八块钢板引导生长后胫骨斜率的变化:一项回顾性比较研究。

IF 1.1 4区 医学 Q3 ORTHOPEDICS
Vahit Yıldız, Emre Çullu
{"title":"八块钢板引导生长后胫骨斜率的变化:一项回顾性比较研究。","authors":"Vahit Yıldız, Emre Çullu","doi":"10.5152/j.aott.2022.20365","DOIUrl":null,"url":null,"abstract":"<p><strong>Objective: </strong>The aims of this study were (1) to investigate the tibial slope (TS) changes following guided growth by the eight-plate and to determine the relationship between the TS change in the sagittal plane and the plate position.</p><p><strong>Methods: </strong>In this retrospective study, children who underwent guided growth by the eight-plate for genu varum or valgum were included. Thirty-eight extremities of 23 children (14 girls and 9 boys; mean age = 9.2 years, age range = 3-17 years) were then divided into two groups according to the plate location in the sagittal plane (anterior or midline). Preoperative and postoperative TS were measured from the medial and lateral tibial plateaus separately.</p><p><strong>Results: </strong>The mean follow-up was 34.3 (range = 12-96) months. The mean preoperative and postoperative medial TS were 4.05 ± 5.65 and 0.83 ± 3.91 degrees, respectively, in 18 patients in whom anterior epiphyseal plates were placed (P = 0.004). The mean preoperative and postoperative lateral TS were 4.88 ± 5.33 and 0.11 ± 3.34 degrees, respectively, in 18 patients in whom anterior epiphyseal plates were placed (P < 0.001). The mean preoperative and postoperative medial TS were 4.2 ± 5.19 and 4.9 ± 6.02 degrees, respectively, in 20 patients in whom midline epiphyseal plates were placed (P = 0.532). The mean preoperative and postoperative lateral TS were 5 ± 5.51 and 4.8 ± 5.7 degrees, respectively, in 20 patients in whom midline epiphyseal plates were placed (P = 0.871). Postoperative TS was decreased in anteriorly located eight-plates, and medial and lateral plateau measurement was significant (P = 0.004 and P < 0.001, respectively). Postoperative TS changes in midline-placed eight-plates were not significant regarding the medial and lateral plateaus (P = 0.532 and P = 0.871, respectively).</p><p><strong>Conclusion: </strong>The results of this study have shown that TS decreases following guided growth by the eight-plate in children in whom plates are placed at the anterior epiphysis. To prevent TS changes, the eight-plate should be placed in the midline position at the sagittal plane.</p><p><strong>Level of evidence: </strong>Level IV, Therapeutic Study.</p>","PeriodicalId":7097,"journal":{"name":"Acta orthopaedica et traumatologica turcica","volume":"56 1 1","pages":"31-35"},"PeriodicalIF":1.1000,"publicationDate":"2022-01-01","publicationTypes":"Journal Article","fieldsOfStudy":null,"isOpenAccess":false,"openAccessPdf":"https://www.ncbi.nlm.nih.gov/pmc/articles/PMC12462806/pdf/","citationCount":"0","resultStr":"{\"title\":\"Tibial slope changes following guided growth by the eight-plate: A retrospective comparative study.\",\"authors\":\"Vahit Yıldız, Emre Çullu\",\"doi\":\"10.5152/j.aott.2022.20365\",\"DOIUrl\":null,\"url\":null,\"abstract\":\"<p><strong>Objective: </strong>The aims of this study were (1) to investigate the tibial slope (TS) changes following guided growth by the eight-plate and to determine the relationship between the TS change in the sagittal plane and the plate position.</p><p><strong>Methods: </strong>In this retrospective study, children who underwent guided growth by the eight-plate for genu varum or valgum were included. Thirty-eight extremities of 23 children (14 girls and 9 boys; mean age = 9.2 years, age range = 3-17 years) were then divided into two groups according to the plate location in the sagittal plane (anterior or midline). Preoperative and postoperative TS were measured from the medial and lateral tibial plateaus separately.</p><p><strong>Results: </strong>The mean follow-up was 34.3 (range = 12-96) months. The mean preoperative and postoperative medial TS were 4.05 ± 5.65 and 0.83 ± 3.91 degrees, respectively, in 18 patients in whom anterior epiphyseal plates were placed (P = 0.004). The mean preoperative and postoperative lateral TS were 4.88 ± 5.33 and 0.11 ± 3.34 degrees, respectively, in 18 patients in whom anterior epiphyseal plates were placed (P < 0.001). The mean preoperative and postoperative medial TS were 4.2 ± 5.19 and 4.9 ± 6.02 degrees, respectively, in 20 patients in whom midline epiphyseal plates were placed (P = 0.532). The mean preoperative and postoperative lateral TS were 5 ± 5.51 and 4.8 ± 5.7 degrees, respectively, in 20 patients in whom midline epiphyseal plates were placed (P = 0.871). Postoperative TS was decreased in anteriorly located eight-plates, and medial and lateral plateau measurement was significant (P = 0.004 and P < 0.001, respectively). Postoperative TS changes in midline-placed eight-plates were not significant regarding the medial and lateral plateaus (P = 0.532 and P = 0.871, respectively).</p><p><strong>Conclusion: </strong>The results of this study have shown that TS decreases following guided growth by the eight-plate in children in whom plates are placed at the anterior epiphysis. To prevent TS changes, the eight-plate should be placed in the midline position at the sagittal plane.</p><p><strong>Level of evidence: </strong>Level IV, Therapeutic Study.</p>\",\"PeriodicalId\":7097,\"journal\":{\"name\":\"Acta orthopaedica et traumatologica turcica\",\"volume\":\"56 1 1\",\"pages\":\"31-35\"},\"PeriodicalIF\":1.1000,\"publicationDate\":\"2022-01-01\",\"publicationTypes\":\"Journal Article\",\"fieldsOfStudy\":null,\"isOpenAccess\":false,\"openAccessPdf\":\"https://www.ncbi.nlm.nih.gov/pmc/articles/PMC12462806/pdf/\",\"citationCount\":\"0\",\"resultStr\":null,\"platform\":\"Semanticscholar\",\"paperid\":null,\"PeriodicalName\":\"Acta orthopaedica et traumatologica turcica\",\"FirstCategoryId\":\"3\",\"ListUrlMain\":\"https://doi.org/10.5152/j.aott.2022.20365\",\"RegionNum\":4,\"RegionCategory\":\"医学\",\"ArticlePicture\":[],\"TitleCN\":null,\"AbstractTextCN\":null,\"PMCID\":null,\"EPubDate\":\"\",\"PubModel\":\"\",\"JCR\":\"Q3\",\"JCRName\":\"ORTHOPEDICS\",\"Score\":null,\"Total\":0}","platform":"Semanticscholar","paperid":null,"PeriodicalName":"Acta orthopaedica et traumatologica turcica","FirstCategoryId":"3","ListUrlMain":"https://doi.org/10.5152/j.aott.2022.20365","RegionNum":4,"RegionCategory":"医学","ArticlePicture":[],"TitleCN":null,"AbstractTextCN":null,"PMCID":null,"EPubDate":"","PubModel":"","JCR":"Q3","JCRName":"ORTHOPEDICS","Score":null,"Total":0}
引用次数: 0

摘要

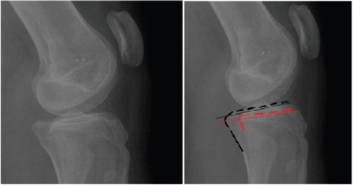
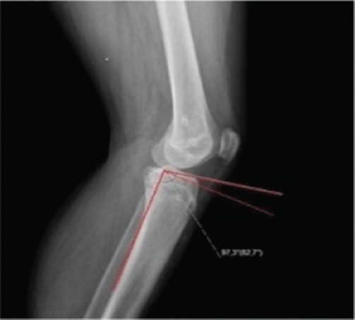
目的本研究的目的是:(1)研究8钢板引导生长后胫骨斜率(TS)的变化,并确定矢状面TS变化与钢板位置的关系。方法回顾性研究采用8钢板治疗膝内翻或外翻的患儿。23名儿童38个四肢(14名女孩,9名男孩;平均年龄= 9.2岁,年龄范围= 3-17岁),然后根据钢板在矢状面(前或中线)的位置分为两组。术前和术后分别从胫骨内侧和外侧平台测量TS。结果平均随访34.3个月(范围12 ~ 96个月)。18例置入前骺板患者术前、术后内侧TS平均值分别为4.05±5.65度和0.83±3.91度(P = 0.004)。18例置入前骺板患者术前、术后侧位TS平均值分别为4.88±5.33度和0.11±3.34度(P < 0.001)。放置中线骺板的20例患者,术前、术后平均TS分别为4.2±5.19度和4.9±6.02度(P = 0.532)。20例中线骺板置入患者术前、术后侧位TS平均值分别为5±5.51度和4.8±5.7度(P = 0.871)。术后位于前方的8块钢板TS降低,内侧和外侧平台测量值显著(P = 0.004和P < 0.001)。中线放置的8块钢板术后内侧和外侧平台的TS变化不显著(P = 0.532和P = 0.871)。结论:本研究结果表明,在骨骺前部放置钢板的儿童中,经8钢板引导生长后,TS降低。为防止TS改变,八钢板应放置在矢状面中线位置。证据水平:IV级,治疗性研究。
本文章由计算机程序翻译,如有差异,请以英文原文为准。

Tibial slope changes following guided growth by the eight-plate: A retrospective comparative study.

Tibial slope changes following guided growth by the eight-plate: A retrospective comparative study.

Tibial slope changes following guided growth by the eight-plate: A retrospective comparative study.

Tibial slope changes following guided growth by the eight-plate: A retrospective comparative study.

Objective: The aims of this study were (1) to investigate the tibial slope (TS) changes following guided growth by the eight-plate and to determine the relationship between the TS change in the sagittal plane and the plate position.

Methods: In this retrospective study, children who underwent guided growth by the eight-plate for genu varum or valgum were included. Thirty-eight extremities of 23 children (14 girls and 9 boys; mean age = 9.2 years, age range = 3-17 years) were then divided into two groups according to the plate location in the sagittal plane (anterior or midline). Preoperative and postoperative TS were measured from the medial and lateral tibial plateaus separately.

Results: The mean follow-up was 34.3 (range = 12-96) months. The mean preoperative and postoperative medial TS were 4.05 ± 5.65 and 0.83 ± 3.91 degrees, respectively, in 18 patients in whom anterior epiphyseal plates were placed (P = 0.004). The mean preoperative and postoperative lateral TS were 4.88 ± 5.33 and 0.11 ± 3.34 degrees, respectively, in 18 patients in whom anterior epiphyseal plates were placed (P < 0.001). The mean preoperative and postoperative medial TS were 4.2 ± 5.19 and 4.9 ± 6.02 degrees, respectively, in 20 patients in whom midline epiphyseal plates were placed (P = 0.532). The mean preoperative and postoperative lateral TS were 5 ± 5.51 and 4.8 ± 5.7 degrees, respectively, in 20 patients in whom midline epiphyseal plates were placed (P = 0.871). Postoperative TS was decreased in anteriorly located eight-plates, and medial and lateral plateau measurement was significant (P = 0.004 and P < 0.001, respectively). Postoperative TS changes in midline-placed eight-plates were not significant regarding the medial and lateral plateaus (P = 0.532 and P = 0.871, respectively).

Conclusion: The results of this study have shown that TS decreases following guided growth by the eight-plate in children in whom plates are placed at the anterior epiphysis. To prevent TS changes, the eight-plate should be placed in the midline position at the sagittal plane.

Level of evidence: Level IV, Therapeutic Study.

求助全文
通过发布文献求助,成功后即可免费获取论文全文。 去求助
来源期刊
CiteScore
2.00
自引率
0.00%
发文量
66
审稿时长
>12 weeks
期刊介绍: Acta Orthopaedica et Traumatologica Turcica (AOTT) is an international, scientific, open access periodical published in accordance with independent, unbiased, and double-blinded peer-review principles. The journal is the official publication of the Turkish Association of Orthopaedics and Traumatology, and Turkish Society of Orthopaedics and Traumatology. It is published bimonthly in January, March, May, July, September, and November. The publication language of the journal is English. The aim of the journal is to publish original studies of the highest scientific and clinical value in orthopedics, traumatology, and related disciplines. The scope of the journal includes but not limited to diagnostic, treatment, and prevention methods related to orthopedics and traumatology. Acta Orthopaedica et Traumatologica Turcica publishes clinical and basic research articles, case reports, personal clinical and technical notes, systematic reviews and meta-analyses and letters to the Editor. Proceedings of scientific meetings are also considered for publication. The target audience of the journal includes healthcare professionals, physicians, and researchers who are interested or working in orthopedics and traumatology field, and related disciplines.
×
引用
GB/T 7714-2015
复制
MLA
复制
APA
复制
导出至
BibTeX EndNote RefMan NoteFirst NoteExpress
×
提示
您的信息不完整,为了账户安全,请先补充。
现在去补充
×
提示
您因"违规操作"
具体请查看互助需知
我知道了
×
提示
确定
请完成安全验证×
copy
已复制链接
快去分享给好友吧!
我知道了
右上角分享
点击右上角分享
0
联系我们:info@booksci.cn Book学术提供免费学术资源搜索服务,方便国内外学者检索中英文文献。致力于提供最便捷和优质的服务体验。 Copyright © 2023 布克学术 All rights reserved.
京ICP备2023020795号-1
ghs 京公网安备 11010802042870号
Book学术文献互助
Book学术文献互助群
群 号:604180095
Book学术官方微信