康复欣液通过调节免疫反应和抑制炎症改善右旋糖酐硫酸钠(DSS)诱导的小鼠急性溃疡性结肠炎

IF 2 Q3 MEDICINE, RESEARCH & EXPERIMENTAL
Miao Tang, Lian-Li Ni, Jing-Lei Xu, Yu-Jia Wang, Cheng-Gui Zhang, Tahir Ali, Xiu-Mei Wu, Heng Liu, Miao He
{"title":"康复欣液通过调节免疫反应和抑制炎症改善右旋糖酐硫酸钠(DSS)诱导的小鼠急性溃疡性结肠炎","authors":"Miao Tang, Lian-Li Ni, Jing-Lei Xu, Yu-Jia Wang, Cheng-Gui Zhang, Tahir Ali, Xiu-Mei Wu, Heng Liu, Miao He","doi":"","DOIUrl":null,"url":null,"abstract":"<p><p>BACKGROUND The aim of this study was to determine the effect of kangfuxin liquid (KFXL) on inflammatory response, and its underlying mechanism in treating acute ulcerative colitis (UC) in mice induced by dextran sulfate sodium (DSS). MATERIAL AND METHODS Mice were provided drinking water containing DSS (3%) for 7 days to induce acute enteritis. The mice were divided into 6 groups: a control group, a DSS-induced (vehicle) group, a sulfasalazine (SASP) group, and low-, medium-, and high-dose kangfuxin liquid groups. Disease activity index (DAI), colon mucosa damage index (CMDI), histopathological score (HS), and organ index were monitored daily. The levels of interleukin-1ß (IL-1ß), interleukin-10 (IL-10) in serum and interleukin-17 (IL-17) and epidermal growth factor (EGF) in colon tissue were assessed by enzyme-linked immunosorbent assay (ELISA). Flow cytometry was used to assess the changes of T lymphocyte subsets in spleens of mice to evaluate the therapeutic effect of drugs on acute UC in mice. RESULTS Different doses of kangfuxin liquid reduced the DAI, CMDI, and HS scores (P<0.01 or P<0.05) of acute UC mice, reduced the level of IL-1ß and IL-17 in serum, increased the expression of IL-10 in serum and EGF in colon tissue, increased the number of CD3⁺ T cells, and decreased the level of CD4⁺ T cells and the ratio of CD4⁺/CD8⁺. CONCLUSIONS Kangfuxin liquid has a therapeutic effect on DSS-induced acute UC in mice, and its mechanism of action may be associated with regulating immune function and reducing intestinal inflammatory response.</p>","PeriodicalId":18491,"journal":{"name":"Medical Science Monitor Basic Research","volume":"27 ","pages":"e930887"},"PeriodicalIF":2.0000,"publicationDate":"2021-05-11","publicationTypes":"Journal Article","fieldsOfStudy":null,"isOpenAccess":false,"openAccessPdf":"https://www.ncbi.nlm.nih.gov/pmc/articles/PMC8122852/pdf/","citationCount":"0","resultStr":"{\"title\":\"Kangfuxin Liquid Ameliorates Dextran Sulfate Sodium (DSS)-Induced Acute Ulcerative Colitis in Mice by Modulating Immune Response and Suppressing Inflammation.\",\"authors\":\"Miao Tang, Lian-Li Ni, Jing-Lei Xu, Yu-Jia Wang, Cheng-Gui Zhang, Tahir Ali, Xiu-Mei Wu, Heng Liu, Miao He\",\"doi\":\"\",\"DOIUrl\":null,\"url\":null,\"abstract\":\"<p><p>BACKGROUND The aim of this study was to determine the effect of kangfuxin liquid (KFXL) on inflammatory response, and its underlying mechanism in treating acute ulcerative colitis (UC) in mice induced by dextran sulfate sodium (DSS). MATERIAL AND METHODS Mice were provided drinking water containing DSS (3%) for 7 days to induce acute enteritis. The mice were divided into 6 groups: a control group, a DSS-induced (vehicle) group, a sulfasalazine (SASP) group, and low-, medium-, and high-dose kangfuxin liquid groups. Disease activity index (DAI), colon mucosa damage index (CMDI), histopathological score (HS), and organ index were monitored daily. The levels of interleukin-1ß (IL-1ß), interleukin-10 (IL-10) in serum and interleukin-17 (IL-17) and epidermal growth factor (EGF) in colon tissue were assessed by enzyme-linked immunosorbent assay (ELISA). Flow cytometry was used to assess the changes of T lymphocyte subsets in spleens of mice to evaluate the therapeutic effect of drugs on acute UC in mice. RESULTS Different doses of kangfuxin liquid reduced the DAI, CMDI, and HS scores (P<0.01 or P<0.05) of acute UC mice, reduced the level of IL-1ß and IL-17 in serum, increased the expression of IL-10 in serum and EGF in colon tissue, increased the number of CD3⁺ T cells, and decreased the level of CD4⁺ T cells and the ratio of CD4⁺/CD8⁺. CONCLUSIONS Kangfuxin liquid has a therapeutic effect on DSS-induced acute UC in mice, and its mechanism of action may be associated with regulating immune function and reducing intestinal inflammatory response.</p>\",\"PeriodicalId\":18491,\"journal\":{\"name\":\"Medical Science Monitor Basic Research\",\"volume\":\"27 \",\"pages\":\"e930887\"},\"PeriodicalIF\":2.0000,\"publicationDate\":\"2021-05-11\",\"publicationTypes\":\"Journal Article\",\"fieldsOfStudy\":null,\"isOpenAccess\":false,\"openAccessPdf\":\"https://www.ncbi.nlm.nih.gov/pmc/articles/PMC8122852/pdf/\",\"citationCount\":\"0\",\"resultStr\":null,\"platform\":\"Semanticscholar\",\"paperid\":null,\"PeriodicalName\":\"Medical Science Monitor Basic Research\",\"FirstCategoryId\":\"1085\",\"ListUrlMain\":\"\",\"RegionNum\":0,\"RegionCategory\":null,\"ArticlePicture\":[],\"TitleCN\":null,\"AbstractTextCN\":null,\"PMCID\":null,\"EPubDate\":\"\",\"PubModel\":\"\",\"JCR\":\"Q3\",\"JCRName\":\"MEDICINE, RESEARCH & EXPERIMENTAL\",\"Score\":null,\"Total\":0}","platform":"Semanticscholar","paperid":null,"PeriodicalName":"Medical Science Monitor Basic Research","FirstCategoryId":"1085","ListUrlMain":"","RegionNum":0,"RegionCategory":null,"ArticlePicture":[],"TitleCN":null,"AbstractTextCN":null,"PMCID":null,"EPubDate":"","PubModel":"","JCR":"Q3","JCRName":"MEDICINE, RESEARCH & EXPERIMENTAL","Score":null,"Total":0}
引用次数: 0

摘要

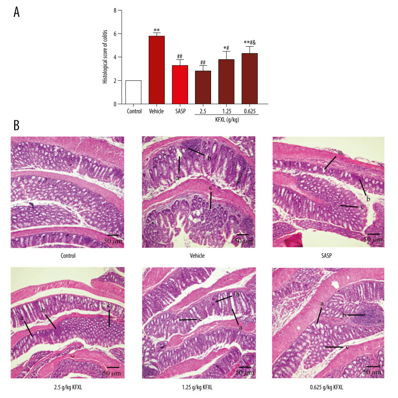
背景 本研究旨在确定康复欣液(KFXL)对炎症反应的影响及其治疗右旋糖酐硫酸钠(DSS)诱导的小鼠急性溃疡性结肠炎(UC)的内在机制。材料和方法 给小鼠提供含 3% 右旋糖酐硫酸钠的饮用水,诱发急性肠炎 7 天。小鼠被分为 6 组:对照组、DSS 诱导(载体)组、磺胺沙拉嗪(SASP)组以及低、中、高剂量的康复欣液组。每天监测疾病活动指数(DAI)、结肠粘膜损伤指数(CMDI)、组织病理学评分(HS)和器官指数。通过酶联免疫吸附试验(ELISA)评估血清中白细胞介素-1ß(IL-1ß)和白细胞介素-10(IL-10)的水平,以及结肠组织中白细胞介素-17(IL-17)和表皮生长因子(EGF)的水平。采用流式细胞术评估小鼠脾脏中 T 淋巴细胞亚群的变化,以评价药物对小鼠急性 UC 的治疗效果。结果 不同剂量的康复欣液降低了小鼠的DAI、CMDI和HS评分(P<0.05)。
本文章由计算机程序翻译,如有差异,请以英文原文为准。

Kangfuxin Liquid Ameliorates Dextran Sulfate Sodium (DSS)-Induced Acute Ulcerative Colitis in Mice by Modulating Immune Response and Suppressing Inflammation.

Kangfuxin Liquid Ameliorates Dextran Sulfate Sodium (DSS)-Induced Acute Ulcerative Colitis in Mice by Modulating Immune Response and Suppressing Inflammation.

Kangfuxin Liquid Ameliorates Dextran Sulfate Sodium (DSS)-Induced Acute Ulcerative Colitis in Mice by Modulating Immune Response and Suppressing Inflammation.

Kangfuxin Liquid Ameliorates Dextran Sulfate Sodium (DSS)-Induced Acute Ulcerative Colitis in Mice by Modulating Immune Response and Suppressing Inflammation.

BACKGROUND The aim of this study was to determine the effect of kangfuxin liquid (KFXL) on inflammatory response, and its underlying mechanism in treating acute ulcerative colitis (UC) in mice induced by dextran sulfate sodium (DSS). MATERIAL AND METHODS Mice were provided drinking water containing DSS (3%) for 7 days to induce acute enteritis. The mice were divided into 6 groups: a control group, a DSS-induced (vehicle) group, a sulfasalazine (SASP) group, and low-, medium-, and high-dose kangfuxin liquid groups. Disease activity index (DAI), colon mucosa damage index (CMDI), histopathological score (HS), and organ index were monitored daily. The levels of interleukin-1ß (IL-1ß), interleukin-10 (IL-10) in serum and interleukin-17 (IL-17) and epidermal growth factor (EGF) in colon tissue were assessed by enzyme-linked immunosorbent assay (ELISA). Flow cytometry was used to assess the changes of T lymphocyte subsets in spleens of mice to evaluate the therapeutic effect of drugs on acute UC in mice. RESULTS Different doses of kangfuxin liquid reduced the DAI, CMDI, and HS scores (P<0.01 or P<0.05) of acute UC mice, reduced the level of IL-1ß and IL-17 in serum, increased the expression of IL-10 in serum and EGF in colon tissue, increased the number of CD3⁺ T cells, and decreased the level of CD4⁺ T cells and the ratio of CD4⁺/CD8⁺. CONCLUSIONS Kangfuxin liquid has a therapeutic effect on DSS-induced acute UC in mice, and its mechanism of action may be associated with regulating immune function and reducing intestinal inflammatory response.

求助全文
通过发布文献求助,成功后即可免费获取论文全文。 去求助
来源期刊
Medical Science Monitor Basic Research
Medical Science Monitor Basic Research MEDICINE, RESEARCH & EXPERIMENTAL-
CiteScore
6.00
自引率
0.00%
发文量
16
×
引用
GB/T 7714-2015
复制
MLA
复制
APA
复制
导出至
BibTeX EndNote RefMan NoteFirst NoteExpress
×
提示
您的信息不完整,为了账户安全,请先补充。
现在去补充
×
提示
您因"违规操作"
具体请查看互助需知
我知道了
×
提示
确定
请完成安全验证×
copy
已复制链接
快去分享给好友吧!
我知道了
右上角分享
点击右上角分享
0
联系我们:info@booksci.cn Book学术提供免费学术资源搜索服务,方便国内外学者检索中英文文献。致力于提供最便捷和优质的服务体验。 Copyright © 2023 布克学术 All rights reserved.
京ICP备2023020795号-1
ghs 京公网安备 11010802042870号
Book学术文献互助
Book学术文献互助群
群 号:604180095
Book学术官方微信