胃球囊瘤。

Nigerian Journal of Surgery Pub Date : 2020-07-01 Epub Date: 2020-07-27 DOI:10.4103/njs.NJS_8_19
Sumitoj Singh, Ashok Kumar, Vikas Singh
{"title":"胃球囊瘤。","authors":"Sumitoj Singh,&nbsp;Ashok Kumar,&nbsp;Vikas Singh","doi":"10.4103/njs.NJS_8_19","DOIUrl":null,"url":null,"abstract":"<p><p>This case report describes glomus tumor of the stomach, a rare entity, which is a mesenchymal origin tumor. They are generally benign and account for nearly 1% of all gastrointestinal (GI) soft-tissue tumors. They are almost impossible to diagnose preoperatively because of the lack of specific characteristics and are often mistaken for GI stromal tumors (GISTs). In our hospital setup, a female aged 24 years, presented with right lumbar abdominal pain which after a thorough workup leads to the preoperative diagnosis of GIST, and distal gastrectomy with Roux-en-y anastomosis was done. However, pathological and immunohistochemical findings done after the surgery were found consistent with the diagnosis of gastric glomus tumor. Discovered on GIST-1 (DOG-1) nonreactivity is considered for the diagnosis of glomus tumor which helps in excluding the diagnosis of GIST, which is positive for DOG-1. Hence, it was concluded that differential diagnosis on the basis of immunohistochemical findings can lead to an accurate preoperative diagnosis and further targeted surgical intervention.</p>","PeriodicalId":30399,"journal":{"name":"Nigerian Journal of Surgery","volume":"26 2","pages":"162-165"},"PeriodicalIF":0.0000,"publicationDate":"2020-07-01","publicationTypes":"Journal Article","fieldsOfStudy":null,"isOpenAccess":false,"openAccessPdf":"https://ftp.ncbi.nlm.nih.gov/pub/pmc/oa_pdf/cd/2b/NJS-26-162.PMC7659754.pdf","citationCount":"0","resultStr":"{\"title\":\"Gastric Glomus Tumor.\",\"authors\":\"Sumitoj Singh,&nbsp;Ashok Kumar,&nbsp;Vikas Singh\",\"doi\":\"10.4103/njs.NJS_8_19\",\"DOIUrl\":null,\"url\":null,\"abstract\":\"<p><p>This case report describes glomus tumor of the stomach, a rare entity, which is a mesenchymal origin tumor. They are generally benign and account for nearly 1% of all gastrointestinal (GI) soft-tissue tumors. They are almost impossible to diagnose preoperatively because of the lack of specific characteristics and are often mistaken for GI stromal tumors (GISTs). In our hospital setup, a female aged 24 years, presented with right lumbar abdominal pain which after a thorough workup leads to the preoperative diagnosis of GIST, and distal gastrectomy with Roux-en-y anastomosis was done. However, pathological and immunohistochemical findings done after the surgery were found consistent with the diagnosis of gastric glomus tumor. Discovered on GIST-1 (DOG-1) nonreactivity is considered for the diagnosis of glomus tumor which helps in excluding the diagnosis of GIST, which is positive for DOG-1. Hence, it was concluded that differential diagnosis on the basis of immunohistochemical findings can lead to an accurate preoperative diagnosis and further targeted surgical intervention.</p>\",\"PeriodicalId\":30399,\"journal\":{\"name\":\"Nigerian Journal of Surgery\",\"volume\":\"26 2\",\"pages\":\"162-165\"},\"PeriodicalIF\":0.0000,\"publicationDate\":\"2020-07-01\",\"publicationTypes\":\"Journal Article\",\"fieldsOfStudy\":null,\"isOpenAccess\":false,\"openAccessPdf\":\"https://ftp.ncbi.nlm.nih.gov/pub/pmc/oa_pdf/cd/2b/NJS-26-162.PMC7659754.pdf\",\"citationCount\":\"0\",\"resultStr\":null,\"platform\":\"Semanticscholar\",\"paperid\":null,\"PeriodicalName\":\"Nigerian Journal of Surgery\",\"FirstCategoryId\":\"1085\",\"ListUrlMain\":\"https://doi.org/10.4103/njs.NJS_8_19\",\"RegionNum\":0,\"RegionCategory\":null,\"ArticlePicture\":[],\"TitleCN\":null,\"AbstractTextCN\":null,\"PMCID\":null,\"EPubDate\":\"2020/7/27 0:00:00\",\"PubModel\":\"Epub\",\"JCR\":\"\",\"JCRName\":\"\",\"Score\":null,\"Total\":0}","platform":"Semanticscholar","paperid":null,"PeriodicalName":"Nigerian Journal of Surgery","FirstCategoryId":"1085","ListUrlMain":"https://doi.org/10.4103/njs.NJS_8_19","RegionNum":0,"RegionCategory":null,"ArticlePicture":[],"TitleCN":null,"AbstractTextCN":null,"PMCID":null,"EPubDate":"2020/7/27 0:00:00","PubModel":"Epub","JCR":"","JCRName":"","Score":null,"Total":0}
引用次数: 0

摘要

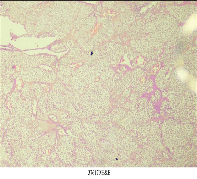
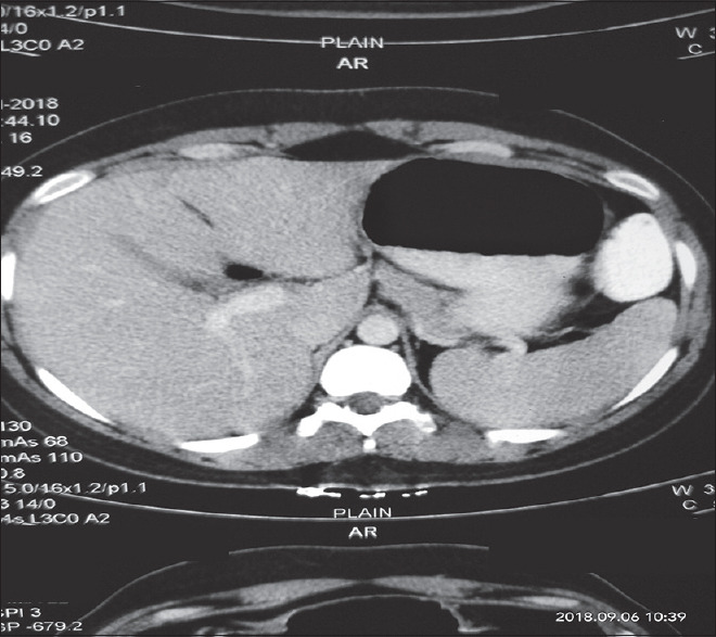
本病例报告描述了一种罕见的胃血管球瘤,它是一种间质起源的肿瘤。它们通常是良性的,占所有胃肠道软组织肿瘤的近1%。由于缺乏特异性特征,术前几乎无法诊断,常被误认为胃肠道间质瘤(gist)。在我们的医院设置,24岁的女性,表现为右腰腹痛,经过彻底的检查导致术前诊断为GIST,并进行远端胃切除术并Roux-en-y吻合。然而,术后病理和免疫组化检查结果与胃球囊瘤的诊断一致。在GIST-1 (DOG-1)上发现的无反应性可用于诊断肾小球瘤,有助于排除DOG-1阳性的GIST的诊断。因此,我们认为,基于免疫组织化学结果的鉴别诊断可以导致准确的术前诊断和进一步有针对性的手术干预。
本文章由计算机程序翻译,如有差异,请以英文原文为准。

Gastric Glomus Tumor.

Gastric Glomus Tumor.

Gastric Glomus Tumor.

Gastric Glomus Tumor.

This case report describes glomus tumor of the stomach, a rare entity, which is a mesenchymal origin tumor. They are generally benign and account for nearly 1% of all gastrointestinal (GI) soft-tissue tumors. They are almost impossible to diagnose preoperatively because of the lack of specific characteristics and are often mistaken for GI stromal tumors (GISTs). In our hospital setup, a female aged 24 years, presented with right lumbar abdominal pain which after a thorough workup leads to the preoperative diagnosis of GIST, and distal gastrectomy with Roux-en-y anastomosis was done. However, pathological and immunohistochemical findings done after the surgery were found consistent with the diagnosis of gastric glomus tumor. Discovered on GIST-1 (DOG-1) nonreactivity is considered for the diagnosis of glomus tumor which helps in excluding the diagnosis of GIST, which is positive for DOG-1. Hence, it was concluded that differential diagnosis on the basis of immunohistochemical findings can lead to an accurate preoperative diagnosis and further targeted surgical intervention.

求助全文
通过发布文献求助,成功后即可免费获取论文全文。 去求助
来源期刊
自引率
0.00%
发文量
0
审稿时长
37 weeks
×
引用
GB/T 7714-2015
复制
MLA
复制
APA
复制
导出至
BibTeX EndNote RefMan NoteFirst NoteExpress
×
提示
您的信息不完整,为了账户安全,请先补充。
现在去补充
×
提示
您因"违规操作"
具体请查看互助需知
我知道了
×
提示
确定
请完成安全验证×
copy
已复制链接
快去分享给好友吧!
我知道了
右上角分享
点击右上角分享
0
联系我们:info@booksci.cn Book学术提供免费学术资源搜索服务,方便国内外学者检索中英文文献。致力于提供最便捷和优质的服务体验。 Copyright © 2023 布克学术 All rights reserved.
京ICP备2023020795号-1
ghs 京公网安备 11010802042870号
Book学术文献互助
Book学术文献互助群
群 号:604180095
Book学术官方微信