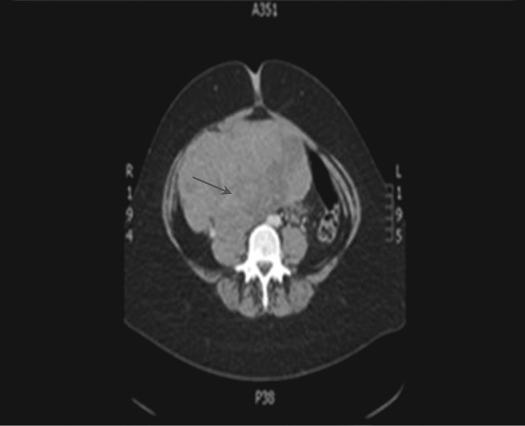
卵巢肿瘤引起的异位催乳素分泌。

IF 0.7
Sowmya Gururaj, K Nisal, Q Davies, S Deen, P G McNally
{"title":"卵巢肿瘤引起的异位催乳素分泌。","authors":"Sowmya Gururaj,&nbsp;K Nisal,&nbsp;Q Davies,&nbsp;S Deen,&nbsp;P G McNally","doi":"10.1530/EDM-13-0016","DOIUrl":null,"url":null,"abstract":"<p><strong>Unlabelled: </strong>Ectopic hormone secretion is a well-recognised phenomenon; however, ectopic prolactin secretion is exceptionally rare. Hoffman and colleagues reported the first ever well-documented case of ectopic prolactin secretion secondary to a gonadoblastoma. We report a lady who presented with galactorrhoea and a large ovarian tumour that was found to secrete high levels of prolactin.</p><p><strong>Learning points: </strong>Aim of this case report is to highlight the occurrence of this condition.Lack of awareness can often lead to a diagnostic conundrum.</p>","PeriodicalId":520608,"journal":{"name":"Endocrinology, diabetes & metabolism case reports","volume":" ","pages":"130016"},"PeriodicalIF":0.7000,"publicationDate":"2013-01-01","publicationTypes":"Journal Article","fieldsOfStudy":null,"isOpenAccess":false,"openAccessPdf":"https://www.ncbi.nlm.nih.gov/pmc/articles/PMC3922040/pdf/","citationCount":"5","resultStr":"{\"title\":\"Ectopic prolactin secretion secondary to an ovarian tumour.\",\"authors\":\"Sowmya Gururaj,&nbsp;K Nisal,&nbsp;Q Davies,&nbsp;S Deen,&nbsp;P G McNally\",\"doi\":\"10.1530/EDM-13-0016\",\"DOIUrl\":null,\"url\":null,\"abstract\":\"<p><strong>Unlabelled: </strong>Ectopic hormone secretion is a well-recognised phenomenon; however, ectopic prolactin secretion is exceptionally rare. Hoffman and colleagues reported the first ever well-documented case of ectopic prolactin secretion secondary to a gonadoblastoma. We report a lady who presented with galactorrhoea and a large ovarian tumour that was found to secrete high levels of prolactin.</p><p><strong>Learning points: </strong>Aim of this case report is to highlight the occurrence of this condition.Lack of awareness can often lead to a diagnostic conundrum.</p>\",\"PeriodicalId\":520608,\"journal\":{\"name\":\"Endocrinology, diabetes & metabolism case reports\",\"volume\":\" \",\"pages\":\"130016\"},\"PeriodicalIF\":0.7000,\"publicationDate\":\"2013-01-01\",\"publicationTypes\":\"Journal Article\",\"fieldsOfStudy\":null,\"isOpenAccess\":false,\"openAccessPdf\":\"https://www.ncbi.nlm.nih.gov/pmc/articles/PMC3922040/pdf/\",\"citationCount\":\"5\",\"resultStr\":null,\"platform\":\"Semanticscholar\",\"paperid\":null,\"PeriodicalName\":\"Endocrinology, diabetes & metabolism case reports\",\"FirstCategoryId\":\"1085\",\"ListUrlMain\":\"https://doi.org/10.1530/EDM-13-0016\",\"RegionNum\":0,\"RegionCategory\":null,\"ArticlePicture\":[],\"TitleCN\":null,\"AbstractTextCN\":null,\"PMCID\":null,\"EPubDate\":\"2013/8/30 0:00:00\",\"PubModel\":\"Epub\",\"JCR\":\"\",\"JCRName\":\"\",\"Score\":null,\"Total\":0}","platform":"Semanticscholar","paperid":null,"PeriodicalName":"Endocrinology, diabetes & metabolism case reports","FirstCategoryId":"1085","ListUrlMain":"https://doi.org/10.1530/EDM-13-0016","RegionNum":0,"RegionCategory":null,"ArticlePicture":[],"TitleCN":null,"AbstractTextCN":null,"PMCID":null,"EPubDate":"2013/8/30 0:00:00","PubModel":"Epub","JCR":"","JCRName":"","Score":null,"Total":0}
引用次数: 5

摘要

未标记:异位激素分泌是一种公认的现象;然而,异位催乳素分泌是非常罕见的。Hoffman和他的同事报道了第一例有充分证据的异位催乳素分泌继发于性腺母细胞瘤的病例。我们报告一位女士谁提出了乳溢和一个大的卵巢肿瘤,被发现分泌高水平的催乳素。学习要点:本病例报告的目的是强调这种情况的发生。缺乏意识往往会导致诊断难题。
本文章由计算机程序翻译,如有差异,请以英文原文为准。

Ectopic prolactin secretion secondary to an ovarian tumour.

Ectopic prolactin secretion secondary to an ovarian tumour.

Ectopic prolactin secretion secondary to an ovarian tumour.

Ectopic prolactin secretion secondary to an ovarian tumour.

Unlabelled: Ectopic hormone secretion is a well-recognised phenomenon; however, ectopic prolactin secretion is exceptionally rare. Hoffman and colleagues reported the first ever well-documented case of ectopic prolactin secretion secondary to a gonadoblastoma. We report a lady who presented with galactorrhoea and a large ovarian tumour that was found to secrete high levels of prolactin.

Learning points: Aim of this case report is to highlight the occurrence of this condition.Lack of awareness can often lead to a diagnostic conundrum.

求助全文
通过发布文献求助,成功后即可免费获取论文全文。 去求助
来源期刊
自引率
0.00%
发文量
0
×
引用
GB/T 7714-2015
复制
MLA
复制
APA
复制
导出至
BibTeX EndNote RefMan NoteFirst NoteExpress
×
提示
您的信息不完整,为了账户安全,请先补充。
现在去补充
×
提示
您因"违规操作"
具体请查看互助需知
我知道了
×
提示
确定
请完成安全验证×
copy
已复制链接
快去分享给好友吧!
我知道了
右上角分享
点击右上角分享
0
联系我们:info@booksci.cn Book学术提供免费学术资源搜索服务,方便国内外学者检索中英文文献。致力于提供最便捷和优质的服务体验。 Copyright © 2023 布克学术 All rights reserved.
京ICP备2023020795号-1
ghs 京公网安备 11010802042870号
Book学术文献互助
Book学术文献互助群
群 号:604180095
Book学术官方微信