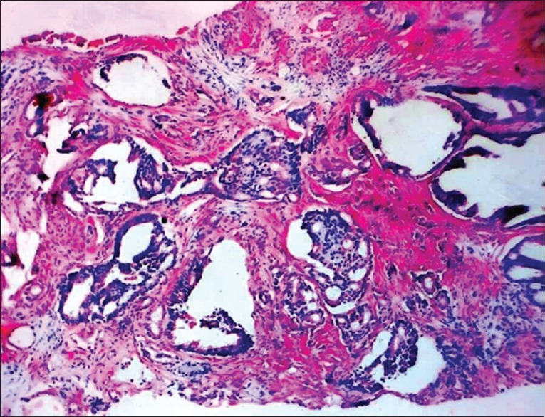
1例服用戈舍雷林(唑拉德)的前列腺腺癌发生皮肤转移。

Timothy Uzoma Mbaeri, Jideofor Chukwuma Orakwe, Ogochukwu I Ezejiofor
{"title":"1例服用戈舍雷林(唑拉德)的前列腺腺癌发生皮肤转移。","authors":"Timothy Uzoma Mbaeri,&nbsp;Jideofor Chukwuma Orakwe,&nbsp;Ogochukwu I Ezejiofor","doi":"10.4103/njs.NJS_15_17","DOIUrl":null,"url":null,"abstract":"<p><p>Prostate cancer remains the most common noncutaneous cancer in men, especially in this era of prostate-specific antigen assay. Prostate cancer metastases have been known to commonly affect the lymphatics, bones, and lungs. Prostate cancer metastasis to the skin is very rare (<1%) and often signifies a terminal disease. Involvement of the skin has been thought to be through lymphatic spread by embolization or permeation, hematogenous spread, and implantation during surgery (port site in radical prostatectomy). We report a 74-year-old man on management for advanced prostate cancer with subcutaneous goserelin (Zoladex) but developed skin metastasis in the course of treatment. The skin metastasis in our patient, however, was initially localized to the site of the regions of subcutaneous goserelin injection that we imagined if there is a link between the two. We reviewed the literature and currently found no connection. Is there truly a link?</p>","PeriodicalId":30399,"journal":{"name":"Nigerian Journal of Surgery","volume":"24 2","pages":"138-141"},"PeriodicalIF":0.0000,"publicationDate":"2018-07-01","publicationTypes":"Journal Article","fieldsOfStudy":null,"isOpenAccess":false,"openAccessPdf":"https://ftp.ncbi.nlm.nih.gov/pub/pmc/oa_pdf/32/b4/NJS-24-138.PMC6158991.pdf","citationCount":"2","resultStr":"{\"title\":\"Unsuspected Skin Metastasis of Adenocarcinoma of the Prostate in a Patient on Goserelin (Zoladex).\",\"authors\":\"Timothy Uzoma Mbaeri,&nbsp;Jideofor Chukwuma Orakwe,&nbsp;Ogochukwu I Ezejiofor\",\"doi\":\"10.4103/njs.NJS_15_17\",\"DOIUrl\":null,\"url\":null,\"abstract\":\"<p><p>Prostate cancer remains the most common noncutaneous cancer in men, especially in this era of prostate-specific antigen assay. Prostate cancer metastases have been known to commonly affect the lymphatics, bones, and lungs. Prostate cancer metastasis to the skin is very rare (<1%) and often signifies a terminal disease. Involvement of the skin has been thought to be through lymphatic spread by embolization or permeation, hematogenous spread, and implantation during surgery (port site in radical prostatectomy). We report a 74-year-old man on management for advanced prostate cancer with subcutaneous goserelin (Zoladex) but developed skin metastasis in the course of treatment. The skin metastasis in our patient, however, was initially localized to the site of the regions of subcutaneous goserelin injection that we imagined if there is a link between the two. We reviewed the literature and currently found no connection. Is there truly a link?</p>\",\"PeriodicalId\":30399,\"journal\":{\"name\":\"Nigerian Journal of Surgery\",\"volume\":\"24 2\",\"pages\":\"138-141\"},\"PeriodicalIF\":0.0000,\"publicationDate\":\"2018-07-01\",\"publicationTypes\":\"Journal Article\",\"fieldsOfStudy\":null,\"isOpenAccess\":false,\"openAccessPdf\":\"https://ftp.ncbi.nlm.nih.gov/pub/pmc/oa_pdf/32/b4/NJS-24-138.PMC6158991.pdf\",\"citationCount\":\"2\",\"resultStr\":null,\"platform\":\"Semanticscholar\",\"paperid\":null,\"PeriodicalName\":\"Nigerian Journal of Surgery\",\"FirstCategoryId\":\"1085\",\"ListUrlMain\":\"https://doi.org/10.4103/njs.NJS_15_17\",\"RegionNum\":0,\"RegionCategory\":null,\"ArticlePicture\":[],\"TitleCN\":null,\"AbstractTextCN\":null,\"PMCID\":null,\"EPubDate\":\"\",\"PubModel\":\"\",\"JCR\":\"\",\"JCRName\":\"\",\"Score\":null,\"Total\":0}","platform":"Semanticscholar","paperid":null,"PeriodicalName":"Nigerian Journal of Surgery","FirstCategoryId":"1085","ListUrlMain":"https://doi.org/10.4103/njs.NJS_15_17","RegionNum":0,"RegionCategory":null,"ArticlePicture":[],"TitleCN":null,"AbstractTextCN":null,"PMCID":null,"EPubDate":"","PubModel":"","JCR":"","JCRName":"","Score":null,"Total":0}
引用次数: 2

摘要

前列腺癌仍然是男性最常见的非皮肤癌症,特别是在这个前列腺特异性抗原测定的时代。众所周知,前列腺癌转移通常会影响淋巴、骨骼和肺部。前列腺癌转移到皮肤是非常罕见的(
本文章由计算机程序翻译,如有差异,请以英文原文为准。

Unsuspected Skin Metastasis of Adenocarcinoma of the Prostate in a Patient on Goserelin (Zoladex).

Unsuspected Skin Metastasis of Adenocarcinoma of the Prostate in a Patient on Goserelin (Zoladex).

Unsuspected Skin Metastasis of Adenocarcinoma of the Prostate in a Patient on Goserelin (Zoladex).

Unsuspected Skin Metastasis of Adenocarcinoma of the Prostate in a Patient on Goserelin (Zoladex).

Prostate cancer remains the most common noncutaneous cancer in men, especially in this era of prostate-specific antigen assay. Prostate cancer metastases have been known to commonly affect the lymphatics, bones, and lungs. Prostate cancer metastasis to the skin is very rare (<1%) and often signifies a terminal disease. Involvement of the skin has been thought to be through lymphatic spread by embolization or permeation, hematogenous spread, and implantation during surgery (port site in radical prostatectomy). We report a 74-year-old man on management for advanced prostate cancer with subcutaneous goserelin (Zoladex) but developed skin metastasis in the course of treatment. The skin metastasis in our patient, however, was initially localized to the site of the regions of subcutaneous goserelin injection that we imagined if there is a link between the two. We reviewed the literature and currently found no connection. Is there truly a link?

求助全文
通过发布文献求助,成功后即可免费获取论文全文。 去求助
来源期刊
自引率
0.00%
发文量
0
审稿时长
37 weeks
×
引用
GB/T 7714-2015
复制
MLA
复制
APA
复制
导出至
BibTeX EndNote RefMan NoteFirst NoteExpress
×
提示
您的信息不完整,为了账户安全,请先补充。
现在去补充
×
提示
您因"违规操作"
具体请查看互助需知
我知道了
×
提示
确定
请完成安全验证×
copy
已复制链接
快去分享给好友吧!
我知道了
右上角分享
点击右上角分享
0
联系我们:info@booksci.cn Book学术提供免费学术资源搜索服务,方便国内外学者检索中英文文献。致力于提供最便捷和优质的服务体验。 Copyright © 2023 布克学术 All rights reserved.
京ICP备2023020795号-1
ghs 京公网安备 11010802042870号
Book学术文献互助
Book学术文献互助群
群 号:604180095
Book学术官方微信