肉芽肿性皮肤T细胞淋巴瘤中巨噬细胞的极化。

IF 1.7 Q3 DERMATOLOGY
Lopez Dominguez Johanny, Olayemi Sokumbi, Misty M Hobbs, Liuyan Jiang
{"title":"肉芽肿性皮肤T细胞淋巴瘤中巨噬细胞的极化。","authors":"Lopez Dominguez Johanny,&nbsp;Olayemi Sokumbi,&nbsp;Misty M Hobbs,&nbsp;Liuyan Jiang","doi":"10.3390/dermatopathology9010009","DOIUrl":null,"url":null,"abstract":"<p><p>Polarization of tumor associated macrophages (TAMs) has been shown to have prognostic significance in different cancer types. This study evaluates the macrophage subtypes that predominates in GMF. Cases of GCTCL from 2007-2020 were identified (<i>n</i> = 6), clinical data was extracted from the electronic medical record, and all pathology slides were reviewed to confirm the diagnosis. Immunohistochemistry (IHC) studies were performed to characterize M1 and M2 macrophage polarization. CD68 (PGM1), pSTAT1, and CD163 were used as pan macrophage, M1, and M2 markers, respectively. The macrophages with positive staining at hot spot per high power field were counted and recorded for data analysis. The average age of patients was 60.5 years [range, 21-78], five patients (83%) were women and 1 (17%) was a man. Five patients were Caucasian (83%), and 1 was Black/African American (17%). Two patients had late stage GMF with M2 (CD163) predominance and the other three had early stage GMF with M1 (pSTAT1) predominance. Our study suggests that macrophage polarization present in GMF tends to be M1 in early stages and M2 in advanced stages. Additional studies are needed to further elucidate the microenvironment of macrophages present in GMF. Such findings may lead to prognostic and therapeutic advances in GMF.</p>","PeriodicalId":42885,"journal":{"name":"Dermatopathology","volume":" ","pages":"54-59"},"PeriodicalIF":1.7000,"publicationDate":"2022-02-25","publicationTypes":"Journal Article","fieldsOfStudy":null,"isOpenAccess":false,"openAccessPdf":"https://www.ncbi.nlm.nih.gov/pmc/articles/PMC8946979/pdf/","citationCount":"0","resultStr":"{\"title\":\"Polarization of Macrophages in Granulomatous Cutaneous T Cell Lymphoma Granulomatous Mycosis Fungoides Microenvironment.\",\"authors\":\"Lopez Dominguez Johanny,&nbsp;Olayemi Sokumbi,&nbsp;Misty M Hobbs,&nbsp;Liuyan Jiang\",\"doi\":\"10.3390/dermatopathology9010009\",\"DOIUrl\":null,\"url\":null,\"abstract\":\"<p><p>Polarization of tumor associated macrophages (TAMs) has been shown to have prognostic significance in different cancer types. This study evaluates the macrophage subtypes that predominates in GMF. Cases of GCTCL from 2007-2020 were identified (<i>n</i> = 6), clinical data was extracted from the electronic medical record, and all pathology slides were reviewed to confirm the diagnosis. Immunohistochemistry (IHC) studies were performed to characterize M1 and M2 macrophage polarization. CD68 (PGM1), pSTAT1, and CD163 were used as pan macrophage, M1, and M2 markers, respectively. The macrophages with positive staining at hot spot per high power field were counted and recorded for data analysis. The average age of patients was 60.5 years [range, 21-78], five patients (83%) were women and 1 (17%) was a man. Five patients were Caucasian (83%), and 1 was Black/African American (17%). Two patients had late stage GMF with M2 (CD163) predominance and the other three had early stage GMF with M1 (pSTAT1) predominance. Our study suggests that macrophage polarization present in GMF tends to be M1 in early stages and M2 in advanced stages. Additional studies are needed to further elucidate the microenvironment of macrophages present in GMF. Such findings may lead to prognostic and therapeutic advances in GMF.</p>\",\"PeriodicalId\":42885,\"journal\":{\"name\":\"Dermatopathology\",\"volume\":\" \",\"pages\":\"54-59\"},\"PeriodicalIF\":1.7000,\"publicationDate\":\"2022-02-25\",\"publicationTypes\":\"Journal Article\",\"fieldsOfStudy\":null,\"isOpenAccess\":false,\"openAccessPdf\":\"https://www.ncbi.nlm.nih.gov/pmc/articles/PMC8946979/pdf/\",\"citationCount\":\"0\",\"resultStr\":null,\"platform\":\"Semanticscholar\",\"paperid\":null,\"PeriodicalName\":\"Dermatopathology\",\"FirstCategoryId\":\"1085\",\"ListUrlMain\":\"https://doi.org/10.3390/dermatopathology9010009\",\"RegionNum\":0,\"RegionCategory\":null,\"ArticlePicture\":[],\"TitleCN\":null,\"AbstractTextCN\":null,\"PMCID\":null,\"EPubDate\":\"\",\"PubModel\":\"\",\"JCR\":\"Q3\",\"JCRName\":\"DERMATOLOGY\",\"Score\":null,\"Total\":0}","platform":"Semanticscholar","paperid":null,"PeriodicalName":"Dermatopathology","FirstCategoryId":"1085","ListUrlMain":"https://doi.org/10.3390/dermatopathology9010009","RegionNum":0,"RegionCategory":null,"ArticlePicture":[],"TitleCN":null,"AbstractTextCN":null,"PMCID":null,"EPubDate":"","PubModel":"","JCR":"Q3","JCRName":"DERMATOLOGY","Score":null,"Total":0}
引用次数: 0

摘要

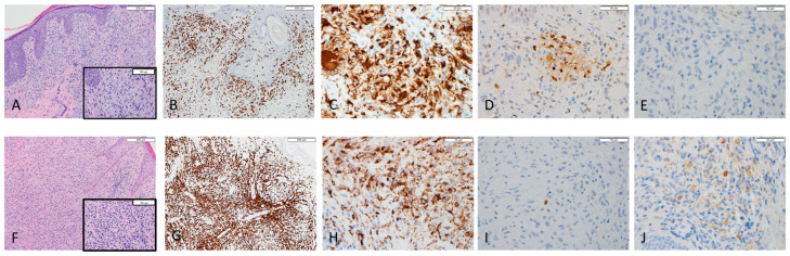
肿瘤相关巨噬细胞(tumor associated macrophages, tam)的极化已被证明在不同类型的癌症中具有预后意义。本研究评估了在GMF中占主导地位的巨噬细胞亚型。选取2007-2020年GCTCL病例(n = 6),从电子病历中提取临床资料,并回顾所有病理切片以确认诊断。免疫组织化学(IHC)研究表征M1和M2巨噬细胞极化。CD68 (PGM1)、pSTAT1和CD163分别作为泛巨噬细胞、M1和M2标记物。计数并记录高倍视场热点染色阳性的巨噬细胞,用于数据分析。患者平均年龄60.5岁[范围21 ~ 78岁],女性5例(83%),男性1例(17%)。5例为白种人(83%),1例为黑人/非裔美国人(17%)。2例为晚期GMF,以M2 (CD163)为主,另外3例为早期GMF,以M1 (pSTAT1)为主。我们的研究表明,巨噬细胞在GMF中存在的极化倾向于早期为M1,晚期为M2。需要进一步的研究来进一步阐明GMF中巨噬细胞的微环境。这些发现可能导致转基因食品的预后和治疗进展。
本文章由计算机程序翻译,如有差异,请以英文原文为准。

Polarization of Macrophages in Granulomatous Cutaneous T Cell Lymphoma Granulomatous Mycosis Fungoides Microenvironment.

Polarization of Macrophages in Granulomatous Cutaneous T Cell Lymphoma Granulomatous Mycosis Fungoides Microenvironment.

Polarization of tumor associated macrophages (TAMs) has been shown to have prognostic significance in different cancer types. This study evaluates the macrophage subtypes that predominates in GMF. Cases of GCTCL from 2007-2020 were identified (n = 6), clinical data was extracted from the electronic medical record, and all pathology slides were reviewed to confirm the diagnosis. Immunohistochemistry (IHC) studies were performed to characterize M1 and M2 macrophage polarization. CD68 (PGM1), pSTAT1, and CD163 were used as pan macrophage, M1, and M2 markers, respectively. The macrophages with positive staining at hot spot per high power field were counted and recorded for data analysis. The average age of patients was 60.5 years [range, 21-78], five patients (83%) were women and 1 (17%) was a man. Five patients were Caucasian (83%), and 1 was Black/African American (17%). Two patients had late stage GMF with M2 (CD163) predominance and the other three had early stage GMF with M1 (pSTAT1) predominance. Our study suggests that macrophage polarization present in GMF tends to be M1 in early stages and M2 in advanced stages. Additional studies are needed to further elucidate the microenvironment of macrophages present in GMF. Such findings may lead to prognostic and therapeutic advances in GMF.

求助全文
通过发布文献求助,成功后即可免费获取论文全文。 去求助
来源期刊
Dermatopathology
Dermatopathology DERMATOLOGY-
自引率
5.30%
发文量
39
审稿时长
11 weeks
×
引用
GB/T 7714-2015
复制
MLA
复制
APA
复制
导出至
BibTeX EndNote RefMan NoteFirst NoteExpress
×
提示
您的信息不完整,为了账户安全,请先补充。
现在去补充
×
提示
您因"违规操作"
具体请查看互助需知
我知道了
×
提示
确定
请完成安全验证×
copy
已复制链接
快去分享给好友吧!
我知道了
右上角分享
点击右上角分享
0
联系我们:info@booksci.cn Book学术提供免费学术资源搜索服务,方便国内外学者检索中英文文献。致力于提供最便捷和优质的服务体验。 Copyright © 2023 布克学术 All rights reserved.
京ICP备2023020795号-1
ghs 京公网安备 11010802042870号
Book学术文献互助
Book学术文献互助群
群 号:604180095
Book学术官方微信