生殖毛囊皮脂腺囊性错构瘤1例报告及文献综述。

IF 1.7 Q3 DERMATOLOGY
Maged Daruish, Mona Abdel-Halim Ibrahim
{"title":"生殖毛囊皮脂腺囊性错构瘤1例报告及文献综述。","authors":"Maged Daruish, Mona Abdel-Halim Ibrahim","doi":"10.3390/dermatopathology9030032","DOIUrl":null,"url":null,"abstract":"Folliculosebaceous cystic hamartoma (FSCH) is an uncommon hamartoma that usually presents on the central face area of adults as an asymptomatic, solitary dome-shaped or pedunculated papule. We report a case of a 35-year-old female who presented with six-months history of skin lesions on her labia majora. Histological findings included cystically dilated hair follicles with branching epithelial strands and interconnecting sebaceous gland consistent with the diagnosis of FSCH. The genital variant of FSCH was first described in 1998 and since then only six cases have been reported in the literature. We aim to increase awareness of this rare presentation due to the significant psychological implications and the risk of misdiagnosis.","PeriodicalId":42885,"journal":{"name":"Dermatopathology","volume":" ","pages":"277-281"},"PeriodicalIF":1.7000,"publicationDate":"2022-08-01","publicationTypes":"Journal Article","fieldsOfStudy":null,"isOpenAccess":false,"openAccessPdf":"https://www.ncbi.nlm.nih.gov/pmc/articles/PMC9397042/pdf/","citationCount":"0","resultStr":"{\"title\":\"Genital Folliculosebaceous Cystic Hamartoma: A Case Report and Concise Review of the Literature.\",\"authors\":\"Maged Daruish, Mona Abdel-Halim Ibrahim\",\"doi\":\"10.3390/dermatopathology9030032\",\"DOIUrl\":null,\"url\":null,\"abstract\":\"Folliculosebaceous cystic hamartoma (FSCH) is an uncommon hamartoma that usually presents on the central face area of adults as an asymptomatic, solitary dome-shaped or pedunculated papule. We report a case of a 35-year-old female who presented with six-months history of skin lesions on her labia majora. Histological findings included cystically dilated hair follicles with branching epithelial strands and interconnecting sebaceous gland consistent with the diagnosis of FSCH. The genital variant of FSCH was first described in 1998 and since then only six cases have been reported in the literature. We aim to increase awareness of this rare presentation due to the significant psychological implications and the risk of misdiagnosis.\",\"PeriodicalId\":42885,\"journal\":{\"name\":\"Dermatopathology\",\"volume\":\" \",\"pages\":\"277-281\"},\"PeriodicalIF\":1.7000,\"publicationDate\":\"2022-08-01\",\"publicationTypes\":\"Journal Article\",\"fieldsOfStudy\":null,\"isOpenAccess\":false,\"openAccessPdf\":\"https://www.ncbi.nlm.nih.gov/pmc/articles/PMC9397042/pdf/\",\"citationCount\":\"0\",\"resultStr\":null,\"platform\":\"Semanticscholar\",\"paperid\":null,\"PeriodicalName\":\"Dermatopathology\",\"FirstCategoryId\":\"1085\",\"ListUrlMain\":\"https://doi.org/10.3390/dermatopathology9030032\",\"RegionNum\":0,\"RegionCategory\":null,\"ArticlePicture\":[],\"TitleCN\":null,\"AbstractTextCN\":null,\"PMCID\":null,\"EPubDate\":\"\",\"PubModel\":\"\",\"JCR\":\"Q3\",\"JCRName\":\"DERMATOLOGY\",\"Score\":null,\"Total\":0}","platform":"Semanticscholar","paperid":null,"PeriodicalName":"Dermatopathology","FirstCategoryId":"1085","ListUrlMain":"https://doi.org/10.3390/dermatopathology9030032","RegionNum":0,"RegionCategory":null,"ArticlePicture":[],"TitleCN":null,"AbstractTextCN":null,"PMCID":null,"EPubDate":"","PubModel":"","JCR":"Q3","JCRName":"DERMATOLOGY","Score":null,"Total":0}
引用次数: 0

摘要

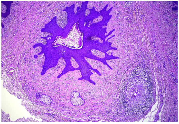
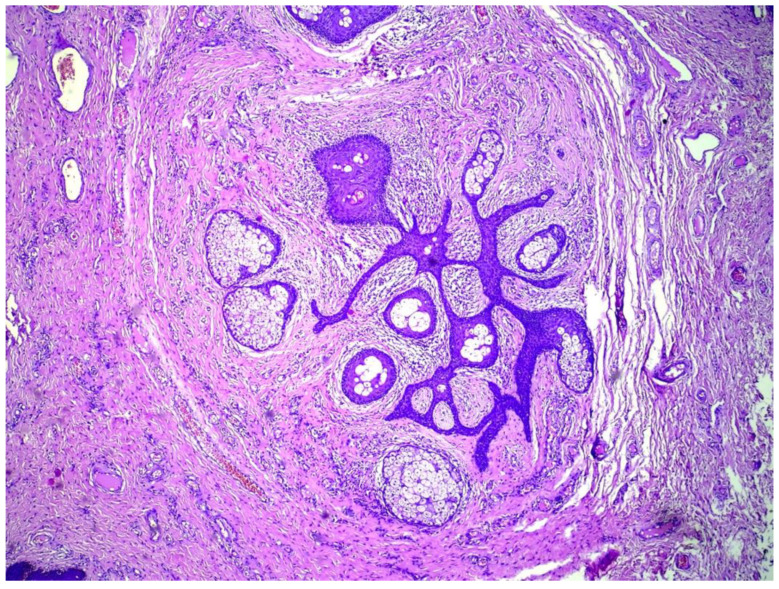
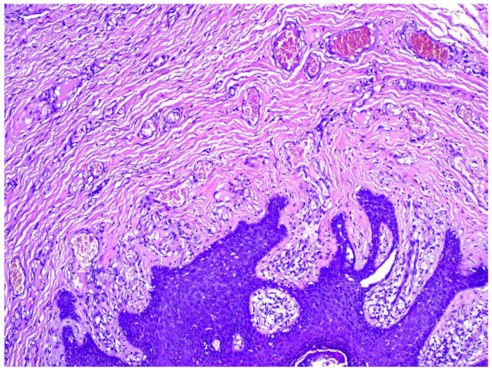
卵泡皮脂腺囊性错构瘤(FSCH)是一种罕见的错构瘤,通常表现为成人面部中央区域的无症状,孤立的圆顶状或带梗丘疹。我们报告一个35岁的女性谁提出了6个月的历史皮肤病变在她的大阴唇。组织学表现包括囊状扩张的毛囊,具有分支状上皮链和相互连接的皮脂腺,与FSCH的诊断一致。FSCH的生殖器变异在1998年首次被描述,从那时起,文献中只报道了6例。我们的目标是提高对这种罕见表现的认识,因为它具有重要的心理意义和误诊的风险。
本文章由计算机程序翻译,如有差异,请以英文原文为准。

Genital Folliculosebaceous Cystic Hamartoma: A Case Report and Concise Review of the Literature.

Genital Folliculosebaceous Cystic Hamartoma: A Case Report and Concise Review of the Literature.

Genital Folliculosebaceous Cystic Hamartoma: A Case Report and Concise Review of the Literature.

Genital Folliculosebaceous Cystic Hamartoma: A Case Report and Concise Review of the Literature.
Folliculosebaceous cystic hamartoma (FSCH) is an uncommon hamartoma that usually presents on the central face area of adults as an asymptomatic, solitary dome-shaped or pedunculated papule. We report a case of a 35-year-old female who presented with six-months history of skin lesions on her labia majora. Histological findings included cystically dilated hair follicles with branching epithelial strands and interconnecting sebaceous gland consistent with the diagnosis of FSCH. The genital variant of FSCH was first described in 1998 and since then only six cases have been reported in the literature. We aim to increase awareness of this rare presentation due to the significant psychological implications and the risk of misdiagnosis.
求助全文
通过发布文献求助,成功后即可免费获取论文全文。 去求助
来源期刊
Dermatopathology
Dermatopathology DERMATOLOGY-
自引率
5.30%
发文量
39
审稿时长
11 weeks
×
引用
GB/T 7714-2015
复制
MLA
复制
APA
复制
导出至
BibTeX EndNote RefMan NoteFirst NoteExpress
×
提示
您的信息不完整,为了账户安全,请先补充。
现在去补充
×
提示
您因"违规操作"
具体请查看互助需知
我知道了
×
提示
确定
请完成安全验证×
copy
已复制链接
快去分享给好友吧!
我知道了
右上角分享
点击右上角分享
0
联系我们:info@booksci.cn Book学术提供免费学术资源搜索服务,方便国内外学者检索中英文文献。致力于提供最便捷和优质的服务体验。 Copyright © 2023 布克学术 All rights reserved.
京ICP备2023020795号-1
ghs 京公网安备 11010802042870号
Book学术文献互助
Book学术文献互助群
群 号:604180095
Book学术官方微信