应用Shikata改良Orcein染色法治疗上唇硬化地衣1例并文献复习。

Journal of Oral & Maxillofacial Research Pub Date : 2018-03-31 eCollection Date: 2018-01-01 DOI:10.5037/jomr.2018.9105
Nikolaos Katsoulas, Georgios Prodromidis, Nikolaos G Nikitakis
{"title":"应用Shikata改良Orcein染色法治疗上唇硬化地衣1例并文献复习。","authors":"Nikolaos Katsoulas,&nbsp;Georgios Prodromidis,&nbsp;Nikolaos G Nikitakis","doi":"10.5037/jomr.2018.9105","DOIUrl":null,"url":null,"abstract":"<p><strong>Objectives: </strong>Lichen sclerosus is a rare chronic inflammatory disorder, affecting mainly the skin and the anogenital mucosa, while oral lesions can be the primary or the only manifestation of the disease. A rare case of oral lichen sclerosus, assessed histopathologically and histochemically, is presented, along with a thorough review of the English language literature.</p><p><strong>Material and methods: </strong>A 32-year-old female presented an asymptomatic white patch affecting the skin and the mucosa of the upper lip, without other mucocutaneous involvement. A partial biopsy of the lesion was performed, along with the histochemical Shikata's modified orcein stain for elastin fibres detection. A literature review was also performed, discussing the epidemiological data, clinical presentation, and treatment modalities of all published cases with oral involvement.</p><p><strong>Results: </strong>The histopathological evaluation revealed the presence of acellular zone underneath the basal layer of the epithelium, accompanied by deep band-like chronic inflammation. Shikata's modified orcein stain exhibited scarcity or loss of elastin fibres in the acellular subepithelial area. The diagnosis of lichen sclerosus was made. Topical application of corticosteroids was prescribed and resolution of the lesion was observed. Literature review revealed that oral lichen sclerosus is predominantly presented in females, as asymptomatic lesions of the lips and buccal mucosa; few cases have extraoral manifestations and topical corticosteroids are the main treatment intervention.</p><p><strong>Conclusions: </strong>Despite its rarity, lichen sclerosus should be considered in the clinical and histopathological differential diagnosis of white patches of the oral mucosa. For rendering proper diagnosis, the histochemical Shikata's modified orcein stain is a useful assessment tool.</p>","PeriodicalId":230885,"journal":{"name":"Journal of Oral & Maxillofacial Research","volume":"9 1","pages":"e5"},"PeriodicalIF":0.0000,"publicationDate":"2018-03-31","publicationTypes":"Journal Article","fieldsOfStudy":null,"isOpenAccess":false,"openAccessPdf":"https://ftp.ncbi.nlm.nih.gov/pub/pmc/oa_pdf/8d/77/jomr-09-e5.PMC5913418.pdf","citationCount":"3","resultStr":"{\"title\":\"Lichen Sclerosus of the Upper Lip: Report of a Case, Utilizing Shikata's Modified Orcein Stain, and Review of the Literature.\",\"authors\":\"Nikolaos Katsoulas,&nbsp;Georgios Prodromidis,&nbsp;Nikolaos G Nikitakis\",\"doi\":\"10.5037/jomr.2018.9105\",\"DOIUrl\":null,\"url\":null,\"abstract\":\"<p><strong>Objectives: </strong>Lichen sclerosus is a rare chronic inflammatory disorder, affecting mainly the skin and the anogenital mucosa, while oral lesions can be the primary or the only manifestation of the disease. A rare case of oral lichen sclerosus, assessed histopathologically and histochemically, is presented, along with a thorough review of the English language literature.</p><p><strong>Material and methods: </strong>A 32-year-old female presented an asymptomatic white patch affecting the skin and the mucosa of the upper lip, without other mucocutaneous involvement. A partial biopsy of the lesion was performed, along with the histochemical Shikata's modified orcein stain for elastin fibres detection. A literature review was also performed, discussing the epidemiological data, clinical presentation, and treatment modalities of all published cases with oral involvement.</p><p><strong>Results: </strong>The histopathological evaluation revealed the presence of acellular zone underneath the basal layer of the epithelium, accompanied by deep band-like chronic inflammation. Shikata's modified orcein stain exhibited scarcity or loss of elastin fibres in the acellular subepithelial area. The diagnosis of lichen sclerosus was made. Topical application of corticosteroids was prescribed and resolution of the lesion was observed. Literature review revealed that oral lichen sclerosus is predominantly presented in females, as asymptomatic lesions of the lips and buccal mucosa; few cases have extraoral manifestations and topical corticosteroids are the main treatment intervention.</p><p><strong>Conclusions: </strong>Despite its rarity, lichen sclerosus should be considered in the clinical and histopathological differential diagnosis of white patches of the oral mucosa. For rendering proper diagnosis, the histochemical Shikata's modified orcein stain is a useful assessment tool.</p>\",\"PeriodicalId\":230885,\"journal\":{\"name\":\"Journal of Oral & Maxillofacial Research\",\"volume\":\"9 1\",\"pages\":\"e5\"},\"PeriodicalIF\":0.0000,\"publicationDate\":\"2018-03-31\",\"publicationTypes\":\"Journal Article\",\"fieldsOfStudy\":null,\"isOpenAccess\":false,\"openAccessPdf\":\"https://ftp.ncbi.nlm.nih.gov/pub/pmc/oa_pdf/8d/77/jomr-09-e5.PMC5913418.pdf\",\"citationCount\":\"3\",\"resultStr\":null,\"platform\":\"Semanticscholar\",\"paperid\":null,\"PeriodicalName\":\"Journal of Oral & Maxillofacial Research\",\"FirstCategoryId\":\"1085\",\"ListUrlMain\":\"https://doi.org/10.5037/jomr.2018.9105\",\"RegionNum\":0,\"RegionCategory\":null,\"ArticlePicture\":[],\"TitleCN\":null,\"AbstractTextCN\":null,\"PMCID\":null,\"EPubDate\":\"2018/1/1 0:00:00\",\"PubModel\":\"eCollection\",\"JCR\":\"\",\"JCRName\":\"\",\"Score\":null,\"Total\":0}","platform":"Semanticscholar","paperid":null,"PeriodicalName":"Journal of Oral & Maxillofacial Research","FirstCategoryId":"1085","ListUrlMain":"https://doi.org/10.5037/jomr.2018.9105","RegionNum":0,"RegionCategory":null,"ArticlePicture":[],"TitleCN":null,"AbstractTextCN":null,"PMCID":null,"EPubDate":"2018/1/1 0:00:00","PubModel":"eCollection","JCR":"","JCRName":"","Score":null,"Total":0}
引用次数: 3

摘要

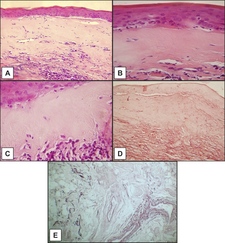
目的:硬化地衣是一种罕见的慢性炎症性疾病,主要累及皮肤和肛门生殖器粘膜,口腔病变可为本病的原发或唯一表现。一个罕见的口腔苔藓硬化的情况下,评估组织病理学和组织化学,是随着英语语言文献的全面审查。材料和方法:32岁女性,出现无症状的白色斑块,影响皮肤和上唇粘膜,无其他粘膜皮肤受累。对病变进行部分活检,同时进行组织化学Shikata改良orcein染色进行弹性蛋白纤维检测。我们还进行了文献回顾,讨论了所有已发表的口腔受损伤病例的流行病学资料、临床表现和治疗方式。结果:组织病理学检查示上皮基底层下无细胞带,伴深部带样慢性炎症。Shikata修饰的orcein染色显示脱细胞上皮下区域弹性蛋白纤维缺乏或缺失。诊断为硬化性地衣。局部应用皮质类固醇并观察病变的消退。文献回顾显示,口腔硬化苔藓主要出现在女性中,作为唇和颊粘膜的无症状病变;少数病例有口腔外表现,局部皮质类固醇是主要的治疗干预措施。结论:口腔黏膜白斑虽罕见,但在临床和组织病理学鉴别诊断中仍应考虑硬化苔藓。为了做出正确的诊断,组织化学Shikata改良的orcein染色是一种有用的评估工具。
本文章由计算机程序翻译,如有差异,请以英文原文为准。

Lichen Sclerosus of the Upper Lip: Report of a Case, Utilizing Shikata's Modified Orcein Stain, and Review of the Literature.

Lichen Sclerosus of the Upper Lip: Report of a Case, Utilizing Shikata's Modified Orcein Stain, and Review of the Literature.

Lichen Sclerosus of the Upper Lip: Report of a Case, Utilizing Shikata's Modified Orcein Stain, and Review of the Literature.

Lichen Sclerosus of the Upper Lip: Report of a Case, Utilizing Shikata's Modified Orcein Stain, and Review of the Literature.

Objectives: Lichen sclerosus is a rare chronic inflammatory disorder, affecting mainly the skin and the anogenital mucosa, while oral lesions can be the primary or the only manifestation of the disease. A rare case of oral lichen sclerosus, assessed histopathologically and histochemically, is presented, along with a thorough review of the English language literature.

Material and methods: A 32-year-old female presented an asymptomatic white patch affecting the skin and the mucosa of the upper lip, without other mucocutaneous involvement. A partial biopsy of the lesion was performed, along with the histochemical Shikata's modified orcein stain for elastin fibres detection. A literature review was also performed, discussing the epidemiological data, clinical presentation, and treatment modalities of all published cases with oral involvement.

Results: The histopathological evaluation revealed the presence of acellular zone underneath the basal layer of the epithelium, accompanied by deep band-like chronic inflammation. Shikata's modified orcein stain exhibited scarcity or loss of elastin fibres in the acellular subepithelial area. The diagnosis of lichen sclerosus was made. Topical application of corticosteroids was prescribed and resolution of the lesion was observed. Literature review revealed that oral lichen sclerosus is predominantly presented in females, as asymptomatic lesions of the lips and buccal mucosa; few cases have extraoral manifestations and topical corticosteroids are the main treatment intervention.

Conclusions: Despite its rarity, lichen sclerosus should be considered in the clinical and histopathological differential diagnosis of white patches of the oral mucosa. For rendering proper diagnosis, the histochemical Shikata's modified orcein stain is a useful assessment tool.

求助全文
通过发布文献求助,成功后即可免费获取论文全文。 去求助
来源期刊
自引率
0.00%
发文量
0
×
引用
GB/T 7714-2015
复制
MLA
复制
APA
复制
导出至
BibTeX EndNote RefMan NoteFirst NoteExpress
×
提示
您的信息不完整,为了账户安全,请先补充。
现在去补充
×
提示
您因"违规操作"
具体请查看互助需知
我知道了
×
提示
确定
请完成安全验证×
copy
已复制链接
快去分享给好友吧!
我知道了
右上角分享
点击右上角分享
0
联系我们:info@booksci.cn Book学术提供免费学术资源搜索服务,方便国内外学者检索中英文文献。致力于提供最便捷和优质的服务体验。 Copyright © 2023 布克学术 All rights reserved.
京ICP备2023020795号-1
ghs 京公网安备 11010802042870号
Book学术文献互助
Book学术文献互助群
群 号:604180095
Book学术官方微信