孤立性脑幕发育不全在磁共振成像上的流行。

IF 1.6 Q4 RADIOLOGY, NUCLEAR MEDICINE & MEDICAL IMAGING
Polish Journal of Radiology Pub Date : 2022-09-12 eCollection Date: 2022-01-01 DOI:10.5114/pjr.2022.119483
Özkan Ünal, Halil İbrahim Şara
{"title":"孤立性脑幕发育不全在磁共振成像上的流行。","authors":"Özkan Ünal,&nbsp;Halil İbrahim Şara","doi":"10.5114/pjr.2022.119483","DOIUrl":null,"url":null,"abstract":"<p><strong>Purpose: </strong>The tent shape of the tentorium cerebelli helps preserve brain anatomy by providing cerebellum protection against pressure caused by the brain's gravity effect. In the absence of this support structure of the tentorium, herniation occurs in the brain. Isolated tentorial hypoplasia (TH) is extremely rare. In this study, we aimed to calculate the prevalence of this entity, which is reported to be rare in the literature.</p><p><strong>Material and methods: </strong>Magnetic resonance imaging (MRI) images of 5163 patients who applied to the training and research hospital for various reasons between 1 September 2020, and 31 August 2021, who underwent brain MRI, were reviewed retrospectively.</p><p><strong>Results: </strong>The prevalence of TH among patients screened during a period of one year was calculated as 2.22%. Of these, 76.59% were female (<i>n</i> = 72) and 23.41% were male (<i>n</i> = 22). The rates of presentation of complaints among TH patients were 60.63% headache, 17.02% vertigo, 4.25% seizures, 3.19% tremor, 3.19% syncope, 7.44% forgetfulness, and 2.12% visual impairment. Five patients (11.76%) were admitted for metastasis investigation due to their primary malignancy; they did not have any complaints. Localization of TH: 18.08% (<i>n</i> = 17) were observed on the right side, 28.72% (<i>n</i> = 27) on the left side, and 53.19% (<i>n</i> = 50) on the bilateral tentorium leaf.</p><p><strong>Conclusions: </strong>Being aware of TH during brain MRI evaluation will help prevent possible misdiagnoses. We hope that this study with a large number of patients will increase awareness about TH, because there are no studies other than cadaver studies and a few case reports.</p>","PeriodicalId":47128,"journal":{"name":"Polish Journal of Radiology","volume":" ","pages":"e506-e509"},"PeriodicalIF":1.6000,"publicationDate":"2022-09-12","publicationTypes":"Journal Article","fieldsOfStudy":null,"isOpenAccess":false,"openAccessPdf":"https://ftp.ncbi.nlm.nih.gov/pub/pmc/oa_pdf/ec/74/PJR-87-47792.PMC9536207.pdf","citationCount":"1","resultStr":"{\"title\":\"The prevalence of isolated tentorial hypoplasia on magnetic resonance imaging.\",\"authors\":\"Özkan Ünal,&nbsp;Halil İbrahim Şara\",\"doi\":\"10.5114/pjr.2022.119483\",\"DOIUrl\":null,\"url\":null,\"abstract\":\"<p><strong>Purpose: </strong>The tent shape of the tentorium cerebelli helps preserve brain anatomy by providing cerebellum protection against pressure caused by the brain's gravity effect. In the absence of this support structure of the tentorium, herniation occurs in the brain. Isolated tentorial hypoplasia (TH) is extremely rare. In this study, we aimed to calculate the prevalence of this entity, which is reported to be rare in the literature.</p><p><strong>Material and methods: </strong>Magnetic resonance imaging (MRI) images of 5163 patients who applied to the training and research hospital for various reasons between 1 September 2020, and 31 August 2021, who underwent brain MRI, were reviewed retrospectively.</p><p><strong>Results: </strong>The prevalence of TH among patients screened during a period of one year was calculated as 2.22%. Of these, 76.59% were female (<i>n</i> = 72) and 23.41% were male (<i>n</i> = 22). The rates of presentation of complaints among TH patients were 60.63% headache, 17.02% vertigo, 4.25% seizures, 3.19% tremor, 3.19% syncope, 7.44% forgetfulness, and 2.12% visual impairment. Five patients (11.76%) were admitted for metastasis investigation due to their primary malignancy; they did not have any complaints. Localization of TH: 18.08% (<i>n</i> = 17) were observed on the right side, 28.72% (<i>n</i> = 27) on the left side, and 53.19% (<i>n</i> = 50) on the bilateral tentorium leaf.</p><p><strong>Conclusions: </strong>Being aware of TH during brain MRI evaluation will help prevent possible misdiagnoses. We hope that this study with a large number of patients will increase awareness about TH, because there are no studies other than cadaver studies and a few case reports.</p>\",\"PeriodicalId\":47128,\"journal\":{\"name\":\"Polish Journal of Radiology\",\"volume\":\" \",\"pages\":\"e506-e509\"},\"PeriodicalIF\":1.6000,\"publicationDate\":\"2022-09-12\",\"publicationTypes\":\"Journal Article\",\"fieldsOfStudy\":null,\"isOpenAccess\":false,\"openAccessPdf\":\"https://ftp.ncbi.nlm.nih.gov/pub/pmc/oa_pdf/ec/74/PJR-87-47792.PMC9536207.pdf\",\"citationCount\":\"1\",\"resultStr\":null,\"platform\":\"Semanticscholar\",\"paperid\":null,\"PeriodicalName\":\"Polish Journal of Radiology\",\"FirstCategoryId\":\"1085\",\"ListUrlMain\":\"https://doi.org/10.5114/pjr.2022.119483\",\"RegionNum\":0,\"RegionCategory\":null,\"ArticlePicture\":[],\"TitleCN\":null,\"AbstractTextCN\":null,\"PMCID\":null,\"EPubDate\":\"2022/1/1 0:00:00\",\"PubModel\":\"eCollection\",\"JCR\":\"Q4\",\"JCRName\":\"RADIOLOGY, NUCLEAR MEDICINE & MEDICAL IMAGING\",\"Score\":null,\"Total\":0}","platform":"Semanticscholar","paperid":null,"PeriodicalName":"Polish Journal of Radiology","FirstCategoryId":"1085","ListUrlMain":"https://doi.org/10.5114/pjr.2022.119483","RegionNum":0,"RegionCategory":null,"ArticlePicture":[],"TitleCN":null,"AbstractTextCN":null,"PMCID":null,"EPubDate":"2022/1/1 0:00:00","PubModel":"eCollection","JCR":"Q4","JCRName":"RADIOLOGY, NUCLEAR MEDICINE & MEDICAL IMAGING","Score":null,"Total":0}
引用次数: 1

摘要

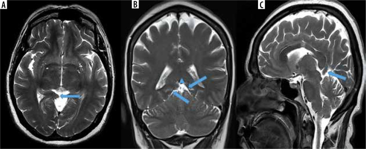
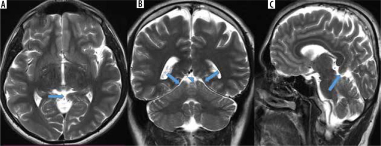
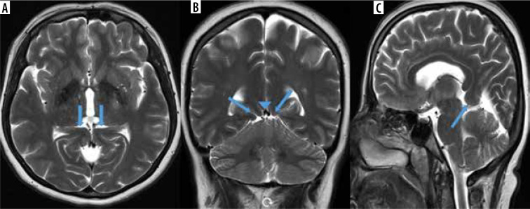
目的:小脑幕的帐篷形状有助于保护大脑解剖结构,为小脑提供保护,使其免受大脑重力效应引起的压力。在没有这种幕支撑结构的情况下,脑疝就会发生。孤立性脑幕发育不全(TH)极为罕见。在这项研究中,我们的目的是计算这种实体的患病率,这在文献中是罕见的。材料和方法:对2020年9月1日至2021年8月31日期间因各种原因向培训和研究医院申请接受脑部MRI检查的5163名患者的磁共振成像(MRI)图像进行回顾性分析。结果:1年间筛查的患者TH患病率为2.22%。其中女性72例(76.59%),男性22例(23.41%)。其中,头痛占60.63%,眩晕占17.02%,癫痫发作占4.25%,震颤占3.19%,晕厥占3.19%,健忘占7.44%,视力损害占2.12%。5例(11.76%)患者因原发恶性肿瘤入院接受转移调查;他们没有任何抱怨。右侧占18.08% (n = 17),左侧占28.72% (n = 27),双侧幕叶占53.19% (n = 50)。结论:在颅脑MRI评估中了解TH有助于预防可能的误诊。我们希望这项有大量患者参与的研究能够提高人们对TH的认识,因为除了尸体研究和少数病例报告外,没有其他研究。
本文章由计算机程序翻译,如有差异,请以英文原文为准。

The prevalence of isolated tentorial hypoplasia on magnetic resonance imaging.

The prevalence of isolated tentorial hypoplasia on magnetic resonance imaging.

The prevalence of isolated tentorial hypoplasia on magnetic resonance imaging.

The prevalence of isolated tentorial hypoplasia on magnetic resonance imaging.

Purpose: The tent shape of the tentorium cerebelli helps preserve brain anatomy by providing cerebellum protection against pressure caused by the brain's gravity effect. In the absence of this support structure of the tentorium, herniation occurs in the brain. Isolated tentorial hypoplasia (TH) is extremely rare. In this study, we aimed to calculate the prevalence of this entity, which is reported to be rare in the literature.

Material and methods: Magnetic resonance imaging (MRI) images of 5163 patients who applied to the training and research hospital for various reasons between 1 September 2020, and 31 August 2021, who underwent brain MRI, were reviewed retrospectively.

Results: The prevalence of TH among patients screened during a period of one year was calculated as 2.22%. Of these, 76.59% were female (n = 72) and 23.41% were male (n = 22). The rates of presentation of complaints among TH patients were 60.63% headache, 17.02% vertigo, 4.25% seizures, 3.19% tremor, 3.19% syncope, 7.44% forgetfulness, and 2.12% visual impairment. Five patients (11.76%) were admitted for metastasis investigation due to their primary malignancy; they did not have any complaints. Localization of TH: 18.08% (n = 17) were observed on the right side, 28.72% (n = 27) on the left side, and 53.19% (n = 50) on the bilateral tentorium leaf.

Conclusions: Being aware of TH during brain MRI evaluation will help prevent possible misdiagnoses. We hope that this study with a large number of patients will increase awareness about TH, because there are no studies other than cadaver studies and a few case reports.

求助全文
通过发布文献求助,成功后即可免费获取论文全文。 去求助
来源期刊
Polish Journal of Radiology
Polish Journal of Radiology RADIOLOGY, NUCLEAR MEDICINE & MEDICAL IMAGING-
CiteScore
2.10
自引率
0.00%
发文量
0
×
引用
GB/T 7714-2015
复制
MLA
复制
APA
复制
导出至
BibTeX EndNote RefMan NoteFirst NoteExpress
×
提示
您的信息不完整,为了账户安全,请先补充。
现在去补充
×
提示
您因"违规操作"
具体请查看互助需知
我知道了
×
提示
确定
请完成安全验证×
copy
已复制链接
快去分享给好友吧!
我知道了
右上角分享
点击右上角分享
0
联系我们:info@booksci.cn Book学术提供免费学术资源搜索服务,方便国内外学者检索中英文文献。致力于提供最便捷和优质的服务体验。 Copyright © 2023 布克学术 All rights reserved.
京ICP备2023020795号-1
ghs 京公网安备 11010802042870号
Book学术文献互助
Book学术文献互助群
群 号:604180095
Book学术官方微信