肾上腺良性腺瘤分泌过量的糖皮质激素和矿化皮质激素。

IF 0.7
Vivienne Yoon, Aliya Heyliger, Takashi Maekawa, Hironobu Sasano, Kelley Carrick, Stacey Woodruff, Jennifer Rabaglia, Richard J Auchus, Hans K Ghayee
{"title":"肾上腺良性腺瘤分泌过量的糖皮质激素和矿化皮质激素。","authors":"Vivienne Yoon,&nbsp;Aliya Heyliger,&nbsp;Takashi Maekawa,&nbsp;Hironobu Sasano,&nbsp;Kelley Carrick,&nbsp;Stacey Woodruff,&nbsp;Jennifer Rabaglia,&nbsp;Richard J Auchus,&nbsp;Hans K Ghayee","doi":"10.1530/EDM-13-0042","DOIUrl":null,"url":null,"abstract":"<p><strong>Objective: </strong>To recognize that benign adrenal adenomas can co-secrete excess aldosterone and cortisol, which can change clinical management.</p><p><strong>Methods: </strong>We reviewed the clinical and histological features of an adrenal tumor co-secreting aldosterone and cortisol in a patient. Biochemical testing as well as postoperative immunohistochemistry was carried out on tissue samples for assessing enzymes involved in steroidogenesis.</p><p><strong>Results: </strong>A patient presented with hypertension, hypokalemia, and symptoms related to hypercortisolism. The case demonstrated suppressed renin concentrations with an elevated aldosterone:renin ratio, abnormal dexamethasone suppression test results, and elevated midnight salivary cortisol concentrations. The patient had a right adrenal nodule with autonomous cortisol production and interval growth. Right adrenalectomy was carried out. Postoperatively, the patient tolerated the surgery, but he was placed on a short course of steroid replacement given a subnormal postoperative serum cortisol concentration. Long-term follow-up of the patient showed that his blood pressure and glucose levels had improved. Histopathology slides showed positive staining for 3β-hydroxysteroid dehydrogenase, 11β-hydroxylase, and 21 hydroxylase.</p><p><strong>Conclusion: </strong>In addition to the clinical manifestations and laboratory values, the presence of these enzymes in this type of tumor provides support that the tumor in this patient was able to produce mineralocorticoids and glucocorticoids. The recognition of patients with a tumor that is co-secreting aldosterone and cortisol can affect decisions to treat with glucocorticoids perioperatively to avoid adrenal crisis.</p><p><strong>Learning points: </strong>Recognition of the presence of adrenal adenomas co-secreting mineralocorticoids and glucocorticoids.Consideration for perioperative and postoperative glucocorticoid use in the treatment of co-secreting adrenal adenomas.</p>","PeriodicalId":520608,"journal":{"name":"Endocrinology, diabetes & metabolism case reports","volume":" ","pages":"130042"},"PeriodicalIF":0.7000,"publicationDate":"2013-01-01","publicationTypes":"Journal Article","fieldsOfStudy":null,"isOpenAccess":false,"openAccessPdf":"https://www.ncbi.nlm.nih.gov/pmc/articles/PMC3922398/pdf/","citationCount":"14","resultStr":"{\"title\":\"Benign adrenal adenomas secreting excess mineralocorticoids and glucocorticoids.\",\"authors\":\"Vivienne Yoon,&nbsp;Aliya Heyliger,&nbsp;Takashi Maekawa,&nbsp;Hironobu Sasano,&nbsp;Kelley Carrick,&nbsp;Stacey Woodruff,&nbsp;Jennifer Rabaglia,&nbsp;Richard J Auchus,&nbsp;Hans K Ghayee\",\"doi\":\"10.1530/EDM-13-0042\",\"DOIUrl\":null,\"url\":null,\"abstract\":\"<p><strong>Objective: </strong>To recognize that benign adrenal adenomas can co-secrete excess aldosterone and cortisol, which can change clinical management.</p><p><strong>Methods: </strong>We reviewed the clinical and histological features of an adrenal tumor co-secreting aldosterone and cortisol in a patient. Biochemical testing as well as postoperative immunohistochemistry was carried out on tissue samples for assessing enzymes involved in steroidogenesis.</p><p><strong>Results: </strong>A patient presented with hypertension, hypokalemia, and symptoms related to hypercortisolism. The case demonstrated suppressed renin concentrations with an elevated aldosterone:renin ratio, abnormal dexamethasone suppression test results, and elevated midnight salivary cortisol concentrations. The patient had a right adrenal nodule with autonomous cortisol production and interval growth. Right adrenalectomy was carried out. Postoperatively, the patient tolerated the surgery, but he was placed on a short course of steroid replacement given a subnormal postoperative serum cortisol concentration. Long-term follow-up of the patient showed that his blood pressure and glucose levels had improved. Histopathology slides showed positive staining for 3β-hydroxysteroid dehydrogenase, 11β-hydroxylase, and 21 hydroxylase.</p><p><strong>Conclusion: </strong>In addition to the clinical manifestations and laboratory values, the presence of these enzymes in this type of tumor provides support that the tumor in this patient was able to produce mineralocorticoids and glucocorticoids. The recognition of patients with a tumor that is co-secreting aldosterone and cortisol can affect decisions to treat with glucocorticoids perioperatively to avoid adrenal crisis.</p><p><strong>Learning points: </strong>Recognition of the presence of adrenal adenomas co-secreting mineralocorticoids and glucocorticoids.Consideration for perioperative and postoperative glucocorticoid use in the treatment of co-secreting adrenal adenomas.</p>\",\"PeriodicalId\":520608,\"journal\":{\"name\":\"Endocrinology, diabetes & metabolism case reports\",\"volume\":\" \",\"pages\":\"130042\"},\"PeriodicalIF\":0.7000,\"publicationDate\":\"2013-01-01\",\"publicationTypes\":\"Journal Article\",\"fieldsOfStudy\":null,\"isOpenAccess\":false,\"openAccessPdf\":\"https://www.ncbi.nlm.nih.gov/pmc/articles/PMC3922398/pdf/\",\"citationCount\":\"14\",\"resultStr\":null,\"platform\":\"Semanticscholar\",\"paperid\":null,\"PeriodicalName\":\"Endocrinology, diabetes & metabolism case reports\",\"FirstCategoryId\":\"1085\",\"ListUrlMain\":\"https://doi.org/10.1530/EDM-13-0042\",\"RegionNum\":0,\"RegionCategory\":null,\"ArticlePicture\":[],\"TitleCN\":null,\"AbstractTextCN\":null,\"PMCID\":null,\"EPubDate\":\"2013/9/23 0:00:00\",\"PubModel\":\"Epub\",\"JCR\":\"\",\"JCRName\":\"\",\"Score\":null,\"Total\":0}","platform":"Semanticscholar","paperid":null,"PeriodicalName":"Endocrinology, diabetes & metabolism case reports","FirstCategoryId":"1085","ListUrlMain":"https://doi.org/10.1530/EDM-13-0042","RegionNum":0,"RegionCategory":null,"ArticlePicture":[],"TitleCN":null,"AbstractTextCN":null,"PMCID":null,"EPubDate":"2013/9/23 0:00:00","PubModel":"Epub","JCR":"","JCRName":"","Score":null,"Total":0}
引用次数: 14

摘要

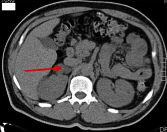
目的:认识到良性肾上腺腺瘤可共同分泌过量的醛固酮和皮质醇,从而改变临床治疗。方法:我们回顾了一例肾上腺肿瘤共分泌醛固酮和皮质醇的临床和组织学特征。对组织样本进行生化测试和术后免疫组织化学,以评估参与类固醇生成的酶。结果:患者表现为高血压、低钾血症和高皮质醇血症相关症状。该病例表现为肾素浓度受抑制,醛固酮:肾素比值升高,地塞米松抑制试验结果异常,午夜唾液皮质醇浓度升高。患者右侧肾上腺结节具有自主皮质醇生成和间期生长。行右侧肾上腺切除术。术后,患者耐受手术,但由于术后血清皮质醇浓度低于正常水平,他接受了短期类固醇替代治疗。对患者的长期随访表明,他的血压和血糖水平有所改善。组织病理学切片显示3β-羟基类固醇脱氢酶、11β-羟化酶和21羟化酶染色阳性。结论:除了临床表现和实验室值外,这些酶在该类型肿瘤中的存在为该患者的肿瘤能够产生矿皮质激素和糖皮质激素提供了支持。肿瘤患者共同分泌醛固酮和皮质醇的识别可以影响围手术期使用糖皮质激素治疗以避免肾上腺危机的决定。学习要点:认识肾上腺腺瘤的存在,共同分泌矿皮质激素和糖皮质激素。肾上腺共分泌腺瘤围手术期及术后糖皮质激素使用的考虑。
本文章由计算机程序翻译,如有差异,请以英文原文为准。

Benign adrenal adenomas secreting excess mineralocorticoids and glucocorticoids.

Benign adrenal adenomas secreting excess mineralocorticoids and glucocorticoids.

Benign adrenal adenomas secreting excess mineralocorticoids and glucocorticoids.

Benign adrenal adenomas secreting excess mineralocorticoids and glucocorticoids.

Objective: To recognize that benign adrenal adenomas can co-secrete excess aldosterone and cortisol, which can change clinical management.

Methods: We reviewed the clinical and histological features of an adrenal tumor co-secreting aldosterone and cortisol in a patient. Biochemical testing as well as postoperative immunohistochemistry was carried out on tissue samples for assessing enzymes involved in steroidogenesis.

Results: A patient presented with hypertension, hypokalemia, and symptoms related to hypercortisolism. The case demonstrated suppressed renin concentrations with an elevated aldosterone:renin ratio, abnormal dexamethasone suppression test results, and elevated midnight salivary cortisol concentrations. The patient had a right adrenal nodule with autonomous cortisol production and interval growth. Right adrenalectomy was carried out. Postoperatively, the patient tolerated the surgery, but he was placed on a short course of steroid replacement given a subnormal postoperative serum cortisol concentration. Long-term follow-up of the patient showed that his blood pressure and glucose levels had improved. Histopathology slides showed positive staining for 3β-hydroxysteroid dehydrogenase, 11β-hydroxylase, and 21 hydroxylase.

Conclusion: In addition to the clinical manifestations and laboratory values, the presence of these enzymes in this type of tumor provides support that the tumor in this patient was able to produce mineralocorticoids and glucocorticoids. The recognition of patients with a tumor that is co-secreting aldosterone and cortisol can affect decisions to treat with glucocorticoids perioperatively to avoid adrenal crisis.

Learning points: Recognition of the presence of adrenal adenomas co-secreting mineralocorticoids and glucocorticoids.Consideration for perioperative and postoperative glucocorticoid use in the treatment of co-secreting adrenal adenomas.

求助全文
通过发布文献求助,成功后即可免费获取论文全文。 去求助
来源期刊
自引率
0.00%
发文量
0
×
引用
GB/T 7714-2015
复制
MLA
复制
APA
复制
导出至
BibTeX EndNote RefMan NoteFirst NoteExpress
×
提示
您的信息不完整,为了账户安全,请先补充。
现在去补充
×
提示
您因"违规操作"
具体请查看互助需知
我知道了
×
提示
确定
请完成安全验证×
copy
已复制链接
快去分享给好友吧!
我知道了
右上角分享
点击右上角分享
0
联系我们:info@booksci.cn Book学术提供免费学术资源搜索服务,方便国内外学者检索中英文文献。致力于提供最便捷和优质的服务体验。 Copyright © 2023 布克学术 All rights reserved.
京ICP备2023020795号-1
ghs 京公网安备 11010802042870号
Book学术文献互助
Book学术文献互助群
群 号:604180095
Book学术官方微信