滤泡性淋巴瘤表现为头皮肿块畸形:病例报告及文献回顾。

Biomedical research and clinical practice Pub Date : 2018-01-01 Epub Date: 2018-02-24 DOI:10.15761/BRCP.1000155
Divine Nwafor, Walid Radwan, Brandon Lucke-Wold, William Underwood, Kymberly Gyure, Robert Marsh
{"title":"滤泡性淋巴瘤表现为头皮肿块畸形:病例报告及文献回顾。","authors":"Divine Nwafor,&nbsp;Walid Radwan,&nbsp;Brandon Lucke-Wold,&nbsp;William Underwood,&nbsp;Kymberly Gyure,&nbsp;Robert Marsh","doi":"10.15761/BRCP.1000155","DOIUrl":null,"url":null,"abstract":"<p><p>Lymphoma presenting as a scalp mass is a rare but serious medical condition mandating aggressive treatment and neurosurgical intervention. We report a case of 53-year-old male who presented with a large right sided frontal scalp mass and a smaller mass located on the left frontal scalp. After discussion with the patient, it was decided to resect the larger mass for definitive diagnosis. After subtotal resection of the mass, biopsy revealed WHO grade 1 follicular lymphoma (FL), diffuse pattern stage IV. The patient was subsequently treated with 4 grays (Gy) of palliative radiotherapy over 2 fractions to the right frontal scalp and systemic chemo-immunotherapy (6 cycles) followed by rituximab maintenance. Lumbar puncture to obtain cerebrospinal fluid was done a month after therapy began and the results were negative for spread of malignant cells. Approximately 3 months after initiation of therapy, PET/CT showed no evidence of active malignancy and MRI revealed a complete internal resolution of the enlarged right frontal scalp mass. We use this case to provide a detailed discussion regarding disease pathophysiology, early diagnosis, and management.</p>","PeriodicalId":92336,"journal":{"name":"Biomedical research and clinical practice","volume":"3 1","pages":""},"PeriodicalIF":0.0000,"publicationDate":"2018-01-01","publicationTypes":"Journal Article","fieldsOfStudy":null,"isOpenAccess":false,"openAccessPdf":"https://www.ncbi.nlm.nih.gov/pmc/articles/PMC6059655/pdf/","citationCount":"1","resultStr":"{\"title\":\"Follicular lymphoma presenting as scalp mass deformity: Case Report and Review of the literature.\",\"authors\":\"Divine Nwafor,&nbsp;Walid Radwan,&nbsp;Brandon Lucke-Wold,&nbsp;William Underwood,&nbsp;Kymberly Gyure,&nbsp;Robert Marsh\",\"doi\":\"10.15761/BRCP.1000155\",\"DOIUrl\":null,\"url\":null,\"abstract\":\"<p><p>Lymphoma presenting as a scalp mass is a rare but serious medical condition mandating aggressive treatment and neurosurgical intervention. We report a case of 53-year-old male who presented with a large right sided frontal scalp mass and a smaller mass located on the left frontal scalp. After discussion with the patient, it was decided to resect the larger mass for definitive diagnosis. After subtotal resection of the mass, biopsy revealed WHO grade 1 follicular lymphoma (FL), diffuse pattern stage IV. The patient was subsequently treated with 4 grays (Gy) of palliative radiotherapy over 2 fractions to the right frontal scalp and systemic chemo-immunotherapy (6 cycles) followed by rituximab maintenance. Lumbar puncture to obtain cerebrospinal fluid was done a month after therapy began and the results were negative for spread of malignant cells. Approximately 3 months after initiation of therapy, PET/CT showed no evidence of active malignancy and MRI revealed a complete internal resolution of the enlarged right frontal scalp mass. We use this case to provide a detailed discussion regarding disease pathophysiology, early diagnosis, and management.</p>\",\"PeriodicalId\":92336,\"journal\":{\"name\":\"Biomedical research and clinical practice\",\"volume\":\"3 1\",\"pages\":\"\"},\"PeriodicalIF\":0.0000,\"publicationDate\":\"2018-01-01\",\"publicationTypes\":\"Journal Article\",\"fieldsOfStudy\":null,\"isOpenAccess\":false,\"openAccessPdf\":\"https://www.ncbi.nlm.nih.gov/pmc/articles/PMC6059655/pdf/\",\"citationCount\":\"1\",\"resultStr\":null,\"platform\":\"Semanticscholar\",\"paperid\":null,\"PeriodicalName\":\"Biomedical research and clinical practice\",\"FirstCategoryId\":\"1085\",\"ListUrlMain\":\"https://doi.org/10.15761/BRCP.1000155\",\"RegionNum\":0,\"RegionCategory\":null,\"ArticlePicture\":[],\"TitleCN\":null,\"AbstractTextCN\":null,\"PMCID\":null,\"EPubDate\":\"2018/2/24 0:00:00\",\"PubModel\":\"Epub\",\"JCR\":\"\",\"JCRName\":\"\",\"Score\":null,\"Total\":0}","platform":"Semanticscholar","paperid":null,"PeriodicalName":"Biomedical research and clinical practice","FirstCategoryId":"1085","ListUrlMain":"https://doi.org/10.15761/BRCP.1000155","RegionNum":0,"RegionCategory":null,"ArticlePicture":[],"TitleCN":null,"AbstractTextCN":null,"PMCID":null,"EPubDate":"2018/2/24 0:00:00","PubModel":"Epub","JCR":"","JCRName":"","Score":null,"Total":0}
引用次数: 1

摘要

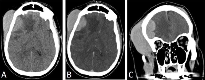
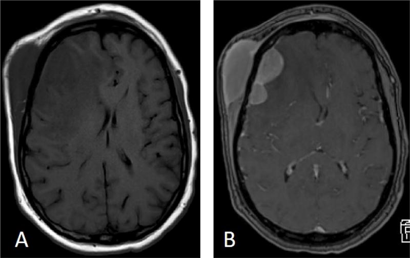
淋巴瘤表现为头皮肿块是一种罕见但严重的医学状况,需要积极治疗和神经外科干预。我们报告一个53岁的男性病例,他表现为右侧额部头皮肿块大,左侧额部头皮肿块小。在与患者讨论后,决定切除较大的肿块以确定诊断。肿块次全切除后,活检显示WHO 1级滤泡性淋巴瘤(FL),弥漫性IV期。患者随后接受了4格(Gy)的姑息性放疗,分2段对右侧额叶头皮进行放疗,并进行全身化疗免疫治疗(6个周期),随后进行了美罗华维持治疗。治疗开始一个月后进行腰椎穿刺取脑脊液,结果为恶性细胞扩散阴性。治疗开始约3个月后,PET/CT未显示活动性恶性肿瘤,MRI显示右侧额叶头皮肿物内部完全消退。我们用这个病例提供关于疾病病理生理,早期诊断和管理的详细讨论。
本文章由计算机程序翻译,如有差异,请以英文原文为准。

Follicular lymphoma presenting as scalp mass deformity: Case Report and Review of the literature.

Follicular lymphoma presenting as scalp mass deformity: Case Report and Review of the literature.

Follicular lymphoma presenting as scalp mass deformity: Case Report and Review of the literature.

Follicular lymphoma presenting as scalp mass deformity: Case Report and Review of the literature.

Lymphoma presenting as a scalp mass is a rare but serious medical condition mandating aggressive treatment and neurosurgical intervention. We report a case of 53-year-old male who presented with a large right sided frontal scalp mass and a smaller mass located on the left frontal scalp. After discussion with the patient, it was decided to resect the larger mass for definitive diagnosis. After subtotal resection of the mass, biopsy revealed WHO grade 1 follicular lymphoma (FL), diffuse pattern stage IV. The patient was subsequently treated with 4 grays (Gy) of palliative radiotherapy over 2 fractions to the right frontal scalp and systemic chemo-immunotherapy (6 cycles) followed by rituximab maintenance. Lumbar puncture to obtain cerebrospinal fluid was done a month after therapy began and the results were negative for spread of malignant cells. Approximately 3 months after initiation of therapy, PET/CT showed no evidence of active malignancy and MRI revealed a complete internal resolution of the enlarged right frontal scalp mass. We use this case to provide a detailed discussion regarding disease pathophysiology, early diagnosis, and management.

求助全文
通过发布文献求助,成功后即可免费获取论文全文。 去求助
来源期刊
自引率
0.00%
发文量
0
×
引用
GB/T 7714-2015
复制
MLA
复制
APA
复制
导出至
BibTeX EndNote RefMan NoteFirst NoteExpress
×
提示
您的信息不完整,为了账户安全,请先补充。
现在去补充
×
提示
您因"违规操作"
具体请查看互助需知
我知道了
×
提示
确定
请完成安全验证×
copy
已复制链接
快去分享给好友吧!
我知道了
右上角分享
点击右上角分享
0
联系我们:info@booksci.cn Book学术提供免费学术资源搜索服务,方便国内外学者检索中英文文献。致力于提供最便捷和优质的服务体验。 Copyright © 2023 布克学术 All rights reserved.
京ICP备2023020795号-1
ghs 京公网安备 11010802042870号
Book学术文献互助
Book学术文献互助群
群 号:604180095
Book学术官方微信