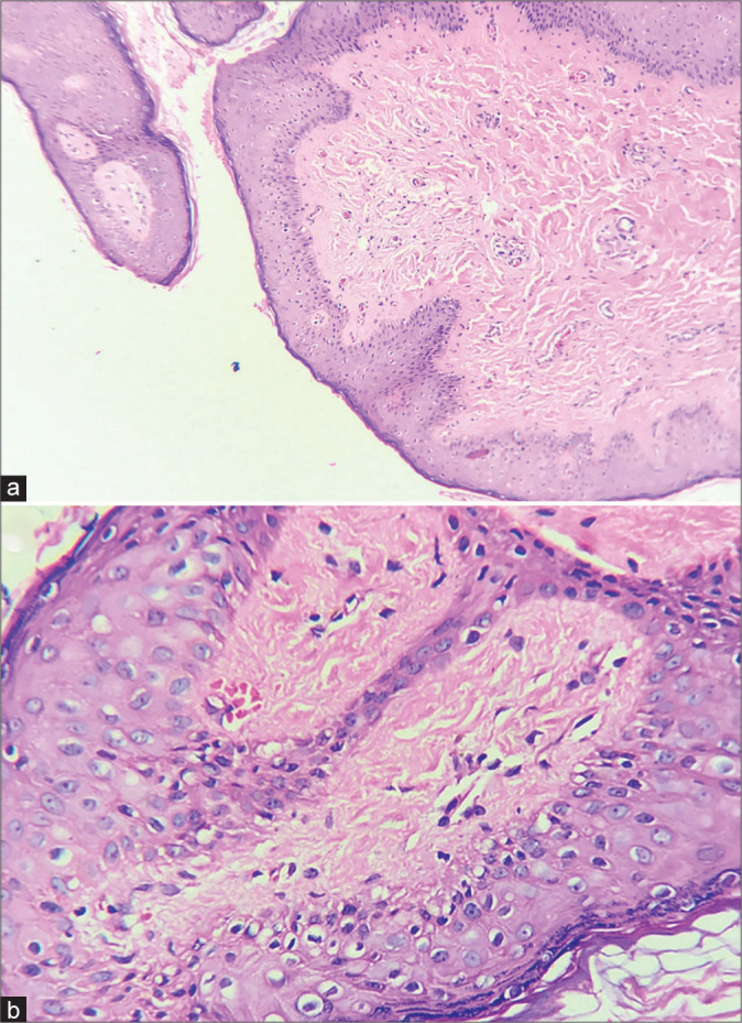
Fitzpatrick IV型皮肤乳头和/或乳晕的网状角化过度的皮肤镜检查

Q3 Medicine
Journal of Cutaneous and Aesthetic Surgery Pub Date : 2024-10-01 Epub Date: 2023-06-27 DOI:10.4103/JCAS.JCAS_175_22
Payal Chauhan, Avita Dhiman, Manju Daroach
{"title":"Fitzpatrick IV型皮肤乳头和/或乳晕的网状角化过度的皮肤镜检查","authors":"Payal Chauhan, Avita Dhiman, Manju Daroach","doi":"10.4103/JCAS.JCAS_175_22","DOIUrl":null,"url":null,"abstract":"","PeriodicalId":15415,"journal":{"name":"Journal of Cutaneous and Aesthetic Surgery","volume":" ","pages":"332-334"},"PeriodicalIF":0.0000,"publicationDate":"2024-10-01","publicationTypes":"Journal Article","fieldsOfStudy":null,"isOpenAccess":false,"openAccessPdf":"https://www.ncbi.nlm.nih.gov/pmc/articles/PMC11619166/pdf/","citationCount":"0","resultStr":"{\"title\":\"Dermoscopy of nevoid hyperkeratosis of the nipple and/or areola in Fitzpatrick skin type IV.\",\"authors\":\"Payal Chauhan, Avita Dhiman, Manju Daroach\",\"doi\":\"10.4103/JCAS.JCAS_175_22\",\"DOIUrl\":null,\"url\":null,\"abstract\":\"\",\"PeriodicalId\":15415,\"journal\":{\"name\":\"Journal of Cutaneous and Aesthetic Surgery\",\"volume\":\" \",\"pages\":\"332-334\"},\"PeriodicalIF\":0.0000,\"publicationDate\":\"2024-10-01\",\"publicationTypes\":\"Journal Article\",\"fieldsOfStudy\":null,\"isOpenAccess\":false,\"openAccessPdf\":\"https://www.ncbi.nlm.nih.gov/pmc/articles/PMC11619166/pdf/\",\"citationCount\":\"0\",\"resultStr\":null,\"platform\":\"Semanticscholar\",\"paperid\":null,\"PeriodicalName\":\"Journal of Cutaneous and Aesthetic Surgery\",\"FirstCategoryId\":\"1085\",\"ListUrlMain\":\"https://doi.org/10.4103/JCAS.JCAS_175_22\",\"RegionNum\":0,\"RegionCategory\":null,\"ArticlePicture\":[],\"TitleCN\":null,\"AbstractTextCN\":null,\"PMCID\":null,\"EPubDate\":\"2023/6/27 0:00:00\",\"PubModel\":\"Epub\",\"JCR\":\"Q3\",\"JCRName\":\"Medicine\",\"Score\":null,\"Total\":0}","platform":"Semanticscholar","paperid":null,"PeriodicalName":"Journal of Cutaneous and Aesthetic Surgery","FirstCategoryId":"1085","ListUrlMain":"https://doi.org/10.4103/JCAS.JCAS_175_22","RegionNum":0,"RegionCategory":null,"ArticlePicture":[],"TitleCN":null,"AbstractTextCN":null,"PMCID":null,"EPubDate":"2023/6/27 0:00:00","PubModel":"Epub","JCR":"Q3","JCRName":"Medicine","Score":null,"Total":0}
引用次数: 0

摘要

本文章由计算机程序翻译,如有差异,请以英文原文为准。

Dermoscopy of nevoid hyperkeratosis of the nipple and/or areola in Fitzpatrick skin type IV.

Dermoscopy of nevoid hyperkeratosis of the nipple and/or areola in Fitzpatrick skin type IV.

Dermoscopy of nevoid hyperkeratosis of the nipple and/or areola in Fitzpatrick skin type IV.

Dermoscopy of nevoid hyperkeratosis of the nipple and/or areola in Fitzpatrick skin type IV.
求助全文
通过发布文献求助,成功后即可免费获取论文全文。 去求助
来源期刊
CiteScore
1.10
自引率
0.00%
发文量
60
审稿时长
29 weeks
期刊介绍: The journal will cover aspects of Dermatosurgery and Aesthetic surgery, including cutaneous surgical procedures, lasers, light based treatments and aesthetic treatments. Authors of articles addressing topics such as skin tumours, pigmentary disorders, histopathology, diagnostic techniques, drugs, applications of cosmeceuticals surgical aspects, including pre and post procedural care are highly encouraged to submit with us. The journal also publishes articles on topics in allied specialities suh as plastic surgery, maxillofacial surgery vascular surgery, oculoplastic surgery etc. that are relevant to Dermatosurgery. The journal gives preference to clinically oriented studies over experimental and animal studies. The Journal would publish peer-reviewed Original Research Articles, Systematic reviews, Narrative Reviews, Case reports, Innovations and Debates. Letters to the editor, practice points, pearls in cutaneous and aesthetic surgery, quiz page, images, novel techniques, newer uses of instruments and video presentations and ethical aspects of cutaneous and aesthetic surgery are also invited.
×
引用
GB/T 7714-2015
复制
MLA
复制
APA
复制
导出至
BibTeX EndNote RefMan NoteFirst NoteExpress
×
提示
您的信息不完整,为了账户安全,请先补充。
现在去补充
×
提示
您因"违规操作"
具体请查看互助需知
我知道了
×
提示
确定
请完成安全验证×
copy
已复制链接
快去分享给好友吧!
我知道了
右上角分享
点击右上角分享
0
联系我们:info@booksci.cn Book学术提供免费学术资源搜索服务,方便国内外学者检索中英文文献。致力于提供最便捷和优质的服务体验。 Copyright © 2023 布克学术 All rights reserved.
京ICP备2023020795号-1
ghs 京公网安备 11010802042870号
Book学术文献互助
Book学术文献互助群
群 号:604180095
Book学术官方微信