首次接种COVID-19疫苗后急性炎症性心包炎(阿斯利康)。

IF 0.5 Q4 CARDIAC & CARDIOVASCULAR SYSTEMS
Case Reports in Cardiology Pub Date : 2022-11-18 eCollection Date: 2022-01-01 DOI:10.1155/2022/9509023
Mohammed Alshaikh, Abdullah Muharib, Radhi Alshehri, Abdulaziz Alshoaibi, Mohammed Qattea, Shahad AlOtaiby
{"title":"首次接种COVID-19疫苗后急性炎症性心包炎(阿斯利康)。","authors":"Mohammed Alshaikh,&nbsp;Abdullah Muharib,&nbsp;Radhi Alshehri,&nbsp;Abdulaziz Alshoaibi,&nbsp;Mohammed Qattea,&nbsp;Shahad AlOtaiby","doi":"10.1155/2022/9509023","DOIUrl":null,"url":null,"abstract":"<p><strong>Background: </strong>Clinical trials of the COVID-19 vaccine reported the safety and efficacy of mRNA vaccines (AstraZeneca) to help control the disease. Few previous reports have shown various side effects associated with COVID-19 vaccines that vary in severity. The possibility of pericarditis and myocarditis has been observed in people who have received an mRNA COVID-19 vaccine which we are reporting. Acute inflammatory pericarditis can be a rare presentation after receiving the first dose of this vaccine, and it is enriching to share such rare presentations in the era of COVID-19 for better management and outcomes after vaccination. <i>Case Presentation</i>. This is a case of acute inflammatory pericarditis with a small pericardial effusion after receiving the first dose of AstraZeneca COVID-19 vaccine in a healthy adult patient who had no other symptoms suggestive of other viral illness in addition to the negative COVID-19 PCR. A 48-year-old healthy male presented nine days after receiving the first dose of COVID-19 AstraZeneca vaccine. The symptoms started three days after the vaccine, when he complained of progressive retrosternal chest pain with low-grade fever and generalized fatigue, followed by exertional dyspnea after a few days. The diagnosis of acute inflammatory pericarditis with small pericardial effusion was established, and the patient was accordingly treated. One week later, the patient showed significant clinical improvement with the resolution of his pericardial effusion. After 39 days, there was a significant radiological resolution of signs of acute pericarditis.</p><p><strong>Conclusion: </strong>The ongoing COVID-19 outbreak is still under investigation, and guidelines are regularly modified since we are continuously learning about this novel disease, although multiple vaccines have been shown to be effective against COVID-19. However, we report a case of unique clinical manifestation that has not been reported widely in the literature, after receiving the first dose of AstraZeneca COVID-19 vaccine, and that it may help raise awareness of the possible diagnosis and the possibility of inflammatory pericarditis after COVID-19 vaccination.</p>","PeriodicalId":51760,"journal":{"name":"Case Reports in Cardiology","volume":" ","pages":"9509023"},"PeriodicalIF":0.5000,"publicationDate":"2022-11-18","publicationTypes":"Journal Article","fieldsOfStudy":null,"isOpenAccess":false,"openAccessPdf":"https://www.ncbi.nlm.nih.gov/pmc/articles/PMC9699737/pdf/","citationCount":"1","resultStr":"{\"title\":\"Acute Inflammatory Pericarditis following First Dose of COVID-19 Vaccine (AstraZeneca).\",\"authors\":\"Mohammed Alshaikh,&nbsp;Abdullah Muharib,&nbsp;Radhi Alshehri,&nbsp;Abdulaziz Alshoaibi,&nbsp;Mohammed Qattea,&nbsp;Shahad AlOtaiby\",\"doi\":\"10.1155/2022/9509023\",\"DOIUrl\":null,\"url\":null,\"abstract\":\"<p><strong>Background: </strong>Clinical trials of the COVID-19 vaccine reported the safety and efficacy of mRNA vaccines (AstraZeneca) to help control the disease. Few previous reports have shown various side effects associated with COVID-19 vaccines that vary in severity. The possibility of pericarditis and myocarditis has been observed in people who have received an mRNA COVID-19 vaccine which we are reporting. Acute inflammatory pericarditis can be a rare presentation after receiving the first dose of this vaccine, and it is enriching to share such rare presentations in the era of COVID-19 for better management and outcomes after vaccination. <i>Case Presentation</i>. This is a case of acute inflammatory pericarditis with a small pericardial effusion after receiving the first dose of AstraZeneca COVID-19 vaccine in a healthy adult patient who had no other symptoms suggestive of other viral illness in addition to the negative COVID-19 PCR. A 48-year-old healthy male presented nine days after receiving the first dose of COVID-19 AstraZeneca vaccine. The symptoms started three days after the vaccine, when he complained of progressive retrosternal chest pain with low-grade fever and generalized fatigue, followed by exertional dyspnea after a few days. The diagnosis of acute inflammatory pericarditis with small pericardial effusion was established, and the patient was accordingly treated. One week later, the patient showed significant clinical improvement with the resolution of his pericardial effusion. After 39 days, there was a significant radiological resolution of signs of acute pericarditis.</p><p><strong>Conclusion: </strong>The ongoing COVID-19 outbreak is still under investigation, and guidelines are regularly modified since we are continuously learning about this novel disease, although multiple vaccines have been shown to be effective against COVID-19. However, we report a case of unique clinical manifestation that has not been reported widely in the literature, after receiving the first dose of AstraZeneca COVID-19 vaccine, and that it may help raise awareness of the possible diagnosis and the possibility of inflammatory pericarditis after COVID-19 vaccination.</p>\",\"PeriodicalId\":51760,\"journal\":{\"name\":\"Case Reports in Cardiology\",\"volume\":\" \",\"pages\":\"9509023\"},\"PeriodicalIF\":0.5000,\"publicationDate\":\"2022-11-18\",\"publicationTypes\":\"Journal Article\",\"fieldsOfStudy\":null,\"isOpenAccess\":false,\"openAccessPdf\":\"https://www.ncbi.nlm.nih.gov/pmc/articles/PMC9699737/pdf/\",\"citationCount\":\"1\",\"resultStr\":null,\"platform\":\"Semanticscholar\",\"paperid\":null,\"PeriodicalName\":\"Case Reports in Cardiology\",\"FirstCategoryId\":\"1085\",\"ListUrlMain\":\"https://doi.org/10.1155/2022/9509023\",\"RegionNum\":0,\"RegionCategory\":null,\"ArticlePicture\":[],\"TitleCN\":null,\"AbstractTextCN\":null,\"PMCID\":null,\"EPubDate\":\"2022/1/1 0:00:00\",\"PubModel\":\"eCollection\",\"JCR\":\"Q4\",\"JCRName\":\"CARDIAC & CARDIOVASCULAR SYSTEMS\",\"Score\":null,\"Total\":0}","platform":"Semanticscholar","paperid":null,"PeriodicalName":"Case Reports in Cardiology","FirstCategoryId":"1085","ListUrlMain":"https://doi.org/10.1155/2022/9509023","RegionNum":0,"RegionCategory":null,"ArticlePicture":[],"TitleCN":null,"AbstractTextCN":null,"PMCID":null,"EPubDate":"2022/1/1 0:00:00","PubModel":"eCollection","JCR":"Q4","JCRName":"CARDIAC & CARDIOVASCULAR SYSTEMS","Score":null,"Total":0}
引用次数: 1

摘要

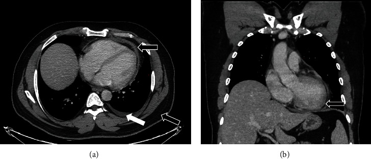
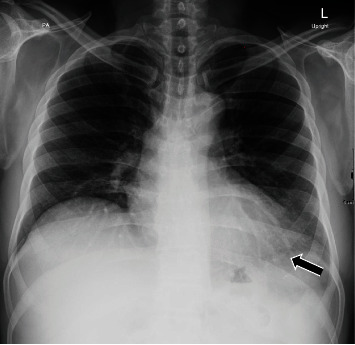
背景:新冠肺炎疫苗临床试验报告了mRNA疫苗(阿斯利康)帮助控制疾病的安全性和有效性。以前很少有报告显示与COVID-19疫苗相关的各种副作用,其严重程度各不相同。在接受我们报告的mRNA COVID-19疫苗的人群中观察到心包炎和心肌炎的可能性。急性炎症性心包炎在首次接种该疫苗后可能是一种罕见的症状,在COVID-19时代分享这种罕见的症状对于更好地管理和接种疫苗后的结果是有益的。案例演示。这是一例健康成人患者在接受阿斯利康COVID-19疫苗第一剂后出现急性炎症性心包炎伴少量心包积液的病例,除COVID-19 PCR阴性外,无其他提示其他病毒性疾病的症状。一名48岁的健康男性在接种第一剂新冠肺炎阿斯利康疫苗9天后出现。该症状始于接种疫苗后3天,当时他主诉进行性胸痛,伴有低烧和全身乏力,几天后出现用力性呼吸困难。诊断为急性炎症性心包炎伴少量心包积液,并给予相应治疗。一星期后,病人的临床表现明显改善,心包积液得以消除。39天后,急性心包炎的影像学表现明显好转。结论:目前正在进行的COVID-19疫情仍在调查中,尽管多种疫苗已被证明对COVID-19有效,但由于我们不断了解这种新型疾病,指南仍在定期修改。然而,我们报告了一例在首次接种阿斯利康COVID-19疫苗后出现独特临床表现的病例,在文献中尚未广泛报道,这可能有助于提高人们对COVID-19疫苗接种后可能诊断和炎症性心包炎可能性的认识。
本文章由计算机程序翻译,如有差异,请以英文原文为准。

Acute Inflammatory Pericarditis following First Dose of COVID-19 Vaccine (AstraZeneca).

Acute Inflammatory Pericarditis following First Dose of COVID-19 Vaccine (AstraZeneca).

Acute Inflammatory Pericarditis following First Dose of COVID-19 Vaccine (AstraZeneca).

Acute Inflammatory Pericarditis following First Dose of COVID-19 Vaccine (AstraZeneca).

Background: Clinical trials of the COVID-19 vaccine reported the safety and efficacy of mRNA vaccines (AstraZeneca) to help control the disease. Few previous reports have shown various side effects associated with COVID-19 vaccines that vary in severity. The possibility of pericarditis and myocarditis has been observed in people who have received an mRNA COVID-19 vaccine which we are reporting. Acute inflammatory pericarditis can be a rare presentation after receiving the first dose of this vaccine, and it is enriching to share such rare presentations in the era of COVID-19 for better management and outcomes after vaccination. Case Presentation. This is a case of acute inflammatory pericarditis with a small pericardial effusion after receiving the first dose of AstraZeneca COVID-19 vaccine in a healthy adult patient who had no other symptoms suggestive of other viral illness in addition to the negative COVID-19 PCR. A 48-year-old healthy male presented nine days after receiving the first dose of COVID-19 AstraZeneca vaccine. The symptoms started three days after the vaccine, when he complained of progressive retrosternal chest pain with low-grade fever and generalized fatigue, followed by exertional dyspnea after a few days. The diagnosis of acute inflammatory pericarditis with small pericardial effusion was established, and the patient was accordingly treated. One week later, the patient showed significant clinical improvement with the resolution of his pericardial effusion. After 39 days, there was a significant radiological resolution of signs of acute pericarditis.

Conclusion: The ongoing COVID-19 outbreak is still under investigation, and guidelines are regularly modified since we are continuously learning about this novel disease, although multiple vaccines have been shown to be effective against COVID-19. However, we report a case of unique clinical manifestation that has not been reported widely in the literature, after receiving the first dose of AstraZeneca COVID-19 vaccine, and that it may help raise awareness of the possible diagnosis and the possibility of inflammatory pericarditis after COVID-19 vaccination.

求助全文
通过发布文献求助,成功后即可免费获取论文全文。 去求助
来源期刊
Case Reports in Cardiology
Case Reports in Cardiology CARDIAC & CARDIOVASCULAR SYSTEMS-
自引率
0.00%
发文量
63
审稿时长
13 weeks
期刊介绍: Case Reports in Cardiology is a peer-reviewed, Open Access journal that publishes case reports and case series related to hypertension, arrhythmia, congestive heart failure, valvular heart disease, vascular disease, congenital heart disease and cardiomyopathy.
×
引用
GB/T 7714-2015
复制
MLA
复制
APA
复制
导出至
BibTeX EndNote RefMan NoteFirst NoteExpress
×
提示
您的信息不完整,为了账户安全,请先补充。
现在去补充
×
提示
您因"违规操作"
具体请查看互助需知
我知道了
×
提示
确定
请完成安全验证×
copy
已复制链接
快去分享给好友吧!
我知道了
右上角分享
点击右上角分享
0
联系我们:info@booksci.cn Book学术提供免费学术资源搜索服务,方便国内外学者检索中英文文献。致力于提供最便捷和优质的服务体验。 Copyright © 2023 布克学术 All rights reserved.
京ICP备2023020795号-1
ghs 京公网安备 11010802042870号
Book学术文献互助
Book学术文献互助群
群 号:604180095
Book学术官方微信