10岁杰克罗素梗犬慢性淋巴浆细胞性绒毛结节增生性滑膜炎。

IF 3.2 Q1 VETERINARY SCIENCES
Tafara Mapuvire, Erick Kandiwa, Pricilla Mbiri, Alaster Samkange, Oscar Madzingira, Borden Mushonga
{"title":"10岁杰克罗素梗犬慢性淋巴浆细胞性绒毛结节增生性滑膜炎。","authors":"Tafara Mapuvire,&nbsp;Erick Kandiwa,&nbsp;Pricilla Mbiri,&nbsp;Alaster Samkange,&nbsp;Oscar Madzingira,&nbsp;Borden Mushonga","doi":"10.1080/23144599.2020.1842038","DOIUrl":null,"url":null,"abstract":"<p><p>We describe a case of chronic lymphoplasmacytic villonodular synovitis (CLPVNS) associated with cranial cruciate ligament (CCL) disease in a 10-year-old spayed Jack Russell Terrier bitch. The bitch was presented to a veterinary clinic with severe, non-weight bearing, acute left hindlimb lameness. The bitch had previously been treated surgically for stifle CCL disease of the same joint, using the lateral fabellar suture (LFS) technique. Since the treatment, the patient had a history of intermittent left hindlimb non-weight bearing lameness that was manageable with nonsteroidal anti-inflammatory drugs (NSAIDs). Palpation and manipulation of the affected stifle elicited severe pain. There were no other clinical or orthopaedic abnormalities. Orthogonal radiographs of the affected stifle revealed moderate degenerative joint disease and osteolytic lesions on the lateral aspect of the lateral femoral condyle and the head of the fibula. A fluid aspirate from this joint was negative for bacterial growth on culture. Cytology results were suspicious for CLPVNS. Exploratory arthrotomy, synovectomy, debridement and lavage of the affected joint were performed. Bone and synovial membrane biopsy samples of the joint were obtained and submitted to a laboratory for a histopathological confirmatory diagnosis. CLPVNS was tentatively diagnosed by cytology, and confirmed by histopathology of biopsy samples. This case report highlights the importance of checking for CLPVNS in dogs with lameness associated with CCL disease, as reports show it to be underreported or misdiagnosed.</p>","PeriodicalId":45744,"journal":{"name":"International Journal of Veterinary Science and Medicine","volume":" ","pages":"100-105"},"PeriodicalIF":3.2000,"publicationDate":"2020-11-18","publicationTypes":"Journal Article","fieldsOfStudy":null,"isOpenAccess":false,"openAccessPdf":"https://sci-hub-pdf.com/10.1080/23144599.2020.1842038","citationCount":"1","resultStr":"{\"title\":\"Chronic lymphoplasmacytic villonodular proliferative synovitis in a 10-year-old Jack Russell Terrier dog.\",\"authors\":\"Tafara Mapuvire,&nbsp;Erick Kandiwa,&nbsp;Pricilla Mbiri,&nbsp;Alaster Samkange,&nbsp;Oscar Madzingira,&nbsp;Borden Mushonga\",\"doi\":\"10.1080/23144599.2020.1842038\",\"DOIUrl\":null,\"url\":null,\"abstract\":\"<p><p>We describe a case of chronic lymphoplasmacytic villonodular synovitis (CLPVNS) associated with cranial cruciate ligament (CCL) disease in a 10-year-old spayed Jack Russell Terrier bitch. The bitch was presented to a veterinary clinic with severe, non-weight bearing, acute left hindlimb lameness. The bitch had previously been treated surgically for stifle CCL disease of the same joint, using the lateral fabellar suture (LFS) technique. Since the treatment, the patient had a history of intermittent left hindlimb non-weight bearing lameness that was manageable with nonsteroidal anti-inflammatory drugs (NSAIDs). Palpation and manipulation of the affected stifle elicited severe pain. There were no other clinical or orthopaedic abnormalities. Orthogonal radiographs of the affected stifle revealed moderate degenerative joint disease and osteolytic lesions on the lateral aspect of the lateral femoral condyle and the head of the fibula. A fluid aspirate from this joint was negative for bacterial growth on culture. Cytology results were suspicious for CLPVNS. Exploratory arthrotomy, synovectomy, debridement and lavage of the affected joint were performed. Bone and synovial membrane biopsy samples of the joint were obtained and submitted to a laboratory for a histopathological confirmatory diagnosis. CLPVNS was tentatively diagnosed by cytology, and confirmed by histopathology of biopsy samples. This case report highlights the importance of checking for CLPVNS in dogs with lameness associated with CCL disease, as reports show it to be underreported or misdiagnosed.</p>\",\"PeriodicalId\":45744,\"journal\":{\"name\":\"International Journal of Veterinary Science and Medicine\",\"volume\":\" \",\"pages\":\"100-105\"},\"PeriodicalIF\":3.2000,\"publicationDate\":\"2020-11-18\",\"publicationTypes\":\"Journal Article\",\"fieldsOfStudy\":null,\"isOpenAccess\":false,\"openAccessPdf\":\"https://sci-hub-pdf.com/10.1080/23144599.2020.1842038\",\"citationCount\":\"1\",\"resultStr\":null,\"platform\":\"Semanticscholar\",\"paperid\":null,\"PeriodicalName\":\"International Journal of Veterinary Science and Medicine\",\"FirstCategoryId\":\"1085\",\"ListUrlMain\":\"https://doi.org/10.1080/23144599.2020.1842038\",\"RegionNum\":0,\"RegionCategory\":null,\"ArticlePicture\":[],\"TitleCN\":null,\"AbstractTextCN\":null,\"PMCID\":null,\"EPubDate\":\"\",\"PubModel\":\"\",\"JCR\":\"Q1\",\"JCRName\":\"VETERINARY SCIENCES\",\"Score\":null,\"Total\":0}","platform":"Semanticscholar","paperid":null,"PeriodicalName":"International Journal of Veterinary Science and Medicine","FirstCategoryId":"1085","ListUrlMain":"https://doi.org/10.1080/23144599.2020.1842038","RegionNum":0,"RegionCategory":null,"ArticlePicture":[],"TitleCN":null,"AbstractTextCN":null,"PMCID":null,"EPubDate":"","PubModel":"","JCR":"Q1","JCRName":"VETERINARY SCIENCES","Score":null,"Total":0}
引用次数: 1

摘要

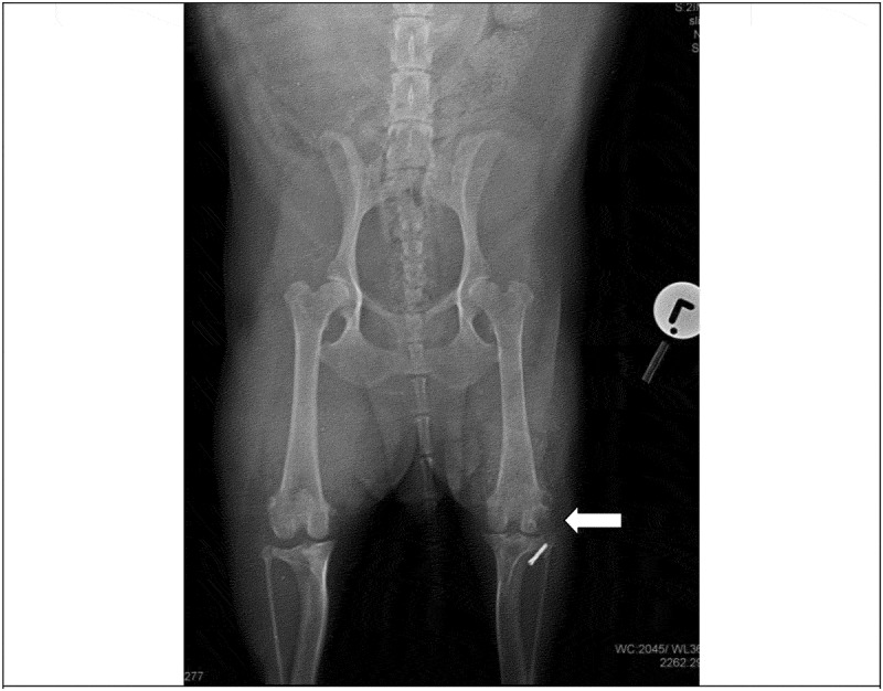
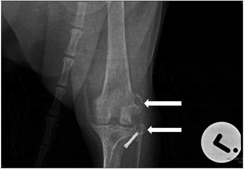
我们描述了一例慢性淋巴浆细胞性绒毛结节性滑膜炎(CLPVNS)与颅十字韧带(CCL)疾病相关的10岁绝育杰克罗素梗母狗。这只母狗被送到兽医诊所,患有严重的、非负重的、急性左后肢跛行。这只母狗先前曾使用外侧腓骨缝合(LFS)技术对同一关节的膝关节CCL疾病进行手术治疗。自治疗以来,患者有间歇性左后肢非负重性跛行史,可通过非甾体抗炎药(NSAIDs)治疗。触诊和操作受影响的膝关节引起剧烈疼痛。没有其他临床或矫形异常。受影响的膝关节的正交x线片显示中度退行性关节疾病和股骨外侧髁外侧和腓骨头部的溶骨性病变。从关节处抽吸的液体培养细菌生长阴性。细胞学结果怀疑为CLPVNS。探查性关节切开术、滑膜切除术、清创术及关节灌洗术。获得关节的骨和滑膜活检样本并提交实验室进行组织病理学确诊。细胞学初步诊断CLPVNS,活检标本病理证实。本病例报告强调了在伴有CCL疾病的跛行犬中检查CLPVNS的重要性,因为报告显示它被低估或误诊。
本文章由计算机程序翻译,如有差异,请以英文原文为准。

Chronic lymphoplasmacytic villonodular proliferative synovitis in a 10-year-old Jack Russell Terrier dog.

Chronic lymphoplasmacytic villonodular proliferative synovitis in a 10-year-old Jack Russell Terrier dog.

Chronic lymphoplasmacytic villonodular proliferative synovitis in a 10-year-old Jack Russell Terrier dog.

Chronic lymphoplasmacytic villonodular proliferative synovitis in a 10-year-old Jack Russell Terrier dog.

We describe a case of chronic lymphoplasmacytic villonodular synovitis (CLPVNS) associated with cranial cruciate ligament (CCL) disease in a 10-year-old spayed Jack Russell Terrier bitch. The bitch was presented to a veterinary clinic with severe, non-weight bearing, acute left hindlimb lameness. The bitch had previously been treated surgically for stifle CCL disease of the same joint, using the lateral fabellar suture (LFS) technique. Since the treatment, the patient had a history of intermittent left hindlimb non-weight bearing lameness that was manageable with nonsteroidal anti-inflammatory drugs (NSAIDs). Palpation and manipulation of the affected stifle elicited severe pain. There were no other clinical or orthopaedic abnormalities. Orthogonal radiographs of the affected stifle revealed moderate degenerative joint disease and osteolytic lesions on the lateral aspect of the lateral femoral condyle and the head of the fibula. A fluid aspirate from this joint was negative for bacterial growth on culture. Cytology results were suspicious for CLPVNS. Exploratory arthrotomy, synovectomy, debridement and lavage of the affected joint were performed. Bone and synovial membrane biopsy samples of the joint were obtained and submitted to a laboratory for a histopathological confirmatory diagnosis. CLPVNS was tentatively diagnosed by cytology, and confirmed by histopathology of biopsy samples. This case report highlights the importance of checking for CLPVNS in dogs with lameness associated with CCL disease, as reports show it to be underreported or misdiagnosed.

求助全文
通过发布文献求助,成功后即可免费获取论文全文。 去求助
来源期刊
CiteScore
4.80
自引率
0.00%
发文量
12
审稿时长
24 weeks
×
引用
GB/T 7714-2015
复制
MLA
复制
APA
复制
导出至
BibTeX EndNote RefMan NoteFirst NoteExpress
×
提示
您的信息不完整,为了账户安全,请先补充。
现在去补充
×
提示
您因"违规操作"
具体请查看互助需知
我知道了
×
提示
确定
请完成安全验证×
copy
已复制链接
快去分享给好友吧!
我知道了
右上角分享
点击右上角分享
0
联系我们:info@booksci.cn Book学术提供免费学术资源搜索服务,方便国内外学者检索中英文文献。致力于提供最便捷和优质的服务体验。 Copyright © 2023 布克学术 All rights reserved.
京ICP备2023020795号-1
ghs 京公网安备 11010802042870号
Book学术文献互助
Book学术文献互助群
群 号:604180095
Book学术官方微信