一例下腔静脉中断伴半奇静脉和经肝延续的显著病例报告。

Federica Masino, Gianmichele Muscatella, Manuela Montatore, Rossella Gifuni, Giuseppe Guglielmi
{"title":"一例下腔静脉中断伴半奇静脉和经肝延续的显著病例报告。","authors":"Federica Masino, Gianmichele Muscatella, Manuela Montatore, Rossella Gifuni, Giuseppe Guglielmi","doi":"10.23750/abm.v94i5.15085","DOIUrl":null,"url":null,"abstract":"<p><p>Inferior vena cava (IVC) interruption with azygos/hemiazygos continuation is an extremely uncommon congenital vascular anomaly, which may present with multiple variants. As a result, it is challenging to find in the literature the same anatomical variant. We report a unique case of an interrupted IVC with hemiazygos and transhepatic continuation in an 83-year-old female patient. The case was evaluated by performing Computed Tomography (CT) as imaging modality, with a multiphase protocol, able to detect accurately this complex vascular anomaly. The purpose of this case report is not only to present this remarkable case but also to briefly show the types of interrupted IVC, starting from the anatomy and the embryology of the IVC and the azygos system, and to discuss the value of imaging in detecting the vascular anomaly.</p>","PeriodicalId":93849,"journal":{"name":"Acta bio-medica : Atenei Parmensis","volume":"94 5","pages":"e2023238"},"PeriodicalIF":0.0000,"publicationDate":"2023-10-17","publicationTypes":"Journal Article","fieldsOfStudy":null,"isOpenAccess":false,"openAccessPdf":"https://www.ncbi.nlm.nih.gov/pmc/articles/PMC10644922/pdf/","citationCount":"0","resultStr":"{\"title\":\"A remarkable case report of an interrupted inferior vena cava with hemiazygos and transhepatic continuation.\",\"authors\":\"Federica Masino, Gianmichele Muscatella, Manuela Montatore, Rossella Gifuni, Giuseppe Guglielmi\",\"doi\":\"10.23750/abm.v94i5.15085\",\"DOIUrl\":null,\"url\":null,\"abstract\":\"<p><p>Inferior vena cava (IVC) interruption with azygos/hemiazygos continuation is an extremely uncommon congenital vascular anomaly, which may present with multiple variants. As a result, it is challenging to find in the literature the same anatomical variant. We report a unique case of an interrupted IVC with hemiazygos and transhepatic continuation in an 83-year-old female patient. The case was evaluated by performing Computed Tomography (CT) as imaging modality, with a multiphase protocol, able to detect accurately this complex vascular anomaly. The purpose of this case report is not only to present this remarkable case but also to briefly show the types of interrupted IVC, starting from the anatomy and the embryology of the IVC and the azygos system, and to discuss the value of imaging in detecting the vascular anomaly.</p>\",\"PeriodicalId\":93849,\"journal\":{\"name\":\"Acta bio-medica : Atenei Parmensis\",\"volume\":\"94 5\",\"pages\":\"e2023238\"},\"PeriodicalIF\":0.0000,\"publicationDate\":\"2023-10-17\",\"publicationTypes\":\"Journal Article\",\"fieldsOfStudy\":null,\"isOpenAccess\":false,\"openAccessPdf\":\"https://www.ncbi.nlm.nih.gov/pmc/articles/PMC10644922/pdf/\",\"citationCount\":\"0\",\"resultStr\":null,\"platform\":\"Semanticscholar\",\"paperid\":null,\"PeriodicalName\":\"Acta bio-medica : Atenei Parmensis\",\"FirstCategoryId\":\"1085\",\"ListUrlMain\":\"https://doi.org/10.23750/abm.v94i5.15085\",\"RegionNum\":0,\"RegionCategory\":null,\"ArticlePicture\":[],\"TitleCN\":null,\"AbstractTextCN\":null,\"PMCID\":null,\"EPubDate\":\"\",\"PubModel\":\"\",\"JCR\":\"\",\"JCRName\":\"\",\"Score\":null,\"Total\":0}","platform":"Semanticscholar","paperid":null,"PeriodicalName":"Acta bio-medica : Atenei Parmensis","FirstCategoryId":"1085","ListUrlMain":"https://doi.org/10.23750/abm.v94i5.15085","RegionNum":0,"RegionCategory":null,"ArticlePicture":[],"TitleCN":null,"AbstractTextCN":null,"PMCID":null,"EPubDate":"","PubModel":"","JCR":"","JCRName":"","Score":null,"Total":0}
引用次数: 0

摘要

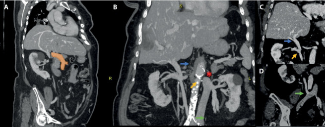
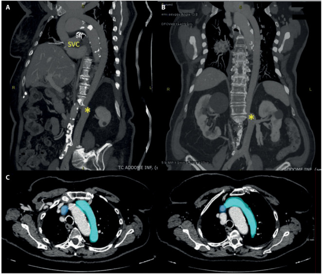
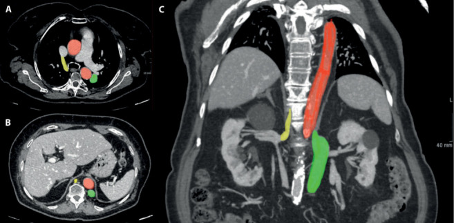
下腔静脉(IVC)中断伴奇静脉/半奇静脉延续是一种极不常见的先天性血管异常,可能存在多种变异。因此,在文献中找到相同的解剖学变体是具有挑战性的。我们报告了一例83岁女性患者的IVC中断伴半奇果和经肝持续的独特病例。该病例通过计算机断层扫描(CT)作为成像模式进行评估,采用多阶段方案,能够准确检测这种复杂的血管异常。本病例报告的目的不仅是介绍这一引人注目的病例,而且从IVC和奇静脉系统的解剖学和胚胎学出发,简要介绍IVC中断的类型,并讨论成像在检测血管异常中的价值。
本文章由计算机程序翻译,如有差异,请以英文原文为准。

A remarkable case report of an interrupted inferior vena cava with hemiazygos and transhepatic continuation.

A remarkable case report of an interrupted inferior vena cava with hemiazygos and transhepatic continuation.

A remarkable case report of an interrupted inferior vena cava with hemiazygos and transhepatic continuation.

A remarkable case report of an interrupted inferior vena cava with hemiazygos and transhepatic continuation.

Inferior vena cava (IVC) interruption with azygos/hemiazygos continuation is an extremely uncommon congenital vascular anomaly, which may present with multiple variants. As a result, it is challenging to find in the literature the same anatomical variant. We report a unique case of an interrupted IVC with hemiazygos and transhepatic continuation in an 83-year-old female patient. The case was evaluated by performing Computed Tomography (CT) as imaging modality, with a multiphase protocol, able to detect accurately this complex vascular anomaly. The purpose of this case report is not only to present this remarkable case but also to briefly show the types of interrupted IVC, starting from the anatomy and the embryology of the IVC and the azygos system, and to discuss the value of imaging in detecting the vascular anomaly.

求助全文
通过发布文献求助,成功后即可免费获取论文全文。 去求助
来源期刊
自引率
0.00%
发文量
0
×
引用
GB/T 7714-2015
复制
MLA
复制
APA
复制
导出至
BibTeX EndNote RefMan NoteFirst NoteExpress
×
提示
您的信息不完整,为了账户安全,请先补充。
现在去补充
×
提示
您因"违规操作"
具体请查看互助需知
我知道了
×
提示
确定
请完成安全验证×
copy
已复制链接
快去分享给好友吧!
我知道了
右上角分享
点击右上角分享
0
联系我们:info@booksci.cn Book学术提供免费学术资源搜索服务,方便国内外学者检索中英文文献。致力于提供最便捷和优质的服务体验。 Copyright © 2023 布克学术 All rights reserved.
京ICP备2023020795号-1
ghs 京公网安备 11010802042870号
Book学术文献互助
Book学术文献互助群
群 号:604180095
Book学术官方微信