经皮肌性室间隔缺损闭合与二维经胸超声心动图:我们能充分地看到它吗?

Deniz Mutlu, Konstantinos Marmagkiolis, Cezar A Iliescu, Ismail Ates, Mehmet Cilingiroglu
{"title":"经皮肌性室间隔缺损闭合与二维经胸超声心动图:我们能充分地看到它吗?","authors":"Deniz Mutlu,&nbsp;Konstantinos Marmagkiolis,&nbsp;Cezar A Iliescu,&nbsp;Ismail Ates,&nbsp;Mehmet Cilingiroglu","doi":"10.5152/eurasianjmed.2021.20131","DOIUrl":null,"url":null,"abstract":"<p><p>Ventricular septal defect (VSD) is one of the most common congenital heart diseases worldwide today. Although the majority close spontaneously, transcatheter VSD closure is a common option for symptomatic patients with suitable anatomy in adult age. Although transesophageal echocardiography (TEE) and intracardiac echocardiography are the most common imaging modalities for the procedure, in patients with poor TEE images, Transthoracic echocardiography (TTE) can be used as a reliable alternative. Here we present an adult patient with pulmonary hypertension associated with a muscular VSD which was closed percutaneously using 2-dimensional TTE because of poor TEE images.</p>","PeriodicalId":517142,"journal":{"name":"The Eurasian Journal of Medicine","volume":" ","pages":"144-147"},"PeriodicalIF":0.0000,"publicationDate":"2021-06-01","publicationTypes":"Journal Article","fieldsOfStudy":null,"isOpenAccess":false,"openAccessPdf":"https://www.ncbi.nlm.nih.gov/pmc/articles/PMC8184039/pdf/","citationCount":"0","resultStr":"{\"title\":\"Percutaneous Muscular Ventricular Septal Defect Closure with 2D Transthoracic Echocardiography: Can We Sufficiently Visualize It?\",\"authors\":\"Deniz Mutlu,&nbsp;Konstantinos Marmagkiolis,&nbsp;Cezar A Iliescu,&nbsp;Ismail Ates,&nbsp;Mehmet Cilingiroglu\",\"doi\":\"10.5152/eurasianjmed.2021.20131\",\"DOIUrl\":null,\"url\":null,\"abstract\":\"<p><p>Ventricular septal defect (VSD) is one of the most common congenital heart diseases worldwide today. Although the majority close spontaneously, transcatheter VSD closure is a common option for symptomatic patients with suitable anatomy in adult age. Although transesophageal echocardiography (TEE) and intracardiac echocardiography are the most common imaging modalities for the procedure, in patients with poor TEE images, Transthoracic echocardiography (TTE) can be used as a reliable alternative. Here we present an adult patient with pulmonary hypertension associated with a muscular VSD which was closed percutaneously using 2-dimensional TTE because of poor TEE images.</p>\",\"PeriodicalId\":517142,\"journal\":{\"name\":\"The Eurasian Journal of Medicine\",\"volume\":\" \",\"pages\":\"144-147\"},\"PeriodicalIF\":0.0000,\"publicationDate\":\"2021-06-01\",\"publicationTypes\":\"Journal Article\",\"fieldsOfStudy\":null,\"isOpenAccess\":false,\"openAccessPdf\":\"https://www.ncbi.nlm.nih.gov/pmc/articles/PMC8184039/pdf/\",\"citationCount\":\"0\",\"resultStr\":null,\"platform\":\"Semanticscholar\",\"paperid\":null,\"PeriodicalName\":\"The Eurasian Journal of Medicine\",\"FirstCategoryId\":\"1085\",\"ListUrlMain\":\"https://doi.org/10.5152/eurasianjmed.2021.20131\",\"RegionNum\":0,\"RegionCategory\":null,\"ArticlePicture\":[],\"TitleCN\":null,\"AbstractTextCN\":null,\"PMCID\":null,\"EPubDate\":\"\",\"PubModel\":\"\",\"JCR\":\"\",\"JCRName\":\"\",\"Score\":null,\"Total\":0}","platform":"Semanticscholar","paperid":null,"PeriodicalName":"The Eurasian Journal of Medicine","FirstCategoryId":"1085","ListUrlMain":"https://doi.org/10.5152/eurasianjmed.2021.20131","RegionNum":0,"RegionCategory":null,"ArticlePicture":[],"TitleCN":null,"AbstractTextCN":null,"PMCID":null,"EPubDate":"","PubModel":"","JCR":"","JCRName":"","Score":null,"Total":0}
引用次数: 0

摘要

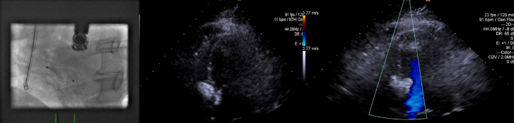
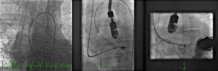
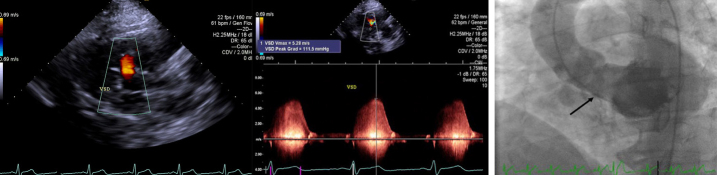
室间隔缺损(VSD)是当今世界上最常见的先天性心脏病之一。虽然大多数是自发关闭,经导管室间隔关闭是一种常见的选择,有症状的患者在成年合适的解剖结构。虽然经食管超声心动图(TEE)和心内超声心动图是该手术最常见的成像方式,但在TEE图像不佳的患者中,经胸超声心动图(TTE)可作为可靠的替代方法。在这里,我们报告了一例肺动脉高压合并肌肉性室间隔缺损的成年患者,由于TEE图像不佳,经皮采用二维TTE缝合。
本文章由计算机程序翻译,如有差异,请以英文原文为准。

Percutaneous Muscular Ventricular Septal Defect Closure with 2D Transthoracic Echocardiography: Can We Sufficiently Visualize It?

Percutaneous Muscular Ventricular Septal Defect Closure with 2D Transthoracic Echocardiography: Can We Sufficiently Visualize It?

Percutaneous Muscular Ventricular Septal Defect Closure with 2D Transthoracic Echocardiography: Can We Sufficiently Visualize It?

Percutaneous Muscular Ventricular Septal Defect Closure with 2D Transthoracic Echocardiography: Can We Sufficiently Visualize It?

Ventricular septal defect (VSD) is one of the most common congenital heart diseases worldwide today. Although the majority close spontaneously, transcatheter VSD closure is a common option for symptomatic patients with suitable anatomy in adult age. Although transesophageal echocardiography (TEE) and intracardiac echocardiography are the most common imaging modalities for the procedure, in patients with poor TEE images, Transthoracic echocardiography (TTE) can be used as a reliable alternative. Here we present an adult patient with pulmonary hypertension associated with a muscular VSD which was closed percutaneously using 2-dimensional TTE because of poor TEE images.

求助全文
通过发布文献求助,成功后即可免费获取论文全文。 去求助
来源期刊
自引率
0.00%
发文量
0
×
引用
GB/T 7714-2015
复制
MLA
复制
APA
复制
导出至
BibTeX EndNote RefMan NoteFirst NoteExpress
×
提示
您的信息不完整,为了账户安全,请先补充。
现在去补充
×
提示
您因"违规操作"
具体请查看互助需知
我知道了
×
提示
确定
请完成安全验证×
copy
已复制链接
快去分享给好友吧!
我知道了
右上角分享
点击右上角分享
0
联系我们:info@booksci.cn Book学术提供免费学术资源搜索服务,方便国内外学者检索中英文文献。致力于提供最便捷和优质的服务体验。 Copyright © 2023 布克学术 All rights reserved.
京ICP备2023020795号-1
ghs 京公网安备 11010802042870号
Book学术文献互助
Book学术文献互助群
群 号:604180095
Book学术官方微信