预测急诊科食管损伤患者穿孔的严重程度和不良结局

Eui Sun Jeong, Hye-Kyung Jung, Ju Ran Byeon, Ayoung Lee, Ji Taek Hong, Seong-Eun Kim, Chang Mo Moon
{"title":"预测急诊科食管损伤患者穿孔的严重程度和不良结局","authors":"Eui Sun Jeong, Hye-Kyung Jung, Ju Ran Byeon, Ayoung Lee, Ji Taek Hong, Seong-Eun Kim, Chang Mo Moon","doi":"10.7704/kjhugr.2022.0057","DOIUrl":null,"url":null,"abstract":"<p><strong>Background/aims: </strong>Esophageal perforation is associated with high mortality and morbidity in patients presenting to the emergency department (ED) with esophageal injury. We investigated the effectiveness of initial CT scan in patients with esophageal injury to determine the risk factors for complications.</p><p><strong>Methods: </strong>Patients admitted through the ED for evaluation of esophageal injuries between January 2001 and May 2020, were investigated. Demographic data, etiological factors, comorbidities, treatment administered, and outcomes were collected. Esophageal injury was graded based on the following CT criteria: (a) normal, (b) pneumomediastinum, (c) mediastinitis, fluid collection, abscess, or overt esophageal wall injury, and (d) pleural effusion, subcutaneous emphysema, or pneumothorax. Grade 2 was defined as microperforation and grades 3 and 4 as overt perforation.</p><p><strong>Results: </strong>Of 281 patients with esophageal injury, 38 had CT-documented overt perforations and 20 had microperforations. Foreign body-induced injury (n=37), Boerhaave syndrome (n=12), and chemical injury (n=3) were common causes of esophageal injury. Complications occurred in 24 (8.5%) patients. Risk factors for complications were age ≥65 years (OR 4.14, 95% CI 1.18~14.56, <i>P</i>=0.027), cerebrovascular disease (OR 8.58, 95% CI 1.13~65.19, <i>P</i>=0.038), Boerhaave syndrome (OR 12.52, 95% CI 2.07~75.68, <i>P</i>=0.006), chemical injury (OR 15.72, 95% CI 3.67~67.28, <i>P</i><0.001), and CT-documented grade 4 perforation (OR 15.75, 95% CI 4.39~56.55, <i>P</i><0.001).</p><p><strong>Conclusions: </strong>Initial CT-based grading in the ED are useful for predicting potential complications and for managing patients with esophageal injury and suspected perforation.</p>","PeriodicalId":22895,"journal":{"name":"The Korean Journal of Helicobacter and Upper Gastrointestinal Research","volume":" ","pages":"42-51"},"PeriodicalIF":0.0000,"publicationDate":"2023-03-01","publicationTypes":"Journal Article","fieldsOfStudy":null,"isOpenAccess":false,"openAccessPdf":"https://www.ncbi.nlm.nih.gov/pmc/articles/PMC11967457/pdf/","citationCount":"0","resultStr":"{\"title\":\"Prediction of Severity and Adverse Outcomes Associated with Perforation in Patients Presenting to the Emergency Department with Esophageal Injury.\",\"authors\":\"Eui Sun Jeong, Hye-Kyung Jung, Ju Ran Byeon, Ayoung Lee, Ji Taek Hong, Seong-Eun Kim, Chang Mo Moon\",\"doi\":\"10.7704/kjhugr.2022.0057\",\"DOIUrl\":null,\"url\":null,\"abstract\":\"<p><strong>Background/aims: </strong>Esophageal perforation is associated with high mortality and morbidity in patients presenting to the emergency department (ED) with esophageal injury. We investigated the effectiveness of initial CT scan in patients with esophageal injury to determine the risk factors for complications.</p><p><strong>Methods: </strong>Patients admitted through the ED for evaluation of esophageal injuries between January 2001 and May 2020, were investigated. Demographic data, etiological factors, comorbidities, treatment administered, and outcomes were collected. Esophageal injury was graded based on the following CT criteria: (a) normal, (b) pneumomediastinum, (c) mediastinitis, fluid collection, abscess, or overt esophageal wall injury, and (d) pleural effusion, subcutaneous emphysema, or pneumothorax. Grade 2 was defined as microperforation and grades 3 and 4 as overt perforation.</p><p><strong>Results: </strong>Of 281 patients with esophageal injury, 38 had CT-documented overt perforations and 20 had microperforations. Foreign body-induced injury (n=37), Boerhaave syndrome (n=12), and chemical injury (n=3) were common causes of esophageal injury. Complications occurred in 24 (8.5%) patients. Risk factors for complications were age ≥65 years (OR 4.14, 95% CI 1.18~14.56, <i>P</i>=0.027), cerebrovascular disease (OR 8.58, 95% CI 1.13~65.19, <i>P</i>=0.038), Boerhaave syndrome (OR 12.52, 95% CI 2.07~75.68, <i>P</i>=0.006), chemical injury (OR 15.72, 95% CI 3.67~67.28, <i>P</i><0.001), and CT-documented grade 4 perforation (OR 15.75, 95% CI 4.39~56.55, <i>P</i><0.001).</p><p><strong>Conclusions: </strong>Initial CT-based grading in the ED are useful for predicting potential complications and for managing patients with esophageal injury and suspected perforation.</p>\",\"PeriodicalId\":22895,\"journal\":{\"name\":\"The Korean Journal of Helicobacter and Upper Gastrointestinal Research\",\"volume\":\" \",\"pages\":\"42-51\"},\"PeriodicalIF\":0.0000,\"publicationDate\":\"2023-03-01\",\"publicationTypes\":\"Journal Article\",\"fieldsOfStudy\":null,\"isOpenAccess\":false,\"openAccessPdf\":\"https://www.ncbi.nlm.nih.gov/pmc/articles/PMC11967457/pdf/\",\"citationCount\":\"0\",\"resultStr\":null,\"platform\":\"Semanticscholar\",\"paperid\":null,\"PeriodicalName\":\"The Korean Journal of Helicobacter and Upper Gastrointestinal Research\",\"FirstCategoryId\":\"1085\",\"ListUrlMain\":\"https://doi.org/10.7704/kjhugr.2022.0057\",\"RegionNum\":0,\"RegionCategory\":null,\"ArticlePicture\":[],\"TitleCN\":null,\"AbstractTextCN\":null,\"PMCID\":null,\"EPubDate\":\"2023/2/1 0:00:00\",\"PubModel\":\"Epub\",\"JCR\":\"\",\"JCRName\":\"\",\"Score\":null,\"Total\":0}","platform":"Semanticscholar","paperid":null,"PeriodicalName":"The Korean Journal of Helicobacter and Upper Gastrointestinal Research","FirstCategoryId":"1085","ListUrlMain":"https://doi.org/10.7704/kjhugr.2022.0057","RegionNum":0,"RegionCategory":null,"ArticlePicture":[],"TitleCN":null,"AbstractTextCN":null,"PMCID":null,"EPubDate":"2023/2/1 0:00:00","PubModel":"Epub","JCR":"","JCRName":"","Score":null,"Total":0}
引用次数: 0

摘要

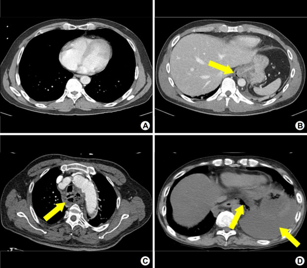
背景/目的:食管穿孔与急诊科(ED)食管损伤患者的高死亡率和发病率相关。我们研究了初始CT扫描在食管损伤患者中的有效性,以确定并发症的危险因素。方法:对2001年1月至2020年5月通过急诊科评估食管损伤的患者进行调查。收集了人口统计数据、病因、合并症、治疗方案和结果。根据以下CT标准对食管损伤进行分级:(a)正常,(b)纵隔气肿,(c)纵隔炎、积液、脓肿或明显的食管壁损伤,(d)胸腔积液、皮下肺气肿或气胸。2级定义为微穿孔,3级和4级定义为明显穿孔。结果:281例食管损伤患者中,38例有ct记录的明显穿孔,20例有微穿孔。异物性损伤(37例)、Boerhaave综合征(12例)和化学损伤(3例)是常见的食管损伤原因。并发症24例(8.5%)。并发症的危险因素为年龄≥65岁(OR 4.14, 95% CI 1.18~14.56, P=0.027)、脑血管疾病(OR 8.58, 95% CI 1.13~65.19, P=0.038)、Boerhaave综合征(OR 12.52, 95% CI 2.07~75.68, P=0.006)、化学损伤(OR 15.72, 95% CI 3.67~67.28, ppp)。结论:ED中基于ct的初始分级有助于预测潜在并发症和管理食管损伤和疑似穿孔患者。
本文章由计算机程序翻译,如有差异,请以英文原文为准。

Prediction of Severity and Adverse Outcomes Associated with Perforation in Patients Presenting to the Emergency Department with Esophageal Injury.

Prediction of Severity and Adverse Outcomes Associated with Perforation in Patients Presenting to the Emergency Department with Esophageal Injury.

Prediction of Severity and Adverse Outcomes Associated with Perforation in Patients Presenting to the Emergency Department with Esophageal Injury.

Prediction of Severity and Adverse Outcomes Associated with Perforation in Patients Presenting to the Emergency Department with Esophageal Injury.

Background/aims: Esophageal perforation is associated with high mortality and morbidity in patients presenting to the emergency department (ED) with esophageal injury. We investigated the effectiveness of initial CT scan in patients with esophageal injury to determine the risk factors for complications.

Methods: Patients admitted through the ED for evaluation of esophageal injuries between January 2001 and May 2020, were investigated. Demographic data, etiological factors, comorbidities, treatment administered, and outcomes were collected. Esophageal injury was graded based on the following CT criteria: (a) normal, (b) pneumomediastinum, (c) mediastinitis, fluid collection, abscess, or overt esophageal wall injury, and (d) pleural effusion, subcutaneous emphysema, or pneumothorax. Grade 2 was defined as microperforation and grades 3 and 4 as overt perforation.

Results: Of 281 patients with esophageal injury, 38 had CT-documented overt perforations and 20 had microperforations. Foreign body-induced injury (n=37), Boerhaave syndrome (n=12), and chemical injury (n=3) were common causes of esophageal injury. Complications occurred in 24 (8.5%) patients. Risk factors for complications were age ≥65 years (OR 4.14, 95% CI 1.18~14.56, P=0.027), cerebrovascular disease (OR 8.58, 95% CI 1.13~65.19, P=0.038), Boerhaave syndrome (OR 12.52, 95% CI 2.07~75.68, P=0.006), chemical injury (OR 15.72, 95% CI 3.67~67.28, P<0.001), and CT-documented grade 4 perforation (OR 15.75, 95% CI 4.39~56.55, P<0.001).

Conclusions: Initial CT-based grading in the ED are useful for predicting potential complications and for managing patients with esophageal injury and suspected perforation.

求助全文
通过发布文献求助,成功后即可免费获取论文全文。 去求助
来源期刊
自引率
0.00%
发文量
41
审稿时长
18 weeks
×
引用
GB/T 7714-2015
复制
MLA
复制
APA
复制
导出至
BibTeX EndNote RefMan NoteFirst NoteExpress
×
提示
您的信息不完整,为了账户安全,请先补充。
现在去补充
×
提示
您因"违规操作"
具体请查看互助需知
我知道了
×
提示
确定
请完成安全验证×
copy
已复制链接
快去分享给好友吧!
我知道了
右上角分享
点击右上角分享
0
联系我们:info@booksci.cn Book学术提供免费学术资源搜索服务,方便国内外学者检索中英文文献。致力于提供最便捷和优质的服务体验。 Copyright © 2023 布克学术 All rights reserved.
京ICP备2023020795号-1
ghs 京公网安备 11010802042870号
Book学术文献互助
Book学术文献互助群
群 号:604180095
Book学术官方微信