed as stage IVB cervical squamous cell cancer in January 2021. The patient was scheduled for concurrent chemoradiotherapy; however, a metastatic lesion of skin was proved by biopsy during the process of treatment. She died 1 month after confirmed skin metastases. Cutaneous metastasis of cervical cancer may predict the mix of lymphatic and hematogenous metastasis and the rapid fatal termination.</p>\",\"PeriodicalId\":32406,\"journal\":{\"name\":\"Precision Radiation Oncology\",\"volume\":\"7 1\",\"pages\":\"142-146\"},\"PeriodicalIF\":2.1000,\"publicationDate\":\"2023-06-12\",\"publicationTypes\":\"Journal Article\",\"fieldsOfStudy\":null,\"isOpenAccess\":false,\"openAccessPdf\":\"https://www.ncbi.nlm.nih.gov/pmc/articles/PMC11934991/pdf/\",\"citationCount\":\"0\",\"resultStr\":null,\"platform\":\"Semanticscholar\",\"paperid\":null,\"PeriodicalName\":\"Precision Radiation Oncology\",\"FirstCategoryId\":\"1085\",\"ListUrlMain\":\"https://doi.org/10.1002/pro6.1195\",\"RegionNum\":0,\"RegionCategory\":null,\"ArticlePicture\":[],\"TitleCN\":null,\"AbstractTextCN\":null,\"PMCID\":null,\"EPubDate\":\"2023/6/1 0:00:00\",\"PubModel\":\"eCollection\",\"JCR\":\"Q4\",\"JCRName\":\"Medicine\",\"Score\":null,\"Total\":0}","platform":"Semanticscholar","paperid":null,"PeriodicalName":"Precision Radiation Oncology","FirstCategoryId":"1085","ListUrlMain":"https://doi.org/10.1002/pro6.1195","RegionNum":0,"RegionCategory":null,"ArticlePicture":[],"TitleCN":null,"AbstractTextCN":null,"PMCID":null,"EPubDate":"2023/6/1 0:00:00","PubModel":"eCollection","JCR":"Q4","JCRName":"Medicine","Score":null,"Total":0}
引用次数: 0

摘要

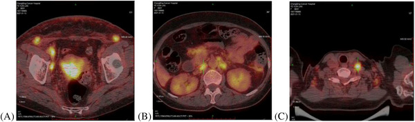
癌症是世界第四大癌症,在中国排名第二。在晚期疾病中,转移瘤可能常见于肺部、骨骼、肝脏和淋巴结或其他部位,但在皮肤中并不常见。在本报告中,一名63岁的女性于2021年1月被诊断为IVB期癌症。患者计划同时进行放化疗;然而,在治疗过程中,活检证实了皮肤的转移性病变。她在确认皮肤转移后1个月死亡。癌症的皮肤转移可预测淋巴和血行转移的混合和快速致命终止。
本文章由计算机程序翻译,如有差异,请以英文原文为准。

Skin metastasis in squamous cell cancer of cervix: A case report.

Skin metastasis in squamous cell cancer of cervix: A case report.

Skin metastasis in squamous cell cancer of cervix: A case report.

Skin metastasis in squamous cell cancer of cervix: A case report.

Cervical cancer, the fourth most common cancer among females in the world, ranks the second in China. In advanced disease, metastases may be commonly present in the lungs, bones, liver and lymph nodes or elsewhere, but uncommon to the skin. In this report, a 63-year-old woman was diagnosed as stage IVB cervical squamous cell cancer in January 2021. The patient was scheduled for concurrent chemoradiotherapy; however, a metastatic lesion of skin was proved by biopsy during the process of treatment. She died 1 month after confirmed skin metastases. Cutaneous metastasis of cervical cancer may predict the mix of lymphatic and hematogenous metastasis and the rapid fatal termination.

求助全文
通过发布文献求助,成功后即可免费获取论文全文。 去求助
来源期刊
Precision Radiation Oncology
Precision Radiation Oncology Medicine-Oncology
CiteScore
1.20
自引率
0.00%
发文量
32
审稿时长
13 weeks
×
引用
GB/T 7714-2015
复制
MLA
复制
APA
复制
导出至
BibTeX EndNote RefMan NoteFirst NoteExpress
×
提示
您的信息不完整,为了账户安全,请先补充。
现在去补充
×
提示
您因"违规操作"
具体请查看互助需知
我知道了
×
提示
确定
请完成安全验证×
copy
已复制链接
快去分享给好友吧!
我知道了
右上角分享
点击右上角分享
0
联系我们:info@booksci.cn Book学术提供免费学术资源搜索服务,方便国内外学者检索中英文文献。致力于提供最便捷和优质的服务体验。 Copyright © 2023 布克学术 All rights reserved.
京ICP备2023020795号-1
ghs 京公网安备 11010802042870号
Book学术文献互助
Book学术文献互助群
群 号:604180095
Book学术官方微信