新型辅助治疗nivolumab加ipilimumab后机器人辅助腹腔镜根治性肾切除术完全切除伴有下腔静脉癌栓的肉瘤样肾细胞癌1例

IF 0.5 Q4 ONCOLOGY
International Cancer Conference Journal Pub Date : 2023-08-19 eCollection Date: 2024-01-01 DOI:10.1007/s13691-023-00627-5
Ayaka Tsuchiyama, Kojiro Ohba, Hiromi Nakanishi, Takuji Yasuda, Yuichiro Nakamura, Hirokazu Kurohama, Kensuke Mitsunari, Tomohiro Matsuo, Yasushi Mochizuki, Ryoichi Imamura
{"title":"新型辅助治疗nivolumab加ipilimumab后机器人辅助腹腔镜根治性肾切除术完全切除伴有下腔静脉癌栓的肉瘤样肾细胞癌1例","authors":"Ayaka Tsuchiyama, Kojiro Ohba, Hiromi Nakanishi, Takuji Yasuda, Yuichiro Nakamura, Hirokazu Kurohama, Kensuke Mitsunari, Tomohiro Matsuo, Yasushi Mochizuki, Ryoichi Imamura","doi":"10.1007/s13691-023-00627-5","DOIUrl":null,"url":null,"abstract":"<p><p>We here present a patient with a sarcomatoid renal cell carcinoma complicated by inferior vena cava tumor thrombus that we treated with nivolumab plus ipilimumab. This resulted in shrinkage of the tumor, enabling complete resection by robot-assisted laparoscopic radical nephrectomy. The patient is still alive with no evidence of recurrence.</p>","PeriodicalId":13703,"journal":{"name":"International Cancer Conference Journal","volume":"1 1","pages":"6-10"},"PeriodicalIF":0.5000,"publicationDate":"2023-08-19","publicationTypes":"Journal Article","fieldsOfStudy":null,"isOpenAccess":false,"openAccessPdf":"https://www.ncbi.nlm.nih.gov/pmc/articles/PMC10764663/pdf/","citationCount":"0","resultStr":"{\"title\":\"Sarcomatoid renal cell carcinoma with an inferior vena cava tumor thrombus that was completely resected by robot-assisted laparoscopic radical nephrectomy after neoadjuvant therapy nivolumab plus ipilimumab: a case report.\",\"authors\":\"Ayaka Tsuchiyama, Kojiro Ohba, Hiromi Nakanishi, Takuji Yasuda, Yuichiro Nakamura, Hirokazu Kurohama, Kensuke Mitsunari, Tomohiro Matsuo, Yasushi Mochizuki, Ryoichi Imamura\",\"doi\":\"10.1007/s13691-023-00627-5\",\"DOIUrl\":null,\"url\":null,\"abstract\":\"<p><p>We here present a patient with a sarcomatoid renal cell carcinoma complicated by inferior vena cava tumor thrombus that we treated with nivolumab plus ipilimumab. This resulted in shrinkage of the tumor, enabling complete resection by robot-assisted laparoscopic radical nephrectomy. The patient is still alive with no evidence of recurrence.</p>\",\"PeriodicalId\":13703,\"journal\":{\"name\":\"International Cancer Conference Journal\",\"volume\":\"1 1\",\"pages\":\"6-10\"},\"PeriodicalIF\":0.5000,\"publicationDate\":\"2023-08-19\",\"publicationTypes\":\"Journal Article\",\"fieldsOfStudy\":null,\"isOpenAccess\":false,\"openAccessPdf\":\"https://www.ncbi.nlm.nih.gov/pmc/articles/PMC10764663/pdf/\",\"citationCount\":\"0\",\"resultStr\":null,\"platform\":\"Semanticscholar\",\"paperid\":null,\"PeriodicalName\":\"International Cancer Conference Journal\",\"FirstCategoryId\":\"1085\",\"ListUrlMain\":\"https://doi.org/10.1007/s13691-023-00627-5\",\"RegionNum\":0,\"RegionCategory\":null,\"ArticlePicture\":[],\"TitleCN\":null,\"AbstractTextCN\":null,\"PMCID\":null,\"EPubDate\":\"2024/1/1 0:00:00\",\"PubModel\":\"eCollection\",\"JCR\":\"Q4\",\"JCRName\":\"ONCOLOGY\",\"Score\":null,\"Total\":0}","platform":"Semanticscholar","paperid":null,"PeriodicalName":"International Cancer Conference Journal","FirstCategoryId":"1085","ListUrlMain":"https://doi.org/10.1007/s13691-023-00627-5","RegionNum":0,"RegionCategory":null,"ArticlePicture":[],"TitleCN":null,"AbstractTextCN":null,"PMCID":null,"EPubDate":"2024/1/1 0:00:00","PubModel":"eCollection","JCR":"Q4","JCRName":"ONCOLOGY","Score":null,"Total":0}
引用次数: 0

摘要

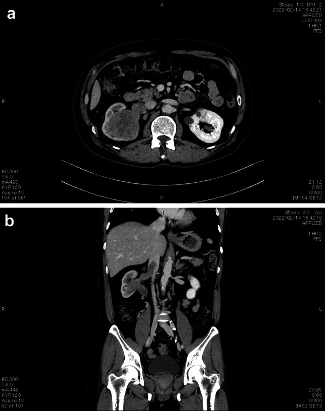
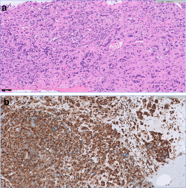
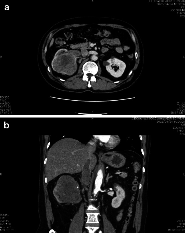
我们在此介绍一位并发下腔静脉瘤栓的肉瘤型肾细胞癌患者,我们用尼伐单抗加伊匹单抗进行了治疗。治疗的结果是肿瘤缩小,从而能够通过机器人辅助腹腔镜根治性肾切除术完全切除肿瘤。患者目前仍健在,没有复发迹象。
本文章由计算机程序翻译,如有差异,请以英文原文为准。

Sarcomatoid renal cell carcinoma with an inferior vena cava tumor thrombus that was completely resected by robot-assisted laparoscopic radical nephrectomy after neoadjuvant therapy nivolumab plus ipilimumab: a case report.

Sarcomatoid renal cell carcinoma with an inferior vena cava tumor thrombus that was completely resected by robot-assisted laparoscopic radical nephrectomy after neoadjuvant therapy nivolumab plus ipilimumab: a case report.

Sarcomatoid renal cell carcinoma with an inferior vena cava tumor thrombus that was completely resected by robot-assisted laparoscopic radical nephrectomy after neoadjuvant therapy nivolumab plus ipilimumab: a case report.

Sarcomatoid renal cell carcinoma with an inferior vena cava tumor thrombus that was completely resected by robot-assisted laparoscopic radical nephrectomy after neoadjuvant therapy nivolumab plus ipilimumab: a case report.

We here present a patient with a sarcomatoid renal cell carcinoma complicated by inferior vena cava tumor thrombus that we treated with nivolumab plus ipilimumab. This resulted in shrinkage of the tumor, enabling complete resection by robot-assisted laparoscopic radical nephrectomy. The patient is still alive with no evidence of recurrence.

求助全文
通过发布文献求助,成功后即可免费获取论文全文。 去求助
来源期刊
自引率
14.30%
发文量
57
期刊介绍: This online-only journal publishes original case reports on all types of cancer. In particular, we welcome not only case reports of educational value in the diagnosis and treatment of cancers, but also reports on molecularly analyzed cancer cases, including gene mutations, gene fusions, gene expression, and changes in copy number, regardless of their known clinical significance. Assessing the molecular analysis of a tumor usually requires a “cancer conference” in which experts from various fields discuss it. Even if the authors and their respective “cancer conference” were unable to determine the clinical significance of molecular changes at the time of submission and publication, their data may provide evidence that will help the scientific community develop precision medicine solutions in the future. We welcome case reports with reviews of the literature on similar cases, as they are more useful and valuable to readers than are reports of rare cases. International Cancer Conference Journal is the official publication of the Japan Society of Clinical Oncology (JSCO). - Presents an online-only collection of original case reports on all types of cancer - In particular, welcomes molecularly analyzed cancer cases - The Official Publication of the Japan Society of Clinical Oncology (JSCO)
×
引用
GB/T 7714-2015
复制
MLA
复制
APA
复制
导出至
BibTeX EndNote RefMan NoteFirst NoteExpress
×
提示
您的信息不完整,为了账户安全,请先补充。
现在去补充
×
提示
您因"违规操作"
具体请查看互助需知
我知道了
×
提示
确定
请完成安全验证×
copy
已复制链接
快去分享给好友吧!
我知道了
右上角分享
点击右上角分享
0
联系我们:info@booksci.cn Book学术提供免费学术资源搜索服务,方便国内外学者检索中英文文献。致力于提供最便捷和优质的服务体验。 Copyright © 2023 布克学术 All rights reserved.
京ICP备2023020795号-1
ghs 京公网安备 11010802042870号
Book学术文献互助
Book学术文献互助群
群 号:604180095
Book学术官方微信