经皮冠状动脉介入治疗后右桡动脉入路引起的急性肢体缺血。

IF 0.5 Q4 CARDIAC & CARDIOVASCULAR SYSTEMS
Case Reports in Cardiology Pub Date : 2022-10-26 eCollection Date: 2022-01-01 DOI:10.1155/2022/4846603
Haris Ahmed, Jonathan Brown, Brooke Walterscheid, Phebe Abraham, Junaid Alam, Nabeel Ahmad, Syed Arman Raza
{"title":"经皮冠状动脉介入治疗后右桡动脉入路引起的急性肢体缺血。","authors":"Haris Ahmed,&nbsp;Jonathan Brown,&nbsp;Brooke Walterscheid,&nbsp;Phebe Abraham,&nbsp;Junaid Alam,&nbsp;Nabeel Ahmad,&nbsp;Syed Arman Raza","doi":"10.1155/2022/4846603","DOIUrl":null,"url":null,"abstract":"<p><p>Iatrogenic aortic dissection is a rare but potentially fatal complication of percutaneous coronary intervention (PCI). Iatrogenic aortic dissection following PCI is rare with most cases reporting dissection originating within the coronary vessels with propagation into the ascending aorta. In this specific case, dissection was without coronary involvement, with dissection extending from the ascending aorta into the descending aorta and iliac vessels. Although PCI via radial approach is associated with fewer vascular complications than with femoral approach, significant adverse outcomes may still occur and require prompt intervention. This case highlights the highly atypical presentation of iatrogenic aortic dissection following cardiac catheterization presenting as acute limb ischemia. In such patients as with ours, immediate surgical intervention is necessary with overall poor prognosis.</p>","PeriodicalId":51760,"journal":{"name":"Case Reports in Cardiology","volume":" ","pages":"4846603"},"PeriodicalIF":0.5000,"publicationDate":"2022-10-26","publicationTypes":"Journal Article","fieldsOfStudy":null,"isOpenAccess":false,"openAccessPdf":"https://www.ncbi.nlm.nih.gov/pmc/articles/PMC9629956/pdf/","citationCount":"0","resultStr":"{\"title\":\"Acute Limb Ischemia Caused by Dissection following Percutaneous Coronary Intervention Using Right Radial Approach.\",\"authors\":\"Haris Ahmed,&nbsp;Jonathan Brown,&nbsp;Brooke Walterscheid,&nbsp;Phebe Abraham,&nbsp;Junaid Alam,&nbsp;Nabeel Ahmad,&nbsp;Syed Arman Raza\",\"doi\":\"10.1155/2022/4846603\",\"DOIUrl\":null,\"url\":null,\"abstract\":\"<p><p>Iatrogenic aortic dissection is a rare but potentially fatal complication of percutaneous coronary intervention (PCI). Iatrogenic aortic dissection following PCI is rare with most cases reporting dissection originating within the coronary vessels with propagation into the ascending aorta. In this specific case, dissection was without coronary involvement, with dissection extending from the ascending aorta into the descending aorta and iliac vessels. Although PCI via radial approach is associated with fewer vascular complications than with femoral approach, significant adverse outcomes may still occur and require prompt intervention. This case highlights the highly atypical presentation of iatrogenic aortic dissection following cardiac catheterization presenting as acute limb ischemia. In such patients as with ours, immediate surgical intervention is necessary with overall poor prognosis.</p>\",\"PeriodicalId\":51760,\"journal\":{\"name\":\"Case Reports in Cardiology\",\"volume\":\" \",\"pages\":\"4846603\"},\"PeriodicalIF\":0.5000,\"publicationDate\":\"2022-10-26\",\"publicationTypes\":\"Journal Article\",\"fieldsOfStudy\":null,\"isOpenAccess\":false,\"openAccessPdf\":\"https://www.ncbi.nlm.nih.gov/pmc/articles/PMC9629956/pdf/\",\"citationCount\":\"0\",\"resultStr\":null,\"platform\":\"Semanticscholar\",\"paperid\":null,\"PeriodicalName\":\"Case Reports in Cardiology\",\"FirstCategoryId\":\"1085\",\"ListUrlMain\":\"https://doi.org/10.1155/2022/4846603\",\"RegionNum\":0,\"RegionCategory\":null,\"ArticlePicture\":[],\"TitleCN\":null,\"AbstractTextCN\":null,\"PMCID\":null,\"EPubDate\":\"2022/1/1 0:00:00\",\"PubModel\":\"eCollection\",\"JCR\":\"Q4\",\"JCRName\":\"CARDIAC & CARDIOVASCULAR SYSTEMS\",\"Score\":null,\"Total\":0}","platform":"Semanticscholar","paperid":null,"PeriodicalName":"Case Reports in Cardiology","FirstCategoryId":"1085","ListUrlMain":"https://doi.org/10.1155/2022/4846603","RegionNum":0,"RegionCategory":null,"ArticlePicture":[],"TitleCN":null,"AbstractTextCN":null,"PMCID":null,"EPubDate":"2022/1/1 0:00:00","PubModel":"eCollection","JCR":"Q4","JCRName":"CARDIAC & CARDIOVASCULAR SYSTEMS","Score":null,"Total":0}
引用次数: 0

摘要

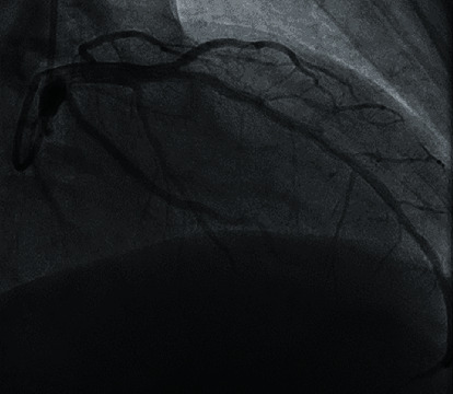
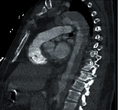
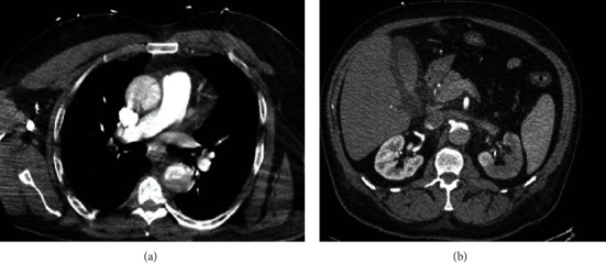
医源性主动脉夹层是经皮冠状动脉介入治疗(PCI)中一种罕见但可能致命的并发症。PCI术后的医源性主动脉夹层是罕见的,大多数病例报告夹层起源于冠状血管并扩散到升主动脉。本例剥离未累及冠状动脉,剥离从升主动脉延伸至降主动脉和髂血管。尽管经桡骨入路PCI的血管并发症比经股骨入路少,但仍可能发生明显的不良后果,需要及时干预。这个病例强调了高度不典型的医源性主动脉夹层在心导管置入后表现为急性肢体缺血。对于像我们这样的患者,由于整体预后不良,必须立即进行手术干预。
本文章由计算机程序翻译,如有差异,请以英文原文为准。

Acute Limb Ischemia Caused by Dissection following Percutaneous Coronary Intervention Using Right Radial Approach.

Acute Limb Ischemia Caused by Dissection following Percutaneous Coronary Intervention Using Right Radial Approach.

Acute Limb Ischemia Caused by Dissection following Percutaneous Coronary Intervention Using Right Radial Approach.

Acute Limb Ischemia Caused by Dissection following Percutaneous Coronary Intervention Using Right Radial Approach.

Iatrogenic aortic dissection is a rare but potentially fatal complication of percutaneous coronary intervention (PCI). Iatrogenic aortic dissection following PCI is rare with most cases reporting dissection originating within the coronary vessels with propagation into the ascending aorta. In this specific case, dissection was without coronary involvement, with dissection extending from the ascending aorta into the descending aorta and iliac vessels. Although PCI via radial approach is associated with fewer vascular complications than with femoral approach, significant adverse outcomes may still occur and require prompt intervention. This case highlights the highly atypical presentation of iatrogenic aortic dissection following cardiac catheterization presenting as acute limb ischemia. In such patients as with ours, immediate surgical intervention is necessary with overall poor prognosis.

求助全文
通过发布文献求助,成功后即可免费获取论文全文。 去求助
来源期刊
Case Reports in Cardiology
Case Reports in Cardiology CARDIAC & CARDIOVASCULAR SYSTEMS-
自引率
0.00%
发文量
63
审稿时长
13 weeks
期刊介绍: Case Reports in Cardiology is a peer-reviewed, Open Access journal that publishes case reports and case series related to hypertension, arrhythmia, congestive heart failure, valvular heart disease, vascular disease, congenital heart disease and cardiomyopathy.
×
引用
GB/T 7714-2015
复制
MLA
复制
APA
复制
导出至
BibTeX EndNote RefMan NoteFirst NoteExpress
×
提示
您的信息不完整,为了账户安全,请先补充。
现在去补充
×
提示
您因"违规操作"
具体请查看互助需知
我知道了
×
提示
确定
请完成安全验证×
copy
已复制链接
快去分享给好友吧!
我知道了
右上角分享
点击右上角分享
0
联系我们:info@booksci.cn Book学术提供免费学术资源搜索服务,方便国内外学者检索中英文文献。致力于提供最便捷和优质的服务体验。 Copyright © 2023 布克学术 All rights reserved.
京ICP备2023020795号-1
ghs 京公网安备 11010802042870号
Book学术文献互助
Book学术文献互助群
群 号:604180095
Book学术官方微信