职业棒球投手肋骨骨折:力学、流行病学和管理。

IF 1.6 Q3 SPORT SCIENCES
Open Access Journal of Sports Medicine Pub Date : 2022-10-10 eCollection Date: 2022-01-01 DOI:10.2147/OAJSM.S288882
Sean Schowalter, Bryan Le, James Creps, Kelly C McInnis
{"title":"职业棒球投手肋骨骨折:力学、流行病学和管理。","authors":"Sean Schowalter,&nbsp;Bryan Le,&nbsp;James Creps,&nbsp;Kelly C McInnis","doi":"10.2147/OAJSM.S288882","DOIUrl":null,"url":null,"abstract":"<p><p>Pitching is a complex kinetic chain activity requiring the transfer of energy from the lower body, through the core and trunk, and finally through the arm to generate explosive acceleration of the baseball. As a result, large forces are generated in the trunk musculature and rib attachments from the late cocking phase of pitching through deceleration. The repetitive cumulative load and high pitch velocities put professional pitchers at risk of rib stress fracture. Given the potential for a prolonged recovery course and high rate of recurrence, early recognition of rib bone stress injury is critical to optimize care. Identifying torso strength imbalances, suboptimal pitching biomechanics (such as late or inadequate pelvic rotation), as well as metabolic deficiencies that may adversely affect bone health are essential to expedite safe return to play and prevent future injury. In this review, we discuss risk factors, mechanism of injury, typical clinical presentation, diagnostic imaging findings, and propose treatment and prevention strategies for rib stress fractures in overhand pitchers.</p>","PeriodicalId":51644,"journal":{"name":"Open Access Journal of Sports Medicine","volume":" ","pages":"89-105"},"PeriodicalIF":1.6000,"publicationDate":"2022-10-10","publicationTypes":"Journal Article","fieldsOfStudy":null,"isOpenAccess":false,"openAccessPdf":"https://ftp.ncbi.nlm.nih.gov/pub/pmc/oa_pdf/a5/55/oajsm-13-89.PMC9563740.pdf","citationCount":"1","resultStr":"{\"title\":\"Rib Fractures in Professional Baseball Pitchers: Mechanics, Epidemiology, and Management.\",\"authors\":\"Sean Schowalter,&nbsp;Bryan Le,&nbsp;James Creps,&nbsp;Kelly C McInnis\",\"doi\":\"10.2147/OAJSM.S288882\",\"DOIUrl\":null,\"url\":null,\"abstract\":\"<p><p>Pitching is a complex kinetic chain activity requiring the transfer of energy from the lower body, through the core and trunk, and finally through the arm to generate explosive acceleration of the baseball. As a result, large forces are generated in the trunk musculature and rib attachments from the late cocking phase of pitching through deceleration. The repetitive cumulative load and high pitch velocities put professional pitchers at risk of rib stress fracture. Given the potential for a prolonged recovery course and high rate of recurrence, early recognition of rib bone stress injury is critical to optimize care. Identifying torso strength imbalances, suboptimal pitching biomechanics (such as late or inadequate pelvic rotation), as well as metabolic deficiencies that may adversely affect bone health are essential to expedite safe return to play and prevent future injury. In this review, we discuss risk factors, mechanism of injury, typical clinical presentation, diagnostic imaging findings, and propose treatment and prevention strategies for rib stress fractures in overhand pitchers.</p>\",\"PeriodicalId\":51644,\"journal\":{\"name\":\"Open Access Journal of Sports Medicine\",\"volume\":\" \",\"pages\":\"89-105\"},\"PeriodicalIF\":1.6000,\"publicationDate\":\"2022-10-10\",\"publicationTypes\":\"Journal Article\",\"fieldsOfStudy\":null,\"isOpenAccess\":false,\"openAccessPdf\":\"https://ftp.ncbi.nlm.nih.gov/pub/pmc/oa_pdf/a5/55/oajsm-13-89.PMC9563740.pdf\",\"citationCount\":\"1\",\"resultStr\":null,\"platform\":\"Semanticscholar\",\"paperid\":null,\"PeriodicalName\":\"Open Access Journal of Sports Medicine\",\"FirstCategoryId\":\"1085\",\"ListUrlMain\":\"https://doi.org/10.2147/OAJSM.S288882\",\"RegionNum\":0,\"RegionCategory\":null,\"ArticlePicture\":[],\"TitleCN\":null,\"AbstractTextCN\":null,\"PMCID\":null,\"EPubDate\":\"2022/1/1 0:00:00\",\"PubModel\":\"eCollection\",\"JCR\":\"Q3\",\"JCRName\":\"SPORT SCIENCES\",\"Score\":null,\"Total\":0}","platform":"Semanticscholar","paperid":null,"PeriodicalName":"Open Access Journal of Sports Medicine","FirstCategoryId":"1085","ListUrlMain":"https://doi.org/10.2147/OAJSM.S288882","RegionNum":0,"RegionCategory":null,"ArticlePicture":[],"TitleCN":null,"AbstractTextCN":null,"PMCID":null,"EPubDate":"2022/1/1 0:00:00","PubModel":"eCollection","JCR":"Q3","JCRName":"SPORT SCIENCES","Score":null,"Total":0}
引用次数: 1

摘要

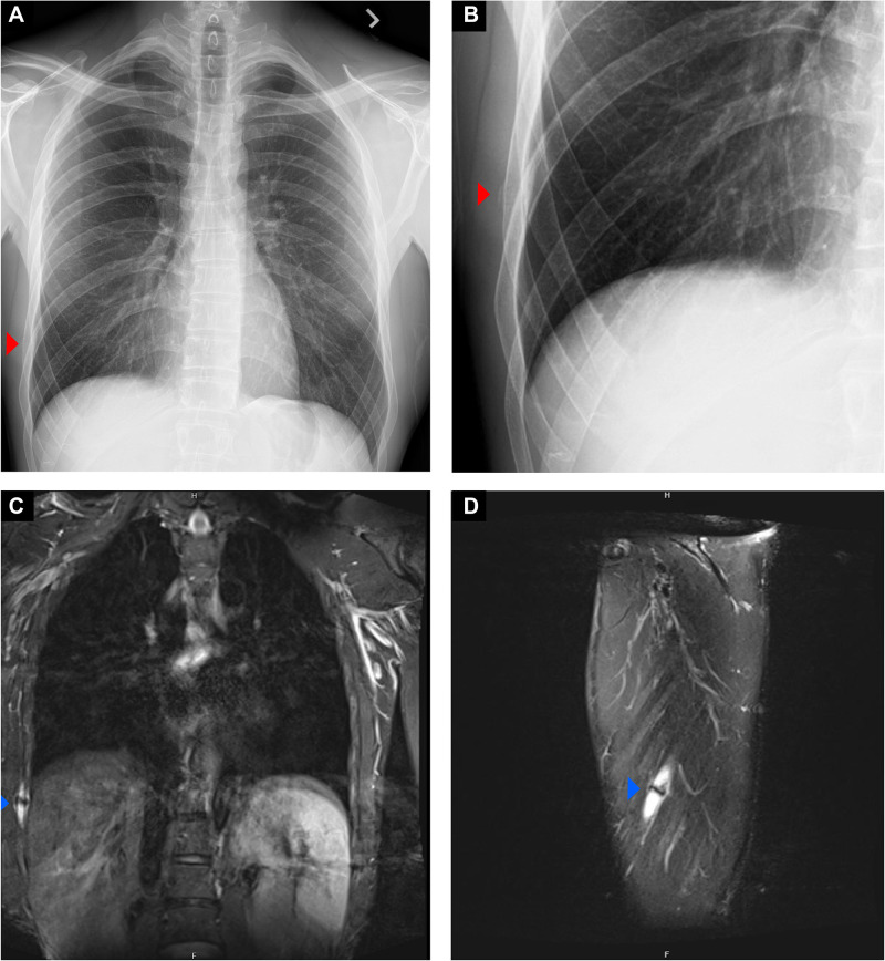
投球是一个复杂的动力学链式活动,需要从下半身,通过核心和躯干,最后通过手臂传递能量,以产生棒球的爆炸性加速度。因此,躯干肌肉组织和肋骨附着物从俯仰的后期翘起阶段通过减速产生了很大的力。重复的累积负荷和高的投球速度使职业投手面临肋骨应力性骨折的风险。考虑到潜在的长期恢复过程和高复发率,早期识别肋骨应力性损伤是优化护理的关键。识别躯干力量失衡、投球生物力学不佳(如骨盆旋转迟缓或不充分)以及可能对骨骼健康产生不利影响的代谢缺陷,对于加快安全回归和防止未来受伤至关重要。在这篇综述中,我们讨论了危险因素,损伤机制,典型的临床表现,诊断影像学表现,并提出了治疗和预防策略的右手投手肋骨应力性骨折。
本文章由计算机程序翻译,如有差异,请以英文原文为准。

Rib Fractures in Professional Baseball Pitchers: Mechanics, Epidemiology, and Management.

Rib Fractures in Professional Baseball Pitchers: Mechanics, Epidemiology, and Management.

Rib Fractures in Professional Baseball Pitchers: Mechanics, Epidemiology, and Management.

Rib Fractures in Professional Baseball Pitchers: Mechanics, Epidemiology, and Management.

Pitching is a complex kinetic chain activity requiring the transfer of energy from the lower body, through the core and trunk, and finally through the arm to generate explosive acceleration of the baseball. As a result, large forces are generated in the trunk musculature and rib attachments from the late cocking phase of pitching through deceleration. The repetitive cumulative load and high pitch velocities put professional pitchers at risk of rib stress fracture. Given the potential for a prolonged recovery course and high rate of recurrence, early recognition of rib bone stress injury is critical to optimize care. Identifying torso strength imbalances, suboptimal pitching biomechanics (such as late or inadequate pelvic rotation), as well as metabolic deficiencies that may adversely affect bone health are essential to expedite safe return to play and prevent future injury. In this review, we discuss risk factors, mechanism of injury, typical clinical presentation, diagnostic imaging findings, and propose treatment and prevention strategies for rib stress fractures in overhand pitchers.

求助全文
通过发布文献求助,成功后即可免费获取论文全文。 去求助
来源期刊
CiteScore
4.80
自引率
0.00%
发文量
13
审稿时长
16 weeks
×
引用
GB/T 7714-2015
复制
MLA
复制
APA
复制
导出至
BibTeX EndNote RefMan NoteFirst NoteExpress
×
提示
您的信息不完整,为了账户安全,请先补充。
现在去补充
×
提示
您因"违规操作"
具体请查看互助需知
我知道了
×
提示
确定
请完成安全验证×
copy
已复制链接
快去分享给好友吧!
我知道了
右上角分享
点击右上角分享
0
联系我们:info@booksci.cn Book学术提供免费学术资源搜索服务,方便国内外学者检索中英文文献。致力于提供最便捷和优质的服务体验。 Copyright © 2023 布克学术 All rights reserved.
京ICP备2023020795号-1
ghs 京公网安备 11010802042870号
Book学术文献互助
Book学术文献互助群
群 号:604180095
Book学术官方微信