腹膜透析导管周围的水疱和粟粒:局限性大疱性类天疱疮1例。

IF 1.7 Q3 DERMATOLOGY
Andrea Michelerio, Carlo Tomasini
{"title":"腹膜透析导管周围的水疱和粟粒:局限性大疱性类天疱疮1例。","authors":"Andrea Michelerio,&nbsp;Carlo Tomasini","doi":"10.3390/dermatopathology9030033","DOIUrl":null,"url":null,"abstract":"<p><p>We report on the appearance of multiple tense blisters surrounding the exit site of a Tenckhoff catheter in a 79-year-old woman with end-stage renal disease in peritoneal dialysis. The differential diagnoses included a contact allergic or irritative dermatitis to peritoneal dialysis catheter material and antiseptic agents, bacterial infection, and herpes virus infection, but milia were a clue for a subepidermal blistering disease and lead to appropriate investigations. The laboratory findings, the histopathological examination and the direct immunofluorescence assay confirmed the diagnosis of localized bullous pemphigoid. The disorder typically occurs in elderly people and may be related to drugs, hematological malignancies or neurological conditions but it can also be a complication of hemodialysis or peritoneal dialysis.</p>","PeriodicalId":42885,"journal":{"name":"Dermatopathology","volume":" ","pages":"282-286"},"PeriodicalIF":1.7000,"publicationDate":"2022-08-04","publicationTypes":"Journal Article","fieldsOfStudy":null,"isOpenAccess":false,"openAccessPdf":"https://www.ncbi.nlm.nih.gov/pmc/articles/PMC9397036/pdf/","citationCount":"1","resultStr":"{\"title\":\"Blisters and Milia around the Peritoneal Dialysis Catheter: A Case of Localized Bullous Pemphigoid.\",\"authors\":\"Andrea Michelerio,&nbsp;Carlo Tomasini\",\"doi\":\"10.3390/dermatopathology9030033\",\"DOIUrl\":null,\"url\":null,\"abstract\":\"<p><p>We report on the appearance of multiple tense blisters surrounding the exit site of a Tenckhoff catheter in a 79-year-old woman with end-stage renal disease in peritoneal dialysis. The differential diagnoses included a contact allergic or irritative dermatitis to peritoneal dialysis catheter material and antiseptic agents, bacterial infection, and herpes virus infection, but milia were a clue for a subepidermal blistering disease and lead to appropriate investigations. The laboratory findings, the histopathological examination and the direct immunofluorescence assay confirmed the diagnosis of localized bullous pemphigoid. The disorder typically occurs in elderly people and may be related to drugs, hematological malignancies or neurological conditions but it can also be a complication of hemodialysis or peritoneal dialysis.</p>\",\"PeriodicalId\":42885,\"journal\":{\"name\":\"Dermatopathology\",\"volume\":\" \",\"pages\":\"282-286\"},\"PeriodicalIF\":1.7000,\"publicationDate\":\"2022-08-04\",\"publicationTypes\":\"Journal Article\",\"fieldsOfStudy\":null,\"isOpenAccess\":false,\"openAccessPdf\":\"https://www.ncbi.nlm.nih.gov/pmc/articles/PMC9397036/pdf/\",\"citationCount\":\"1\",\"resultStr\":null,\"platform\":\"Semanticscholar\",\"paperid\":null,\"PeriodicalName\":\"Dermatopathology\",\"FirstCategoryId\":\"1085\",\"ListUrlMain\":\"https://doi.org/10.3390/dermatopathology9030033\",\"RegionNum\":0,\"RegionCategory\":null,\"ArticlePicture\":[],\"TitleCN\":null,\"AbstractTextCN\":null,\"PMCID\":null,\"EPubDate\":\"\",\"PubModel\":\"\",\"JCR\":\"Q3\",\"JCRName\":\"DERMATOLOGY\",\"Score\":null,\"Total\":0}","platform":"Semanticscholar","paperid":null,"PeriodicalName":"Dermatopathology","FirstCategoryId":"1085","ListUrlMain":"https://doi.org/10.3390/dermatopathology9030033","RegionNum":0,"RegionCategory":null,"ArticlePicture":[],"TitleCN":null,"AbstractTextCN":null,"PMCID":null,"EPubDate":"","PubModel":"","JCR":"Q3","JCRName":"DERMATOLOGY","Score":null,"Total":0}
引用次数: 1

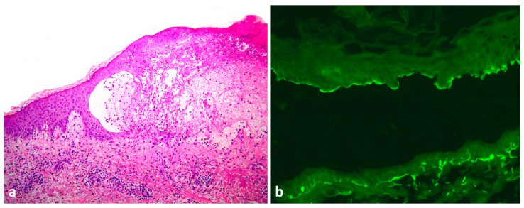
摘要

我们报告了一个79岁的妇女在腹膜透析终末期肾脏疾病的Tenckhoff导管出口部位周围出现多个紧张的水泡。鉴别诊断包括对腹膜透析导管材料和抗菌剂的接触性过敏或刺激性皮炎、细菌感染和疱疹病毒感染,但皮疹是表皮下起疱性疾病的线索,需要适当的检查。实验室检查、组织病理学检查和直接免疫荧光分析证实了局限性大疱性类天疱疮的诊断。这种疾病通常发生在老年人身上,可能与药物、血液恶性肿瘤或神经系统疾病有关,但也可能是血液透析或腹膜透析的并发症。
本文章由计算机程序翻译,如有差异,请以英文原文为准。

Blisters and Milia around the Peritoneal Dialysis Catheter: A Case of Localized Bullous Pemphigoid.

Blisters and Milia around the Peritoneal Dialysis Catheter: A Case of Localized Bullous Pemphigoid.

Blisters and Milia around the Peritoneal Dialysis Catheter: A Case of Localized Bullous Pemphigoid.

Blisters and Milia around the Peritoneal Dialysis Catheter: A Case of Localized Bullous Pemphigoid.

We report on the appearance of multiple tense blisters surrounding the exit site of a Tenckhoff catheter in a 79-year-old woman with end-stage renal disease in peritoneal dialysis. The differential diagnoses included a contact allergic or irritative dermatitis to peritoneal dialysis catheter material and antiseptic agents, bacterial infection, and herpes virus infection, but milia were a clue for a subepidermal blistering disease and lead to appropriate investigations. The laboratory findings, the histopathological examination and the direct immunofluorescence assay confirmed the diagnosis of localized bullous pemphigoid. The disorder typically occurs in elderly people and may be related to drugs, hematological malignancies or neurological conditions but it can also be a complication of hemodialysis or peritoneal dialysis.

求助全文
通过发布文献求助,成功后即可免费获取论文全文。 去求助
来源期刊
Dermatopathology
Dermatopathology DERMATOLOGY-
自引率
5.30%
发文量
39
审稿时长
11 weeks
×
引用
GB/T 7714-2015
复制
MLA
复制
APA
复制
导出至
BibTeX EndNote RefMan NoteFirst NoteExpress
×
提示
您的信息不完整,为了账户安全,请先补充。
现在去补充
×
提示
您因"违规操作"
具体请查看互助需知
我知道了
×
提示
确定
请完成安全验证×
copy
已复制链接
快去分享给好友吧!
我知道了
右上角分享
点击右上角分享
0
联系我们:info@booksci.cn Book学术提供免费学术资源搜索服务,方便国内外学者检索中英文文献。致力于提供最便捷和优质的服务体验。 Copyright © 2023 布克学术 All rights reserved.
京ICP备2023020795号-1
ghs 京公网安备 11010802042870号
Book学术文献互助
Book学术文献互助群
群 号:604180095
Book学术官方微信