以胃肠道穿孔为表现的库欣病1例

IF 0.7
Takuma Hara, Hiroyoshi Akutsu, Tetsuya Yamamoto, Eiichi Ishikawa, Masahide Matsuda, Akira Matsumura
{"title":"以胃肠道穿孔为表现的库欣病1例","authors":"Takuma Hara,&nbsp;Hiroyoshi Akutsu,&nbsp;Tetsuya Yamamoto,&nbsp;Eiichi Ishikawa,&nbsp;Masahide Matsuda,&nbsp;Akira Matsumura","doi":"10.1530/EDM-13-0064","DOIUrl":null,"url":null,"abstract":"<p><strong>Unlabelled: </strong>Gastrointestinal perforation is a complication associated with steroid therapy or hypercortisolism, but it is rarely observed in patients with Cushing's disease in clinical practice, and only one case has been reported as a presenting symptom. Herein, we report a rare case of Cushing's disease in which a patient presented with gastrointestinal perforation as a symptom. A 79-year-old man complained of discomfort in the lower abdomen for 6 months. Based on the endocrinological and gastroenterological examinations, he was diagnosed with Cushing's disease with a perforation of the descending colon. After consultation with a gastroenterological surgeon, it was decided that colonic perforation could be conservatively observed without any oral intake and treated with parenteral administration of antibiotics because of the mild systemic inflammation and lack of abdominal guarding. Despite the marked elevated levels of serum cortisol, oral medication was not an option because of colonic perforation. Therefore, the patient was submitted to endonasal adenomectomy to normalize the levels of serum cortisol. Subsequently, a colostomy was successfully performed. Despite its rarity, physicians should be aware that gastrointestinal perforation may be associated with hypercortisolism, especially in elderly patients, and immediate diagnosis and treatment of this life-threatening condition are essential. If a perforation can be conservatively observed, endonasal adenomectomy prior to laparotomy is an alternative treatment option for hypercortisolism.</p><p><strong>Learning points: </strong>Thus far, only one case of gastrointestinal perforation as a presenting clinical symptom of Cushing's disease has been reported.Physicians should be aware that gastrointestinal perforation might be associated with hypercortisolism in elderly patients because elevated levels of serum cortisol may mask the clinical signs of perforation. Because of this masking effect, the diagnosis of the perforation also tends to be delayed.Although parenteral administration of etomidate is a standard treatment option for decreasing the elevated levels of serum cortisol, endonasal adenomectomy prior to laparotomy is an alternative treatment option if etomidate therapy is unavailable.</p>","PeriodicalId":520608,"journal":{"name":"Endocrinology, diabetes & metabolism case reports","volume":" ","pages":"130064"},"PeriodicalIF":0.7000,"publicationDate":"2013-01-01","publicationTypes":"Journal Article","fieldsOfStudy":null,"isOpenAccess":false,"openAccessPdf":"https://www.ncbi.nlm.nih.gov/pmc/articles/PMC3922247/pdf/","citationCount":"7","resultStr":"{\"title\":\"Cushing's disease presenting with gastrointestinal perforation: a case report.\",\"authors\":\"Takuma Hara,&nbsp;Hiroyoshi Akutsu,&nbsp;Tetsuya Yamamoto,&nbsp;Eiichi Ishikawa,&nbsp;Masahide Matsuda,&nbsp;Akira Matsumura\",\"doi\":\"10.1530/EDM-13-0064\",\"DOIUrl\":null,\"url\":null,\"abstract\":\"<p><strong>Unlabelled: </strong>Gastrointestinal perforation is a complication associated with steroid therapy or hypercortisolism, but it is rarely observed in patients with Cushing's disease in clinical practice, and only one case has been reported as a presenting symptom. Herein, we report a rare case of Cushing's disease in which a patient presented with gastrointestinal perforation as a symptom. A 79-year-old man complained of discomfort in the lower abdomen for 6 months. Based on the endocrinological and gastroenterological examinations, he was diagnosed with Cushing's disease with a perforation of the descending colon. After consultation with a gastroenterological surgeon, it was decided that colonic perforation could be conservatively observed without any oral intake and treated with parenteral administration of antibiotics because of the mild systemic inflammation and lack of abdominal guarding. Despite the marked elevated levels of serum cortisol, oral medication was not an option because of colonic perforation. Therefore, the patient was submitted to endonasal adenomectomy to normalize the levels of serum cortisol. Subsequently, a colostomy was successfully performed. Despite its rarity, physicians should be aware that gastrointestinal perforation may be associated with hypercortisolism, especially in elderly patients, and immediate diagnosis and treatment of this life-threatening condition are essential. If a perforation can be conservatively observed, endonasal adenomectomy prior to laparotomy is an alternative treatment option for hypercortisolism.</p><p><strong>Learning points: </strong>Thus far, only one case of gastrointestinal perforation as a presenting clinical symptom of Cushing's disease has been reported.Physicians should be aware that gastrointestinal perforation might be associated with hypercortisolism in elderly patients because elevated levels of serum cortisol may mask the clinical signs of perforation. Because of this masking effect, the diagnosis of the perforation also tends to be delayed.Although parenteral administration of etomidate is a standard treatment option for decreasing the elevated levels of serum cortisol, endonasal adenomectomy prior to laparotomy is an alternative treatment option if etomidate therapy is unavailable.</p>\",\"PeriodicalId\":520608,\"journal\":{\"name\":\"Endocrinology, diabetes & metabolism case reports\",\"volume\":\" \",\"pages\":\"130064\"},\"PeriodicalIF\":0.7000,\"publicationDate\":\"2013-01-01\",\"publicationTypes\":\"Journal Article\",\"fieldsOfStudy\":null,\"isOpenAccess\":false,\"openAccessPdf\":\"https://www.ncbi.nlm.nih.gov/pmc/articles/PMC3922247/pdf/\",\"citationCount\":\"7\",\"resultStr\":null,\"platform\":\"Semanticscholar\",\"paperid\":null,\"PeriodicalName\":\"Endocrinology, diabetes & metabolism case reports\",\"FirstCategoryId\":\"1085\",\"ListUrlMain\":\"https://doi.org/10.1530/EDM-13-0064\",\"RegionNum\":0,\"RegionCategory\":null,\"ArticlePicture\":[],\"TitleCN\":null,\"AbstractTextCN\":null,\"PMCID\":null,\"EPubDate\":\"2013/11/18 0:00:00\",\"PubModel\":\"Epub\",\"JCR\":\"\",\"JCRName\":\"\",\"Score\":null,\"Total\":0}","platform":"Semanticscholar","paperid":null,"PeriodicalName":"Endocrinology, diabetes & metabolism case reports","FirstCategoryId":"1085","ListUrlMain":"https://doi.org/10.1530/EDM-13-0064","RegionNum":0,"RegionCategory":null,"ArticlePicture":[],"TitleCN":null,"AbstractTextCN":null,"PMCID":null,"EPubDate":"2013/11/18 0:00:00","PubModel":"Epub","JCR":"","JCRName":"","Score":null,"Total":0}
引用次数: 7

摘要

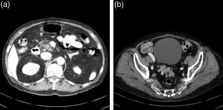
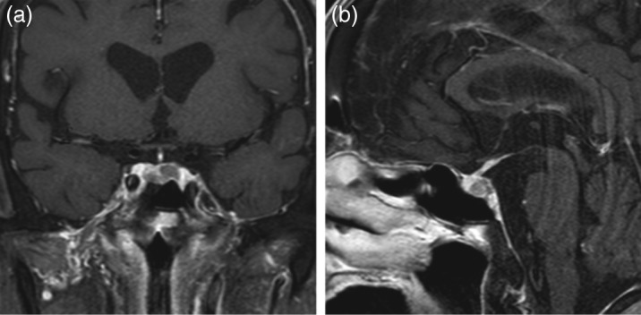
未标记:胃肠道穿孔是与类固醇治疗或高皮质醇血症相关的并发症,但在临床实践中很少在库欣病患者中观察到,只有一例被报道为首发症状。在此,我们报告一个罕见的病例库欣病,其中一个病人提出胃肠道穿孔作为症状。男,79岁,自诉下腹不适6个月。根据内分泌和胃肠检查,他被诊断为库欣病,伴有降结肠穿孔。在与胃肠外科医生会诊后,由于轻度全身性炎症和缺乏腹部保护,决定结肠穿孔可以保守观察,不需要任何口服摄入,并通过肠外给药抗生素治疗。尽管血清皮质醇水平明显升高,但由于结肠穿孔,口服药物不是一种选择。因此,患者接受鼻内腺瘤切除术以使血清皮质醇水平正常化。随后,成功进行了结肠造口术。尽管罕见,但医生应该意识到胃肠道穿孔可能与高皮质醇血症有关,特别是在老年患者中,立即诊断和治疗这种危及生命的疾病是至关重要的。如果穿孔可以保守地观察到,在剖腹手术前进行鼻内腺瘤切除术是高皮质醇症的另一种治疗选择。学习要点:迄今为止,仅报道了一例胃肠道穿孔作为库欣病的临床表现。医生应该意识到胃肠道穿孔可能与老年患者高皮质醇血症有关,因为血清皮质醇水平升高可能掩盖穿孔的临床症状。由于这种掩蔽效应,穿孔的诊断也往往延迟。虽然肠外给药依托咪酯是降低血清皮质醇升高水平的标准治疗选择,但如果没有依托咪酯治疗,剖腹手术前鼻内腺瘤切除术是另一种治疗选择。
本文章由计算机程序翻译,如有差异,请以英文原文为准。

Cushing's disease presenting with gastrointestinal perforation: a case report.

Cushing's disease presenting with gastrointestinal perforation: a case report.

Cushing's disease presenting with gastrointestinal perforation: a case report.

Cushing's disease presenting with gastrointestinal perforation: a case report.

Unlabelled: Gastrointestinal perforation is a complication associated with steroid therapy or hypercortisolism, but it is rarely observed in patients with Cushing's disease in clinical practice, and only one case has been reported as a presenting symptom. Herein, we report a rare case of Cushing's disease in which a patient presented with gastrointestinal perforation as a symptom. A 79-year-old man complained of discomfort in the lower abdomen for 6 months. Based on the endocrinological and gastroenterological examinations, he was diagnosed with Cushing's disease with a perforation of the descending colon. After consultation with a gastroenterological surgeon, it was decided that colonic perforation could be conservatively observed without any oral intake and treated with parenteral administration of antibiotics because of the mild systemic inflammation and lack of abdominal guarding. Despite the marked elevated levels of serum cortisol, oral medication was not an option because of colonic perforation. Therefore, the patient was submitted to endonasal adenomectomy to normalize the levels of serum cortisol. Subsequently, a colostomy was successfully performed. Despite its rarity, physicians should be aware that gastrointestinal perforation may be associated with hypercortisolism, especially in elderly patients, and immediate diagnosis and treatment of this life-threatening condition are essential. If a perforation can be conservatively observed, endonasal adenomectomy prior to laparotomy is an alternative treatment option for hypercortisolism.

Learning points: Thus far, only one case of gastrointestinal perforation as a presenting clinical symptom of Cushing's disease has been reported.Physicians should be aware that gastrointestinal perforation might be associated with hypercortisolism in elderly patients because elevated levels of serum cortisol may mask the clinical signs of perforation. Because of this masking effect, the diagnosis of the perforation also tends to be delayed.Although parenteral administration of etomidate is a standard treatment option for decreasing the elevated levels of serum cortisol, endonasal adenomectomy prior to laparotomy is an alternative treatment option if etomidate therapy is unavailable.

求助全文
通过发布文献求助,成功后即可免费获取论文全文。 去求助
来源期刊
自引率
0.00%
发文量
0
×
引用
GB/T 7714-2015
复制
MLA
复制
APA
复制
导出至
BibTeX EndNote RefMan NoteFirst NoteExpress
×
提示
您的信息不完整,为了账户安全,请先补充。
现在去补充
×
提示
您因"违规操作"
具体请查看互助需知
我知道了
×
提示
确定
请完成安全验证×
copy
已复制链接
快去分享给好友吧!
我知道了
右上角分享
点击右上角分享
0
联系我们:info@booksci.cn Book学术提供免费学术资源搜索服务,方便国内外学者检索中英文文献。致力于提供最便捷和优质的服务体验。 Copyright © 2023 布克学术 All rights reserved.
京ICP备2023020795号-1
ghs 京公网安备 11010802042870号
Book学术文献互助
Book学术文献互助群
群 号:604180095
Book学术官方微信