肺切除加网膜固定术治疗支气管胆管瘘。

Q3 Medicine
Hyon Keun Joh, Seong Yong Park
{"title":"肺切除加网膜固定术治疗支气管胆管瘘。","authors":"Hyon Keun Joh,&nbsp;Seong Yong Park","doi":"10.5090/kjtcs.2020.53.1.38","DOIUrl":null,"url":null,"abstract":"<p><p>Bronchobiliary fistula is a rare disease defined as an abnormal connection between the biliary tract and the bronchial tree. We report the successful surgical repair of bronchobiliary fistula. A 78-year-old man underwent surgery and several rounds of transcatheter arterial chemoembolization and radiofrequency ablation as treatment for hepatocellular carcinoma. He presented with greenish sputum and chronic cough for several months, and his symptoms did not resolve after endoscopic treatment. We performed lobectomy of the right lower lobe and omentopexy for bronchobiliary fistula under laparotomy and thoracotomy. The bronchobiliary fistula was successfully closed, and the bilious sputum disappeared after surgery.</p>","PeriodicalId":38678,"journal":{"name":"Korean Journal of Thoracic and Cardiovascular Surgery","volume":"53 1","pages":"38-40"},"PeriodicalIF":0.0000,"publicationDate":"2020-02-01","publicationTypes":"Journal Article","fieldsOfStudy":null,"isOpenAccess":false,"openAccessPdf":"https://ftp.ncbi.nlm.nih.gov/pub/pmc/oa_pdf/8b/bb/kjtcv-53-038.PMC7006612.pdf","citationCount":"4","resultStr":"{\"title\":\"Surgical Treatment of Bronchobiliary Fistula with Pulmonary Resection and Omentopexy.\",\"authors\":\"Hyon Keun Joh,&nbsp;Seong Yong Park\",\"doi\":\"10.5090/kjtcs.2020.53.1.38\",\"DOIUrl\":null,\"url\":null,\"abstract\":\"<p><p>Bronchobiliary fistula is a rare disease defined as an abnormal connection between the biliary tract and the bronchial tree. We report the successful surgical repair of bronchobiliary fistula. A 78-year-old man underwent surgery and several rounds of transcatheter arterial chemoembolization and radiofrequency ablation as treatment for hepatocellular carcinoma. He presented with greenish sputum and chronic cough for several months, and his symptoms did not resolve after endoscopic treatment. We performed lobectomy of the right lower lobe and omentopexy for bronchobiliary fistula under laparotomy and thoracotomy. The bronchobiliary fistula was successfully closed, and the bilious sputum disappeared after surgery.</p>\",\"PeriodicalId\":38678,\"journal\":{\"name\":\"Korean Journal of Thoracic and Cardiovascular Surgery\",\"volume\":\"53 1\",\"pages\":\"38-40\"},\"PeriodicalIF\":0.0000,\"publicationDate\":\"2020-02-01\",\"publicationTypes\":\"Journal Article\",\"fieldsOfStudy\":null,\"isOpenAccess\":false,\"openAccessPdf\":\"https://ftp.ncbi.nlm.nih.gov/pub/pmc/oa_pdf/8b/bb/kjtcv-53-038.PMC7006612.pdf\",\"citationCount\":\"4\",\"resultStr\":null,\"platform\":\"Semanticscholar\",\"paperid\":null,\"PeriodicalName\":\"Korean Journal of Thoracic and Cardiovascular Surgery\",\"FirstCategoryId\":\"1085\",\"ListUrlMain\":\"https://doi.org/10.5090/kjtcs.2020.53.1.38\",\"RegionNum\":0,\"RegionCategory\":null,\"ArticlePicture\":[],\"TitleCN\":null,\"AbstractTextCN\":null,\"PMCID\":null,\"EPubDate\":\"2020/2/5 0:00:00\",\"PubModel\":\"Epub\",\"JCR\":\"Q3\",\"JCRName\":\"Medicine\",\"Score\":null,\"Total\":0}","platform":"Semanticscholar","paperid":null,"PeriodicalName":"Korean Journal of Thoracic and Cardiovascular Surgery","FirstCategoryId":"1085","ListUrlMain":"https://doi.org/10.5090/kjtcs.2020.53.1.38","RegionNum":0,"RegionCategory":null,"ArticlePicture":[],"TitleCN":null,"AbstractTextCN":null,"PMCID":null,"EPubDate":"2020/2/5 0:00:00","PubModel":"Epub","JCR":"Q3","JCRName":"Medicine","Score":null,"Total":0}
引用次数: 4

摘要

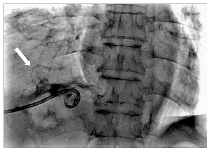
支气管胆道瘘是一种罕见的疾病,定义为胆道和支气管树之间的异常连接。我们报告成功的手术修复支气管胆管瘘。一位78岁的男性接受了手术和几轮经导管动脉化疗栓塞和射频消融治疗肝细胞癌。患者痰液呈绿色,慢性咳嗽数月,经内镜治疗后症状未缓解。我们在开腹和开胸的情况下行右下叶肺叶切除术和网膜固定术治疗支气管胆管瘘。成功闭合支气管胆管瘘,术后胆液消失。
本文章由计算机程序翻译,如有差异,请以英文原文为准。

Surgical Treatment of Bronchobiliary Fistula with Pulmonary Resection and Omentopexy.

Surgical Treatment of Bronchobiliary Fistula with Pulmonary Resection and Omentopexy.

Surgical Treatment of Bronchobiliary Fistula with Pulmonary Resection and Omentopexy.

Surgical Treatment of Bronchobiliary Fistula with Pulmonary Resection and Omentopexy.

Bronchobiliary fistula is a rare disease defined as an abnormal connection between the biliary tract and the bronchial tree. We report the successful surgical repair of bronchobiliary fistula. A 78-year-old man underwent surgery and several rounds of transcatheter arterial chemoembolization and radiofrequency ablation as treatment for hepatocellular carcinoma. He presented with greenish sputum and chronic cough for several months, and his symptoms did not resolve after endoscopic treatment. We performed lobectomy of the right lower lobe and omentopexy for bronchobiliary fistula under laparotomy and thoracotomy. The bronchobiliary fistula was successfully closed, and the bilious sputum disappeared after surgery.

求助全文
通过发布文献求助,成功后即可免费获取论文全文。 去求助
来源期刊
自引率
0.00%
发文量
0
审稿时长
36 weeks
×
引用
GB/T 7714-2015
复制
MLA
复制
APA
复制
导出至
BibTeX EndNote RefMan NoteFirst NoteExpress
×
提示
您的信息不完整,为了账户安全,请先补充。
现在去补充
×
提示
您因"违规操作"
具体请查看互助需知
我知道了
×
提示
确定
请完成安全验证×
copy
已复制链接
快去分享给好友吧!
我知道了
右上角分享
点击右上角分享
0
联系我们:info@booksci.cn Book学术提供免费学术资源搜索服务,方便国内外学者检索中英文文献。致力于提供最便捷和优质的服务体验。 Copyright © 2023 布克学术 All rights reserved.
京ICP备2023020795号-1
ghs 京公网安备 11010802042870号
Book学术文献互助
Book学术文献互助群
群 号:604180095
Book学术官方微信