心脏MRI诊断原发性心脏b细胞淋巴瘤1例

Q4 Medicine
US Cardiology Review Pub Date : 2023-06-26 eCollection Date: 2023-01-01 DOI:10.15420/usc.2022.31
Kevin Lee, Iva Minga, Eryn Cameron, Juan Pablo Salazar Adum, Amit Pursnani
{"title":"心脏MRI诊断原发性心脏b细胞淋巴瘤1例","authors":"Kevin Lee, Iva Minga, Eryn Cameron, Juan Pablo Salazar Adum, Amit Pursnani","doi":"10.15420/usc.2022.31","DOIUrl":null,"url":null,"abstract":"<p><p>Primary cardiac tumors account for only 0.3% of all cardiac tumors; of these, lymphomas account for only 2% of all primary cardiac tumors. Cardiac lymphomas have a grim prognosis, often less than 1 year due to delays in diagnosis and treatment. Cardiac MRI is the gold standard for the imaging of cardiac tumors. We describe the case of a 76-year-old man with no significant past medical history who presented to the emergency department with a large pericardial effusion that was found to be consistent with cardiac lymphoma on cardiac MRI prior to tissue diagnosis of a primary cardiac diffuse large B-cell lymphoma. The clinical and radiological features of cardiac lymphoma are reviewed, and the therapeutic management and side-effects that the patient experienced are discussed.</p>","PeriodicalId":37809,"journal":{"name":"US Cardiology Review","volume":" ","pages":"e08"},"PeriodicalIF":0.0000,"publicationDate":"2023-06-26","publicationTypes":"Journal Article","fieldsOfStudy":null,"isOpenAccess":false,"openAccessPdf":"https://www.ncbi.nlm.nih.gov/pmc/articles/PMC11526497/pdf/","citationCount":"0","resultStr":"{\"title\":\"A Case of Primary Cardiac B-cell Lymphoma Diagnosed with Cardiac MRI.\",\"authors\":\"Kevin Lee, Iva Minga, Eryn Cameron, Juan Pablo Salazar Adum, Amit Pursnani\",\"doi\":\"10.15420/usc.2022.31\",\"DOIUrl\":null,\"url\":null,\"abstract\":\"<p><p>Primary cardiac tumors account for only 0.3% of all cardiac tumors; of these, lymphomas account for only 2% of all primary cardiac tumors. Cardiac lymphomas have a grim prognosis, often less than 1 year due to delays in diagnosis and treatment. Cardiac MRI is the gold standard for the imaging of cardiac tumors. We describe the case of a 76-year-old man with no significant past medical history who presented to the emergency department with a large pericardial effusion that was found to be consistent with cardiac lymphoma on cardiac MRI prior to tissue diagnosis of a primary cardiac diffuse large B-cell lymphoma. The clinical and radiological features of cardiac lymphoma are reviewed, and the therapeutic management and side-effects that the patient experienced are discussed.</p>\",\"PeriodicalId\":37809,\"journal\":{\"name\":\"US Cardiology Review\",\"volume\":\" \",\"pages\":\"e08\"},\"PeriodicalIF\":0.0000,\"publicationDate\":\"2023-06-26\",\"publicationTypes\":\"Journal Article\",\"fieldsOfStudy\":null,\"isOpenAccess\":false,\"openAccessPdf\":\"https://www.ncbi.nlm.nih.gov/pmc/articles/PMC11526497/pdf/\",\"citationCount\":\"0\",\"resultStr\":null,\"platform\":\"Semanticscholar\",\"paperid\":null,\"PeriodicalName\":\"US Cardiology Review\",\"FirstCategoryId\":\"1085\",\"ListUrlMain\":\"https://doi.org/10.15420/usc.2022.31\",\"RegionNum\":0,\"RegionCategory\":null,\"ArticlePicture\":[],\"TitleCN\":null,\"AbstractTextCN\":null,\"PMCID\":null,\"EPubDate\":\"2023/1/1 0:00:00\",\"PubModel\":\"eCollection\",\"JCR\":\"Q4\",\"JCRName\":\"Medicine\",\"Score\":null,\"Total\":0}","platform":"Semanticscholar","paperid":null,"PeriodicalName":"US Cardiology Review","FirstCategoryId":"1085","ListUrlMain":"https://doi.org/10.15420/usc.2022.31","RegionNum":0,"RegionCategory":null,"ArticlePicture":[],"TitleCN":null,"AbstractTextCN":null,"PMCID":null,"EPubDate":"2023/1/1 0:00:00","PubModel":"eCollection","JCR":"Q4","JCRName":"Medicine","Score":null,"Total":0}
引用次数: 0

摘要

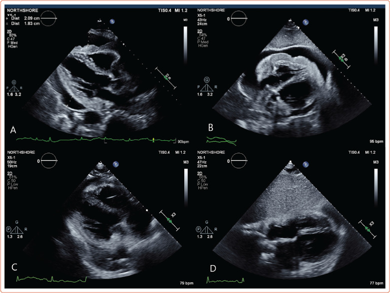
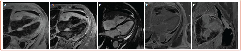
原发性心脏肿瘤仅占全部心脏肿瘤的0.3%;其中,淋巴瘤仅占所有原发性心脏肿瘤的2%。心脏淋巴瘤预后恶劣,由于诊断和治疗的延误,往往不到1年。心脏MRI是心脏肿瘤成像的金标准。我们描述了一个76岁的男性病例,没有明显的既往病史,他在心脏MRI上发现大量心包积液与心脏淋巴瘤一致,而组织诊断为原发性心脏弥漫性大b细胞淋巴瘤。本文回顾了心脏淋巴瘤的临床和影像学特点,并讨论了患者的治疗管理和副作用。
本文章由计算机程序翻译,如有差异,请以英文原文为准。

A Case of Primary Cardiac B-cell Lymphoma Diagnosed with Cardiac MRI.

A Case of Primary Cardiac B-cell Lymphoma Diagnosed with Cardiac MRI.

A Case of Primary Cardiac B-cell Lymphoma Diagnosed with Cardiac MRI.

A Case of Primary Cardiac B-cell Lymphoma Diagnosed with Cardiac MRI.

Primary cardiac tumors account for only 0.3% of all cardiac tumors; of these, lymphomas account for only 2% of all primary cardiac tumors. Cardiac lymphomas have a grim prognosis, often less than 1 year due to delays in diagnosis and treatment. Cardiac MRI is the gold standard for the imaging of cardiac tumors. We describe the case of a 76-year-old man with no significant past medical history who presented to the emergency department with a large pericardial effusion that was found to be consistent with cardiac lymphoma on cardiac MRI prior to tissue diagnosis of a primary cardiac diffuse large B-cell lymphoma. The clinical and radiological features of cardiac lymphoma are reviewed, and the therapeutic management and side-effects that the patient experienced are discussed.

求助全文
通过发布文献求助,成功后即可免费获取论文全文。 去求助
来源期刊
US Cardiology Review
US Cardiology Review Medicine-Cardiology and Cardiovascular Medicine
CiteScore
1.10
自引率
0.00%
发文量
24
审稿时长
10 weeks
期刊介绍: US Cardiology Review (USC) is an international, US-English language, peer-reviewed journal that is published bi-annually and aims to assist time-pressured physicians to stay abreast of key advances and opinion in the area of cardiovascular disease. The journal comprises balanced and comprehensive review articles written by leading authorities. The journal provides updates on a range of salient issues to support physicians in developing their knowledge and effectiveness in day-to-day clinical practice. The journal endeavours to support the continuous medical education of specialist and general cardiologists and disseminate knowledge of the field to the wider cardiovascular community.
×
引用
GB/T 7714-2015
复制
MLA
复制
APA
复制
导出至
BibTeX EndNote RefMan NoteFirst NoteExpress
×
提示
您的信息不完整,为了账户安全,请先补充。
现在去补充
×
提示
您因"违规操作"
具体请查看互助需知
我知道了
×
提示
确定
请完成安全验证×
copy
已复制链接
快去分享给好友吧!
我知道了
右上角分享
点击右上角分享
0
联系我们:info@booksci.cn Book学术提供免费学术资源搜索服务,方便国内外学者检索中英文文献。致力于提供最便捷和优质的服务体验。 Copyright © 2023 布克学术 All rights reserved.
京ICP备2023020795号-1
ghs 京公网安备 11010802042870号
Book学术文献互助
Book学术文献互助群
群 号:604180095
Book学术官方微信