异位肾模拟阑尾脓肿。

Nigerian Journal of Surgery Pub Date : 2021-01-01 Epub Date: 2021-03-09 DOI:10.4103/njs.NJS_49_19
Danny Darlington Carbin Joseph, Jagatheswaran Chinnathambi, Arunkumar Jamburaj
{"title":"异位肾模拟阑尾脓肿。","authors":"Danny Darlington Carbin Joseph,&nbsp;Jagatheswaran Chinnathambi,&nbsp;Arunkumar Jamburaj","doi":"10.4103/njs.NJS_49_19","DOIUrl":null,"url":null,"abstract":"<p><p>Ectopic kidney is a congenital anomaly of renal position, which is commonly asymptomatic. Symptoms arising from pelvic kidneys can closely mimic pathological processes of nearby organs and vice versa. We report an 18-year-old girl who presented with acute onset of a painful lump in the right iliac fossa. Although the clinical features mimicked an appendicular abscess, the judicious use of cross-sectional imaging aided in the proper diagnosis. Pyonephrosis of a right-sided lumbar kidney was confirmed on further imaging and nephrectomy was performed. This case has been presented to highlight the significance of renal imaging in patients suspected of an appendicular abscess.</p>","PeriodicalId":30399,"journal":{"name":"Nigerian Journal of Surgery","volume":"27 1","pages":"63-65"},"PeriodicalIF":0.0000,"publicationDate":"2021-01-01","publicationTypes":"Journal Article","fieldsOfStudy":null,"isOpenAccess":false,"openAccessPdf":"https://ftp.ncbi.nlm.nih.gov/pub/pmc/oa_pdf/ff/f3/NJS-27-63.PMC8112366.pdf","citationCount":"0","resultStr":"{\"title\":\"Ectopic Kidney Mimicking Appendicular Abscess.\",\"authors\":\"Danny Darlington Carbin Joseph,&nbsp;Jagatheswaran Chinnathambi,&nbsp;Arunkumar Jamburaj\",\"doi\":\"10.4103/njs.NJS_49_19\",\"DOIUrl\":null,\"url\":null,\"abstract\":\"<p><p>Ectopic kidney is a congenital anomaly of renal position, which is commonly asymptomatic. Symptoms arising from pelvic kidneys can closely mimic pathological processes of nearby organs and vice versa. We report an 18-year-old girl who presented with acute onset of a painful lump in the right iliac fossa. Although the clinical features mimicked an appendicular abscess, the judicious use of cross-sectional imaging aided in the proper diagnosis. Pyonephrosis of a right-sided lumbar kidney was confirmed on further imaging and nephrectomy was performed. This case has been presented to highlight the significance of renal imaging in patients suspected of an appendicular abscess.</p>\",\"PeriodicalId\":30399,\"journal\":{\"name\":\"Nigerian Journal of Surgery\",\"volume\":\"27 1\",\"pages\":\"63-65\"},\"PeriodicalIF\":0.0000,\"publicationDate\":\"2021-01-01\",\"publicationTypes\":\"Journal Article\",\"fieldsOfStudy\":null,\"isOpenAccess\":false,\"openAccessPdf\":\"https://ftp.ncbi.nlm.nih.gov/pub/pmc/oa_pdf/ff/f3/NJS-27-63.PMC8112366.pdf\",\"citationCount\":\"0\",\"resultStr\":null,\"platform\":\"Semanticscholar\",\"paperid\":null,\"PeriodicalName\":\"Nigerian Journal of Surgery\",\"FirstCategoryId\":\"1085\",\"ListUrlMain\":\"https://doi.org/10.4103/njs.NJS_49_19\",\"RegionNum\":0,\"RegionCategory\":null,\"ArticlePicture\":[],\"TitleCN\":null,\"AbstractTextCN\":null,\"PMCID\":null,\"EPubDate\":\"2021/3/9 0:00:00\",\"PubModel\":\"Epub\",\"JCR\":\"\",\"JCRName\":\"\",\"Score\":null,\"Total\":0}","platform":"Semanticscholar","paperid":null,"PeriodicalName":"Nigerian Journal of Surgery","FirstCategoryId":"1085","ListUrlMain":"https://doi.org/10.4103/njs.NJS_49_19","RegionNum":0,"RegionCategory":null,"ArticlePicture":[],"TitleCN":null,"AbstractTextCN":null,"PMCID":null,"EPubDate":"2021/3/9 0:00:00","PubModel":"Epub","JCR":"","JCRName":"","Score":null,"Total":0}
引用次数: 0

摘要

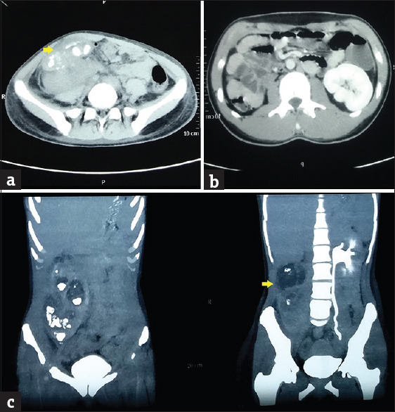
异位肾是一种肾脏位置的先天性异常,通常无症状。盆腔肾引起的症状与邻近器官的病理过程非常相似,反之亦然。我们报告一个18岁的女孩谁提出了急性发作疼痛肿块在右髂窝。虽然临床特征与阑尾脓肿相似,但明智地使用横断成像有助于正确诊断。在进一步的影像学检查中证实了右侧腰肾脓肾症,并进行了肾切除术。本病例的提出是为了强调对疑似阑尾脓肿患者进行肾脏影像学检查的重要性。
本文章由计算机程序翻译,如有差异,请以英文原文为准。

Ectopic Kidney Mimicking Appendicular Abscess.

Ectopic Kidney Mimicking Appendicular Abscess.

Ectopic Kidney Mimicking Appendicular Abscess.

Ectopic kidney is a congenital anomaly of renal position, which is commonly asymptomatic. Symptoms arising from pelvic kidneys can closely mimic pathological processes of nearby organs and vice versa. We report an 18-year-old girl who presented with acute onset of a painful lump in the right iliac fossa. Although the clinical features mimicked an appendicular abscess, the judicious use of cross-sectional imaging aided in the proper diagnosis. Pyonephrosis of a right-sided lumbar kidney was confirmed on further imaging and nephrectomy was performed. This case has been presented to highlight the significance of renal imaging in patients suspected of an appendicular abscess.

求助全文
通过发布文献求助,成功后即可免费获取论文全文。 去求助
来源期刊
自引率
0.00%
发文量
0
审稿时长
37 weeks
×
引用
GB/T 7714-2015
复制
MLA
复制
APA
复制
导出至
BibTeX EndNote RefMan NoteFirst NoteExpress
×
提示
您的信息不完整,为了账户安全,请先补充。
现在去补充
×
提示
您因"违规操作"
具体请查看互助需知
我知道了
×
提示
确定
请完成安全验证×
copy
已复制链接
快去分享给好友吧!
我知道了
右上角分享
点击右上角分享
0
联系我们:info@booksci.cn Book学术提供免费学术资源搜索服务,方便国内外学者检索中英文文献。致力于提供最便捷和优质的服务体验。 Copyright © 2023 布克学术 All rights reserved.
京ICP备2023020795号-1
ghs 京公网安备 11010802042870号
Book学术文献互助
Book学术文献互助群
群 号:604180095
Book学术官方微信