后侧反应性表皮增生和血管生成:老年性臀皮肤病和瘙痒样血管瘤病的统一名称。

IF 1.7 Q3 DERMATOLOGY
Michelle Weiting Liang, Joel H L Lim, Hui Yi Chia, Shang-Ian Tee, Joyce S S Lee
{"title":"后侧反应性表皮增生和血管生成:老年性臀皮肤病和瘙痒样血管瘤病的统一名称。","authors":"Michelle Weiting Liang,&nbsp;Joel H L Lim,&nbsp;Hui Yi Chia,&nbsp;Shang-Ian Tee,&nbsp;Joyce S S Lee","doi":"10.3390/dermatopathology9040040","DOIUrl":null,"url":null,"abstract":"<p><p>Senile gluteal dermatosis (SGD) is a common but seldom recognized condition. It is characterized clinically by unilateral or bilateral hyperkeratotic, lichenified plaques on the gluteal area, being attributed to prolonged sitting, particularly in the elderly. SGD also encompasses the recently proposed entity of prurigiform angiomatosis. Histologically, there are features of lichenification, such as epidermal hyperplasia and a preserved granular layer, with prominent dermal angioproliferation. We report 4 cases of this condition as well as novel findings of variably increased mast cells and superficial lymphatic vessels in addition to the proliferation of dermal blood vessels. We propose a unifying name for Reactive Epidermal hyperplasia and Angiogenesis of the Rear (REAR) to encapsulate the characteristic clinical and histological features of this distinct entity.</p>","PeriodicalId":42885,"journal":{"name":"Dermatopathology","volume":" ","pages":"343-354"},"PeriodicalIF":1.7000,"publicationDate":"2022-10-13","publicationTypes":"Journal Article","fieldsOfStudy":null,"isOpenAccess":false,"openAccessPdf":"https://www.ncbi.nlm.nih.gov/pmc/articles/PMC9590008/pdf/","citationCount":"1","resultStr":"{\"title\":\"Reactive Epidermal Hyperplasia and Angiogenesis of the Rear (REAR): A Proposed Unifying Name for Senile Gluteal Dermatosis and Prurigiform Angiomatosis.\",\"authors\":\"Michelle Weiting Liang,&nbsp;Joel H L Lim,&nbsp;Hui Yi Chia,&nbsp;Shang-Ian Tee,&nbsp;Joyce S S Lee\",\"doi\":\"10.3390/dermatopathology9040040\",\"DOIUrl\":null,\"url\":null,\"abstract\":\"<p><p>Senile gluteal dermatosis (SGD) is a common but seldom recognized condition. It is characterized clinically by unilateral or bilateral hyperkeratotic, lichenified plaques on the gluteal area, being attributed to prolonged sitting, particularly in the elderly. SGD also encompasses the recently proposed entity of prurigiform angiomatosis. Histologically, there are features of lichenification, such as epidermal hyperplasia and a preserved granular layer, with prominent dermal angioproliferation. We report 4 cases of this condition as well as novel findings of variably increased mast cells and superficial lymphatic vessels in addition to the proliferation of dermal blood vessels. We propose a unifying name for Reactive Epidermal hyperplasia and Angiogenesis of the Rear (REAR) to encapsulate the characteristic clinical and histological features of this distinct entity.</p>\",\"PeriodicalId\":42885,\"journal\":{\"name\":\"Dermatopathology\",\"volume\":\" \",\"pages\":\"343-354\"},\"PeriodicalIF\":1.7000,\"publicationDate\":\"2022-10-13\",\"publicationTypes\":\"Journal Article\",\"fieldsOfStudy\":null,\"isOpenAccess\":false,\"openAccessPdf\":\"https://www.ncbi.nlm.nih.gov/pmc/articles/PMC9590008/pdf/\",\"citationCount\":\"1\",\"resultStr\":null,\"platform\":\"Semanticscholar\",\"paperid\":null,\"PeriodicalName\":\"Dermatopathology\",\"FirstCategoryId\":\"1085\",\"ListUrlMain\":\"https://doi.org/10.3390/dermatopathology9040040\",\"RegionNum\":0,\"RegionCategory\":null,\"ArticlePicture\":[],\"TitleCN\":null,\"AbstractTextCN\":null,\"PMCID\":null,\"EPubDate\":\"\",\"PubModel\":\"\",\"JCR\":\"Q3\",\"JCRName\":\"DERMATOLOGY\",\"Score\":null,\"Total\":0}","platform":"Semanticscholar","paperid":null,"PeriodicalName":"Dermatopathology","FirstCategoryId":"1085","ListUrlMain":"https://doi.org/10.3390/dermatopathology9040040","RegionNum":0,"RegionCategory":null,"ArticlePicture":[],"TitleCN":null,"AbstractTextCN":null,"PMCID":null,"EPubDate":"","PubModel":"","JCR":"Q3","JCRName":"DERMATOLOGY","Score":null,"Total":0}
引用次数: 1

摘要

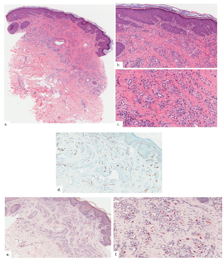
老年性臀皮肤病(SGD)是一种常见但很少被认识到的疾病。临床表现为单侧或双侧角化过度,臀区有地衣样斑块,可归因于久坐,尤其是老年人。SGD还包括最近提出的瘙痒样血管瘤病的实体。组织学上有地衣化特征,如表皮增生和保留的颗粒层,真皮血管增生明显。我们报告了4例这种情况,并发现了肥大细胞和浅表淋巴管的不同增加,以及真皮血管的增殖。我们提出一个统一的名称反应性表皮增生和后方血管生成(后方),以概括这一独特实体的临床和组织学特征。
本文章由计算机程序翻译,如有差异,请以英文原文为准。

Reactive Epidermal Hyperplasia and Angiogenesis of the Rear (REAR): A Proposed Unifying Name for Senile Gluteal Dermatosis and Prurigiform Angiomatosis.

Reactive Epidermal Hyperplasia and Angiogenesis of the Rear (REAR): A Proposed Unifying Name for Senile Gluteal Dermatosis and Prurigiform Angiomatosis.

Reactive Epidermal Hyperplasia and Angiogenesis of the Rear (REAR): A Proposed Unifying Name for Senile Gluteal Dermatosis and Prurigiform Angiomatosis.

Reactive Epidermal Hyperplasia and Angiogenesis of the Rear (REAR): A Proposed Unifying Name for Senile Gluteal Dermatosis and Prurigiform Angiomatosis.

Senile gluteal dermatosis (SGD) is a common but seldom recognized condition. It is characterized clinically by unilateral or bilateral hyperkeratotic, lichenified plaques on the gluteal area, being attributed to prolonged sitting, particularly in the elderly. SGD also encompasses the recently proposed entity of prurigiform angiomatosis. Histologically, there are features of lichenification, such as epidermal hyperplasia and a preserved granular layer, with prominent dermal angioproliferation. We report 4 cases of this condition as well as novel findings of variably increased mast cells and superficial lymphatic vessels in addition to the proliferation of dermal blood vessels. We propose a unifying name for Reactive Epidermal hyperplasia and Angiogenesis of the Rear (REAR) to encapsulate the characteristic clinical and histological features of this distinct entity.

求助全文
通过发布文献求助,成功后即可免费获取论文全文。 去求助
来源期刊
Dermatopathology
Dermatopathology DERMATOLOGY-
自引率
5.30%
发文量
39
审稿时长
11 weeks
×
引用
GB/T 7714-2015
复制
MLA
复制
APA
复制
导出至
BibTeX EndNote RefMan NoteFirst NoteExpress
×
提示
您的信息不完整,为了账户安全,请先补充。
现在去补充
×
提示
您因"违规操作"
具体请查看互助需知
我知道了
×
提示
确定
请完成安全验证×
copy
已复制链接
快去分享给好友吧!
我知道了
右上角分享
点击右上角分享
0
联系我们:info@booksci.cn Book学术提供免费学术资源搜索服务,方便国内外学者检索中英文文献。致力于提供最便捷和优质的服务体验。 Copyright © 2023 布克学术 All rights reserved.
京ICP备2023020795号-1
ghs 京公网安备 11010802042870号
Book学术文献互助
Book学术文献互助群
群 号:604180095
Book学术官方微信