血管内超声引导与血管造影术引导的经皮冠状动脉介入治疗:来自观察研究和随机对照试验的证据

Q4 Medicine
US Cardiology Review Pub Date : 2020-05-04 eCollection Date: 2020-01-01 DOI:10.15420/usc.2020.03
Xiao-Fei Gao, Xiang-Quan Kong, Guang-Feng Zuo, Zhi-Mei Wang, Zhen Ge, Jun-Jie Zhang
{"title":"血管内超声引导与血管造影术引导的经皮冠状动脉介入治疗:来自观察研究和随机对照试验的证据","authors":"Xiao-Fei Gao, Xiang-Quan Kong, Guang-Feng Zuo, Zhi-Mei Wang, Zhen Ge, Jun-Jie Zhang","doi":"10.15420/usc.2020.03","DOIUrl":null,"url":null,"abstract":"<p><p>Coronary angiography has been considered the gold standard for the diagnosis of coronary artery disease and guidance of percutaneous coronary intervention (PCI). However, 2D-projection angiography cannot completely reflect the 3D coronary lumen. Intravascular ultrasound (IVUS) can overcome a number of limitations of coronary angiography by providing more information about the dimensions of the vessel lumen, plaque characteristics, stent deployment, and the mechanisms of device failure. Growing data from observational studies and randomized controlled trials have confirmed the clinical benefit of IVUS guidance during PCI. This article summarizes the evidence regarding IVUS guidance to highlight its advantages and to support the use of IVUS during PCI.</p>","PeriodicalId":37809,"journal":{"name":"US Cardiology Review","volume":" ","pages":"e03"},"PeriodicalIF":0.0000,"publicationDate":"2020-05-04","publicationTypes":"Journal Article","fieldsOfStudy":null,"isOpenAccess":false,"openAccessPdf":"https://www.ncbi.nlm.nih.gov/pmc/articles/PMC11664790/pdf/","citationCount":"0","resultStr":"{\"title\":\"Intravascular Ultrasound-guided Versus Angiography-guided Percutaneous Coronary Intervention: Evidence from Observational Studies and Randomized Controlled Trials.\",\"authors\":\"Xiao-Fei Gao, Xiang-Quan Kong, Guang-Feng Zuo, Zhi-Mei Wang, Zhen Ge, Jun-Jie Zhang\",\"doi\":\"10.15420/usc.2020.03\",\"DOIUrl\":null,\"url\":null,\"abstract\":\"<p><p>Coronary angiography has been considered the gold standard for the diagnosis of coronary artery disease and guidance of percutaneous coronary intervention (PCI). However, 2D-projection angiography cannot completely reflect the 3D coronary lumen. Intravascular ultrasound (IVUS) can overcome a number of limitations of coronary angiography by providing more information about the dimensions of the vessel lumen, plaque characteristics, stent deployment, and the mechanisms of device failure. Growing data from observational studies and randomized controlled trials have confirmed the clinical benefit of IVUS guidance during PCI. This article summarizes the evidence regarding IVUS guidance to highlight its advantages and to support the use of IVUS during PCI.</p>\",\"PeriodicalId\":37809,\"journal\":{\"name\":\"US Cardiology Review\",\"volume\":\" \",\"pages\":\"e03\"},\"PeriodicalIF\":0.0000,\"publicationDate\":\"2020-05-04\",\"publicationTypes\":\"Journal Article\",\"fieldsOfStudy\":null,\"isOpenAccess\":false,\"openAccessPdf\":\"https://www.ncbi.nlm.nih.gov/pmc/articles/PMC11664790/pdf/\",\"citationCount\":\"0\",\"resultStr\":null,\"platform\":\"Semanticscholar\",\"paperid\":null,\"PeriodicalName\":\"US Cardiology Review\",\"FirstCategoryId\":\"1085\",\"ListUrlMain\":\"https://doi.org/10.15420/usc.2020.03\",\"RegionNum\":0,\"RegionCategory\":null,\"ArticlePicture\":[],\"TitleCN\":null,\"AbstractTextCN\":null,\"PMCID\":null,\"EPubDate\":\"2020/1/1 0:00:00\",\"PubModel\":\"eCollection\",\"JCR\":\"Q4\",\"JCRName\":\"Medicine\",\"Score\":null,\"Total\":0}","platform":"Semanticscholar","paperid":null,"PeriodicalName":"US Cardiology Review","FirstCategoryId":"1085","ListUrlMain":"https://doi.org/10.15420/usc.2020.03","RegionNum":0,"RegionCategory":null,"ArticlePicture":[],"TitleCN":null,"AbstractTextCN":null,"PMCID":null,"EPubDate":"2020/1/1 0:00:00","PubModel":"eCollection","JCR":"Q4","JCRName":"Medicine","Score":null,"Total":0}
引用次数: 0

摘要

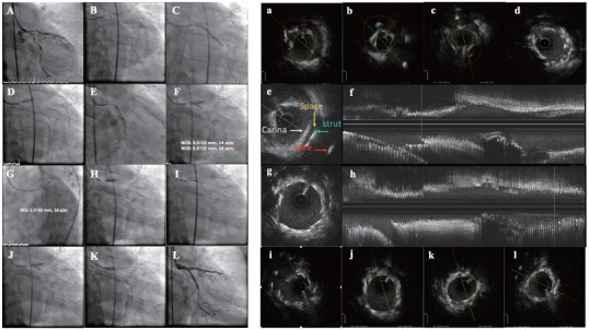
冠状动脉造影被认为是诊断冠状动脉疾病和指导经皮冠状动脉介入治疗(PCI)的金标准。然而,2D投影血管造影术不能完全反映3D冠状动脉管腔。血管内超声(IVUS)可以通过提供更多关于血管内腔尺寸、斑块特征、支架部署和装置故障机制的信息来克服冠状动脉造影的许多局限性。来自观察性研究和随机对照试验的越来越多的数据证实了在PCI期间IVUS指导的临床益处。本文总结了有关IVUS指导的证据,以突出其优势,并支持在PCI期间使用IVUS。
本文章由计算机程序翻译,如有差异,请以英文原文为准。

Intravascular Ultrasound-guided Versus Angiography-guided Percutaneous Coronary Intervention: Evidence from Observational Studies and Randomized Controlled Trials.

Intravascular Ultrasound-guided Versus Angiography-guided Percutaneous Coronary Intervention: Evidence from Observational Studies and Randomized Controlled Trials.

Intravascular Ultrasound-guided Versus Angiography-guided Percutaneous Coronary Intervention: Evidence from Observational Studies and Randomized Controlled Trials.

Intravascular Ultrasound-guided Versus Angiography-guided Percutaneous Coronary Intervention: Evidence from Observational Studies and Randomized Controlled Trials.

Coronary angiography has been considered the gold standard for the diagnosis of coronary artery disease and guidance of percutaneous coronary intervention (PCI). However, 2D-projection angiography cannot completely reflect the 3D coronary lumen. Intravascular ultrasound (IVUS) can overcome a number of limitations of coronary angiography by providing more information about the dimensions of the vessel lumen, plaque characteristics, stent deployment, and the mechanisms of device failure. Growing data from observational studies and randomized controlled trials have confirmed the clinical benefit of IVUS guidance during PCI. This article summarizes the evidence regarding IVUS guidance to highlight its advantages and to support the use of IVUS during PCI.

求助全文
通过发布文献求助,成功后即可免费获取论文全文。 去求助
来源期刊
US Cardiology Review
US Cardiology Review Medicine-Cardiology and Cardiovascular Medicine
CiteScore
1.10
自引率
0.00%
发文量
24
审稿时长
10 weeks
期刊介绍: US Cardiology Review (USC) is an international, US-English language, peer-reviewed journal that is published bi-annually and aims to assist time-pressured physicians to stay abreast of key advances and opinion in the area of cardiovascular disease. The journal comprises balanced and comprehensive review articles written by leading authorities. The journal provides updates on a range of salient issues to support physicians in developing their knowledge and effectiveness in day-to-day clinical practice. The journal endeavours to support the continuous medical education of specialist and general cardiologists and disseminate knowledge of the field to the wider cardiovascular community.
×
引用
GB/T 7714-2015
复制
MLA
复制
APA
复制
导出至
BibTeX EndNote RefMan NoteFirst NoteExpress
×
提示
您的信息不完整,为了账户安全,请先补充。
现在去补充
×
提示
您因"违规操作"
具体请查看互助需知
我知道了
×
提示
确定
请完成安全验证×
copy
已复制链接
快去分享给好友吧!
我知道了
右上角分享
点击右上角分享
0
联系我们:info@booksci.cn Book学术提供免费学术资源搜索服务,方便国内外学者检索中英文文献。致力于提供最便捷和优质的服务体验。 Copyright © 2023 布克学术 All rights reserved.
京ICP备2023020795号-1
ghs 京公网安备 11010802042870号
Book学术文献互助
Book学术文献互助群
群 号:604180095
Book学术官方微信