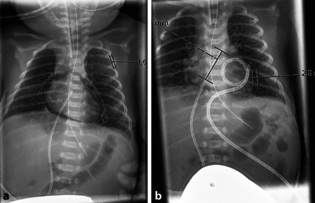
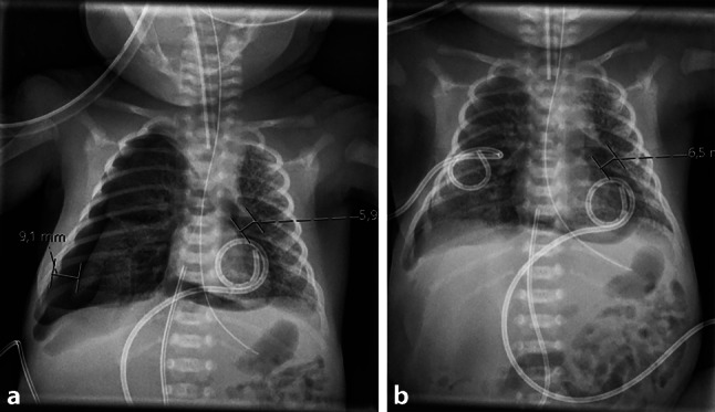
空气中弥漫着某种东西:一名29周早产婴儿的肺气肿和心包积气。

IF 1.5 Q2 MEDICINE, GENERAL & INTERNAL
Wiener medizinische Wochenschrift Pub Date : 2024-09-01 Epub Date: 2023-09-26 DOI:10.1007/s10354-023-01021-9
Sascha Meyer, Sarah Ruffing, Martina Geipel, Martin Poryo, Alexander Larsen, Sogand Nemat
{"title":"空气中弥漫着某种东西:一名29周早产婴儿的肺气肿和心包积气。","authors":"Sascha Meyer, Sarah Ruffing, Martina Geipel, Martin Poryo, Alexander Larsen, Sogand Nemat","doi":"10.1007/s10354-023-01021-9","DOIUrl":null,"url":null,"abstract":"<p><p>This report highlights the early and unusual detection of a pneumopericardium by echocardiography prior to potential development of cardiocirculatory compromise. It is important to consider pneumopericardium into the differential diagnosis when difficulties arise in the visualization of the heart by conventional echocardiography. Pneumopericardium is associated with a high mortality rate and may be effectively treated by immediate insertion of a pericardial catheter.</p>","PeriodicalId":23882,"journal":{"name":"Wiener medizinische Wochenschrift","volume":" ","pages":"211-212"},"PeriodicalIF":1.5000,"publicationDate":"2024-09-01","publicationTypes":"Journal Article","fieldsOfStudy":null,"isOpenAccess":false,"openAccessPdf":"https://www.ncbi.nlm.nih.gov/pmc/articles/PMC11347491/pdf/","citationCount":"0","resultStr":"{\"title\":\"Something is up in the air: pneumothorax and pneumopericardium in a 29-week preterm infant.\",\"authors\":\"Sascha Meyer, Sarah Ruffing, Martina Geipel, Martin Poryo, Alexander Larsen, Sogand Nemat\",\"doi\":\"10.1007/s10354-023-01021-9\",\"DOIUrl\":null,\"url\":null,\"abstract\":\"<p><p>This report highlights the early and unusual detection of a pneumopericardium by echocardiography prior to potential development of cardiocirculatory compromise. It is important to consider pneumopericardium into the differential diagnosis when difficulties arise in the visualization of the heart by conventional echocardiography. Pneumopericardium is associated with a high mortality rate and may be effectively treated by immediate insertion of a pericardial catheter.</p>\",\"PeriodicalId\":23882,\"journal\":{\"name\":\"Wiener medizinische Wochenschrift\",\"volume\":\" \",\"pages\":\"211-212\"},\"PeriodicalIF\":1.5000,\"publicationDate\":\"2024-09-01\",\"publicationTypes\":\"Journal Article\",\"fieldsOfStudy\":null,\"isOpenAccess\":false,\"openAccessPdf\":\"https://www.ncbi.nlm.nih.gov/pmc/articles/PMC11347491/pdf/\",\"citationCount\":\"0\",\"resultStr\":null,\"platform\":\"Semanticscholar\",\"paperid\":null,\"PeriodicalName\":\"Wiener medizinische Wochenschrift\",\"FirstCategoryId\":\"1085\",\"ListUrlMain\":\"https://doi.org/10.1007/s10354-023-01021-9\",\"RegionNum\":0,\"RegionCategory\":null,\"ArticlePicture\":[],\"TitleCN\":null,\"AbstractTextCN\":null,\"PMCID\":null,\"EPubDate\":\"2023/9/26 0:00:00\",\"PubModel\":\"Epub\",\"JCR\":\"Q2\",\"JCRName\":\"MEDICINE, GENERAL & INTERNAL\",\"Score\":null,\"Total\":0}","platform":"Semanticscholar","paperid":null,"PeriodicalName":"Wiener medizinische Wochenschrift","FirstCategoryId":"1085","ListUrlMain":"https://doi.org/10.1007/s10354-023-01021-9","RegionNum":0,"RegionCategory":null,"ArticlePicture":[],"TitleCN":null,"AbstractTextCN":null,"PMCID":null,"EPubDate":"2023/9/26 0:00:00","PubModel":"Epub","JCR":"Q2","JCRName":"MEDICINE, GENERAL & INTERNAL","Score":null,"Total":0}
引用次数: 0

摘要

本报告强调了在潜在的心循环损害发生之前,超声心动图对心包积气的早期和异常检测。当常规超声心动图显示心脏出现困难时,在鉴别诊断中考虑心包积气是很重要的。心包积液死亡率高,可通过立即插入心包导管进行有效治疗。
本文章由计算机程序翻译,如有差异,请以英文原文为准。

Something is up in the air: pneumothorax and pneumopericardium in a 29-week preterm infant.

Something is up in the air: pneumothorax and pneumopericardium in a 29-week preterm infant.

Something is up in the air: pneumothorax and pneumopericardium in a 29-week preterm infant.

This report highlights the early and unusual detection of a pneumopericardium by echocardiography prior to potential development of cardiocirculatory compromise. It is important to consider pneumopericardium into the differential diagnosis when difficulties arise in the visualization of the heart by conventional echocardiography. Pneumopericardium is associated with a high mortality rate and may be effectively treated by immediate insertion of a pericardial catheter.

求助全文
通过发布文献求助,成功后即可免费获取论文全文。 去求助
来源期刊
Wiener medizinische Wochenschrift
Wiener medizinische Wochenschrift MEDICINE, GENERAL & INTERNAL-
CiteScore
2.50
自引率
0.00%
发文量
79
期刊介绍: ''From the microscope to clinical application!'', Scientists from all European countries make available their recent research results and practical experience through Wiener Medizinische Wochenschrift, the renowned English- and German-language forum. Both original articles and reviews on a broad spectrum of clinical and preclinical medicine are presented within the successful framework of thematic issues compiled by guest editors. Selected cutting-edge topics, such as dementia, geriatric oncology, Helicobacter pylori and phytomedicine make the journal a mandatory source of information.
×
引用
GB/T 7714-2015
复制
MLA
复制
APA
复制
导出至
BibTeX EndNote RefMan NoteFirst NoteExpress
×
提示
您的信息不完整,为了账户安全,请先补充。
现在去补充
×
提示
您因"违规操作"
具体请查看互助需知
我知道了
×
提示
确定
请完成安全验证×
copy
已复制链接
快去分享给好友吧!
我知道了
右上角分享
点击右上角分享
0
联系我们:info@booksci.cn Book学术提供免费学术资源搜索服务,方便国内外学者检索中英文文献。致力于提供最便捷和优质的服务体验。 Copyright © 2023 布克学术 All rights reserved.
京ICP备2023020795号-1
ghs 京公网安备 11010802042870号
Book学术文献互助
Book学术文献互助群
群 号:604180095
Book学术官方微信